重获“心”生!2022年5月17日,咸阳市第一人民医院心血管外科李晓峰主任团队首次应用TaurusElite经导管主动脉瓣置换系统成功完成TAVR手术一例。此次接受手术的患者,3年来间断出现活动后气促气短,严重影响生活质量,1周前,患者活动后再次出现上述症状,气促气短不能耐受,为求诊治,慕名来到咸阳市第一人民医院就诊。在手术进行之前,李晓峰主任组织多学科团队进行会诊沟通,该患者属于type0型二叶式主动脉瓣,加之具有横位心、弓角偏锐、双侧髂外动脉直径稍小等不利因素,大大增加了手术难度,患者需要选择一款过弓柔顺、支撑力优良的瓣膜。术中多学科的密切协作,术后即刻超声可见瓣膜位置和功能良好,未见瓣周漏。患者术后心功能明显改善,恢复状态良好,手术圆满成功。
患者基本信息:
患者女性,68岁,因“间歇性气促气短3年”,加重1周入院,既往体质一般。查心脏超声提示:收缩期主动脉瓣上流速增快,Vmax:369cm/s,PG:55mmfg,平均压:32mmHg。
诊断为:1.主动脉瓣二叶畸形:主动脉瓣重度狭窄并轻度关闭不全;2.二尖瓣少量反流;3.三尖瓣少量反流;4.左室顺应性减低。
术前CT评估:
主动脉根部总览
无钙化分布
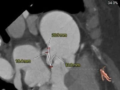
主动脉根部测量:
Type 0型二叶式主动脉瓣,瓣叶增厚,未见明显钙化,交界处未见明显融合
冠脉测量:
冠脉开口高度可,切线角度测量,未见冗长瓣叶
主动脉弓测量:
主动脉弓部角度稍锐,弓距稍短
水平夹角测量:
虚拟瓣环与水平面夹角60°,横位心
外周入路:
整体血管走行可,未见明显钙化,双侧髂外动脉直径稍小,余血管直径良好
术前讨论:
•Type 0型二叶式主动脉瓣,瓣叶增厚无明显钙化,交界处未见明显融合。
•左右冠不同窦,左右冠开口高度可,冠脉切线位瓣叶游离缘长度<冠脉开口到瓣叶附着缘距离;双侧冠脉未见明显钙化。
•瓦氏窦、窦管交界内径尚可,升主稍扩张(41.6mm)。
•左室流出道小于瓣环径,呈近收口状。
•左室腔内径稍小,室间隔增厚,心室壁增厚。
•虚拟瓣环与水平面夹角60°,横位心;主动脉弓部角度稍锐,弓距偏短。
•整体血管走行尚可,胸腹及髂股动脉未见明显钙化,双侧髂外动脉直径稍小,余血管直径良好。
手术策略:
•右侧入路血管走行略有迂曲,直径稍小,推荐左侧作为主入路。
•预装AV23瓣膜,建议瓣环下零位左右定位释放;建议充分利用瓣膜系统部分及完全可回收功能,确认瓣膜基本稳定及瓣周漏效果后再完全释放。
术中操作:
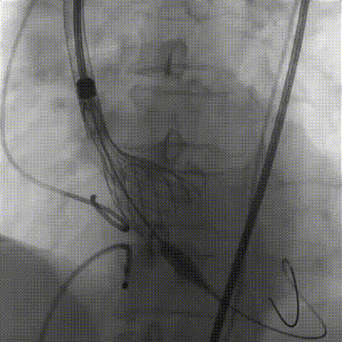
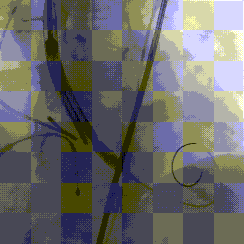
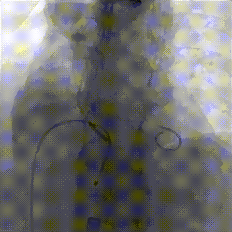
手术影像:
左侧作为主入路置入大鞘
主动脉根部造影
输送器柔顺过弓、跨瓣
瓣膜开始定位
瓣膜逐步释放到工作位
瓣膜工作位造影,位置良好
瓣膜完全释放
瓣膜膨胀不良
瓣膜膨胀不良进行球囊后扩
球囊后扩后造影无漏
术后超声:
术后心超评估:瓣膜膨胀良好、无漏
术者寄语:
随着TAVR在中国的发展越来越快,患者群体不断的扩大,更多的病例呈现出来。TAVR术式的发展为无法接受外科手术的患者带来了全新生命的希望,但同时带来的是对术者的专业水准和医疗器械产品性能的巨大挑战。咸阳市第一人民医院心血管外科李晓峰主任团队完成此次高难度的TAVR手术源于术前对CT的慎密分析,制定了完善的手术策略。同样手术的成功也是李晓峰主任团队高水平协作能力的体现,充分展现了咸阳市第一人民医院心血管外科在主动脉瓣疾病治疗方面的高水准,也为周边地区的主动脉瓣疾病患者带来优质的医疗服务。
专家简介
李晓峰
咸阳市第一人民医院
咸阳市第一人民医院心血管外科,副主任医师,硕士研究生,在职博士,曾在西京医院从事心血管外科工作15年;美国AHA生命支持培训导师;中华医学会心血管分会成员;中国医师学会心血管分会成员;陕西省医师协会微无创医学专业委员会成员。
科研方向:微创瓣膜的介入治疗;参与国科金2项,参编教材2部,副主编教材1部,发表SCI及核心期刊20余篇,对先心病、风心病、冠心病的外科治疗积累了丰富的临床经验,擅长微创心脏外科如小切口心脏手术及各类型经导管介入瓣膜置换,如主动脉瓣(TAVR),二尖瓣(TMVR),以及瓣中瓣植入(VIV- TAVR,VIV-TMVR),胸主动脉夹层/动脉瘤、腹主动脉瘤的腔内隔绝术,颈动脉狭窄和闭塞的开放手术及腔内治疗、缺血性疾病(如下肢动脉硬化闭塞、动脉栓塞、脉管炎)的旁路搭桥手术及及介入治疗;静脉血栓性疾病的一站式综合治疗。
