2022年5月26日,中山大学附属第一医院李怡、庄晓东教授TAVR团队成功完成TaurusElite经导管主动脉瓣系统首次植入。患者是一位“严重橫位心伴重度钙化二叶式病变重度主动脉瓣狭窄” 的老年女性,近期出现急性心衰表现。TAVR团队的核心李怡教授带领手术团队术前充分讨论、精准评估,制定了详尽的手术策略。手术过程中,李怡教授与庄晓东教授及整个TAVR团队紧密配合,TaurusElite输送器柔顺的过弓能力很好应对橫位心,瓣膜最后在最佳位置“完美”释放,术后瓣膜工作稳定,造影未见明显反流,植入效果理想。这是TaurusElite经导管主动脉瓣系统上市以来,在中山大学附属第一医院的首例植入。
患者基本信息:
患者为74岁老年女性,1月前无明显诱因出现胸闷、气促,偶有心前区疼痛,放射至后肩,伴全身大汗,伴双下肢水肿,坐位休息时缓解,夜间不能平卧入睡,持续数分钟可缓解。于当地医院就诊,完善心脏彩超、冠脉CTA等检查。为寻求进一步治疗转至中山大学附属第一医院,入院后心脏彩超提示:左心室收缩期:EF 45%,AVA 0.56cm²,收缩期左心室峰值流速5.7m/s,平均跨瓣压差为90mmHg。诊断:1、主动脉瓣重度狭窄并中度关闭不全 2、二尖瓣重度关闭不全 3、冠心病。
术前评估:
Type 0型二叶式主动脉瓣,左右冠脉同窦,重度钙化,左(右)冠窦和无冠窦内钙化弥漫分布于窦内,瓣叶对合缘存在局部钙化粘连及纤维增厚
瓦氏窦内径尚可,窦管交界内径尚可,升主动脉扩张,心室腔内径偏大,心室壁厚度尚可
冠脉开口高度可,左冠切线角度测量瓣叶长于LCA开口下缘到根部距离
主动脉瓣环水平夹角71度,严重横位心,主动脉弓宽度、角度尚可,弓部存在散在钙化
外周走行适宜,腹主中下端和双侧髂总散在钙化,右侧股动脉分叉偏高,血管内径可,血管内壁存在钙化和不规则纤维增厚
主动脉根部CTA:
根部概览
ANNULUS
SOV DIAMETER
LVOT
STJ
LEFT CORONARY
RIGHT CORONARY
LCA&LEAFLET
RCA&LEAFLET
2mm SUPRA ANNULUS
4mm SUPRA ANNULUS
6mm SUPRA ANNULUS
8mm SUPRA ANNULUS
10mm SUPRA ANNULUS
12mm SUPRA ANNULUS
HU850
虚拟瓣环与水平夹角
外周血管及主动脉弓解剖:
手术策略讨论:
考虑右侧股动脉为主入路,左侧为辅助入路。严重橫位心,升主动脉扩张,弓部存在散在钙化,预估输送器过弓顺利,跨瓣难度增高。由于先天性二叶式主动脉瓣伴瓣叶重度钙化,瓣口限制明显,手术预装AV26备AV29瓣膜,根据20mm球囊预扩结果选择瓣膜型号,计划瓣膜释放定位深度接近瓣环。
手术过程:
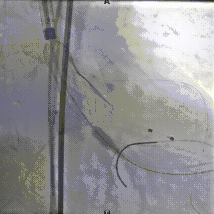
20mm球囊预扩
瓣膜定位
AV26瓣膜释放到工作位
AV26瓣膜工作位造影检查
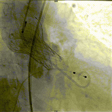
AV26瓣膜释放
完全释放后造影
术中20mm球囊预扩可见轻微腰征,轻微瓣周漏,左冠充盈速度减慢,为保证患者安全,决定行冠脉保护,预防冠脉阻挡风险。选择AV26瓣膜,TaurusElite AV26瓣膜送至主动脉弓,输送系统轻松过弓及跨瓣,精准定位无冠窦最低点。
TaurusElite AV26瓣膜第一次释放定位位置接近瓣环,李怡教授准确定位判断,零位释放,瓣膜在手术计划的位置牢牢站稳了!手术过程行云流水,团队配合默契,操作细致熟练,主动脉根部造影及食道超声均只有少量瓣周漏;压差由术前的100mmHg直线下降到术后的5mmHg以内,TaurusElite首秀成功!
专家简介
李怡
中山大学附属第一医院
医学博士、副主任医师 ,现任中山大学附属第一医院心内科副主任。
广东省医学会心血管分会危急重症学组副组长,广东省医师协会心血管介入医师分会秘书,广东省医师协会冠脉影像与功能学分会常委 ,广东省中西医结合学会心血管介入专业委员会常委 ,广东省健康管理学会心血管病专业委员会常委,承担国家自然科学基金7项,专著《冠脉血管内超声图谱》。
中山大学完成硕士及博士,于澳大利亚维多利亚心脏中心完成心血管介入专科医师培训,从事心血管内科临床工作约20年,近15年一直工作在心血管重症监护室。主要从事冠心病、瓣膜病、心力衰竭及心血管重症的临床诊疗工作。擅长冠心病、结构性心脏病的介入诊疗、心血管危重症的诊疗。
庄晓东
中山大学附属第一医院
医学博士,副主任医师,硕士生导师。
中国研究型医院学会心力衰竭专业委员会常委,中国大湾区心脏协会委员,广东省生理学会心血管专业委员会青委主任委员,广东省病理生理学会心血管专业委员会青委副主委,广东省病理生理学会心血管专业委员会常委,广东省医学会心血管病学分会青年委员,广东省医学会心血管病学分会临床研究学组委员,广东省医师协会高血压专业医师分会青年医师专业组委员。
中山一院“柯麟新星”和“柯麟菁英”人才,发表SCI论文30余篇,多个SCI杂志审稿人;主持国自然科学基金/广东省自然科学基金多项,参与多项国内外多中心临床研究。
临床与研究方向:冠脉和主动脉瓣膜介入治疗,代谢性心血管疾病的基础与临床研究。

