新乡医学院第一附属医院成功完成首台TAVR手术
图片

近日,新乡医学院第一附属医院心外科周朝元、心内科郭长磊团队和医院多学科的联合努力、密切配合下,完成该院首例经导管主动脉瓣置换术(TAVR),通过微创小切口,为一位主动脉瓣重度关闭不全,外科高危的患者成功换瓣。患者手术顺利完成医者的精湛技术, 为无法接受外科手术的患者带来了全新生命的希望。

相比主狭患者,使用TAVR治疗纯反流患者,对于术前影像评估、术中瓣膜定位都提出了更高的要求, 此次手术的成功也标志着新乡医学院第一附属医院在结构心脏领域的新突破,全面迈入TAVR电动可回收新时代。

病史简介

患者:70岁,男性

现病史:6月余前无明显诱因出现心慌、胸闷不适,活动后症状明显,休息后可缓解,近1月来上述症状明显加重,稍微活动后即可出现症状,伴夜间阵发性呼吸困难,后就诊于当地医院行彩超提示:主动脉瓣重度关闭不全。经治疗后未能好转,前来我院寻求进一步治疗。

术前检查

肺功能报告

图片

该患者肺功能为重度限制性通气功能障碍,外科手术高危。

心脏彩超

图片

反流面积:10.8cm²,

左室射血分数EF值:71%,

左室舒张末期内径(LVD):4.6 cm,

主动脉瓣评估:主动脉瓣重度关闭不全,左室舒张功能异常,并少许心包积液。

CT评估

图片

主动脉根部CT测量

图片

主动脉瓣环

周长:73.6mm

直径:23.4mm

图片

左室流出道

周长:71.5mm

直径:22.5mm

图片

左冠高度:11.1mm

图片

右冠高度:15.9mm

图片

窦管交界处

周长:96.4mm

直径:30.8mm

图片

升主动脉

周长:117mm

直径:37.2mm

图片

主动脉窦

右冠窦长度:31mm;左冠窦长度:31.2mm;

无冠窦长度:32.9mm

手术治疗策略

手术策略

在医务部李明瑛部长主持下,周朝元郭长磊团队组织了一次详细的术前讨论会。

韩培立副院长总结了该病例特点:

该患者为重度纯反流患者,从术前CT评估的情况分析,解剖结构适合TAVR手术。主动脉根部、弓部及入路情况比较理想,可提供足够锚定,为手术的成功提供了必要的条件;本病例瓦氏窦大,窦管交界内径可,升主动脉没有扩张,瓣环周长73.6mm左右,平均直径23.4mm。

术中采用监护麻醉,经右侧股动脉行TAVR术,使用电动可回收输送系统,植入瓣膜。

图片

手术团队术前讨论

术中操作

图片

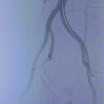
入路造影

图片

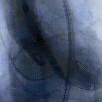
主动脉根部造影

图片

瓣膜定位

图片

瓣膜植入后观察,无反流,无瓣周漏

图片

手术完成

最终结果

放临时漂浮电极到右心室心尖部,180bpm起搏下瓣膜一次性释放,瓣膜完成锚定, 无瓣周漏、无返流。

术后讨论

在赵国安书记指挥、韩培立副院长、吕风华主任医师指导下,新乡医学院第一附属医院完成首例TAVR手术。经过1个小时紧张有序的操作,手术取得圆满成功,患者苏醒后顺利转入病房。周朝元主任医师说到,相比传统外科手术,经股动脉的TAVR不需要打开胸骨,几乎没有明显的失血,麻醉时间更短,创伤小、恢复快。

图片

随着TAVR在中国的发展越来越快,患者群体不断的扩大,更多的病例呈现出来,此次新乡医学院第一附属医院完成首例TAVR手术,为无法接受外科手术的患者带来了全新生命的希望。但同时带来的,是对术者的专业水准和医疗器械产品性能的巨大挑战。此次手术病例,经过整个TAVR团队术前对CT的慎密分析,制定了比较完善的手术策略,手术的成功也是周朝元和郭长磊团队高水平协作能力的体现。也标志着这项国际领先的尖端技术在新乡医学院第一附属医院正式启动,这将为辖区内更多患者带来突破性的医疗新技术福音。

阅读数: 6149