2022年7月13日昆明医科大学附属延安医院光雪峰主任团队在多学科团队的密切配合下,成功使用TaurusElite瓣膜为一例Type0型二叶瓣、升主扩张、弓部近降主折角的高风险患者进行TAVR手术。该病例复杂的解剖结构大大增加了手术难度,术前光雪峰主任团队反复沟通讨论,精准评估,制定了详细的手术策略,术中多学科的默契配合,以精湛的手术技巧顺利为患者植入人工假体瓣膜,人工假体瓣膜植入后患者血流动力学得到即刻改善,为患者后续生命生存质量带来极大获益,保障了患者的远期预后。
患者基本信息:
患者为72岁男性,术前入院心脏彩超提示:
1.主动脉瓣中-重度狭窄,并轻-中度关闭不全,升主动脉内径明显增宽;
2.二尖瓣、三尖瓣轻度关闭不全;
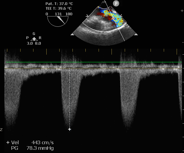
3.EF31%,峰值流速387cm/s,峰值压差60mmHg。
术前评估:
1.主动脉瓣瓣环周长83.8mm,平均周长径26.7mm。
2. Type0型二叶式主动脉瓣,左右冠不同窦,瓣叶中度钙化伴增厚,钙化分布不均匀,主要分布于瓣叶对合缘处。
3. 左右冠开口高度可,左冠瓣叶长度<瓣叶附着缘到冠脉开口处,右冠瓣叶长度>瓣叶附着缘到冠脉开口处,瓦氏窦、窦管交界内径尚可,升主动脉瘤样性扩张(最大直径52.2mm) 。
4. 流出道呈敞口型,心室腔偏大 。
5. 瓣环水平夹角45°,非横位心,主动脉弓距偏短,夹角偏锐。
6. 双侧髂动脉走行尚可,股动脉穿刺区域未见明显钙化斑块,整体血管入路直径良好。
病例特点:
该病人为一例典型Type0型二叶式主动脉瓣重度狭窄且升主增宽,弓角偏锐,弓距偏短,结合根部及外周情况,人工瓣膜过弓及跨瓣难度较大。
1. Type0型二叶式主动脉瓣,瓣叶中度钙化伴增厚,钙化分布不均匀,LVOT呈敞口形,结合瓦氏窦、STJ,升主综合预估瓣膜锚定力难度适中,存在人工瓣膜形变、移位、瓣周漏风险。
2. 左右冠开口高度可,左冠瓣叶长度<瓣叶附着缘到冠脉开口处,右冠瓣叶长度>瓣叶附着缘到冠脉开口处,结合瓦氏窦、STJ内径及形态结构综合分析,预估冠脉堵塞风险偏低。
3. 非横位心,主动脉弓夹角偏锐,弓距偏短,预计输送系统过弓、跨瓣难度较大,备Snare辅助,升主瘤样扩张,警惕升主夹层风险 。
4. 左室腔内径偏大,警惕循环崩溃风险。
5. 整体血管入路直径及走行良好。
主动脉根部评估:
根部概览
冠脉情况
瓣上评估
外周血管及主动脉弓解剖:
手术策略讨论:
1.推荐右侧股动脉为主入路,左侧辅助入路,推荐20F血管鞘。
2.双超硬导丝及Snare辅助过弓,避免损伤升主动脉。
3. 根据当前影像及测量数值,推荐 LAO 35° CRA 27°(双窦展开位)左右跨瓣。
3.推荐选择23mm球囊预扩张,推荐预装AV29瓣膜。
4.瓣膜释放高度推荐瓣环上0--2mm左右。释放后建议调整至正交位 RAO35°CAU31°进一步确定人工瓣膜形态。
手术过程概览:
主动脉根部造影
导丝跨瓣
23mm球囊预扩
Snare辅助输送系统过弓
瓣膜定位
释放瓣膜
瓣膜释放至工作位评估
瓣膜脱钩
25mm球囊后扩
瓣膜最终形态
术后即刻评估
术后压差从78.3mmHg降至6.89mmHg,瓣膜正常工作,患者血流动力学即刻得到改善。
专家简介
光雪峰
昆明医科大学附属延安医院
心内科主任,昆明医科大学博士,硕士研究生导师,享受国务院特殊津贴,获国家人力资源部、卫生和计划生育委员会、中医药管理局“白求恩奖章”及“全国卫生系统先进工作者”称号,云岭名医,云南省医学会心血管病分会前任主任委员及前任中华心血管病分会委员等。从事心血管病专业三十余年及介入心脏病学亚专业二十余年,培养研究生30余名,撰写论文多篇。
杨栋
昆明医科大学附属延安医院
副主任医师,昆明市延安医院心内科先心病与结构心脏病诊疗中心主任,云南省医师协会心血管病分会常委、云南省医学会心血管病学分会委员、云南省心脏康复中心联盟第一届委员、冠心病和先心病介入培训导师。对心内科各种常见病、多发病、疑难、急危重症的诊治有丰富经验,擅长复杂冠心病的冠脉支架置手术(如:左主干分叉、 钙化、IVUS、CTO、FFR等)和结构性⼼脏病(主动脉瓣狭窄 TAVR 治疗、二尖瓣狭窄球囊扩张、瓣周漏介入封堵术),先心病的介入手术(如:动脉导管未闭、房间隔缺损、室间隔缺损、肺动脉瓣狭窄、冠脉瘘、微创主动脉瓣置换术、左心耳封堵术等)。每年完成心内科介入手术 1500余台,累计完成介入手术2万余例,已培养了心内科专科介入医生30余名,在核心期刊上发表文章10余篇,参编专着5本。
陈志鹏
昆明医科大学附属延安医院
心内科,昆明医科大学硕士研究生毕业,主要从事心血管内科急重症、结构心脏病(瓣膜心脏病、先心病)、冠心病等诊疗工作。先后在心内CCU、心内科结构心脏病组(心内四病区)工作。业务专长:经导管主动脉瓣植入术(TAVI术)、冠心病介入术、左心耳介入封堵术等心内科微创手术治疗。
