近日,重庆康华众联心血管医院何云主任团队应用TaurusElite系统成功为一例患者完成经导管主动脉瓣置换(TAVR)手术,该病例极具挑战,患者R-L融合,瓣叶增厚,重度钙化,流出道呈敞口状,双侧股髂走形轻度扭曲、左右入路细,左侧股动脉开叉较高,左侧最细4.4mm等特点加大了手术难度,对术者及假体瓣膜有着较高的要求,术中使用TaurusElite可回收瓣膜优异的径向支撑力无鞘法协助术者顺利完成手术,术后即刻患者血流动力学得到了显著改善,为患者带来更长久生存期受益和更高生活质量。
术前评估:
1.主动脉瓣瓣环周长80,平均周长径25.5;
2.Type1型二叶式主动脉瓣,R-L纤维融合嵴,瓣叶增厚,重度钙化,钙化分布不均匀,钙化呈团块样分布在无窦窦底及左冠瓣叶处,左室流出道开口呈敞口状;
3.左冠及STJ开口较低,瓣叶冗长,左、右冠瓣叶长度>冠脉顶端开口到瓣叶附着距离;
4.瓦式窦内径、窦管交界内径偏小,升主动脉内径尚可;
5.主动脉瓣环与水平夹角为50°,非横位心,主动脉弓距及弓部夹角尚可,主动脉弓存在散在钙化;
6.双侧股髂动走行轻度扭曲、左侧股动脉开叉较高,右侧髂总动脉及左侧股动脉内径细。
病例特点:
该病人为一例典型Type1型二叶式主动脉瓣重度狭窄患者,结合瓣叶增厚及钙化情况,人工瓣膜定位及锚定难度大;血管入路细,左侧最细4.4mm,入路操作难度大。
1. Type1型二叶式主动脉瓣,瓣叶增厚重度钙化、 根部结构整体偏小,综合评估人工瓣膜锚定力适中,存在瓣膜移位、变形和瓣周漏风险;
2. 左冠开口高度较低,右冠开口高度适中,结合瓣叶长度,瓦式窦内径、STJ内径,及瓣叶增厚情况综合分析,左、右冠堵塞风险较高,建议术前行冠脉保护,术中密切灌注冠脉灌注情况;
3. 非横位心,非横位心,主动脉弓距及弓部夹角尚可,预计输送器系统能顺利过弓、跨瓣;
4. 双侧股髂动走行尚可、左侧股动脉开叉较高,右侧髂总动脉及左侧股动脉内径偏细,建议使用内联鞘版本输送系统,或无鞘法,入路规范操作,小心通过,避免入路血管相关并发症。
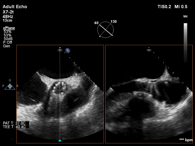
主动脉根部评估:
瓣环上解剖结构评估:
外周血管及主动脉弓解剖:
手术策略讨论:
1. 推荐左侧股动脉为主入路,右侧为辅助入路;
2. 根据当前影像及测量数值, RAO21°CAU30° (左右重合)左右跨瓣;
3. 推荐20mm球囊预扩,预扩角度为 LAO 23° CRA 19°(左冠切线位) 左右预扩;
4. 预装AV23瓣膜,推荐瓣环下4-6mm释放,释放角度 RAO21°CAU30° (左右重合)左右,建议释放至工作位(瓣膜2/3高度)后,调整至 )为 LAO11°CRA5°(右窦中心)进一步确定冠脉冠灌注及人工瓣膜展开形态。释放后可再次多角度进一步评估瓣膜形态;建议充分利用瓣膜系统部分及完全可回收功能,确认瓣膜基本稳定及瓣周漏效果后再完全释放。
手术过程概览:
1. 左侧入路造影
2.右侧入路造影
3.左侧6mm球囊扩张
4.主动脉根部造影
5.导丝跨瓣
6.20mm球囊预扩
7.AV23瓣膜释放
8.术后造影
9.最后检查左侧血管
血管细入路的处理:选择左侧入路,左侧最细4.4mm,先用6mm球囊扩后14F鞘保护放猪尾、超硬,18F鞘放20mm球囊,后19F输送器无鞘法放AV23瓣膜。
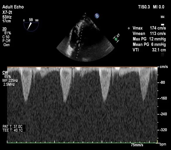
术后即刻评估:
术后平均压差在6mmHg左右,几乎无反流,瓣膜正常工作。
手术难点及心得:
1. 患者股动脉入路迂曲伴狭窄,最细处血管仅4.4mm,采用球囊预扩改善入路,以左侧动脉作为主入路,同时对侧预留导丝可在紧急情况处理并发症;
2. 主瓣Type 1型二叶瓣伴严重钙化(Hu850 615mm³)流出道呈敞口,瓣膜锚定困难,术中团队密切配合精准定位释放;
3. 瓣口狭窄严重,球囊通过困难,使用外周小球囊预扩后顺利通过;
4. 术前评估多瓣膜反流及严重肺动脉高压,判断主动脉瓣狭窄所导致的血流动力学变化,是评估TAVR术后患者获益的重要策略。
专家介绍
林朝胜
重庆康心医院
主任医师、教授、医学硕士、大内科首席专家、心内二科主任、心脏康复中心负责人。
执业经历:从事心内科临床工作40年,曾任沈阳军区总医院(北部战区总医院)心血管内科主任医师、干部病房主任,中央军委保健委员会特聘会诊专家,多次为军委首长会诊医疗,被评为“全军先进保健医务工作者”。
学术任职:曾任全军老年医学专业委员会常务委员、沈阳军区老年医学专业委员会主任委员、沈阳军区科委会医学专业高评委、全军三甲医院评审专家、辽宁省医学会医疗事故鉴定专家。现任重庆市医师协会心血管内科分会预防与康复组委员、中国心脏联盟心血管预防与康复委员会重庆联盟常务委员、重庆市中西医结合学会脑心同治专业委员会慢病专家组副组长、心脏联盟西南心脏中心副主任、心脏联盟西南房颤中心副主任、国家心血管疾病临床医学研究中心重庆康心医院分中心副主任。
学术成果:在统计源期刊发表医学论文70余篇,参编(副主编)医学专业书籍3部;曾获军队科技进步奖项三项,军队医疗成果奖二项。
曾获荣誉:在国家卫计委主办《好大夫在线》网站上荣获“2016年度好大夫”,当年度心血管内科专业患者好评医生排位名列第二,受到全国患者好评,个人网站访问量已近800万人次。
专业擅长:擅长各种心血管疾病的诊治,尤其是对冠心病、心律失常、心功不全、多器官衰等疑难重危病症的诊断治疗积累了丰富的经验。
何云
重庆康心医院
副主任医师、医学硕士、大内科副主任、心内三科主任、导管室副主任。
执业经历:曾在陆军军医大学附属新桥医院工作8年,2017年参加中国心血管医师创新俱乐部(CCI),2019年赴美国波士顿儿童医院学习。目前已累积完成介入手术10000余例。
学术任职:心脏联盟西南心脏中心委员、重庆市健康促进与健康教育学会心血管健康专委会青年委员、中国心脏联盟心血管疾病预防与康复专委会重庆渝东南联盟委员。
学术成果:以第一负责人主持重庆市级课题2项及院内重点临床课题3项。曾荣获陆军军医大学三级临床新技术1项,参与了重庆技攻关计划项目、军队临床高新技术重点项目、军队保健专项课题等临床课题研究。在国内外发表论文30余篇,其中SCI 6篇,参编医学高等教育“十三五”规划教材1部,发明专利2项,实用新型专利2项。
曾获荣誉:多次荣获陆军军医大学附属新桥医院优秀医务工作者,重庆康心医院优秀个人、优秀管理者及抗疫先进个人。
专业擅长:擅长冠状动脉支架植入术、永久性人工心脏起搏器植入术、主动脉腔内隔绝术、外周动脉支架植入术、经导管主动脉瓣置入术、冠状动脉旋磨术等。在准确治疗方面,熟练掌握光学相干断层成像技术(OCT)、血管内超声(IVUS)、血流贮备分数测定(FFR)。

