嘉境 · 瓣旅|咸阳市第一人民医院心血管外科李晓峰主任团队体外循环支持下经导管主动脉瓣置换低LVEF值TAVR一例

不能外科手术的主动脉瓣反流患者的另一选择:TAVR!2022年8月27日,陕西省咸阳市第一人民医院心血管外科李晓峰主任团队应用TaurusElite经导管主动脉瓣置换系统在体外循环支持下完成低LVEF值AR患者TAVR手术一例。此次接受手术的患者,长期胸闷气短,严重影响生活质量,为求诊治,慕名来到陕西省咸阳市第一人民医院就诊。经过心超等一系列检查诊断为主动脉瓣重度关闭不全,慢性心功能不全急性加重。对于此次接受手术的患者,李晓峰主任组织多学科团队进行会诊沟通,该患者主动脉瓣关闭不全伴大量反流,半年内心功能急剧降低,EF降至22%,左心室迅速扩大至83mm,对于心功能失代偿的患者极容易出现心脏恶化甚至猝死风险,由于外科开胸风险高,为了尽可能降低老年患者术后并发症的发生,李晓峰主任团队综合考虑后选择了更为安全的经导管主动脉瓣置换术(TAVR)。术前团队充分讨论并精心准备,积极组建涵盖了心内科、心外科、麻醉科及超声科等多学科的心脏团队,术中多学科的密切协作,术后即刻超声可见瓣膜工作良好,手术过程无相关手术并发症,术毕超声证实瓣膜无反流和瓣周漏。手术取得圆满成功,瓣膜植入后即刻血流动力学改善,为患者后续生命生存质量带来极大获益,保障了患者的远期预后。

患者基本信息

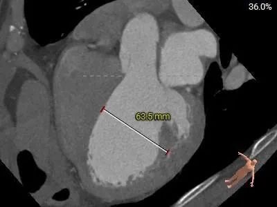
患者男性,因“间断气短5月余,再发10余天”入院,10余天前再发气短不适,活动耐量差。查心脏超声提示:左室(前后径、左右径、长径)83、76、92mm,室间隔:厚度9mm,左心功能:EF:22%。收缩期主动脉瓣前向血流速度正常,Vmax:164cm/s;舒张期期下可见大量反流面积约10.4cm²,容积约18ml。

诊断为:1、全心大。2、左室壁运动异常左心功能减低。3、主动脉瓣关闭不全伴大量反流。

术前CT评估

三叶式主动脉瓣,LVOT敞口型,STJ、瓦氏窦内径可,升主动脉增宽

心室

左心室扩大

冠脉测量

左、右冠开口高度可,切线位测量,左、右窦瓣叶长于冠脉开口下缘

主动脉弓测量

弓部宽度角度可

水平夹角测量

虚拟瓣环与水平面夹角56°,非横位心

外周入路

股-髂动脉走行可,内径可,无钙化分布

术前3D打印

术前讨论

• 三叶式主动脉瓣,瓣叶无明显增厚,反流病例,无钙化分布,LVOT敞口型,主动脉瓣环约27.3mm,结合瓣上多平面分析预估瓣环及瓣上可提供锚定力,STJ可辅助锚定,反流病例假体瓣膜锚定难度偏大,注意防范瓣膜移位风险。

• 左、右冠开口高度可,切线位测量,左、右窦瓣叶长于冠脉开口下缘,结合瓦氏窦、STJ内径综合预估,冠脉阻塞风险适中。

• 左心室扩大,术中密切关注血流动力学变化,备体外循环或ECMO。

• 非横位心,升主扩张,弓部宽度角度可,预估输送器可顺利过弓及跨瓣。

• 股-髂动脉走行可,内径可,无钙化分布,建议入路穿刺规范操作,硬导丝有效支撑下小心通过,避免血管损伤及相关并发症。

• 反流患者,综合患者瓣环及瓣上结构,选择AV31瓣膜,备瓣中瓣方案。

术中操作

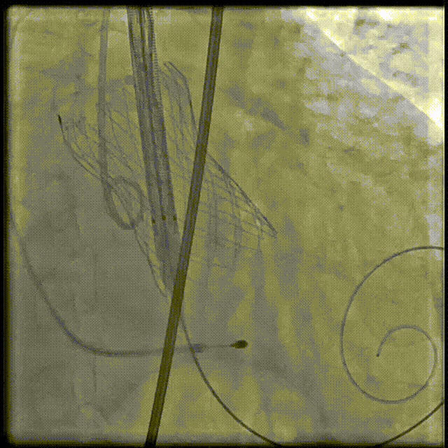
手术影像

主动脉根部造影

输送器柔顺过弓、跨瓣

瓣膜开始定位

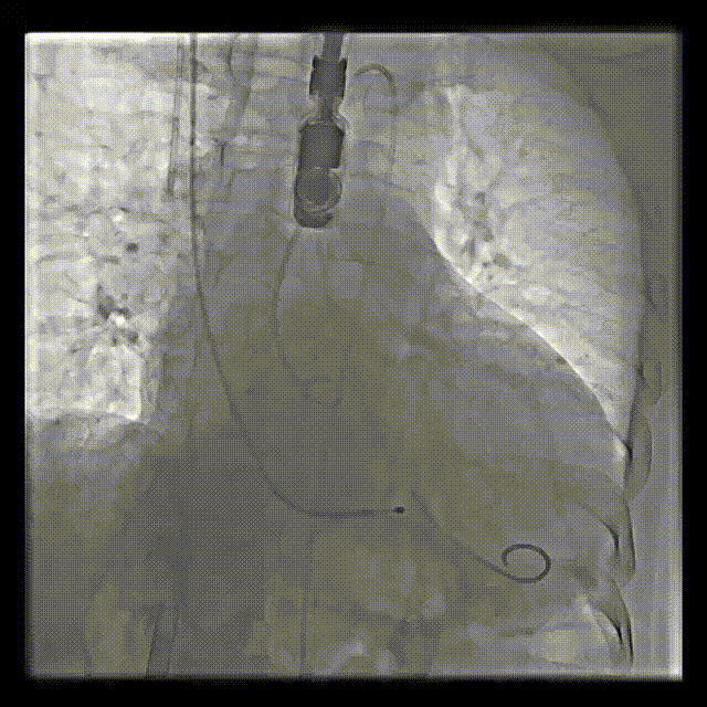
第一个瓣膜释放

植入第二个瓣

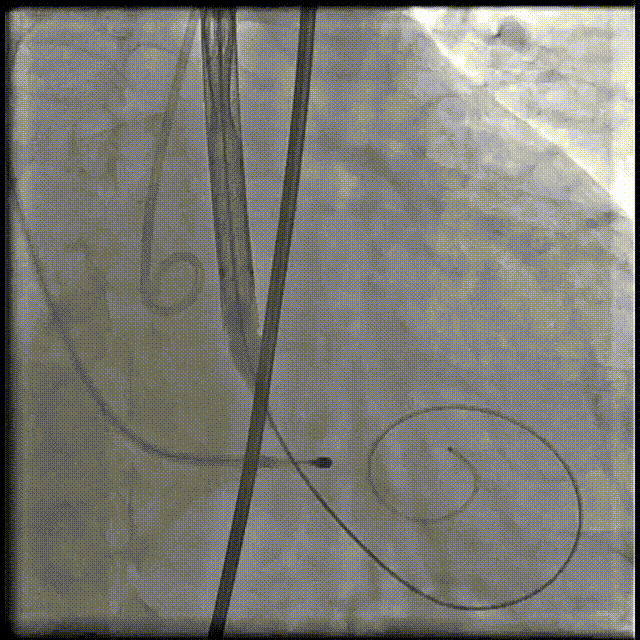
最终造影:无反流

术后超声

心超评估:瓣膜正常工作,血流动力学得到明显改善,无反流及瓣周漏

术者寄语

近年来,经导管主动脉瓣置换术(TAVR)治疗主动脉瓣重度狭窄的地位正在逐渐提高,但对于缺乏瓣膜钙化和狭窄的单纯主动脉瓣反流仍有相当的复杂性和挑战性。许多主动脉瓣重度反流患者由于LVEF下降、高龄、合并多种基础疾病等原因而未能接受外科手术治疗,因此,虽然指南仍未对单纯主动脉瓣反流的TAVR治疗做推荐,但针对高风险单纯主动脉瓣反流患者,对经过精心评估和筛选的患者进行TAVR治疗似乎是合理的。

老年退行性心脏瓣膜病变特别是主动脉瓣病变越来越常见,严重影响人民健康和生活质量。经导管主动脉瓣置换术(TAVR)已在中高危AS患者中显示很好的效果,近年来,TAVR治疗主动脉反流的研究证据也在不断增多。咸阳市第一人民医院心血管外科李晓峰主任团队应用TaurusElite经导管主动脉瓣置换系统在体外循环支持下完成一例低EF值AR患者TAVR手术,手术圆满成功,无疑验证了TAVR用于治疗单纯性主动脉瓣反流的可行性,更验证了此款瓣膜对于治疗纯反流病患的适应性和有效性。同时咸阳市第一人民医院心血管外科利用介入技术创造更多治疗心血管疾病的新方案,不但能够以最小的创伤,最优质的就医体验,更能为危重瓣膜病患者提供最安全的生命保障。

专家简介

李晓峰

咸阳市第一人民医院

心血管外科,副主任医师,硕士研究生,在职博士,曾在西京医院从事心血管外科工作15年;美国AHA生命支持培训导师;中华医学会心血管分会成员;中国医师学会心血管分会成员;陕西省医师协会微无创医学专业委员会成员。

科研方向:微创瓣膜的介入治疗;参与国科金2项,参编教材2部,副主编教材1部,发表SCI及核心期刊20余篇,对先心病、风心病、冠心病的外科治疗积累了丰富的临床经验,擅长微创心脏外科如小切口心脏手术及各类型经导管介入瓣膜置换如主动脉瓣(TAVR),二尖瓣(TMVR),以及瓣中瓣植入(VIV-TAVR,VIV-TMVR),胸主动脉夹层/动脉瘤、腹主动脉瘤的腔内隔绝术,颈动脉狭窄和闭塞的开放手术及腔内治疗、缺血性疾病(如下肢动脉硬化闭塞、动脉栓塞、脉管炎)的旁路搭桥手术及及介入治疗;静脉血栓性疾病的一站式综合治疗。

阅读数: 786