精准释放丨泰达国际心血管病医院TAVI团队成功完成一例二叶式主动脉瓣极重度钙化狭窄+冠脉高风险体外循环支持下的高难度手术
图片


 经典病例


图片

2022年6月1日,泰达国际心血管病医院刘志刚院长团队成功为主动脉瓣极重度狭窄伴关闭不全的危重症患者实施体外循环支持下TAVI手术。曾辗转天津市多家大型三甲医院,诊断为终末期心脏瓣膜病,主动脉瓣极重度钙化(钙化积分1481mm3)伴关闭不全,二尖瓣中大量返流,左心功能衰竭,慢性肾功能不全。因病情危重未给予手术治疗,患者家属慕名来到泰达国际心血管病医院就诊,经过积极术前准备,在改善患者心、肺、肾脏功能治疗后,通过缜密术前评估,多学科团队医疗模式,成功为患者实施了TAVI手术。目前患者状态良好。

图片

病史简介

患者:72岁男性



现病史:心脏瓣膜病史近40年,胸闷、心悸气短、少尿、活动能力丧失一个月

术前检查

心脏超声

主动脉窦部内径:16mm;

瓣口流速:5m/s、平均跨瓣压差:63mmHg;

瓣口面积:0.27cm²;

LVEF:刚入院25%,术前43%;


超声提示:

主动脉重度狭窄并少-中量返流;

二尖瓣后叶脱垂并中量返流;

肺动脉高压(中-重度);

三尖瓣返流;

少量心包积液。

图片

CT评估

图片

主动脉根部CT测量

图片
图片

瓣环周长72.9mm

平均径23.0mm

LVOT周长81.8mm

平均径25.7mm

图片
图片

左冠高度:11.7mm

右冠高度:14.2mm

图片

极重度钙化,瓣叶钙化增厚且长

钙化积分1481mm3

图片

钙化从瓣环延伸至流出道10.8mm

图片

入路两侧血管分叉高度可,无迂曲。左侧血管平均最小内径6.1mm,右侧血管平均最小内径6.0mm。

手术治疗策略

术前讨论:

由于患者年龄大,心功能差循环崩溃风险高,冠脉风险高,且合并有肾功能不全,病情复杂。刘志刚院长团队组织多学科会诊,总结了该病例解剖结构的难点:

  1. 左冠高度低,瓣叶长,窦宽相对瓣膜可,左冠存在风险,建议左侧冠脉保护;

  2. 钙化从瓣环延伸至流出道10.6mm,存在瓣周漏风险和瓣环撕裂风险;

  3. 大弯侧瓣叶团块钙化,可能存在输送系统跨瓣困难,建议副入路预埋圈套器辅助牵拉。

手术重点步骤

  1. 穿刺右锁骨下静脉置入6F Cordis鞘管,经鞘管将临时起搏器电极置右心室心尖部;

  2. 穿刺右桡动脉,置入6F Cook微穿鞘,经鞘管交换为6F pig导管置入无冠窦底,随后外科切开左股动脉,置入6F Cordis鞘,给予肝素5000u, 进入预塑形导丝,退出6F鞘,置换10F鞘管,置入20FGORE导管鞘套件缓慢推至腹主动脉;

  3. 选择18mm球囊预扩,更换20mm球扩,植入21瓣膜,送至主动脉瓣环处后,在Pig导管定位,主动脉根部造影、食道超声协助指导下,精准定位,以180次/分快速起搏,逐步释放瓣膜,支架释放后退出导管输送系统;

  4. 猪尾导管行主动脉根部造影示:人工瓣膜深度2mm,冠状动脉开口未受影响,食道超声提示微量主动脉瓣反流、瓣架位置良好。

术中操作

图片
图片

根部造影

左冠保护

图片
图片

20mm球囊预扩

释放定位

图片
图片

球囊后扩

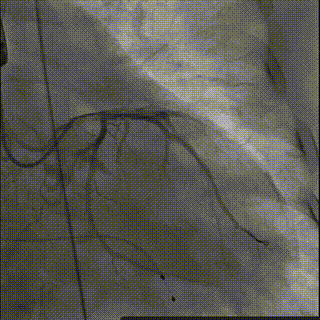
术后造影

术后讨论

此次手术患者病况非常复杂:刚入院时患者左心室功能衰竭(EF值25%), 同时患有慢性肾功能不全。主动脉瓣极重度钙化(钙化积分1481mm3)同时伴有二尖瓣、主动脉瓣反流。解剖结构方面,患者左冠高度低、瓣叶长存在冠脉阻塞风险,同时在大弯侧有瓣叶团块钙化,提升了跨瓣的难度。


术中导丝进入左室后即发生室颤,由于复杂的解剖结构,瓣膜容易移位,术中反复完成三次的瓣膜回收再释放。然而在多学科协作下,刘志刚院长TAVI团队,术中临危不乱,协调默契、有序的完成了术前指定的手术步骤。在体外循环的加持下整个过程从容不迫、有惊无险,最后患者术后恢复良好。


手术的成功,更代表泰达国际心血管病医院TAVI团队有能力针对病情复杂,危重症主动脉瓣膜病患者,提供多学科团队的诊疗模式、和完善的治疗方案,标志着泰达国际心血管病医院在主动脉瓣治疗水平再次迈向新的台阶。

图片

瓣膜介入团队合影

相比传统开放手术,经股动脉的TAVI,不需要开胸,没有明显失血,麻醉时间更短,创伤小、恢复快。主动脉瓣膜介入治疗从10年前的前沿探索到现在逐步成为一种主流手术模式,我国瓣膜介入技术正在发生翻天覆地的变化,在此背景下,泰达国际心血管病医院刘志刚院长带领TAVI团队不断创新,不断提高团队技术水平,挽救患者生命和提高老年患者生活质量,为这类患者带来福音!

术者介绍

图片

刘志刚

泰达国际心血管病医院 

北京协和医学院、天津医科大学博士生导师,中国医师协会心脏重症分会副主任委员,天津医学会新生儿先天性心脏病分会主任委员。毕业于北京协和医学院,从事心血管外科临床工作40年,完成各类心脏及大血管手术6000余例,擅长复杂先心病根治手术、微创小切口手术、大血管疾病手术,其手术对象涵盖孕35周早产儿到87岁高龄各年龄阶段患者。领导主持新生儿和婴幼儿ECMO及急诊ECMO循环辅助工作,取得了突破性进展;开展人工腱索在二尖瓣脱垂治疗,填补天津市相关技术空白;作为主要参与者研发的磁液悬浮离心式左心室辅助装置“火箭心”取得突破,开创国内完全自主独立知识产权左心室辅助装置应用于国人心脏的先河。指导培养硕博研究生十余名,带队创建“劳模创新工作室”,先后荣获“天津市劳模”、“十佳医务工作者”、“华医纵横榜-2016年度中国心脏重症领军人物”、“白求恩式好医生”、天津市优秀科技工作者”等称号。

阅读数: 1135