2022年7月1日,广东省人民医院赣州医院(赣州市立医院)倪忠涵院长团队成功完成首例TaurusElite经导管主动脉瓣系统植入。患者是一位62岁的老年女性,于6月下旬入院,入院后完善心脏CT提示患者为Type0型中重度钙化二叶式主动脉瓣,重度狭窄并轻度返流,其钙化重,瓣口面积小,瓣口限制明显,预估术中人工瓣膜定位精度要求较高,瓣膜锚定难度较大,瓣膜植入存在移位及瓣周漏风险。倪忠涵院长带领手术团队术前反复讨论、精准评估,制定了详细的手术策略,术中在心血管内科、麻醉科、超声科、介入手术室的通力合作下,手术圆满成功,瓣膜植入后即刻血流动力学改善,无位移及瓣周漏,为患者后续生命生存质量带来极大获益,保障了患者的远期预后。这是TaurusElite经导管主动脉瓣系统上市以来,在广东省人民医院赣州医院(赣州市立医院)的首例植入。
患者基本信息
患者为62岁女性,因活动后心悸,呼吸困难1年余,遂至广东省人民医院赣州医院就诊检查,既往有高血压病史。经术前超声心动图诊断:患者主动脉瓣重度狭窄(最大压差145mmHg,平均压差94mmHg),主动脉瓣钙化,主动脉瓣轻度反流并主动脉硬化,药物治疗后症状无改善。
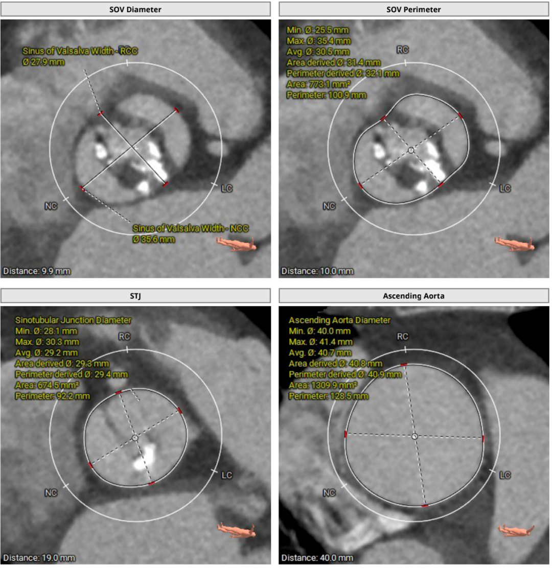
术前CT评估
1.Type0型二叶式主动脉瓣,左右冠同窦,瓣叶增厚伴中重度钙化,钙化主要分布于无窦与左窦交合缘及瓣叶边缘;LVOT呈类直筒状形态;
2.冠脉开口高度尚可,左冠瓣叶稍冗长,切线位左冠瓣叶长度稍大于冠脉开口到瓣叶根部附着缘距离 ;
3.瓦氏窦、窦管交界内径正常,升主动脉扩张;左室腔内径可,心室壁增厚;
4.主动脉瓣环与水平面夹角为62°,横位心,主动脉弓部夹角,弓距尚可;
5.主动脉弓、腹主动脉可见散在斑块,股动脉穿刺处未见钙化、狭窄,入路血管直径尚可。
CT动态预览
主动脉根部测量
瓣上结构测量
脉阻挡风险、左室大小及横位心评估
外周血管入路评估
病例特点及手术难点
1.Type0型二叶式主动脉瓣,左右冠同窦,瓣叶增厚伴中重度钙化,钙化主要分布于无窦与左窦交合缘及瓣叶边缘,LVOT呈类直筒状形态,预估人工瓣膜会有较明显形变,有根部撕裂、损伤风险;左室流出道提供辅助锚定,综合预估瓣膜锚定定位精度要求较高,人工瓣膜位移风险适中,瓣中瓣风险适中;
2.冠脉开口高度尚可,左冠瓣叶稍冗长,切线位左冠瓣叶长度稍大于冠脉开口到瓣叶根部附着缘距离,综合分析冠脉堵塞风险尚可,术中密切关注冠脉血流灌注;
3.左室腔内径可,心室壁增厚,术中密切关注血流动力学变化;
4.横位心,主动脉弓距及夹角尚可,升主动脉扩张,警惕血管夹层、破裂等风险;综合预估输送系统过 弓难度适中,跨瓣难度适中,必要时辅助以snare过弓跨瓣;
5.入路血管条件尚可,入路规范操作,避免入路血管相关并发症。
手术策略
1.采用全麻+TEE的手术方式;
2.右侧股动脉为主入路,左侧股动脉为辅入路;
3.推荐选择18mm球囊扩张;
4.推荐预装AV23瓣膜,释放角度为双窦展开位,推荐瓣环平面上0~2mm定位释放。
手术过程
主动脉根部造影提示主动脉瓣重度狭窄并轻度反流,予以18mm球囊充分预扩,球囊有轻微腰征,无造影剂渗漏,冠脉显影正常。
根部造影
球囊预扩
TaurusElite输送系统柔顺过弓跨瓣后,第一次AV23瓣膜瓣环平面上2mm定位释放,到工作位后造影评估瓣膜形态、发现无冠窦支撑力不够理想瓣膜完全释放有上跳风险,于是决定回收瓣膜,调整瓣膜定位,重新释放;
第一次定位
第一次释放
第二次定位
基于第一次高位释放瓣膜后无冠窦受压迫的现象,术中调整定位释放策略,瓣膜回收后瓣环平面下2mm重新定位释放。
第二次释放
第二次释放到工作位评估
瓣膜完全释放
完全释放后造影评估
完全释放后瓣膜形态、位置良好,冠脉血流灌注正常,微少量瓣周漏。术后跨瓣压差从105mmHg降到5mmHg;
术后外周血管造影
术前跨瓣压差
术后跨瓣压差
总结
随着TAVR技术在国内的普及,主动脉瓣狭窄患者有了更多的治疗选择。本例患者为主动脉瓣重度狭窄伴轻度反流,患者伴代偿性心力衰竭,术前评估适宜行TAVR手术,有TAVR手术指征。术前CT分析提示患者为Type0型二叶式主动脉瓣,瓣环径23.5mm,瓣叶增厚伴重度钙化,钙化主要分布于无窦与左窦交合缘及瓣叶边缘,LVOT呈类直筒状形态,预估人工瓣膜会有较明显形变,有根部撕裂、损伤风险。左室流出道可提供辅助锚定,综合预估瓣膜锚定定位精度要求较高。患者又为横位心,主动脉弓距及夹角尚可,升主动脉扩张,需警惕血管夹层、破裂等风险,对经导管主动脉瓣输送系统过弓、跨瓣的性能要求较高。综合以上因素,该患者行TAVR手术对术者快速、精准的操作能力及手术团队的密切配合要求较高。广东省人民医院赣州医院(赣州市立医院)倪忠涵院长带领团队,经过心内科、心外科、麻醉科、超声等多学科团队的缜密讨论,最终决定为患者施行TAVR手术治疗。
手术过程中,TaurusElite输送系统具有较优异的柔顺性,轻松完成过弓跨瓣操作。其次,由于Type0型二叶瓣狭窄表现为瓣叶+瓣环的“火山口”立体结构,TaurusElite瓣膜高密度流入端设计提供了足够的径向支撑力,保证了瓣膜的锚定力,瓣膜内外双裙边设计能提供良好的辅助锚定力,有效减少瓣周漏。另外,TaurusElite瓣膜系统具有多次完全可回收、回收后可重新跨瓣等设计特点,针对瓣膜释放过程中可能出现的瓣膜下滑或上跳的风险,能让术者在释放过程中更有信心,可以降低手术风险,减少并发症的产生,对于新术者也能降低学习难度,提高手术成功率。本例患者于瓣环下2mm左右定位释放,释放后瓣膜形态、位置良好,冠脉血流灌注正常,术后跨瓣压差从105mmHg降至5mmHg,手术效果十分优异。本次手术的成功不仅仅展现广东省人民医院赣州医院(赣州市立医院)倪忠涵教授团队TAVR技术的积累与沉淀,也是团队“医者仁心”的体现。从患者入院开始,倪忠涵教授团队积极与患者及其家属沟通,结合患者意愿与手术风险,多学科的综合评估从而制定适合患者的手术方案,保障患者的疗效与远期获益。这也标志着广东省人民医院赣州医院(赣州市立医院)心脏瓣膜病的诊治取得了新的突破,以后将会造福更多的瓣膜疾病患者。
专家简介
倪忠涵
广东省人民医院赣州医院(赣州市立医院)
副院长,医学博士。
广东省人民医院赣州医院(赣州市立医院)心血管内科首席专家,曾在奥地利维也纳总医院访问学习,并在南太平洋岛国斐济最大医院殖民战争纪念医院指导开展冠脉介入治疗。多次在法国、德国、新加坡、韩国、日本、澳大利亚、阿拉伯联合酋长国及国内举办的心血管病大会上发言。曾在《中华心血管病杂志》、《 CHINESE MEDICAL JOURNAL》《中国介入心脏病学杂志》及一些国际期刊发表文章。擅长冠心病介入诊治;肾动脉等周围血管及主动脉疾病的介入诊治;冠心病药物球囊治疗(无支架植入治疗冠心病);冠心病慢性闭塞病变介入治疗;肥厚性梗阻型心肌病化学消融治疗。
裴芳
广东省人民医院赣州医院(赣州市立医院)
医学博士、博士后,主任医师、硕士研究生导师,科室副主任。
从事临床工作20余年,接受了全方位的理论、科研和专业技能培训,具有扎实的心血管内科理论基础、丰富的临床实践经验和较强的教学科研工作能力。能够熟练诊治心血管内科常见疾病及急危重症,擅长冠脉介入治疗、人工心脏起和心脏射频消融术。主持国家自然科学基金 2 项和省部级课题 4 项,参与多项国家及省部级科研项目,现为《中国组织工程研究杂志》审稿专家,已在中外医学刊物发表论文 30 余篇,其中SCI 10余篇,在中国医师协会中西医结合医师分会心力衰竭专家委员会、国际心脏研究会中国转化医学工作委员会等10余个学术团体任职。
曹竣
广东省人民医院赣州医院(赣州市立医院)
心内科副主任医师,赣州市首批优秀青年医师,章贡区优秀青年医师,中国结构性心脏病专业委员会委员,江西省介入协会青年委员会常务委员,赣州市医学会心血管病分会委员,赣州市研究型医院学会高血压分会委员,赣州市绿色电生理协会委员等。
谢正
广东省人民医院赣州医院(赣州市立医院)
心血管内科副主任医师,2004年始从事心血管疾病临床和介入工作,2014年首届十佳医师获得者。先后在深圳孙逸仙心血管病医院、广东省人民医院心研所进修。擅长心律失常、冠心病、高血压、心力衰竭、心肌病等心血管疾病诊治和介入诊治技术。



