近日,四川大学华西医院副院长郭应强教授在由医院心内科、麻醉科、放射科、心脏超声等多学科瓣膜团队全力配合下,顺畅完成过弓、跨瓣及释放操作,成功应用SAPIEN 3瓣膜为一名高龄且身体状态极差的主动脉瓣病患完成了TAVR手术。
患者基本情况
男性,85岁,术前超声提示EF 72%,Vmax=4.7m/s , 平均跨瓣压差51mmHg,重度主动脉瓣狭窄。
手术策略讨论
手术流程
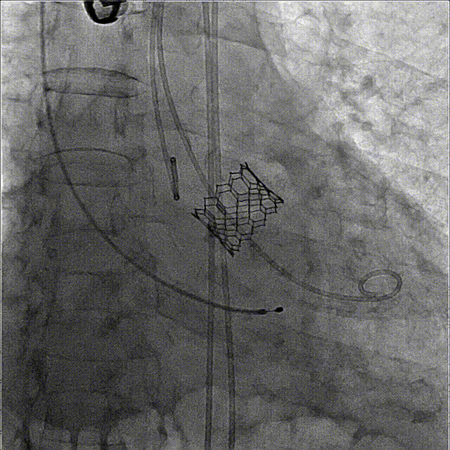
1、全麻下建立双侧股动脉入路,以右股动脉为主,猪尾导管造影确认共平面;
2、直头导丝成功跨瓣;
3、交换加硬导丝super stiff至心室;
4、通过14F E-sheath大鞘,送入23mm SAPIEN3瓣膜,利用Commander输送系统独特调弯功能,顺利过弓;
5、调整至共平面角度,在加硬导丝支撑下,成功跨瓣;
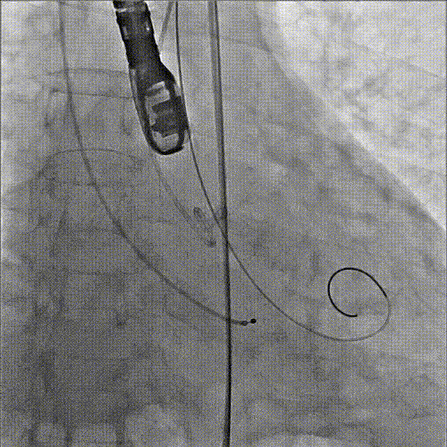
6、造影确定瓣膜到位,180bpm快速起搏下精准释放瓣膜;
7、撤出输送系统,根部造影结果显示瓣膜释放后形态位置良好、无瓣周漏,且左右冠脉均显影正常,冠脉血流未受影响;
8、术后两侧血管造影,排除入路损伤问题,手术圆满成功;
入路血管细、钙化严重、高龄、心功能较差……术后,郭应强教授分析并回顾了本例手术的难点和整个手术细节。
他指出,此次手术患者瓣膜病变较为严重,且患者长期卧床,身体素质较差,根本无法耐受外科开胸手术及经心尖TAVR手术,只能通过经股动脉TAVR手术来诊疗。而患者的血管评估结果又提示,患者股动脉迂曲、钙化严重且斑块较多,因此在选择瓣膜器械时,团队希望能尽可能减少对患者外周血管的损伤,瓣膜系统的输送鞘管越细越好。
仔细分析对比完临床上常见的几款瓣膜系统后,最终团队决定选用SAPIEN 3瓣膜。首先是因为SAPIEN 3瓣膜系统所使用的输送鞘管是临床上常用瓣膜产品中最细的一款。其次,CT评估出患者冠脉开口处存在风险,球扩瓣也能帮助降低TAVR手术对冠脉开口的影响。
结合充分的术前分析和演练,整个手术过程也十分顺畅。术中SAPIEN 3瓣膜表现出了良好的操控性。经历过近两千台TAVR手术操作,郭应强教授表示,TAVR手术过程中术者对瓣膜器械最大的期望就是术者的采取的每一个动作都能在相应的目标点位,SAPIEN 3瓣膜很好地实现了这一点,大大提升了此次TAVR手术效果。
通过此次手术使用感受,郭应强教授展望道,随着未来更多术者能够成熟地掌握这项技术,患者疗效、手术安全性方面都能得到进一步提升,该技术值得临床医生去推广和使用。
此次手术的瓣膜选择和应用也体现了郭应强教授团队开展TAVR手术的特点——以服务患者为导向,树立团队全局意识,开展安全瓣膜手术。
“不同的医生所提供的信息是不一样的,我们团队里的每一个亚专业的人,都需要在整个过程当中对患者进行全面研判,以提供充足的信息来指导手术。”郭应强教授强调。
郭应强教授团队内包括心内科、心外科、麻醉、影像、超声等多学科医生。虽然TAVR手术所造成的创伤极小,但接受手术的患者多为高危高龄,且身体状态较差,任何一个环节出现问题,都会影响整个手术的最终效果。因此,郭应强教授要求团队每一位成员都要清晰地了解手术步骤,了解患者从入院到出院的状态,对患者进行全面地预判,整个团队都要能参与其中。而团队成员对患者情况的精准把握反馈到郭应强教授身上也让他能更充分地掌握患者信息,更好地服务手术。
“我们是一个内外科充分结合的瓣膜团队,可以为患者提供最高质量、最安全的服务。”郭应强教授最后说道。
注释:1. SAPIEN 3瓣膜为经导管主动脉瓣膜系统,注册证编号:国械注进20203130291。
专家简介
郭应强
四川大学华西医院
华西医院副院长,心脏大血管外科教授,主任医师,博士生导师,美国胸外科学会(AATS)会员,国际微创心胸外科学会(ISMICS)会员,国家心血管病专家委员会微创心血管外科专业委员会副主任委员;亚洲心脏瓣膜病学会中国分会心脏瓣膜病介入治疗技术学术委员会副主任委员;中国医药教育协会心脏外科专业委员会副主任委员;四川省学术技术带头人;《中国胸心血管外科临床杂志》编委。
