2022年7月25日,郑州大学第一附属医院杂交手术室内,在姜正明教授团队的默契配合和熟练操作下,成功应用SAPIEN 3瓣膜完成一例经心尖途径二尖瓣瓣中瓣手术,使患者免去再次开胸的创伤,提高了患者后期的生活质量和寿命。这是SAPIEN 3瓣膜在国内首次采用经心尖途径释放,标志着SAPIEN 3瓣膜进入了经心尖入路的新阶段,应用范围进一步拓宽。
患者基本情况
该患者为69岁老年男性,于2013年3月因风湿性心脏病二尖瓣重度狭窄合并冠心病进行冠状动脉搭桥手术联合二尖瓣生物瓣置换术,此次因反复胸腔积液至当地医院予以纠正心衰药物治疗,超声检查提示人工二尖瓣狭窄并重度关闭不全,人工二尖瓣返流,左心房显著增大。
手术策略讨论
结合患者病史,姜正明教授团队经讨论后认为,患者再次开胸手术风险为极高危,而且药物保守治疗没有出路,会因二尖瓣反流出现反复心衰而住院,在结合患者和家属意愿后,团队决定行微创二尖瓣瓣中瓣手术。
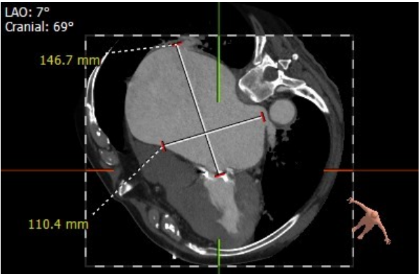
但该例患者CT分析显示,经股静脉—房间隔途径时,房间隔穿刺位置过低,难以实现输送系统自房间隔—左房—二尖瓣的通过,无法采用经股方式,在充分评估患者情况后,姜正明教授团队决定行经心尖途径入路。
面对患者复杂情况,经过充分准备,术中所有成员各司其职、配合默契,团队成员谨慎操作,心外科刘超教授团队提供充分保障、王玲云教授提供精确的超声指导,体外生命支持团队StandBy、麻醉团队、护理团队提供大力支持,瓣膜鞘管进入体内至完美释放仅用时4分钟。
瓣膜释放过程
瓣膜释放后最终结果
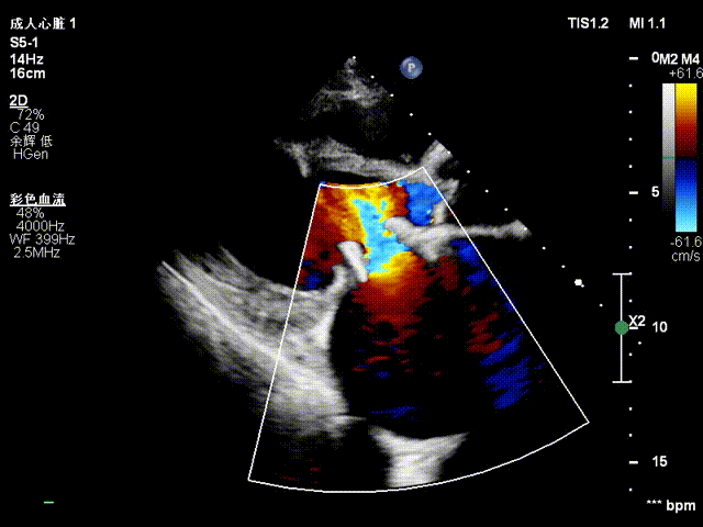
瓣膜释放后显示人工瓣膜位置良好、微量瓣周漏,跨二尖瓣平均压差为5mmHg,顺利完成手术。
[1]:Cheung A, Webb JG, Wong DR, et al. Transapical transcatheter mitral valve-in-valve implantation in a human. Ann Thorac Surg 2009;87:e18–20.
专家简介
姜正明
郑州大学第一附属医院
副主任医师,中华医学会心血管分会结构性心脏病学组委员,中国医师协会心血管内科分会结构性心脏病学组委员 ,河南省医学会心血管病学分会第一届结构性心脏病学组副组长。组建河南省内首个完整的心脏瓣膜病治疗团队,开展心脏瓣膜病的微创治疗及科研任务,熟练完成慢性闭塞性病变等复杂冠心病的介入治疗、先天性心脏病的介入治疗等,能够将心脏瓣膜疾病、心脏结构性疾病、起搏电生理、冠状动脉疾病、大血管疾病的微创治疗融会贯通,发表SCI文章多篇。
