2022年5月29日,株洲恺德心血管病医院心脏中心团队成功使用TaurusElite瓣膜为一例生物瓣毁损术后的患者完成TAVR瓣中瓣手术。本次接受TAVR手术的病人5年前因心脏瓣膜病行二尖瓣、主动脉瓣生物瓣置换,此次患者再次出现明显胸闷、气促、下肢浮肿明显等心衰症状,且反复多次住院,病情仍逐步加重,心脏彩超提示主动脉瓣生物瓣中重度狭窄并反流,鉴于患者年龄大、病情重的特点,再次外科开胸手术风险高。经充分的术前讨论,评估患者风险及获益后,恺德医院心脏中心决定利用TAVR手术技术,再次为患者换瓣,从而减轻患者德痛苦。手术当天,在中南大学湘雅二医院方臻飞、胡信群教授的指导下,以心外科、心内科、超声科、麻醉科、护理、重症医学等多学科配合的心脏中心手术团队,以精湛的手术技巧、密切的团队配合,成功的为患者实现了瓣中瓣技术,从而免去了患者再次外科开胸手术的痛苦,同时也体现了TaurusElite经导管主动脉瓣系统对于实现瓣中瓣置入技术的优越产品性能,并为该类患者的治疗总结了更好的临床经验。
患者基本情况
患者67岁男性,入院心脏彩超提示:二尖瓣人工生物瓣装置回声清晰,瓣叶开放良好;主动脉瓣装置回声清晰,瓣叶稍显毛糙,后方瓣叶脱垂致瓣叶关闭有缝。主动脉瓣瓣上血流加速,峰值流速3.6m/s,跨瓣压差52mmHg,主动脉瓣下可见中大量反流;LA 41mm,LV 54mm,LVEF 54%。
结论:1.符合DVR+TVR手术后心脏改变;2.AV人工生物瓣功能障碍,AV人工生物瓣中大量反流,赘生物可疑,3.MV人工生物瓣开放、关闭良好。
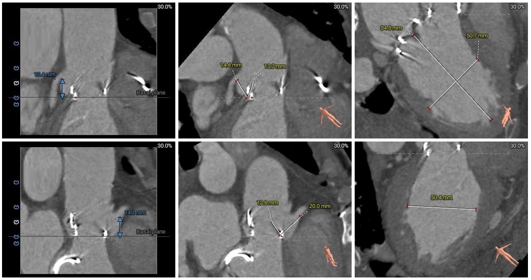
术前CT评估
●主动脉瓣生物瓣置换术后,生物瓣瓣叶未见明显血栓,人工瓣膜瓣架周围未见明显纤维组织增生;左室流出道呈敞口型;
●左右冠开口高度尚可,生物瓣架不高;冠脉散在钙化;
●瓦氏窦、窦管交界、升主动脉内径尚可,左室腔内径尚可,心室壁未见增厚;
●主动脉瓣环与水平面夹角为52°,主动脉弓宽度、角度尚可;
●主动脉弓、腹主动脉、双侧髂总动脉可见散在钙化斑块,右髂总动脉似可见局部溃疡,入路血管直径尚可。
CT动态预览
主动脉根部测量
瓣上结构测量
冠脉阻挡风险及左室大小评估
外周血管入路评估
病例特点
●主动脉瓣生物瓣置换术后,因生物瓣架限制,人工瓣膜释放过程中受限,存在向下移位风险,瓣膜锚定难度适中,瓣周漏风险不高;
●冠脉开口高度可,综合预估冠脉堵塞风险不高,术中关注冠脉血流灌注;
●非横位心,主动脉弓宽度、角度尚可,预计输送器能较顺利过弓、跨瓣;
●主动脉弓、腹主动脉、双侧髂总动脉可见散在钙化斑块,右髂总动脉似可见局部溃疡,入路血管条件尚可,入路规范操作,小心通过,避免入路血管相关并发症。
手术策略
●采用全麻+TTE的手术方式;
●右侧股动脉切开为主入路,左侧股动脉为辅助入路;
●不预扩,预装AV23瓣膜,左右重合位瓣环下0-2mm定位释放,释放后多角度观察瓣膜释放形态及植入深度。
手术过程
主动脉根部造影,主动脉瓣生物瓣中大量反流,直头导丝顺利跨瓣。
主动脉根部造影
导丝跨瓣
TaurusElite输送系统轻松过弓、跨瓣,AV23瓣膜瓣环平面定位释放,到工作位后造影显示瓣膜形态、位置良好。
输送系统过弓跨瓣
释放到工作位观察
释放脱钩后瓣膜形态、位置良好,冠脉血流灌注正常,无瓣周漏。
释放脱钩
术后造影
总结
本例患者为外科生物瓣毁损患者,患者因反复严重心衰控制不佳,再次外科开胸手术风险高,病人痛苦大,术前评估适宜行TAVR手术,有TAVR手术指征。考虑患者为外科生物瓣毁损,手术过程中不预扩,完成导丝跨瓣后直接送入预装载瓣膜,TaurusElite输送系统优异的柔顺性顺利地完成过弓、跨瓣操作。第一释放过程中瓣膜出现下滑,TaurusElite瓣膜系统多次完全可回收、回收后可重新跨瓣的设计特点成功完成瓣膜回收,再次定位释放后瓣膜形态位置良好,冠脉血流灌注正常,无瓣周漏,手术效果十分优异。此外,术中从跨瓣操作到瓣膜成功释放用时不到半小时,体现了恺德医院心脏中心手术团队精湛的手术技巧和默契的团队配合,标志着株洲恺德心血管病医院心脏瓣膜病的诊治取得了新的突破。
专家简介
刘宇
株洲恺德心血管病医院
心脏中心主任,中南大学湘雅医院内科硕士毕业;株洲恺德心血管病医院心内科大主任,省内知名心脏介入专家,擅长冠心病介入诊疗、先心病介入封堵、心律失常射频消融及起搏器植入等介入诊疗,对于常见心血管急症如急性心梗、心衰及恶性高血压及恶性心律失常等抢救有丰富临床经验,并创建株州市首家认证成功的国家级标准版胸痛中心和标准版心衰中心。先后发表学术论文10余篇,主持或参研省市级课题7例,三次获株洲市科技进步奖。
薛湘苏
株洲恺德心血管病医院
株洲恺德心血管病医院心血管外科副主任,先后在北京大学人民医院、首都医科大学安贞医院胸心血管外科进修工作学习,擅长心脏瓣膜病、冠心病、先心病、大血管疾病、胸部外伤、肺部疾病、纵膈疾病等疾病的外科诊治,对危重症患者的术后治疗具有丰富经验。

