2022年7月15日,上海市第六人民医院沈成兴教授团队成功应用新一代可回收瓣膜系统TaurusElite为一位重度主动脉瓣狭窄合并严重冠心病患者完成了PCI+TAVR一站式手术。此次接受手术的患者,长期存在“活动后胸痛和气短症状”的困扰,此次入院前更是出现稍有活动即感胸痛,并伴乏力、气促。经检查发现患者存在重度主动脉瓣狭窄合并冠状动脉严重狭窄,心功能不全,且主动脉根部扩张、心脏明显横位、冠脉钙化严重且为分叉病变。患者本人及家属经过商讨后拒绝外科手术,希望能微创介入治疗。同时,由于手术过程具有较高的挑战性,经沈主任领衔的结构性心脏病介入团队详细分析讨论,周密安排,手术顺利完成,术后患者症状改善明显,状态稳定。
患者基本信息
患者为73岁老年男性,因“反复胸痛6年,加重2天”入院。患者长期表现为劳力型胸痛,曾于6年前行冠脉介入治疗。此次来上海市第六人民院心内科就诊,经查合并有重度主动脉瓣狭窄病变。查体:BP 110/65 mmHg,心率70bpm,律齐;主动脉瓣听诊可闻及粗糙、高音调的喷射性收缩期杂音。心脏超声提示主动脉重度狭窄伴轻度反流,二尖瓣轻度反流。遂以“主动脉狭窄(重度)、冠状动脉粥样硬化性心脏病、冠状动脉支架植入术后、高血压病2级(极高危组)”收治入院。
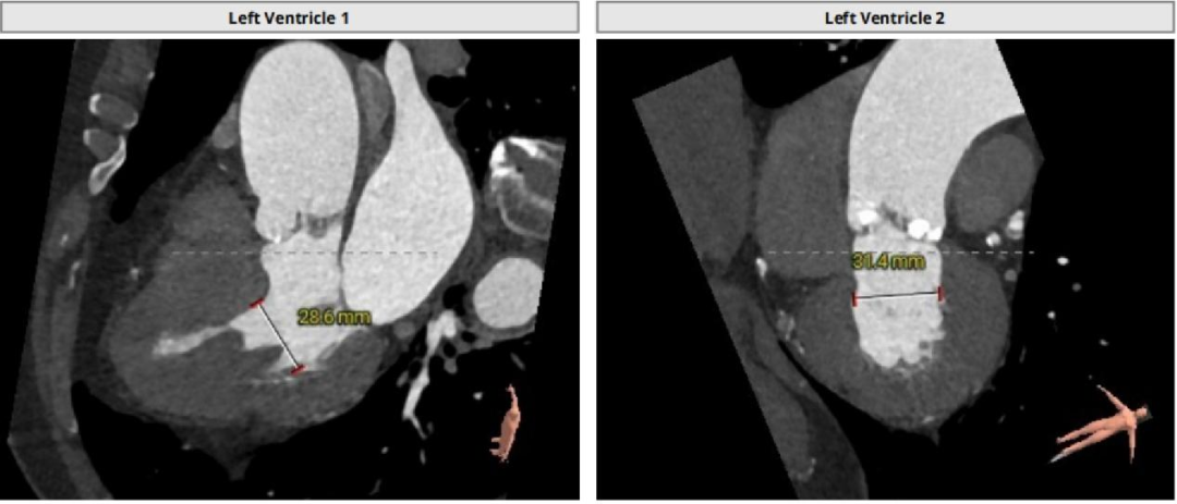
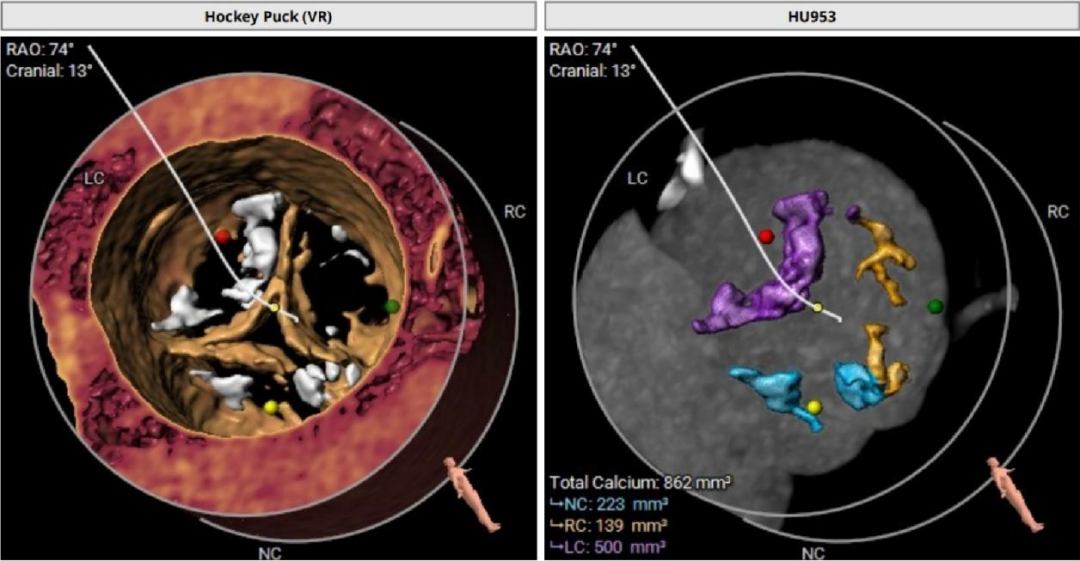
患者CT评估
三叶三窦式主动脉瓣
瓣环周长94.5mm,平均周长径30.1mm;
SOV瓦式窦:32.6mm *35.4mm*36.9mm ;
LVOT周长91.9mm,平均周长径 29.2mm。
STJ平面周长115.2mm;
升主动脉最大直径47.6mm;
瓣叶重度钙化合并增厚,钙化分布不均,主要集中于左冠窦内。
HU953 积分862mm²。
左冠高度14.7mm 右冠高度15.1mm;
瓣口对应瓣叶稍冗长,术中须注意冠脉风险。
心脏水平夹角67°,横位心;
左室腔内径尚可,心室壁增厚明显。
主动脉弓夹角及弓距可,外周血管入路无明显迂曲。
右侧髂总动脉自发夹层7mm。
病例特点
该患者为一例重度AS合并冠心病患者。
患者主动脉根部结构尺寸较大,合并重度钙化,钙化灶分布不均,瓣口形状差,假体瓣释放后形态可能不理想;
患者冠心病病情复杂,存在严重钙化,分叉病变,术中风险大,要兼顾冠脉和主动脉瓣,一站式治疗有助于减少风险;
患者心脏水平夹角偏大,升主动脉存在扩张,器械进入存在一定血管损伤风险,瓣膜释放同轴性可能欠佳;
外周入路存在自发性血管夹层,围手术期血管并发症风险较高。
常规的手术讨论
以右侧股动脉为主路,左侧股动脉为辅路并为PCI路径,左侧股静脉为临时起搏器径路,左侧桡动脉穿刺为麻醉有创血压监测;
右侧股动脉置入20F大鞘后先跨瓣留置5F猪尾巴导管,然后经大鞘置入IABP进行球囊反搏支持,左股动脉径路行冠脉介入。前降支真性分叉病变,拟行分支扩张、药物球囊、主支植入支架。考虑主支和分支均钙化较重,予以旋磨备用,主支狭窄远端紧邻心肌桥,注意支架落脚点,避免损伤肌桥;
冠脉介入成功后撤出IABP,予以更换6F猪尾巴,送landerquist导丝,23mm球囊跨瓣预扩张,拟植入31mm瓣膜。
手术过程回顾
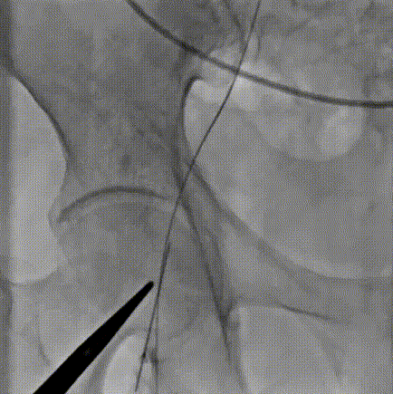
1.以左侧股动脉为辅路,造影指导下穿刺右侧股动脉为主入路;
2.主动脉根部造影,可见瓣口开阖运动差,并存在中量返流,主动脉及心脏受高速血流冲击,位移幅度较大;
3. 直头导丝跨瓣,通过交换导丝将猪尾导管引入左室,测得平均跨瓣压差约60mmHg;
4. 留置猪尾于左室,行左冠造影并进行介入治疗;
5.7F指引导管到位左冠,将导丝置入前降支及对角支;
6.应用预扩球囊、NC球囊和切割球囊对前降支和对角支病变进行反复预扩张,顺利对病变成功预处理;
7. 予以对角支行2.0×20mm药物球囊扩张(6atm×60S),并于预埋球囊保护分支情况下行前降支植入30×28mm支架,最后予以3.5×10mm NC球囊后扩张支架近段;
8. 复查造影冠脉病变处理结果满意;
9. 交换超硬导丝入左心室,选用23mm TaurusAtlas球囊进行预扩;
10. TaurusElite输送器顺畅过弓;
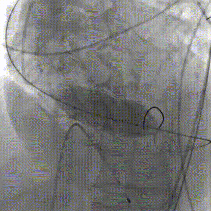
11. 造影辅助零位定位释放;
12. 第一次释放至工作位,造影、超声评估瓣膜同轴性较差;
13. 遂予以回收;
14. 第二次释放至工作位,评估瓣膜形态良好,遂予以释放;
15. 造影示中度瓣周漏,决定予以后扩;
16.选用25mm TaurusAtlas球囊进行后扩;
17. 后扩后见瓣周漏改善明显,导管测压得压差为0mmHg,超声测量血流动力学指标良好。
18.外周造影未见造影剂渗漏或潴留,手术成功!
术后讨论
术后,经全科回顾性讨论,认为本例手术难点主要分为三个层面:
其一是患者本身的冠脉病变情况复杂。患者既往存在长期冠脉病史,由于主动脉根部的扩张,造成指引导管很难到位支撑。本次入院检查示左前降支近中段及对角支分叉病变(均为90%-95%狭窄),且钙化严重,处理此类病变容易出现冠脉夹层或无再流风险,因患者同时伴有重度主动脉瓣狭窄,故患者术中容易出现循环崩溃风险。
其二是患者主动脉瓣狭窄明确,瓣口面积狭小,心肌代偿性增厚明显。提示患者主诉可能与心排出量降低及心肌需氧量升高有关,使得治疗团队必须将改善心排出量与治疗冠脉阻塞同时进行,降低手术损伤,提高预后效果。
其三是患者髂总动脉存在自发性夹层。这对于临床操作而言,提出了一定的要求,使得施术者必须时刻保持谨慎,轻柔精准地完成手术操作。
在整个手术过程中,整个团队配合无间,在术前制定了详尽的手术方案,并在术中贯彻落实。团队依托现有临床指南,及本中心以往经验,确定了先行PCI再行TAVR的手术策略。并在术中全程保留左室器械通路,以便在必要时以最快速度植入瓣膜,保障患者血流通路的顺畅。在瓣膜释放环节,TaurusElite大手柄具有的良好操作性及多次可回收性能,帮助术者进行了精确的释放定位。基于术者在术前充分的预案准备,瓣膜最终于预定锚定点定位。球囊后扩完成后,即时超声评估提示少量瓣周漏,导管跨瓣压差稳定在0mmHg,符合术前预期,宣告手术成功完成。
术者团队介绍
上海市第六人民医院心脏中心TAVR团队介绍
上海市第六人民医院心脏中心TAVR团队由心脏中心联合超声科、影像科和麻醉科等多学科共同参与建设。其中心血管内科是我国最早设立心血管病专科的大型临床医学中心,国家重点学科组成单位,上海交通大学医学院和院级重点学科,卫健委首批冠脉介入和心律失常介入培训基地。现任学科负责人沈成兴教授在国内心血管内科领域具有较高的学术地位,担任中华医学会心血管病分会委员、中国医师协会心血管内科医师分会代谢性心血管病学组副组长、中国微循环学会常务理事,欧洲心脏病学会委员(FESC),《中华心血管病杂志》及《中华医学杂志》审稿专家,OCC会议心脏康复论坛坛主,卫生部冠状动脉介入治疗培训基地介入培训导师。目前本科室成员中教授/副教授高级职称10余名,拥有博士学位者18名,开放病床数110张,擅于各种复杂、疑难和重症心血管疾病的诊治。
目前科室已经形成以“冠心病介入治疗”、“心律失常介入治疗”、“结构性心脏病介入治疗”、“心力衰竭诊疗”及“慢性心血管疾病全程管理”的五大诊疗特色。其中结构性心脏病包括各种先心病及瓣膜病等,目前均可采用非外科手术即经导管介入的方式进行治疗,具有创伤小、风险低、恢复快、住院时间短、无需输血等优点。上海市第六人民医院心脏中心TAVR团队严格按照中国心脏瓣膜病中心的建设标准和要求,通过多学科紧密合作,共同为每一个瓣膜病患者提供国际同步的一线治疗方案,目前在瓣膜病的治疗领域已逐渐成为了六院特色之一,也为不能进行外科开胸治疗的患者提供了生存希望。
专家简介
沈成兴
上海市第六人民医院
专家门诊:周一上午
特需门诊:周四上午
金贤
上海市第六人民医院
专家门诊:周二全天、周五上午
特需门诊:周六上午

