2022年7月2日,商丘市第一人民医院许学升、赵辉主任团队在院领导的支持下,联合心血管外科、麻醉科、超声科、导管室、手术室、CT室、CCU、体外循环等多科室成功为一例高钙化Type-1型二叶式主动脉瓣患者植入TaurusElite瓣膜,这也是商丘地区首次完成经导管主动脉瓣置换(TAVR)术。该病例术前心脏彩超提示为主动脉瓣重度狭窄,左心房、左心室、右心房增大,该患者有40年烟史、30年酒史,外科手术高危,微创手术进行换瓣意愿非常强烈,经充分的术前讨论,评估患者手术风险及获益后决定采用TAVR手术方式为患者解除病痛。
患者基本情况
患者66岁男性,入院心脏彩超提示:LA47mm,RV22mm,LV58mm,EF45%,主动脉瓣口前向血流速度551cm/s,压差121mmHg。
结论:
1.左心房、左心室、右心房增大;
2.升主动脉增宽,主动脉瓣钙化;
3.主动脉瓣重度狭窄;
4.二尖瓣大量反流;
5.三尖瓣中量反流,重度肺动脉高压;
6.左心室功能减低;
7.心包积液
STS评分6分
EuroSCORE II评分8分
术前CT评估
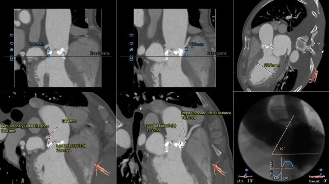
Type-1型二叶式主动脉瓣,瓣叶重度钙化并增厚,钙化主要分布在瓣叶及管壁附着缘上;
左右冠开口高度可,双侧冠脉切线位瓣叶长度<冠脉开口上缘到瓣叶附着缘距离,无明显钙化分布;
左室心腔内径增大,LVOT呈敞口状,瓦氏窦内径和升主动脉内径增宽,窦管交界内径可;
主动脉瓣环水平夹角60°,横位心,主动脉弓角度及弓距可;
入路血管走形稍迂曲,无明显钙化分布,血管内径可。
CT动态预览
瓣环
入路血管
主动脉根部测量
瓣上结构测量
冠脉阻挡风险、左室大小及横位心评估
外周血管入路评估
病例特点及手术难点
Type-1型二叶式主动脉瓣,重度钙化,瓣膜锚定力可,右冠瓣和无冠瓣之间有钙化脊,预估瓣膜释放后有向下位移风险,少量瓣周漏可能。
双侧冠脉开口高度可,综合瓦氏窦及窦管交界内径,预估冠脉阻挡风险低,术中可根据球扩结果进一步判断;
左室心腔内径大,术中密切观察血流动力学变化,结合超声及患者情况,必要时备体外循环;
横位心,主动脉弓角度及弓距可,必要时输送器过弓、跨瓣可备SNARE辅助;
入路血管良好,入路穿刺规范操作,避免入路血管损伤及相关并发症。
手术策略
采用全麻+TEE的手术方式;
右侧股动脉为主入路,左侧股动脉为辅入路;
右侧颈内静脉置入临时起搏电极;
推荐选择TaurusAtlas 23mm球囊预扩张;
推荐预装TaurusElite AV29可回收瓣膜系统,瓣膜释放角度为左右重合位,推荐瓣环上4-5mm开始定位释放。
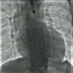
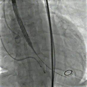
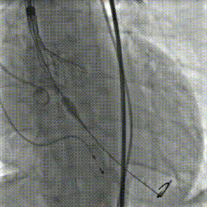
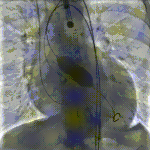
手术过程
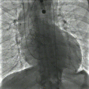
主动脉根部造影
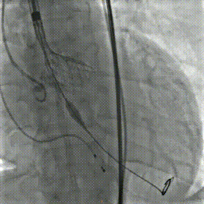
球囊预扩
第一次瓣膜定位
释放到工作位观察
第二次释放
释放后造影
出院前超声,人工瓣膜工作良好,少量瓣周漏,跨瓣流速2.3m/s,平均压差12mmHg
总结
本例患者为重度主动脉瓣狭窄,因联合瓣膜病,一般状况很差,外科手术高危,术前评估适宜行TAVR手术,有明确手术指征。术前CT提示患者为Type-1型二叶式主动脉瓣,瓣环径较大、达30.7mm,瓣叶重度钙化,高位限制较重,瓣膜植入后存在形变、移位和瓣周漏的风险,患者全心稍大,EF值为45%,术中湿备体外循环。
手术前商丘市第一人民医院赵辉主任经基础治疗后患者基础心功能改善,血流动力学相对稳定,未直接使用体外循环,提前湿备体外循环支持手术。术中TaurusElite输送系统具有较优异的柔顺性,轻松过弓后顺利跨瓣。对于高钙化的二叶式主动脉瓣,TaurusElite瓣膜高密度流入端设计提供了足够的径向支撑力,瓣膜内外双裙边设计有效减少了瓣周漏。另外,TaurusElite瓣膜系统具有多次完全可回收、回收后可重新跨瓣等设计特点,针对瓣膜释放过程中可能出现的瓣膜下滑或上跳的风险,TaurusElite瓣膜系统不仅能让术者在释放过程中更有信心,更加可以降低手术风险,减少并发症的产生,对于新术者也能降低学习难度,提高手术成功率。本例患者由于高位钙化限制严重,术中瓣膜第一次释放到工作位后瓣膜向下位移,位置不理想;随后瓣膜快速精准完成回收操作,重新定位释放,第二次释放后瓣膜形态好、位置佳,左右冠脉血流灌注正常,术后压差降至9mmHg,微量瓣周漏,手术效果达到预期。这是商丘市第一人民医院开展的首例TAVR手术,标志着商丘市第一人民医院心脏瓣膜病的诊治取得了新的突破。
专家简介
许学升
商丘市第一人民医院
商丘市第一人民医院心血管内一科科室主任、主任医师。
1988年毕业于河南省医科大学,学士学位;商丘市心血管学会主任委员,河南省心血管学会常委,河南省心脏起搏器电生理学会委员,河南省心血管介入治疗技术质量控制专家组成员。是商丘市唯一的一位具有冠脉介入和心律失常介入资质的专家。
1996年在北京大学第一医院师从霍勇教授学习介入一年,2005年在河南省人民医院学习介入半年,2008年在美国参加介入培训,1990年安装商丘市首例双腔永久起搏器,目前已完成永久起搏器植入800余例,现每年独立完成永久起搏器80例,是目前河南省个人完成起搏器安装较多的专家,是商丘市目前独立完成起搏器安装第一人。1996年开展心律失常的射频消融,2001年开展同步电复律,2005年7月完成商丘市首例冠脉支架植入,现已做冠状动脉造影支架术一万余例。独立开展左主干、分叉病变、CTO、弯曲钙化等复杂冠脉病变的冠脉支架植入,是商丘市开展急诊冠脉介入手术的第一人。发表国家、省级论文20余篇,专著2部,市科技进步奖5项。
赵辉
商丘市第一人民医院
心血管内科一病区副主任,副主任医师,硕士。河南省心电生理与起搏分会委员,2016年获冠心病介入资质,中国援埃塞俄比亚医疗队员,擅长冠心病介入治疗、心脏永久性起搏治疗。

