嘉境 · 瓣旅|西京医院九八六医院心血管外科团队应用TaurusElite完成重度主动脉瓣狭窄TAVR手术1例

2022年8月26日,西京医院九八六医院在刘金成主任、杨剑教授、段维勋教授、刘洋教授指导下,联合导管室、麻醉科、放射科、超声科、护理部等多学科应用TaurusElite为72岁男性完成重度主动脉瓣狭窄TAVR手术1例,开启了本院结构性心脏病治疗的新篇章,为老年重症瓣膜病患者带来福音。72岁的陈爷爷患重度主动脉瓣狭窄伴重度关闭不全,反复胸闷、心慌气短,力求诊治,慕名来西京医院九八六医院。该患者由于病情危重,心功能差,传统的开胸手术风险极大,心血管外科团队联合多学科专家团队会诊讨论后,最终决定为其行经导管主动脉瓣置换术(TAVR)。为充分保障术中的安全,杨剑教授、刘洋教授、刘志恒教授带领团队对患者进行了详细的术前评估。术中多学科密切协作,娴熟完成股动脉游离、穿刺、置入导丝导管、跨瓣、起搏、球囊扩张、瓣膜植入释放等系列手术操作,经过1小时30分成功为该患者实施TAVR手术。患者术后即刻超声显示无明显瓣周漏,瓣膜形态良好,血流动力学得到明显改善。此次手术的成功,将会明显提高患者的生活质量。

患者基本信息

患者男性,72岁,

主诉:间歇性胸闷、气短2月,加重5天。

经彩色多普勒超声:EF:47%,主动脉瓣叶增厚,右、无冠瓣交界处粘连,呈二叶式开放,收缩期瓣口开放受限,测瓣口开放间距6mm,开放面积约0.9cm²,主动脉瓣上湍流,Vmax488cm/s,PGmax95mmHg。超声诊断:二叶式主动脉瓣(TypeI型)伴狭窄(PGmax95mmHg)并关闭不全及钙化、瓣下反流(大量);二尖瓣(大量);三尖瓣(少量)。

术前CT评估

主动脉根部总览

中度钙化,钙化主要分布于左、无瓣叶及R-N交界处

主动脉根部测量

三叶式主动脉瓣,瓣叶增厚,水平夹角42°;LVOT微微敞口

冠脉测量

冠脉开口高度可,切线角度测量,未见冗长瓣叶

主动脉弓测量

主动脉弓部宽度、角度可

外周入路

腹主-双侧髂总动脉有少量钙化,股-髂动脉走行、内径可

术前讨论

• 三叶式主动脉瓣,R-N瓣叶交界部分粘连,瓣叶增厚伴中度钙化,钙化主要分布于左、无瓣叶及R-N交界处;LVOT微微敞口;

• 冠脉开口高度尚可,切线角度测量,无冗长瓣叶;冠脉远端有钙化分布

• 瓦氏窦、STJ内径尚可,升主动脉无扩张

• 收缩期左心室内径偏大,EF值45%

• 拟主动脉瓣水平夹角约42°,非横位心,主动脉弓宽度角度可

• 腹主-双侧髂总动脉有少量钙化,股-髂动脉走行、内径可。

手术策略

• 推荐右侧股动脉为主入路,左侧为辅助入路。

• 推荐20m球囊预扩,预装AV26瓣膜,建议瓣环下零位左右定位释放。

• 建议充分利用瓣膜系统部分及完全可回收功能,确认瓣膜基本稳定及瓣周漏效果后再完全释放。

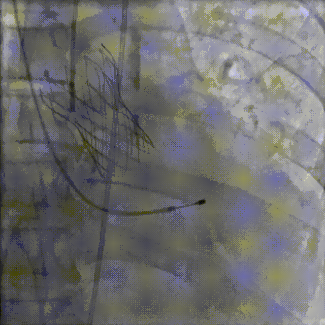
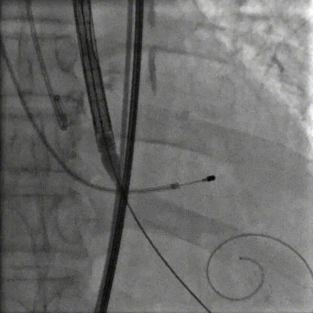
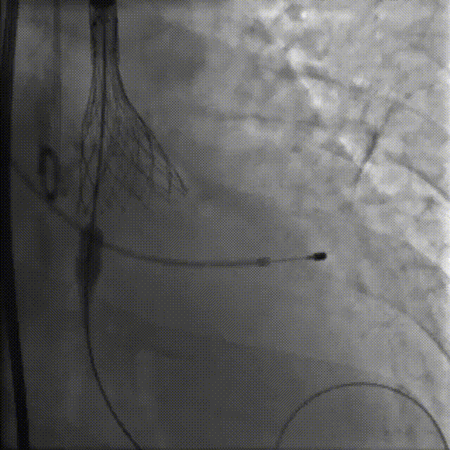
手术影像

主动脉根部造影

20mm球囊预扩后瓣膜开始定位

工作位造影:左右窦侧瓣架偏深 

回收后重新调整释放

工作位造影:位置理想

瓣膜逐个缓慢脱钩

23mm球囊后扩改善形态

最终造影:位置理想,形态良好,无漏

术后超声

术后超声提示:瓣膜位置良好,无漏

压差

术前跨瓣压差96mmHg,术后跨瓣压差2mmHg

术者寄语

心血管疾病已成为人类健康的头号杀手,心脏瓣膜病作为一种常见的血管疾病,随着中国人口的老龄化,整体患病率直线上升。得了瓣膜性心脏病该怎么办?目前主要有三种治疗方式,一种是药物治疗;第二种是外科手术;第三种是介入治疗,只有后两种办法才有可能根治疾病。相对而言,传统的外科手术需要开胸,老年人选择时会有所顾虑,另外随着年龄增加,心脏病之外的合并症也多,因而外科手术的风险也比较高。在这个基础上,就衍生了通过微创介入手术来治疗瓣膜病的方式。“从医学的角度来说,通过药物或者非创伤性的手段

达到治愈是一个最理想的策略,我们希望用最小的创伤达到最大的治愈”,经导管主动脉瓣置换术(TAVR)是近年来用于临床的介入治疗手术,介入治疗与传统的外科手术相比创口小,血量也少。

TAVR手术不开胸、创伤小、恢复快的优势,使得患者在高危情况下免受“开胸之苦”,顺利重获“心”生。西京医院九八六医院心血管外科团队,长期致力于心脏瓣膜病、先天性心脏病等微创治疗技术创新,此次手术的成功标志着西京医院九八六医院心脏病介入技术更上一层楼,将为更多的心脏病患者带来福音。

专家简介

杨剑

空军军医大学西京医院

心血管外科一病区主任,博士研究生导师。

美国心脏协会专家会员(FAHA),美国心脏病学会专家会员(FACC)。获聘陕西省中青年科技创新领军人才,陕西省科技创新团队带头人,为陕西省杰出青年科学基金项目获得者。临床擅长于二尖瓣、主动脉瓣等多种结构性心脏病的经导管微创介入治疗,获评第四届“国之名医”。在微创心血管器械研发、临床转化及以3D打印为主的多模态影像学评估方面有一定建树,先后在Eur Heart J,JACC等国际期刊上以第一或通讯作者发表SCI论文50余篇,承担国家重点研发计划、国家自然科学基金等10余项基金,经费1000余万元。荣获国家科技进步二等奖、中华医学科技一等奖等奖励,授权国家专利30余项,主编《心血管3D打印技术》《Cardiovascular 3D printing》《经导管主动脉瓣置换术中的3D打印技术——应用与实践》及《经导管主动脉瓣置换操作指南手册》等5部专著。

刘洋

空军军医大学西京医院

心血管外科博士,副主任医师,副教授,硕士研究生导师。微创结构性心脏病组组长,ECMO组组长。

美国马里兰大学医学院博士后。国家心血管病专家委员会微创心血管外科专业委员会委员。专注心血管疾病微创治疗。先后开展微创介入瓣膜病修复及置换术,瓣膜置换术后瓣周漏介入封堵术,冠状动脉漏介入封堵术等多项心血管疾病微创治疗新技术。在国内外发表研究论著70余篇,其中SCI论著28篇;主持军队重大专项子课题1项,国家自然科学基金1项,军队及省部级课题各3项;参加“863”重点课题,“十二五”、“十三五”国家重大科技专项等课题13项。获国家专利11项; 主编专著1部,副主编专著3部,参编专著8部。获得省级科技进步一等奖1项,并先后获得美国ASAIO青年医师奖,欧洲Euro-ELSO青年研究者奖,中国医师协会心血管外科分会杏林奖,树兰卓越工程青年医师资助计划,中华医学会胸心血管外科分会Lillehei 奖学金及厄尔巴肯奖学金。现任中国医师协会心血管外科分会结构性心脏病专委会委员,中国研究型医院学会血管外科专委会青年委员,陕西省药理学会心血管药理学专业委员会常委,陕西省生物医学工程学会体外循环专业委员会委员,中国医疗保健国际交流促进会心脏重症分会陕西省工作委员会委员。

阅读数: 1364