2022年7月6日,永州职院附属医院(永州市第一人民医院)副院长周振教授与心血管内科刘建宏主任团队联合超声科、重症医学科、麻醉科、护理等多学科心脏瓣膜团队,成功使用TaurusElite瓣膜为一例重度钙化的Type1型二叶瓣患者行TAVR手术,此例手术成为永州地区历史第一台TAVR手术,填补了该地区TAVR技术的空白。该患者为一位79岁高龄患者,因长期反复严重心衰伴心绞痛多次住院,一般状况欠佳,无法耐受外科开胸手术。手术过程中,TaurusElite瓣膜平衡的收腰设计、良好的径向支撑力和稳定的释放特性保证了手术安全、顺利的完成;患者术后跨瓣压差明显降低,血流动力学稳定,临床症状明显改善,为患者提高了生活质量,改善了远期预后。
患者基本情况:
患者79岁男性,入院心脏彩超提示:主动脉瓣回声增强,瓣叶增厚伴钙化,开放受限;主动脉瓣上流速4.98m/s,平均跨瓣压差:53mmHg;LA 41mm,LV 52mm,LVEF 60%。结论:1.主动脉瓣钙化伴重度狭窄;2.左房大,左室壁肥厚;3.主动脉瓣中度反流;4. 二尖瓣轻度反流;5. 左室收缩功能减低,左室舒张功能减低
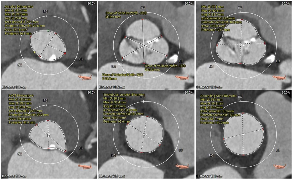
术前CT评估:
病例特点及手术难点:
手术策略:
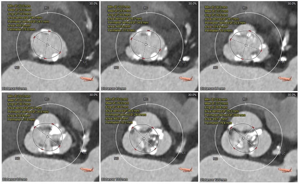
手术过程:
主动脉根部造影
球囊预扩
瓣膜定位
释放到工作位
多角度观察
最终释放
总结:
本例患者为主动脉瓣重度狭窄伴中度反流,因反复严重心衰伴心绞痛多次住院,同时合并高血压病、陈旧性脑梗死等基础疾病,一般状况不佳,无法耐受外科开胸手术,有强烈的微创换瓣手术意愿;患者术前心脏彩超、CT等评估适宜行TAVR手术,TAVR手术指征明确。CT分析提示患者为Type1型二叶式主动脉瓣,瓣叶明显增厚伴重度钙化,左右窦间可见钙化融合嵴,瓣膜植入后受钙化嵴挤压影响存在瓣周漏风险;此外,患者左窦间存在长条状钙化延伸至瓣环下10mm水平,瓣膜植入后可能压迫传导束,存在起搏器植入风险,对瓣膜释放位置及精准度要求较高,需要术者快速、精准的操作能力及手术团队的密切配合。
手术过程中,在完成跨瓣操作后,23mm球囊预扩有轻微腰征、无造影剂渗漏,预装TaurusElite AV29瓣膜到位,输送系统快速、顺利地完成过弓、跨瓣操作,于瓣环上约2mm定位释放;针对本例患者瓣叶明显增厚伴重度钙化,左右窦间可见钙化融合嵴的特点,TaurusElite瓣膜高密度流入端设计提供了足够的径向支撑力,保证了瓣膜的锚定力,瓣膜内外双裙边设计能提供良好的辅助锚定力,有效减少瓣周漏。此外,本例患者左窦间存在长条状钙化延伸至瓣环下10mm水平,释放位置偏深可能存在起搏器植入风险,TaurusElite瓣膜具有多次完全可回收,回收后可重新跨瓣、释放的特点,给予术者足够的信心完成高位释放的操作,释放后最终瓣架底端位于瓣环下约1mm,实现了释放位置的精准控制,有效的减少了起搏器植入风险,确保了手术安全、顺利的完成。这例手术为永州地区开展的第一台TAVR手术,填补了该地区TAVR技术空白,标志着永州市心脏瓣膜疾病诊治迈入了全新的微创治疗时代!
专家简介
刘建宏
永州市第一人民医院
永州市第一人民医院副主任医师,心血管内科主任。从事医学教学了、科研、临床工作20年积累了丰富的临床经验,擅长冠心病、高血压、心律失常、先天性心脏病、心肌炎、心肌病、心力衰竭等急危重症疾病诊断及药物和介入治疗,2014年获得卫生部颁发的冠心病介入治疗资质。冠心病、结构性心脏病、心律失常介入治疗专家,永州市医学会内科心血管专业委员会常委委员,永州市医学会老年病专业委员会秘书,湖南省医学会心血管专业委员会重症学组委员,参编专著2部,发表论文20篇。
