另辟蹊径 化险为夷|哈医大二院使用VitaFlow Liberty™完成一例经颈动脉TAVR治疗


 经典病例

近日,哈尔滨医科大学附属第二医院心内科团队成功独立为一位三叶瓣,重度主动脉瓣狭窄伴随关闭不全患者完成一例经导管主动脉瓣置换(TAVR)治疗。患者左侧髂总动脉及双侧髂外动脉出现支架术后再狭窄, 在股动脉没有合适的入路条件下,最终选择经劲动脉完成手术。


非常规的手术入路,以及患者本身瓣叶的严重增厚,为术中瓣膜的精准定位与释放带来了巨大的挑战。然而在哈尔滨医科大学附属第二医院于波教授团队的张东会、陈涛、杨光三位医生和本院多学科团队的密切配合下,整个手术术前既定手术策略平稳实施。这不仅标志着哈尔滨医科大学附属第二医院可为常规手术入路不合适的患者提供了新的解决方案,也代表着团队在主动脉瓣介入治疗的水准迈上了新的台阶。

病史简介

患者:60岁,男性



患者日常活动时有心悸,乏力,休息后缓解,近期稍活动即出现呼吸困难一年余。

病情加重三个月,夜间不能平卧,前往当地医院就诊,诊断为瓣膜病后转入哈医大二院。



既往史:

  • 高血压病史20年,口服降压药既往血压控制良好(血压最高160/100mmHg),糖尿病病史6年,胰岛素治疗,有脑梗死,长期口服降压药及利伐沙班状况一般,无高血压、糖尿病、冠心病病史,无传染病史。

  • 入院后行超声检查,超声提示:老年钙化性主动脉瓣膜病,主动脉瓣重度狭窄伴轻度反流。继发左室肥厚,左房扩大,左室轻大,左室舒张功能不全(I-II级),二、三尖瓣轻度反流。

  • 左侧髂总动脉及双侧髂外动脉支架术后再狭窄,左侧管腔内中度狭窄,支架以远有溃疡及夹层,右侧髂外动脉支架术后再中-重度,支架下方局限性重度狭窄。

  • 左锁骨下动脉钙化斑块,头臂干及左颈总动脉有狭窄。

术前检查

心脏超声

  • 主动脉重度狭窄伴轻度反流;

  • LVEF:36.4%;

  • 主动脉瓣环内径:21.5mm;主动脉窦部内径:28mm;升主动脉内径:23.4mm;

  • 瓣口流速:4.26m/s;

  • 平均跨瓣压差:44mmHg;

  • 瓣口面积:0.74cm²。

CT评估

  • 患者三叶瓣,右无瓣叶严重增厚,轻度钙化主要分布左冠瓣。

  • 瓣环周长81.7mm;均径25.7mm;LVOT周长86.4mm;均径27mm。瓦式窦周长85.6mm;均径27.4mm。

  • 瓣上4mm/6mm预估可推开空间周长63.2mm/61.9mm。瓣环角度57度。

主动脉根部情况

冠脉风险评估

继发性左室肥厚,左房轻大,左室扩大

瓣环角度57度

股入路血管分叉高度可,无迂曲,两侧血管存在支架

左侧血管最小内径1.8mm,右侧血管内径最小1.4mm

颈动脉无迂曲,无钙化

左侧血管最小均径5.7mm、右侧血管最小均径6.5mm

手术治疗策略

评估及难点:

术前于波院长团队总结了该病例的特点:

1.患者左侧髂总动脉及双侧髂外动脉出现支架术后再狭窄, 左侧血管最小内径1.8mm,右侧血管内径最小1.4mm。因此股动脉不适合作为入路。

2.右无增厚瓣叶被推开程度不明确,增厚的瓣叶限制瓣上空间,瓣膜植入后会整体向左窦偏移,左冠有一定风险。

3.左冠开口高度稍低,瓣叶长、窦宽相对瓣膜可;右冠高度可,瓣叶长度可,冠脉风险低,术中球扩进一步评估。

手术策略

  • 球囊瓣膜选型:拟用22号球囊预扩,植入TAV24瓣膜,如存在反流则植入TAV27瓣膜。

  • 入路:考虑同轴操控,最终选择左颈总动脉为主入路,右桡动脉为副入路,右颈内静脉为麻醉入路,股静脉置入临起电极。

  • 左颈总动脉先用14F鞘预扩,而后使用VitaFlow Liberty™电动可回收输送系统内联鞘裸上。

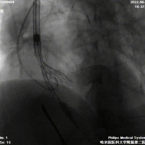
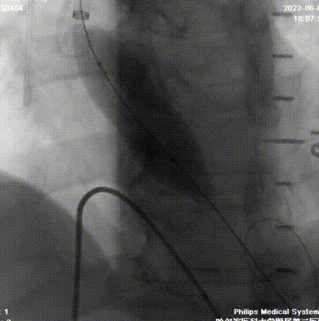
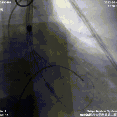
术中操作

造影检查入路

根部造影

球囊预扩

首次释放

二次释放

瓣膜释放完成

术后缝合和按压

最终结果

术后24h超声显示:瓣口流速: 2.4m/s;LVEF值:39%;人工瓣膜紧密贴合根部,功能正常 、心衰情况显著改善。

术后讨论

术后于波院长对于手术进行了整体复盘:


手术术前预估球囊、瓣膜型号选择和风险判断与术中球扩判断是一致的,按照术前既定手术策略实施,根据患者特殊结构进行适当调整,保证术后最大的预期获益。


术中回收释放两次,释放过程中预估瓣叶增厚挤压瓣架的偏移下滑程度,适当调整瓣架初始植入深度,结合经颈动脉入路而对输送系统产生的血流冲击力适时调整输送系统和导丝张力,保证最大的同轴性,从而保证人工瓣膜充足且温和的锚定和脱钩时的最小形变。


在团队紧密配合下调整输送系统至最佳位置精准释放,患者跨瓣压差即刻显著下降,瓣膜植入位置、贴壁良好,冠脉灌注不受影响,微量瓣周漏及其他并发症,手术成功。VitaFlow Liberty™混合密度瓣架独特的设计,结合电动输送系统在术中给医生带来了更大的获益,为患者的治疗效果提供了保障。

专家信息

于波

哈尔滨医科大学附属第二医院

于波教授,二级教授、主任医师、博士生导师,美国心脏病学院院士

现任哈医大二院心血管病医院院长兼心内科主任;哈医大二院内科学教研室主任;中华医学会心血管病学分会副主任委员;中国医师协会心血管内科医师分会副会长;中国胸痛中心认证工作委员会副主任委员;心肌缺血教育部重点实验室主任;国家医学考试中心心血管内科专科医师考试专家委员会专业组副组长;卫生部医政司心血管疾病介入诊疗技术管理专家工作组成员;卫生部冠心病、心律失常、先心病介入诊疗培训基地主任及培训导师;黑龙江省心血管内科医疗质量控制中心主任;黑龙江省优秀中青年专家;龙江学者特聘教授;国务院特殊津贴专家;黑龙江省医学会心血管病学分会主任委员;黑龙江省医师协会心血管内科专业委员会主任委员;中华医学会心脏介入治疗培训中心委员。



张东会

哈尔滨医科大学附属第二医院

张东会教授,医学博士,副主任医师

东北TAVR联盟青年委员;黑龙江省医疗保健国际交流促进会血栓与肺血管病专业委员会委员;从事心内科医疗工作11年,2011年开始从事心脏介入工作,掌握各种复杂冠状动脉疾病的介入治疗。作为科室独立术者完成先天性心脏病,包括房间隔缺损,卵圆孔未闭、室间隔缺损,动脉导管未闭,肺动脉瓣狭窄以及左心耳封堵术等介入诊治工作。同时负责科室经导管主动脉瓣置换术(TAVR)、经皮选择性肾上腺静脉采血(AVS)、经皮肺动脉球囊扩张术(BPA)、左心耳封堵术等多项新技术手术开展。



杨光

哈尔滨医科大学附属第二医院

杨光教授,医学博士,副主任医师

从事冠状动脉介入治疗工作10年,可独立完成冠脉旋磨术,CTO等复杂PCI手术。从事腔内影像学工作多年,对OCT及IVUS等腔内影像学技术又较多的研究,曾发表过关于腔内影像相关SCI文章5篇。目前主要负责科内“健康扶贫”工作,帮扶基层单位开展介入等新技术,走过全省近三分之二的县级医院。同时负责科室经导管主动脉瓣置换术(TAVR)、左心耳封堵术、经皮肾动脉射频消融术(RDN)等多项新技术手术开展。



陈涛

哈尔滨医科大学附属第二医院

陈涛,医学博士,副主任医师,硕士研究生导师

中华医学会心血管分会心血管临床研究学组委员、中国CCI创新学院第六期学员、中国冠状动脉慢性完全闭塞病变俱乐部(CTOCC)会员、中国医药教育协会心血管内科专业青年委员、黑龙江省心脏重症委员会委员。现研究方向为冠脉和心脏结构疾病介入诊疗技术。从事心血管介入诊疗工作多年,擅长腔内影像学OCT、IVUS、FFR指导冠脉复杂病变介入治疗;本中心结构性心脏病介入组成员,掌握经导管二尖瓣修复、主动脉瓣置换等多项技术。参与本中心国家“十三五”重大课题,参与国家自然基金多项,主持厅局级课题两项,作为主编和编委参编腔内影像学著作两部,发表SCI文章多篇。

阅读数: 1315