TAVR(经导管主动脉瓣置换术)被誉为引领“第四次心脏介入革命”的创新性技术,在我国已经经过近二十年的发展,在临床中已得到了广泛的应用。此次接受手术的两位患者,因长期重度主动脉瓣狭窄导致心衰,经常胸闷气短,严重影响正常生活,孙志奇主任团队整体评估后制定详细手术策略,术中充分利用TaurusElite可回收功能,精益求精,植入最佳深度,瓣膜释放稳定,并取得理想术后效果,患者血流动力学得到有效改善。
Case 1 术前评估:
患者女,80岁,因“冠心病10余年,间断胸闷一月余,加重伴胸痛3小时”入院。
入院后完善相关辅助检查如下:
心脏超声示:主动脉瓣增厚,开放受限,闭合欠佳,瓣口流速4.8m/s;压差93mmHg。收缩期主动脉瓣前向血流速度明显增快,舒张期探及主动脉瓣少量反流信号。收缩期探及少量二尖瓣反流信号。
诊断:
主动脉根部测量:
三叶式主动脉瓣,窦部发育均匀,瓣叶中重度钙化并纤维增厚,钙化分布相对均匀,主要分布在瓣叶边缘及管壁附着缘 ,右冠开口高度可,左冠开口高度偏低为8.8mm,左右冠脉切线位瓣叶长度>冠脉开口到瓣叶根部附着缘距离;冠脉可见钙化斑块。
瓣环上解剖结构评估:
外周血管及主动脉弓解剖:
手术策略讨论:
采取全麻+经食道超声的手术方式;
由于双侧股动脉入路条件较差,左侧颈动脉主入路,右侧股动脉为辅助入路;
跨瓣角度为右窦中心位;
预装AV23瓣膜 ,释放角度左右重合位,释放高度为瓣环下0-2mm左右。释放后结合左肩位进一步确定人工瓣膜形态;
左室心腔尚可,EF57%,术前适当补液,术中关注血流动力学变化,警惕循环崩溃风险;
术后经食道超声进一步评估瓣膜植入深度、跨瓣压差、有无瓣周漏等相关参数;常规生命体征监测,密观病情变化。
术中影像:

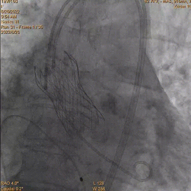
行冠脉PCI术

直头导丝顺利跨瓣

瓣膜释放至工作位

瓣膜释放至理想状态压差为2mmHg
Case 2 术前评估:
患者女,76岁,因“胸闷,气短5小时”入院。
入院后完善相关辅助检查如下:
心脏超声示:左房增大,主动脉瓣明显增厚,回声增强,开放受限,闭合欠佳。余瓣膜形态、结构未见异常。大动脉位置关系、内径正常。心包腔未见异常。彩色多普勒:收缩期主动脉瓣前向血流速快,Vmax:5.2m/s,平均压差:111 mmHg。舒张期探及主动脉瓣少量反流信号。
诊断:
主动脉根部评估:
三叶式主动脉瓣,中度钙化并瓣叶增生肥厚,钙化分布欠均匀,主要分布在瓣叶边缘及血管壁附着缘-左右冠高度可,冠脉切线位瓣叶长度<冠脉开口到瓣叶根部附着缘距离;冠脉可见散在钙化-流入端呈收口,瓦氏窦、STJ及升主动脉内径偏小。
瓣上测量:
中度钙化三叶式主动脉瓣,存在假体瓣膜形变、瓣环撕裂及根部损伤风险,人工瓣膜锚定力尚可,有瓣膜移位风险,有少量瓣周漏可能。
弓部及入路评估:
入路血管条件尚可
手术策略:
采取复合麻醉+经食道超声的手术方式;
右侧股动脉为主入路,左侧为辅助入路;
根据当前影像资料及测量数值,选择跨瓣角度为右窦中心位;
预装AV23瓣膜瓣膜释放角度为左右重合位,瓣环下0-2mm释放,释放至工作位后调整至LCA切线位进一步确定人工瓣膜展开形态;
左室心腔内径尚可,EF57%,术前适当补液,术中关注血流动力学变化,警惕循环崩溃风险;
术后经食道超声进一步评估瓣膜植入深度、跨瓣压差、有无瓣周漏等相关参数;常规生命体征监测,密观病情变化。
术中影像:
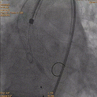
主动脉根部造影
瓣膜释放至工作位
完全释放到达理想状态
术后主动脉根部造影压差为8mmHg
术者团队寄语:
经导管主动脉瓣置换术(TAVR)是近年来结构性心脏病介入治疗领域中备受关注的热点话题,其对于治疗重度AS患者的安全性及有效性已经得到了国内外专家的一致认可和推荐。相比传统开放手术,TAVR不需要开胸,没有明显失血,麻醉时间更短,创伤小、恢复快。主动脉瓣膜介入治疗从10年前的前沿探索到现在逐步成为一种主流手术模式,我国瓣膜介入技术正在发生翻天覆地的变化,在此背景下,我院TAVR团队不断创新,不断提高团队技术水平,挽救患者生命和提高老年患者生活质量,为这类患者带来福音!
专家简介
孙志奇
大庆油田总医院
主任医师,教授,硕士研究生导师心内科主任,心内科党支部书记。学术地位:CCCP血栓防治委员会委员;中国医疗保健国际交流促进会心血管分会委员;中华医学会黑龙江省心血管病学分会委员;中华医学会大庆心血管分会主任委员;黑龙江中西医结合重症医分会副会长;黑龙江省心脏医学学会理事。
主要从事心血管疾病的介入治疗工作,尤其是在冠心病旋磨治疗、先天性心脏病的微创介入治疗方面具有丰富的经验,还具有丰富的冠脉复杂病变如::CTO病变、分叉病变、主干病变的冠脉介入经验。
王浩
大庆油田总医院
副主任医师,2013年开始工作于心脏科重症监护室,熟知急性冠脉综合征、主动脉夹层、急性肺动脉栓塞及恶性心律失常的诊治,熟练掌握各种抢救仪器使用,如呼吸机、除颤器等;2015年5进入心导管室学习冠脉介入治疗,熟练掌握了冠状动脉造影术,支架植入术,IABP植入术,临时起搏植入技术,各种路径的静脉穿刺技术及心包穿刺技术,至今已独立完成冠脉介入病例数百例。

