心通医疗自主研发的经导管二尖瓣置换系统于中山医院成功开展首例临床应用,30天随访结果优异

心通医疗自主研发的

经导管二尖瓣置换系统

于中山医院成功开展首例临床应用

30天随访结果优异

中国,上海——由微创心通医疗科技有限公司(以下简称“心通医疗”,02160.HK)自主研发的经导管二尖瓣置换系统在复旦大学附属中山医院成功完成首例临床应用并顺利完成30天随访,随访结果令人振奋。

葛均波院士、王春生教授带领复旦大学附属中山医院心脏团队,在魏来主任医师、杨晔主治医师、王文硕主治医师、麻醉科郭克芳副主任医师、心超室董丽莉副主任医师、李伟主治医师、重症医学科罗哲主任医师、放射科杨雪主治医师、护理部查婉珺护士长、王存圣护师等密切配合下,于2022年7月18日应用心通医疗自主研发经导管二尖瓣置换系统,成功为一位二尖瓣重度反流患者完成了二尖瓣置换手术。手术过程顺利,手术时间(Skin to Skin)仅1小时30分钟,术后即刻反流消失,左心房压显著下降。

该患者已顺利完成30天随访,恢复状态良好,随访结果显示患者心功能改善明显,瓣膜工作正常,瓣叶开闭形态良好,无瓣周漏,无左室流出道梗阻,标志着这款完全由心通医疗自主研发的经导管二尖瓣置换系统首例应用取得成功,顺利进入临床试验阶段。该临床试验已获中山医院医学伦理委员会批准。


患者基线资料

该例患者为57岁男性,因扩张型心肌病合并严重心功能不全,并伴有高尿酸血症、高脂血症等疾病。超声心动图评估提示二尖瓣重度反流、轻微主动脉瓣反流与轻微三尖瓣反流,LVEDD 83mm,LVESD 73mm,LVEF 34%。二尖瓣反流机制为功能性反流,有效反流口面积为0.49cm²,反流量93mL,瓣口面积为6.7cm²。

因考虑外科手术风险高危,同时由于左室收缩末容积过大,不适宜经导管二尖瓣缘对缘修复术,经过中山医院心脏团队综合讨论评估后,决定使用心通医疗经导管二尖瓣置换系统行经导管二尖瓣置换术。


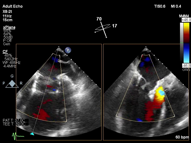
术前超声评估


手术过程

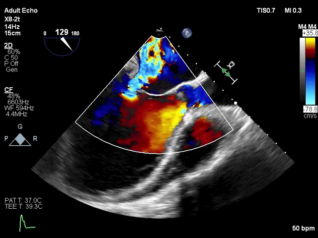
该手术采用左侧第五肋间微创切口心尖入路,透视下经导丝置入输送系统,逐步释放瓣膜。透视及TEE确认瓣膜位置满意后撤出输送系统,二尖瓣瓣膜形态及工作状态良好,复查左心室造影,提示无瓣周漏,无左室流出道梗阻,左右冠状动脉显示良好,未受任何影响。

心电图提示无传导阻滞,左房压由术前52/32/18mmHg降至25/21/18mmHg 。


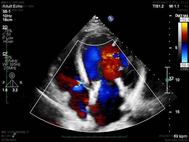
术后30天随访结果

患者术后30天随访状态良好,随访显示左心室逆重构,左心室功能伴左心室结构显著改善,全面达成包含二尖瓣反流程度降低、心功能改善等有效性指标。人工二尖瓣工作正常,支架结构及形态稳定,锚固良好无位移,无瓣周漏。瓣叶开闭形态良好,血流动力学表现优异,平均跨瓣压差仅1mmHg。


手术及器械评价

葛均波院士对心通医疗经导管二尖瓣置换系统给予了充分肯定,其基于解决临床痛点的设计理念能够很好的规避已知TMVR技术中存在的左室流出道梗阻,锚固和密封以及手术操作复杂等问题,亦从手术结果中获得验证。很高兴看到介入二尖瓣治疗已逐渐成为现实,并为患者提供良好的预后,改善其生活质量。

该首例临床病例术中操作简明,术后通过超声对瓣膜功能进行评价,手术即刻效果及术后30天随访结果均非常理想。期待应用更多自主创新的医疗器械为患者提供优质服务,为他们的治疗带来新的曙光。


二尖瓣反流(MR)是我国最常见的心脏瓣膜疾病,经导管二尖瓣置换也是近年来结构性心脏病介入治疗领域中的热点专题,其面临着诸多技术难题如二尖瓣解剖结构复杂,入路挑战,手术流程复杂,左室流出道梗阻风险,人工瓣膜锚固和密封困境及血流动力学表现等。

心通医疗潜心多年完全自主研发的经导管二尖瓣置换系统,其设计理念来源于对临床需求的深刻理解以及多项关键技术的突破,该系统同时拥有经心尖及经房间隔入路途径,可适配32Fr经房间隔输送系统。

简明的人工瓣膜设计大大降低了该系统手术操作难度及左室流出道梗阻风险,同时实现优异的血流动力学表现及出众的锚固性能。该产品亦首次应用心通医疗自研的抗钙化以及干瓣处理工艺,去除瓣膜材料游离钙化位点,具备更好的抗钙化性能,从而进一步提高瓣膜的耐久性。


作为心通医疗全球科学顾问委员会成员,来自法国CHU de Bordeaux的Thomas Modine教授通过连线全程观摩了手术及随访过程,并对中山医院心脏团队成功开展该经导管二尖瓣置换系统临床应用表示祝贺。Thomas Modine教授对该系统给与了高度评价,期待中国创新医疗器械能够在世界舞台上大放异彩,服务全球病患。




心通医疗总裁陈国明先生:

心通医疗潜心多年自主研发,致力于通过自身的技术积累及钻研探索以开发经导管二尖瓣治疗最优解决方案。该项目起始于2015年,在团队的努力及临床专家的支持下,历经多年攻克多项设计和工程上的挑战,很高兴看到该产品进入临床试验阶段且手术即刻及术后30天随访结果皆取得了令人满意的临床效果,更重要的是能够满足临床医生的痛点需求,并真正使患者获益。





心通医疗董事长罗七一博士:

此次经导管二尖瓣置换系统首例成功人体应用是心通医疗在结构性心脏病赛道全面布局的又一重要里程碑,多项关键技术的突破得益于结构性心脏病领域扎实的技术储备及创新能力,心通医疗将在结构性心脏病领域持续创新,致力于解决临床痛点,满足患者需求的创新性产品研发,为结构性心脏病治疗领域提供更多可及性真善美全医疗方案。


阅读数: 1089