周浩教授团队手术中
2022年5月15日,周末。这一天,对于温州医科大学附属第一医院周浩教授团队来说,具有非同寻常的意义。历时50分钟,团队成功应用SAPIEN 3瓣膜完成院内,同时也是浙南闽北地区首台的球扩瓣TAVR手术,本次手术也得到了浙江大学医学院附属第二医院刘先宝教授的指导和支持。患者是一位80岁高龄,重度主动脉瓣狭窄伴中度关闭不全、瓣膜钙化的病人,同时合并有冠脉狭窄、肺动脉高压,大量心包积液以及二、三尖瓣返流等多种疾病,非常复杂。在周浩教授带领的多学科团队精心准备及紧密配合下,手术非常成功。
患者基本情况
患者男,80岁,既往高血压30余年,慢性肾功能不全。
因“胸闷3月,呼吸困难伴下肢水肿1月”入院。
心超提示: 重度主动脉瓣狭窄伴中度关闭不全,中度二尖瓣反流,中度三尖瓣反流,EF 45%,心包积液。CW估测跨瓣峰值流速约4. 07m/s,最大压差约66mmHg,平均压差约36mmHg。 冠脉造影提示: LM狭窄30-40%,LAD开口到中远段弥漫性狭窄伴钙化最重75%,LCX狭窄50%,RCA开口及近端狭窄50%。 挑战性病例的手术策略制定 需多重考量
慢性肾功能不全+冠心病+大量心包积液+右下肢静脉血栓,多种合并疾病
值得关注的是,该患者既往患有高血压30余年,且于20年前进行过纵膈肿瘤切除术。2020年因右肾积水伴输尿管结石、膀胱肿瘤也进行过泌尿科手术。
“这位患者的病情非常复杂。在4月份入院的时候,患者不仅表现出胸闷、气短等主动脉瓣狭窄的明显症状,经检查冠脉LAD开口到中远段弥漫性狭窄伴钙化,最重达到了75%。而且存在大量心包积液,已经非常严重。”
周浩教授在接受采访时,对这位患者的病情进行了详细分析。他和院内其他科室医生在进行了多番沟通后,决定先稳定患者的肾功能和心功能,手术减少心包积液,缓解呼吸困难症状。多轮复查且不断调整用药策略,实时监测,纠正患者主要症状,心包积液明显减少将患者调整至最佳手术状态后,综合考虑决定先针对主动脉瓣狭窄,行TAVR手术。
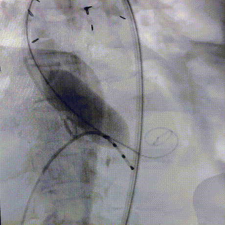
经左股动脉穿刺,置入6F股动脉穿刺鞘,将猪尾巴导管引导至腹主动脉,行主动脉造影。
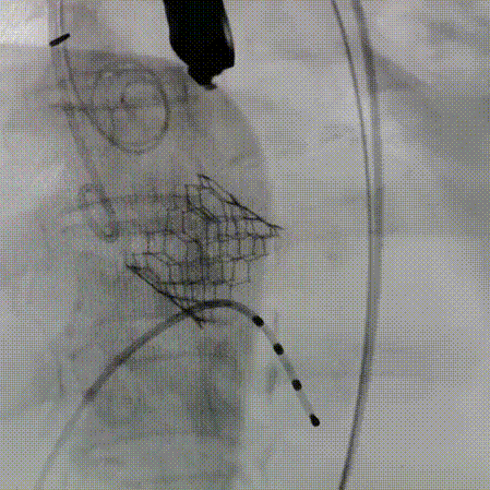
180bpm下置入23mm球囊扩张,沿导丝入26mm 爱德华经导管人工瓣膜输送系统,仔细定位,180bpm下释放瓣膜。释放后血压低,起搏心率,复查主动脉根部造影,轻度反流,LCX可疑血流不好,沿导丝入EBU3.25到位,造影冠脉血流通畅,复查术中食道心超,人工瓣膜位置满意,开放良好,压差3mmHg,轻度反流。手术圆满结束。
术前造影
球囊预扩
过弓跨瓣
释放瓣膜
术后主动脉造影
左冠造影
手术即刻效果+远期考虑,瓣膜选择至关重要
术后,周浩教授结合既往经验,分享了自己的感受。
“患者的冠脉开口偏低,而且存在狭窄和钙化,我们目前采取了药物治疗的保守处理方式,但是从远期来看,一定要把冠脉介入的可能性纳入考虑。”周浩教授表示,对于老龄化退行性病变而言,高血压、高脂血症、肾功能不全等危险因素会加速引发动脉粥样硬化等问题,SAPIEN 3瓣膜作为国内首款球囊扩张式瓣膜,凭借着较低的瓣架设计为将来可能发生的冠脉处理预留了空间。
“这也是我们选择SAPIEN 3瓣膜最重要的原因。”
另外,SAPIEN 3瓣膜的定位和释放位置非常精准,也在术中起到了非常关键的作用。
“瓣膜的定位及释放非常精准,我们预计释放在的位置,就是它刚好释放的位置,完全符合我们的预期。而且SAPIEN 3瓣膜大网孔的设计符合人体血流动力学特点,径向支撑力强,也保证了瓣膜不会移位。患者术后的压力阶差也比较理想,从整体情况来讲,手术效果非常好。”
手术成功依靠MDT团队的紧密配合
在手术过程中,由于患者的心功能比较差,球囊扩张以后出现了低血压,瓣膜释放之后也出现了短暂的心脏停搏。
周浩教授和“stand by”的ECMO、体外循环团队紧密配合,不仅术中及时进行血液循环的支持,在出现上述情况时更是第一时间对患者进行心外按压,使用血管活性药物对患者心功能进行快速调整。
“我们有专门的MDT团队,在术前反复讨论,围绕术中所有可能出现的情况都做了相应的预案,也准备了各种随时可能出现的情况的支持方案。”
在周浩教授带领下,手术团队经过充分准备最终保证了手术顺利开展,这才使患者转危为安。
对于患者后续病情,周浩教授也在时刻关注。“患者术后二尖瓣、三尖瓣返流症状我们预期是会有改善的,我们也会随时观察,看患者后续的二尖瓣和三尖瓣返流的情况。”
朝气蓬勃,昂扬向上的结构团队
2020年11月,温州医科大学附属第一医院心内科组建了以周浩教授为核心的结构团队,并自主开展了首例TAVR手术。随着求诊患者增多,院内整体的TAVR手术量也迅速上升。
周浩教授特别提到,院内心内科与心外科会经常展开沟通,共同分析,为患者提供最佳的诊疗方案。
“目前,我们院内整体的手术量从75台增长到105台,不仅是心内科手术量在增长,心外科也同样也开展了大量手术,我们两个科室会经常坐在一起讨论患者更适合哪种选择,在这种良性的互动氛围下,我们齐头并进,取得了很多成果。”
本例手术的成功,再一次极大鼓舞了周浩教授与团队的士气。
“截至目前,我们已陆续开展了30余例TAVR术式。其中6例为EF值小于40的高危患者,3例九十岁以上超高龄患者,2例一站式TAVR+PCI手术患者,是浙南闽北地区最早开展,也是最大的心脏介入手术中心。”
优秀的团队需要不断打磨。
对于团队未来的建设,周浩教授也有着清晰的方向。
首先,我们要培养更多优秀年轻术者,组建高质量的综合手术团队,兵多将广,这个很重要;
第二,要全面普及对疾病的认识,不仅要面向患者,对医生的深化培训都很重要;
第三,重视患者的全流程管理,不能只做手术,对患者的长期随访,康复管理都要重视。
“我们国家整个大环境非常好,国家对卫生健康事业的重视,对老百姓看病的重视,都为我们创造了非常好的环境。作为医务工作者,我认为有几点工作是要不断融入到我们的日常工作中的,一个是创新意识,我们必须要不断去创新,策略上、技术上、设备上……我们要去学,去用,去进步。虽然这个过程会比较困难,但我们一定要坚持去做。还有一个很重要的,我们的临床研究要跟上,我们也期待着跟国内的大中心,包括我们自己中心也牵头做一些临床研究,去解决我们临床上的问题,促进我们更加规范化地去为患者带来更好的治疗。”
——周浩教授
参考文献:
注释:1.SAPIEN 3瓣膜为经导管主动脉瓣膜系统,注册证编号:国械注进20203130291。
code:THV-2022-28
专家简介
周浩 温州医科大学附属第一医院 医学博士、温州医科大学附属第一医院心内科主任、教授、主任医师、博士生导师。 美国匹兹堡大学访问学者,日本札幌心血管病中心学习,浙江省卫生高层次人才培养对象,浙江省医学会介入心血管病分会副主委,浙江省医学会心血管病分会冠脉介入学组副组长,浙江省医师协会心血管分会委员,浙江省高校中青年学科带头人,国家卫计委冠心病介入导师,亚洲心脏病学会理事,中国医师协会心衰专委会委员,中国医师协会高血压专委会委员,世界中医药学会介入委员会理事,中国医药教育协会心血管内科专委会委员,温州医学会心血管分会委员、介入学组委员。 陈长曦 温州医科大学附属第一医院 副主任医师,温州医科大学附属第一医院心血管内科副主任医师、医学硕士。 中国医药教育协会心血管内科专业委员会青年委员,浙江省医学会心血管病学分会心脏瓣膜病学组成员,温州市医学会心身医学分会心脏心理医学学组成员。

