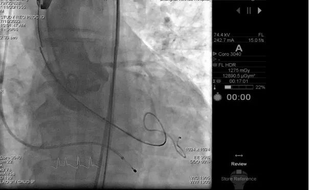
近日,上海交通大学医学院附属新华医院梅举教授团队,在心外科、麻醉手术中心、放射科、心脏超声等各科室全力配合下,成功应用SAPIEN 3瓣膜为一名二叶瓣畸形且长期患有严重哮喘的患者完成TAVR手术。团队成员紧密配合,顺畅完成过弓、跨瓣及释放操作,实现了手术的圆满成功。
患者基本情况
患者为66岁男性,因“反复胸部不适3月余”入院,合并慢性哮喘病史,长期吸入激素及支气管扩张剂维持治疗。
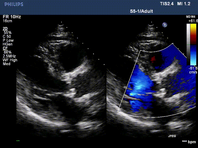
术前超声心动图
术前超声1
术前超声2
术前CT评估
手术策略讨论
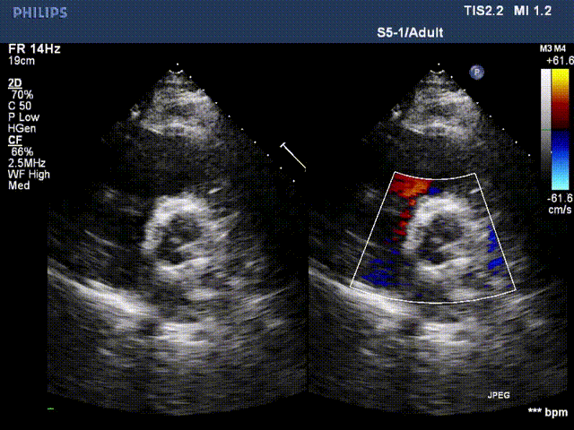
4、食道超声及根部造影结果显示无瓣周漏,跨瓣压差仅为4mmHG,左右冠脉均有显影,冠脉血流未受影响;
因症施治,为患者制定合适诊疗策略
注释:1. SAPIEN 3瓣膜为经导管主动脉瓣膜系统,注册证编号:国械注进20203130291。
专家简介
梅举
上海交通大学医学院附属新华医院
二级教授,主任医师,博导和博士后工作站导师。国家临床重点专科 · 心脏大血管外科主任,新华医院心胸外科主任。享受国务院特殊津贴,中国医师协会心血管外科医师奖(金刀奖)获得者,上海市优秀学科带头人,上海市"医务工匠"。现任国家心血管病专家委员会微创外科委员会副主委,中国研究型医院学会房颤防治委员会副主任委员,中国医师协会心血管外科医师分会常委,中国医师协会心血管外科医师分会房颤专业委员会主任委员,上海心脏大血管外科专业委员会副主任委员。国际微创胸心血管外科协会委员。《中国胸心血管外科临床杂志》、《国际心血管病杂志》、《中国心血管病研究》等杂志编委。从事心胸外科的临床与基础研究40余年,在国际上独创梅氏微创房颤手术和微创二尖瓣手术同期双极钳消融房颤手术术式,在国内首创微创多支冠状动脉搭桥术,创新性开展了微创二尖瓣修复技术,是国内最早开展TAVl、经导管二尖瓣修复术、大血管病杂交手术专家之一。在国内、外专业杂志上发表论文300余篇,出版著作8本。承担国家自然基金课题5项,曾获国家科技进步二等奖1项,军队科技进步一等奖1项,上海市科技进步二等奖1项,已培养博士、硕士30余名。
汤敏
上海交通大学医学院附属新华医院
医学博士,副主任医师,研究生导师。担任上海市医学会心脏大血管外科分会委员,国家心血管中心微创心血管外科专委会委员,亚洲瓣膜协会介入 治疗专委会委员,中国医师协会冠心病,结构性心脏病专委会委员,心房纤颤防治专委会委员,海峡两岸医药卫生交流协会老年医学专业委员会全国常委,担任 《心房颤动的外科治疗》书籍的主审。入选上海交通大学医学院“百人计划”。荣获上海市科技进步奖三等奖及上海医学科技进步奖三等奖。
擅长不停跳冠状动脉搭桥手术及微创冠状动脉搭桥手术,心血管疾病的微创杂交治疗:经导管主动脉瓣置换术,先天性心脏病、大血管疾病的介入及杂交治疗, 心脏起搏器植入及心脏再同步化治疗心功能衰竭。2007年毕业于上海交通大学医学院,获博士学位,2006年至荷兰 Maastricht 大学医院胸心外科进修。从事心胸外科专业 22 年,是冠心病外科、 心房纤颤外科、心血管微创介入和杂交治疗专家。
黄健兵
上海交通大学医学院附属新华医院
医学博士,副主任医师。2008年毕业于第二军医大学获外科学博士学位。2014年至美国宾夕法尼亚大学附属儿童医院、成人医院心胸外科进修。从事心血管外科工作近20年,熟悉各种先天性心脏病、心脏瓣膜病、冠心病、大血管疾病的诊断和治疗。擅长各心脏疾病的微创介入治疗。现每年参加手术病人300余例,治疗效果良好,具备丰富的临床经验。以主要参与者完成国家自然科学基金两项,以第一作者发表核心期刊及SCI论文10余篇


