嘉境 · 瓣旅|南阳医学高等专科学校第一附属医院心脏瓣膜病MDT团队完成首例主动脉瓣重度狭窄患者TAVR置入术

2022年08月07日,南阳医专一附院介入手术室,在院长助理、科主任张鸥主任医师主持下,心脏外科团队、超声科、心外麻醉手术部、神经内科五病区、体外循环团队及CCU团队等人员组成的心脏瓣膜病MDT团队协作下,心血管重症监护病房(原冠心病监护病房 CCU)成功开展我院首例主动脉瓣重度狭窄患者经导管主动脉瓣置换术(TAVR)。

张鸥教授,术前带领TAVR手术团队进行充分讨论,精准评估,制定了详尽的手术策略。

手术过程中,CCU、心外、超声、麻醉及护理整个TAVR团队紧密配合,确保手术成功进行,瓣膜完美释放,工作稳定,术后造影未见明显返流,植入效果理想。

最后,张鸥主任医师就手术过程进行总结,强调团队的责任感,分工明确,各项工作切实落实到位,确保首例TAVR成功顺利完成!

患者基本信息

患者:71岁,女性,胸痛、晕厥病史。

主诉:间断头晕、行走不稳1周,乏力、气短3天。

既往史:晕厥,间断心肌缺血发作。

超声提示:峰值流速4.8m/s,跨瓣压差 91mmHg。

主动脉瓣重度狭窄伴轻度关闭不全,左室肥厚。

术前评估

CT动态概览:

主动脉根部详细情况:

ANNULUS

LVOT

SOV DIAMETER

STJ

AA

瓣环夹角:

瓣上层面分析:

Sup2mm

Sup4mm

Sup6mm

Sup8mm

钙化分析:

HU850

钙化分布

冠脉风险:

Left Coronary

LCA & Leaflet

Right Coronary

RCA & Leaflet

外周入路:

病理特点及手术难点

三叶式主动脉瓣,瓣叶轻中度钙化并明显增厚,人工瓣膜锚定力尚可,左室流出道呈敞口型,综合多平面分析,预估瓣膜释放后有向下位移风险及瓣周漏可能。

左右冠开口高度稍低,综合瓦氏窦及窦管交界内径综合判断,预估左右侧冠脉阻挡风险适中,术中可根据球扩结果进一步判断,必要时行冠脉保护。

左室心腔内径尚可,结合超声及患者情况,术中密切观察血流动力学变化,可预装瓣膜并备体外循环。

非横位心,主动脉弓角度及弓距可,预估术中输送器过弓、跨瓣顺利。

手术策略

全麻,气管插管,经右侧锁骨下静脉入路放置临时起搏器。

右侧股动脉为主入路,左侧股动脉为辅入路。

直径20mm TaurusAtlas球囊进行预扩,同时预装TaurusElite AV23瓣膜。瓣环下0-2mm开始定位释放。释放过程中多角度造影,超声辅助定位确定瓣膜最终位置。释放后再次造影确定佐证。

手术过程

进行操作的心外麻醉曹书栋副主任团队

心脏外科彭冉主任及周家旺副主任团队行股动脉切开术

术前TEE超声:

20mm球囊预扩张:

球囊有明显腰征,无漏。

第一次定位释放:

瓣膜定位

瓣膜微释放

释放至工作位

超声明确瓣膜位置

完全回收,第二次定位释放:

瓣膜定位

瓣膜释放

超声评估

完全回收,第三次定位释放:

瓣膜定位

开始释放

释放至工作位

完全释放

术后造影:

大鞘撤出外周血管,造影

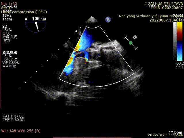
瓣膜释放后超声评估:

术中,心外体外循环科郑军医师全程待命。彩超室张俊鹏老师全程跟台,术后行超声探查未见瓣周漏,血压改善。

术中及术后未出现相关并发症,瓣膜植入位置完美,患者症状得到明显改善,手术圆满完成。

总结

术中20mm球囊预扩可见明显腰征,无瓣周漏,左冠充盈速度可。选择TaurusElite  AV23瓣膜送至主动脉弓,输送系统轻松过弓及跨瓣,精准定位无冠窦最低点,利用可回收功能,术中对位置进行适当调整,大大提升了瓣膜精准释放的几率,保证了手术的安全性。

TaurusElite AV23瓣膜经过2次调整之后,第3次释放定位位置接近瓣环,心脏瓣膜团队精确定位,零位释放,瓣膜在术前评估的位置牢牢锚定!整个手术过程连贯如行云流水,团队配合默契,操作细致熟练,主动脉根部造影及即时食道超声提示无瓣周漏,TaurusElite首秀成功!

2022年,恰逢全球TAVR20周年之际,也祝愿我院TAVR技术迈向新的台阶,为更多主动脉瓣重度狭窄患者提供更多治疗选择机会,创造更大生存空间,同时我院心血管重症核心技术发展迈向新的未来。

科室介绍

心血管重症监护病房(原冠心病监护病房﹣CCU )成立于2011年,是按照卫生部《重症医学科建设与管理指南》标准建立的市级重点科室,位于综合病房楼七层,是南阳市临床重点专科,是我市目前最先进的冠心病监护病房,被评为2020年度全市卫生健康工作先进科室,在2021年度绩效考核工作中被评为核心技术先进科室。

科室现有监护床位25张,医护人员40余人,其中主任医师1名,副主任医师3名,博士研究生1名,硕士研究生5人,是集医教研于一体的精英医护团队。

核心技术:

目前配备中央心电监测系统,进行各项参数的监测分析及报警,第一时间观察和记录病人的病情变化,进行全方位的监护和诊治,配备呼吸机、血流动力学监测、血气分析仪、床旁 Pro - BNP 、心肌坏死标记物测定、临时心脏起搏器、床旁血液滤过、IABP (主动脉球囊反搏)及 ECMO (体外膜肺氧合)等先进医疗设备,拥有全面的技术和深厚的医疗资源。凭借优秀的医疗团队,精湛的医疗技术及先进的医疗设备,我科建立了一整套急性冠脉综合征的救治方案如:急性 ST 段抬高型心肌梗死、急性非 ST 段抬高型心肌梗死抢救的绿色通道,24小时开放,救治队伍全天候待命,缩短了急性心肌梗死的救治时间,降低了死亡率。收治各种原因所致顽固性心力衰竭、心源性休克、高血压急症、恶性心律失常、室间隔穿孔等需要监护的治疗者;心肺复苏术后、大量心包积液、重症爆发性心肌炎、心肌病等患者的抢救,以及其它系统疾病合并严重心脏疾病需要转至我科救治的急危重症患者。

心血管重症监护病房(CCU)

地址:综合病房楼7层南区

医生办公室电话:0377-63325157

护士站电话:0377-63328353

专家简介

张鸥

南阳医学高等专科学校

第一附属医院

医学博士,主任医师,南阳医学高等专科学校第一附属医院心血管重症监护病区主任,心内科支部党支部书记;2019年度南阳市最美医生;南阳市医学会心血管病学分会副主委;南阳市医师协会心内科医师分会副会长;河南省医师协会高血压分会常务委员;河南省老年医学学会介入心脏病学专业委员会常务委员;河南省医学会心血管病学分会第一届心血管重症学组委。

带领科室率先在院内建立急性心肌梗死绿色通道,尤其擅长冠心病介入治疗,起搏器植入及心律失常的射频消融治疗。在急性心肌梗死、心源性休克、心律失常及重症爆发性心肌炎等急危重症救治,以及主动脉球囊反搏(IABP)、体外膜肺氧合(ECMO)应用方面临床经验丰富。

彭冉

南阳医学高等专科学校

第一附属医院

副主任医师,南阳医学高等专科学校第一附属医院重症医学科(心外)主任。

河南省医学会心脏大血管外科分会委员;河南省医师协会心血管外科分会委员;中国医师协会南阳心血管外科分会委员;南阳医学会胸心外科分会委员。

自2003年参加工作以来,一直从事心血管外科工作。曾在中国医学科学院北京阜外心血管病医院进修心脏大血管外科及相关专业,长期从事心脏大血管外科临床工作,精通主动脉夹层、大血管疾病,先天性心脏病,风湿性心脏瓣膜病,冠心病的手术及心脏重症的临床治疗。除了收治大量主动脉夹层患者,并率先开展了A型主动脉夹层的外科手术及B型夹层的介入治疗,开展了冠脉搭桥和先心介入手术,并精通于心脏瓣膜病和先心病的外科治疗,同时在心外监护室开展了ECMO,IABP,等复杂且先进的重症患者治疗技术。

周家旺

南阳医学高等专科学校

第一附属医院

南阳医学高等专科学校第一附属医院心脏外科副主任,副主任医师。心脏外科硕士学位。
河南省医学会心脏大血管外科分会青年委员会委员;2011年获得“南阳市劳动技术能手”称号,被南阳市总工会授予“五一劳动奖章”。
2015年到第四军医大学西京医院心脏外科进行进修学习微创心脏外科技术,熟练掌握了全胸腔镜下心脏手术技术,成功开展全胸腔镜心脏手术,完成房间隔缺损修补术、二尖瓣置换术、鲁登巴综合征手术治疗、房颤射频消融术等。熟练掌握心脏血管外科常见病和多发病的诊治,擅长心脏手术微创治疗,重点研究方向包括瓣膜病的微创治疗、不停跳冠脉搭桥手术治疗、主动脉夹层治疗、先心病介入治疗等多个领域,积极推动南阳心脏血管外科的发展。
主要成果:先后在中华实用儿科临床杂志等国内核心期刊发表论文6篇,参与编写了人民卫生出版社组织编写国家卫计委十二五规划教材、全国中医药高职高专院校教材《西医外科学》、《实用外科学》、《临床外科学》等专著3部,科技成果3项,国家实用型专利2项。
阅读数: 1597