汤圣兴教授团队圆满完成第66例TAVR手术:逆流而上至臻致远,扎根皖南探索特色TAVR之路

近日,皖南医学院弋矶山医院汤圣兴教授与医院麻醉科、超声医学科、影像科、心脏外科、重症医学科和DSA等多学科协作,带领团队成功为一名高龄主动脉瓣重度狭窄合并双侧股动脉入路困难患者完成TAVR手术。

此例手术是团队自2020年突破新技术,成功开展医院也是皖南地区首例TAVR手术后累计完成的第66例TAVR手术。将近两年的时间内,汤圣兴教授带领团队孜孜以求,不懈探索,在当前主动脉瓣病变经导管介入治疗如火如荼开展的时代洪流下开拓进取,在皖南这片土地上努力且迅速地成长着。

第66例TAVR手术概览

患者71岁女性,诊断为主动脉瓣重度狭窄合并心功能不全,瓣口面积仅0.5cm²,跨瓣压差超过50mmHg,且EF仅27%,心功能极差。术前CT检查瓣环周长72.2mm,LVOT呈喇叭型。CT检查同时发现患者入路血管狭窄,股动脉直径5.3cm,锁骨下和颈内动脉直径都小于5.0cm,对操作造成了一定困难。

结合充分的术前讨论,和策略制定。术中团队建立双侧股动脉入路,以右股为主,使用18F球囊预扩张时未出现腰征,微量反流,因此选择植入24F瓣膜。由于LVOT呈喇叭型,心夹角偏大,最初选择-1mm释放,在释放过程中稍有位移,最终固定在0位,瓣膜充分展开,形态和位置都很好,术后跨瓣压差7-8mmHg,无反流,手术顺利完成。

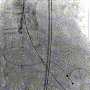
球囊预扩

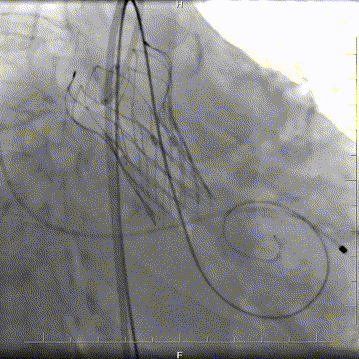
释放定位

最终释放

对于复杂且存在较高风险主动脉瓣病变患者的处理,汤圣兴教授团队可谓“轻车熟路”。术后他回顾了团队在处理此类患者过程中所学习并积累的经验。

他指出,团队自独立开展TAVR手术后,便在摸索中迅速形成了一套规则。

首先,术前要求全员参加讨论分析,明确手术难点和应对策略。其次,临时起搏器常规通过颈内静脉放置漂浮导管,能有效避免心脏穿孔,且总体来讲起搏器植入成功率高,并发症更少。再次,为了避免入路血管并发症,CT检查后,术中应再通过左股动脉穿刺造影,“双重保险”确定入路血管的条件;对于术前评估冠脉风险大的患者,术中也要通过冠脉造影再次测定瓣环到冠脉开口的距离,重复评估冠脉风险。最后,始终坚持把外周所有鞘管都缝在皮肤上,可以有效避免鞘管移动带来的并发症。 

也正是因为如此,截至目前团队66例手术中仅有1例血管夹层,2例出血,4例起搏器植入,并未出现手术相关的死亡、冠脉并发症,瓣膜移位或反跳等情况的发生。

安徽省开展重度反流TAVR手术最多的团队

随着TAVR以极快的速度发展并趋于成熟,循证医学证据愈发丰富,TAVR适应证范围不断扩大,但考虑到重度AR患者主动脉瓣解剖结构的特殊性,使用TAVR技术治疗AR仍然极具挑战性。针对重度主动脉瓣反流患者的TAVR处理,尚处于超适应证。然而,根据国内专家最新的调查数据显示,临床上重度反流的患者数量恰巧为主狭患者的两倍。汤圣兴教授团队在临床中遇到了相同的境遇。

他介绍,团队迄今为止共计完成了24例重度AR TAVR手术,其中仅有一例植入了瓣中瓣,手术量在安徽省内排名第一。

此次第66例手术之前,团队即成功挑战完成了一例超大瓣环、二叶瓣畸形合并重度AR的TAVR手术,在重度AR TAVR手术治疗领域突破新境界,探索出团队在解决复杂、重度AR患者病痛的新可能。

患者64岁男性,Type 0 型二叶瓣、横位心。主动脉瓣中度狭窄,重度反流,瓣环周长92.0mm,平均径29.0mm。LVOT周长98.7mm,升主扩张,窦部结构极限,锚定能力极限。入路两侧血管轻度迂曲,分叉高度可,两侧血管内径均>8mm。

同样的,术前汤圣兴教授带领团队评估了手术风险并制定了详细的手术策略:
患者左、右冠高度,瓣叶长度,窦宽相对瓣膜均尚可,冠脉风险低。但由于患者重度AR,可能因植入深度和选择大型号瓣膜,带来较高的传导阻滞风险。其次,患者升主扩张,存在破裂风险。最后,患者是横位心,瓣环及流出道结构大,术中瓣膜释放的位置达到了极限,瓣膜释放后可能会发生位移,有瓣中瓣风险。
术中,通过预塑形导丝送入左室,主动脉根部造影反流,延大鞘进入输送系统,定位输送系统位置,瓣膜释放1/3时,起搏160bpm,快速释放至3/4处,瓣膜正常工作,手术顺利完成。

释放定位 

 最终结果

本例手术的成功并不代表汤圣兴教授团队在重度AR TAVR手术领域的探索是一帆风顺的,早期团队度过了十分艰难的摸索过程。

由于AR患者主动脉瓣的锚定条件较为严格,如瓣叶无钙化、瓣环偏大和升主动脉严重扩张等,故TAVR瓣膜锚定困难且释放后容易移位,且瓣膜植入往往需更大尺寸而瓣环破裂风险更高。一台重度AR TAVR手术过程中,团队为了确保瓣膜释放在恰当位置,曾经历过七次回收再释放,最终瓣膜0位释放,手术圆满成功。

之后,团队持续在此类手术中反复总结经验,强调通过细致的术前数据分析,判断瓣膜的锚定条件。

“要仔细观察瓣叶到底有没有增厚,最重要的是确定瓣环、LVOT和升主动脉这三个位置的锚定条件,如果三个位置都有锚定,那基本上比较可靠。如果只有两个锚定区,那要看瓣环情况,如果瓣环加瓣叶有增厚,甚至有一点点轻到中度的狭窄,这样比较好。”

此外,关于AR患者的筛选,瓣膜材料的选择,瓣膜释放要素等其它方面,团队也充分总结了经验,并形成了一套自己的标准。

● 患者筛选

首先,最重要的是观察瓣环结构,理论上如果瓣环周长超过85mm,尽量就不做;第二,看流出道情况,最好是直筒状的,瓣环和瓣下4mm的直径比值,理论上不能超过1:1.1,如果超过1.1以上就变成喇叭状,也不建议做;第三,避免存在升主动脉显著扩张,如果扩张明显,无法提供有效的锚定。总体来说,最主要的一定是瓣环直径,瓣叶有没有增厚,瓣叶有没有钙化,瓣环能否有效固定住植入的瓣膜。瓣环的固定和锚定条件,是反流患者能否进行TAVR的决定因素。

● 瓣膜材料

结合团队开展房间隔缺损介入手术中所使用的器械经验,瓣膜器械应该选用相对较软,成形稍慢的材料。团队早期曾使用过多款瓣膜,后来固定使用VitaFlow®系列瓣膜。该款瓣膜充分具备上述使用特点。

● 瓣膜释放

瓣膜释放过程中,快速起搏时一定要保持舒张压在60mmHg以下,这样瓣膜才会稳定。释放成功以后,在患者回到病房后,也尽量把收缩压控制在120mmHg以下,在病人耐受范围内越低越好,能达到100mmHg最好,能避免术后瓣膜的移位。

需要注意的是,释放过程中一旦小花冠打开、脚固定以后,建议相对迅速释放,如果释放速度过慢,反而容易出现跳滑。术者的手感也很重要,目前的瓣膜都是可回收瓣,在释放达到三分之二,瓣膜开始工作之后,可以做一个牵拉实验,适当的推拉瓣膜,通过手上的感觉判断瓣膜的稳定性。通过这种适度的推拉,还可以起到调整瓣膜角度和位置的作用,提高手术成功率。

众行远,在团队合作的基础上持续探索

开展TAVR技术需要上下同心,风雨同舟,这样才能行稳致远。

66例手术成功完成的背后,是皖南医学院弋矶山医院TAVR团队每一位成员的同心同力的身影。这是一支“强大”的队伍,汤圣兴教授介绍,由于早期医院开展TAVR手术的基础较为薄弱,院领导为他配备了医院各个科室的“精兵强将”,经过几例TAVR手术的磨合,成员与成员之间已经形成了充分的默契。

麻醉科医生会根据汤圣兴教授手术习惯提前用药,维持患者术中的生命体征稳定。超声科医生能从专业角度为术者提供清晰的超声图像,精准测量,辅助手术顺利开展。护士会在患者后背、心尖部提前贴上除颤电极,以迅速应对术中突发状况,导管室技师能根据手术需要控制造影剂的推注速度、流量、压力以及延迟造影等,还有可靠的心脏外科的支持,协助处理出现并发症的患者……

正是一群优秀的团队成员给予了汤圣兴教授无限的勇气。

在遇到的患者情况越来越危急,病变越来越复杂的环境下,汤圣兴教授心中丝毫没有担忧,反之,他正“拳拳欲试”,准备尝试开展急诊TAVR手术,在局麻下开展极简TAVR手术,结合先心介入手术经验应用经胸超声指导TAVR等,不断突破团队能力的边界,为更多高龄或外科手术高危主动脉瓣病变患者带去希望。

同时,他也在积极参加由南京市第一医院陈绍良教授团队开展的,国际首个比较TAVR治疗重度AR有效性和安全性的前瞻性、多中心随机对照研究——SEASON AR研究,期待能助力我国专家改写TAVR指南,为重度AR患者的TAVR治疗提供来自中国、安徽、皖南的经验。

顺势而为,逆流而上,对汤圣兴教授团队来说,66例仅为序章。

专家简介

汤圣兴

皖南医学院弋矶山医院

大内科主任,心血管内科主任,医学博士,教授,主任医师,博士生导师。安徽省江淮名医、安徽省卫生系统青年领军人才(卫健委学术和技术带头人),美国Wisconsin大学访问学者,享受安徽省政府特殊津贴。现任全国心血管病介入诊疗技术培训项目冠心病介入专业培训基地主任,中国医师协会心血管内科医师分会委员会委员,安徽省医师协会心力衰竭委员会第一委员会主任委员,安徽省医学会心血管病分会副主任委员,安徽省医师协会心血管病医师分会副主任委员,安徽省中西医结合学会心血管病学专业委员会副主任委员,中华医学会安徽分会心血管病学分会委员,安徽省医师协会循证医学专业委员会第一届委员会副主任委员,国家心力衰竭医联体安徽省省级指导委员会副主任委员,安徽医药编委,中国临床药理学和与治疗学杂志编委,皖南医学院学报和江苏心电杂志编委。主持安徽省科技厅、卫生厅、教育厅和皖南医学院科研课题10项,获得安徽省自然科学三等奖2项,发表学术论文80余篇。

阅读数: 1716