2022年4月15日,台州市中心医院(台州学院附属医院)党委书记陈保富教授作为心脏外科学科带头人,带领由林祖近主任和蔡海鹏主任领导的心血管内科、由林学正主任领导的麻醉科、由丁萍主任领导的超声团队、由金玲芝护士长领导的导管室护理团队、以及ICU和ECMO团队,共同组成了心脏多学科团队,以应对随时出现的心脏疑难手术。
2022年5月6日,台州市中心医院党委书记陈保富教授带领心脏多学科团队,由心血管内科蔡海鹏主任应用新一代可回收瓣膜系统,成功在同一天连续为两位重度主动脉瓣狭窄患者完成了TAVR手术。这是台州市中心医院首次开展TAVR手术,此次接受手术的两例患者,长期受主动脉瓣狭窄困扰。其主动脉瓣叶钙化严重伴明显增厚,瓣膜移位风险高,中大量瓣周漏风险大,使得瓣膜释放过程具有一定挑战性。术后患者症状显著改善,状态稳定。
蔡海鹏主任(右一)
病例一:
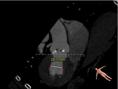
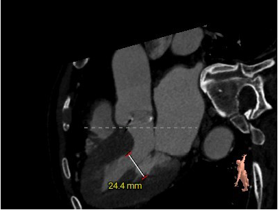
患者为71岁高龄男性,患者因反复胸闷15年,再发2月,5月慕名自行前来我院就诊。主动脉瓣听诊可闻及粗糙、高音调的喷射性收缩期杂音,余无特殊。术前超声显示瓣环直径28mm,左房37mm,左室收缩末内径55mm,左室流出道24mm。窦管高度17mm,内径39mm。瓣上最大流速3.7m/s,峰值压差56mmHg,平均压差34mmHg。诊断为主动脉瓣重度狭窄伴轻度关闭不全,二尖瓣轻中度反流。
主动脉根部评估:
左冠高度12.5mm右冠高度18.4mm,右冠脉开口高度大于瓣叶长度,SOV瓦式窦:平均周长径39.0mm,术中仍球囊预扩须密切注意冠脉灌注,STJ周长径39.2mm。
瓣叶重度钙化伴增厚,钙化分布不均匀,HU750积分1048mm²。
手术策略讨论:
台州市中心医院陈保富教授与蔡海鹏主任,协同护理团队、麻醉科、超声科等多学科进行充分术前讨论分析。
①患者为Type 0二叶式主动脉瓣,瓣叶重度钙化伴增厚,瓣环及左室流出道较大,瓣膜位移风险。术中选择25mm球囊预扩,减小瓣膜位移风险,并在预扩时密切注意根部限制性结构打开情况,及左侧冠脉灌注情况。
②患者瓣环、流出道、瓦氏窦、STJ等结构均较大,选择直径29mm瓣膜。
③患者整体血管情况良好,外周部分血管弥散性斑块,术中大鞘及输送器轻柔操作,避免外周血管损伤,必要时备snare辅助。
④患者左室流出道较大,瓣上结构限制严重,术中须严格控制瓣膜释放深度,选择瓣上5mm左右释放。
⑤如瓣周漏比较明显,则考虑球囊后扩或者瓣中瓣改善瓣周漏。
手术过程回顾:
患者全麻后,右侧股动脉建立主入路,主动脉根部造影显示主动脉瓣明显钙化。心室内轻微反流,主动脉及心脏情况整体较为稳定。直头导丝跨瓣后,在超硬导丝支撑下,瓣膜输送系统顺利跨瓣。在180次/分快速心室起搏下,确定降压至50mmHg后选择25mm球囊进行预扩张。根据术前评估及球囊预扩情况,最终选择直径29mm瓣膜进行植入。
主动脉根部造影
直头导丝跨瓣
球囊预扩
输送器过弓
输送器定位
瓣膜脱钩
病例二:
患者为78岁高龄男性,患者因反复胸闷急促1年,加重伴胸痛于5月慕名自行前来我院就诊。患者伴有肾功能异常、痛风、脑梗史,心功能III级。术前超声显示瓣环23mm,左房37mm,左室收缩末内径35mm。瓣上最大流速4.71m/s,峰值压差89mmHg,平均压差52mmHg,瓣口面积0.9cm²。诊断为主动脉瓣重度狭窄伴轻度关闭不全,三尖瓣轻度反流。
主动脉根部评估:
三叶式主动脉瓣,瓣环周长78.4mm,平均周长径24.9mm,左冠脉开口高度大于瓣叶长度,综合考虑冠脉风险低,LVOT周长径24.9mm,升主动脉直径30.8mm。
左冠高度17.5mm右冠高度22.6mm,右冠脉开口高度大于瓣叶长度,SOV瓦式窦:平均周长径38.2mm,术中仍球囊预扩须密切注意冠脉灌注,STJ周长径29.4mm。
瓣叶重度钙化伴增厚,钙化分布不均匀,HU596积分930mm²。
左室腔内径偏小,心室壁增厚明显。
主动脉弓角度与宽度可,心脏水平夹角53°,非横位心,外周血管内散见钙化灶,双侧入路血管内径良好,整体入路血管条件较好。
手术策略讨论:
①患者为Type 1二叶式主动脉瓣,左、右冠瓣叶融合钙化脊,瓣叶重度钙化伴增厚,且钙化分布不均,瓣环与水平夹角较大,瓣周漏及瓣膜位移风险高。术中选择23mm球囊预扩,减小瓣膜位移风险,并在预扩时密切注意根部限制性结构打开情况,及双侧冠脉灌注情况。
②患者心室腔较小,导丝塑性小弯型,术中严格管理超硬导丝,防止超硬导丝弹出心室或者钩住瓣膜。
③综合评估患者瓣环、流出道、瓦氏窦、STJ等结构,选择直径26mm瓣膜。
④患者整体血管情况良好,右侧股动脉稍扭曲,术中大鞘及输送器轻柔操作,避免外周血管损伤,必要时备snare辅助。
⑤患者瓣上结构限制严重,术中须严格控制瓣膜释放深度,选择瓣上3mm左右释放。
⑥必要时球囊后扩改善瓣膜形态及瓣周漏。
手术过程回顾:
主动脉根部造影
直头导丝跨瓣
球囊预扩
输送器过弓
瓣膜定位
瓣膜释放至工作位
瓣膜脱钩
球囊后扩
术后超声提示患者跨瓣压差即刻显著下降,反流量轻微。术中未出现相关并发症,术后患者心功能持续得到改善,效果良好,圆满取得此次手术成功。
术后总结:
术后,经团队的回顾性讨论,认为第一例手术难点主要在于患者结构偏大,心室腔偏大,瓣叶钙化严重,瓣膜位移风险高,瓣周漏严重等风险。第二例手术难点在于患者瓣叶钙化严重,心室腔偏小,导丝操控要求高,并且需要瓣膜精准定位。
在术前评估阶段,陈保富教授与蔡海鹏主任反复分析两例病例特点,制作了周密的手术预案,并初步决定第一例以25mm球囊进行预扩,直径29mm瓣膜植入;第二例以23mm球囊预扩,直径26mm瓣膜植入。为之后手术的顺利开展打下坚实基础。术前,陈保富教授协同蔡海鹏主任带领手术团队,充分进行术前讨论,反复模拟演练。
手术当日,陈保富教授与蔡海鹏主任秉持专业制,精益求精,再次对手术方案进行确认,并再次熟悉瓣膜和输送器特性,势必要给患者一个最完美的效果。手术过程相当顺利,全程未使用抓捕器辅助,没有出现血管并发症。
最终,在整个团队通力合作,首次使用经导管主动脉瓣系统,过弓顺利、定位精准,一次性释放成功,术后无瓣周漏,手术跨瓣压差均稳定在3mmHg,完美的完成了两次TAVR手术。
陈保富教授寄语:
截至现在,对我国人民生命安全威胁最大的疾病,仍是心血管疾病。其中,主动脉瓣狭窄这一病症,又以其发病后2年生存率不足50%,成为了严重威胁患者生命的一类重疾。以往由于手段有限,对于外科手术高危患者,或者高龄、虚弱的患者,医生常常无法对因治疗,重新为患者打开“心扉”。而自葛均波院士于2011年在国内首度开展TAVR技术后,这项微创、对因、患者接受度高的技术,已成为广大主动脉狭窄患者翘首以盼的救命手段。我院我科历来重视新技术、新疗法的创立与推广,从接触到TAVR技术开始,就不断深入了解技术背景,强化自身开展基础,在较短时间内建立了多学科合作的TAVR常规开展平台。同时,鉴于广大患者群体对主动脉瓣狭窄认识不足,我院我科积极开展患者普及教育,与兄弟科室、兄弟单位同仁并肩协作,最大限度让患者了解主狭、认知TAVR,在具有一定知识储备的情况下自主地决定治疗方案。
两例TAVR的完美开展,离不开心脏多学科的通力合作,也离不开患者对TAVR、对台州市中心医院的信任。我有幸能与大家一起完成这两例具有挑战性,但最终迎来了完美结果的手术,心中激情澎湃。以此为开端,我及我们多学科合作的平台必将以更高的热情,立即马上绝无停滞地投入向患者答疑解惑、为患者解危纾困的工作中去,将先进的医疗手段,更广泛地覆盖到我们苦于疾病的患者朋友!
专家简介
陈保富
台州市中心医院
台州市中心医院心胸外科主任医师,教授,医学博士,硕士生导师。
台州市中心医院党委书记,浙江省创新人才、省“151”人才、市“211”人才,台州市名医。
国家心血管病专家委员会微创心血管外科专业委员会常委,浙江省医学会胸外科学分会副主任委员,浙江省医学会微创外科学分会副主任委员,浙江省医师协会胸外科医师分会微创学会副主任委员,浙江省医师协会心外科医师分会副会长,浙江省医学会胸心外科分会常委,台州市医学会胸心血管外科学分会副主委。
特长:心脏瓣膜、大血管手术、普胸手术;擅长微创心脏瓣膜置换、成形手术,胸腔镜下各种肺肿瘤、纵膈肿瘤手术及食管癌根治术等。
林祖近
台州市中心医院
台州市中心医院主任医师,台州市中心医院大内科主任、心血管内科主任,台州市心血管分会副主任委员,台州市重点扶持学科带头人,浙江省中西医结合委员会心血管病专业常委,浙江省心电生理与起搏委员会委员,浙江省心律失常委员会委员,国家住院医师规范化培训内科基地负责人。
擅长冠心病、心绞痛及心肌梗死的介入手术治疗,永久心脏起搏器植入手术,心衰患者的心脏再同步化治疗(CRT),心脏电生理检查及射频消融手术,先天性心脏病的介入封堵治疗,各类疑难危重心血管疾病的诊治。
蔡海鹏
台州市中心医院
主攻方向:心血管疑难及危重急症的救治,擅长心脏介入手术治疗等。


