2022年5月8日,在黄冈市中心医院曾勇院长的统筹领导下,李火平副书记、毛伟明副院长、心内科陈少泽教授、徐成胜教授、沈正军教授的介入团队联合影像科杨耀华教授、超声科谢冰教授、麻醉科吴耀华教授、心外科梁永才教授、神经介入中心宛丰教授、ICU杨亚东教授等多学科组建的结构性心脏病团队成功为一例重度主动脉瓣狭窄患者进行了TAVR手术治疗。TaurusElite经导管主动脉瓣系统具备多次可回收功能,能最大程度的保证手术安全和效果,患者获得了良好的手术结果,血流动力学得到明显改善,患者预后理想。这例手术的成功后,黄冈市中心医院将继续开展各类结构性心脏病介入手术等复杂心脏介入手术。
患者基本情况
患者74岁男性,入院超声检查提示:主动脉瓣叶增厚钙化,开放受限,关闭不拢,主动脉瓣口面积约2.0cm²,峰值流速4.8m/s,平均压差93mmHg。左心扩大(LA41mm),LVEF37%。
术前CT评估
type1型二叶式主动脉瓣,R-N窦纤维钙化融合嵴,瓣叶轻度增厚伴重度钙化,左冠窦瓣叶钙化较重;LVOT呈敞口型;左冠脉开口高度较低,右冠脉开口高度尚可,左冠切线位瓣叶长度>冠脉开口到瓣叶附着缘距离;瓦氏窦、窦管交界内径、升主动脉内径正常;左室腔内径尚可、心室壁未见增厚;瓣环平面与水平夹角为55°,主动脉弓夹角、弓距尚可,升主动脉未见明显扭曲;主动脉弓、降主动脉下段、双侧髂总动脉可见散在钙化斑块,左侧髂动脉轻度扭曲,股动脉穿刺处未见钙化、狭窄,入路血管直径尚可。
CT动态预览
主动脉根部测量
瓣上结构测量
冠脉阻挡风险评估
钙化及瓣环水平夹角评估
外周血管入路评估
病例特点及手术难点
•type1型二叶式主动脉瓣,R-N窦纤维钙化融合嵴,瓣叶轻度增厚伴重度钙化,左冠窦瓣叶钙化较重;LVOT呈敞口型,综合预估瓣膜锚定难度尚可,瓣膜植入受钙化融合嵴影响,存在瓣膜移位、形变的可能性,瓣周漏及瓣中瓣风险适中;
手术策略
手术过程
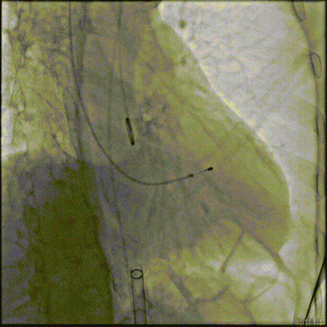
主动脉根部造影,采用20mm球囊预扩,有明显腰征,无造影剂渗漏。
主动脉根部造影
球囊预扩
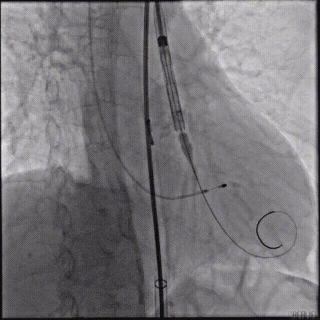
TaurusElite输送系统轻松过弓、跨瓣,AV23瓣膜瓣环上约2-4mm释放。
瓣膜初始位置释放
回收再定位释放
第一次释放到工作位后瓣膜下滑,回收调整位置后选择高位再次释放,最终造影显示瓣膜形态、位置良好,冠脉血流灌注正常,超声提示少量瓣周漏。
瓣膜工作位评估
术后根部造影
总结
主动脉狭窄及反流是老年人群体较为常见的一种疾病,其严重影响患者的生活质量和生命安全。近年来,随着TAVR技术在国内的普及,主动脉瓣狭窄及反流患者有了更多的治疗选择。本例病人为主动脉瓣重度狭窄,手术指征明确,术前解剖形态评估适宜行TAVR手术。经李火平教授结构性心脏病团队的综合评估,结合心内科、心外科、超声科、麻醉科、影像科、ICU、神经介入中心等多学科团队的讨论意见,最终决定为患者施行TAVR手术治疗。手术过程中,TaurusElite输送系统在保持回收性能稳定的同时兼具优异的柔顺性,顺利完成过弓、跨瓣等操作。面对该病例复杂的解剖结构特点,瓣膜释放过程中可能出现瓣膜下滑的风险,增加了术中释放瓣膜的难度。TaurusElite瓣膜系统具有多次可回收、回收后可重新跨瓣等设计特点,让术者释放过程中更有信心,能降低手术风险,减少并发症的产生,从而让患者得到更好的预后。本例患者瓣膜释放过程出现位置偏低情况,通过可回收功能重新定位释放,最终瓣膜释放位置良好,冠脉血流灌注正常,术后压差明显降低,仅有少量瓣周漏。术后病人状态良好,各项生命体征平稳,准备安排出院。
本次手术的成功体现了黄冈市中心医院李火平教授结构性心脏病团队的精诚合作,曾勇院长亲自指挥、术前组织心内科、超声科、麻醉科、心外科、ICU、神经介入中心、影像科等多学科反复讨论手术方案,制定了详尽的手术计划,术中各成员密切配合,各项手术流程准确无误,保证了良好的手术效果,这也标志着黄冈市中心医院结构性心脏病的诊治上了一个新的台阶。
专家简介
李火平
黄冈市中心医院
医学硕士,主任医师,副书记,硕士生导师,黄冈市学科技术带头人。
兼任湖北省心血管学会委员,湖北省老年学会常委,湖北省内科学会常委,黄冈市心血管学会主委。享受湖北省政府专项津贴,获第八届“中国医师奖”,黄冈市首届十大杰出人才。擅长高血压、冠心病、心肌病、心律失常的诊治及心血管病的介入治疗。发表论文十余篇,获黄冈市科技进步三等奖两项,黄冈市自然科学优秀学术论文一等奖一项。
门诊时间:每周二全天心内科专家门诊。
陈少泽
黄冈市中心医院
华中科技大学同济医学院医学博士,黄冈市中心医院引进高层次人才,黄冈市中心医院运营部副部长,内科部副部长,内科规培基地主任,心内科3病区主任,副主任医师,硕士生研究生导师。医疗特长:擅长各类型复杂冠脉病变包括左主干病变,分叉病变,正逆向结合开通慢性闭塞CTO病变,冠状动脉旋磨术以及运用IVUS,FFR等腔内影像和功能学评价;擅长各种类型心脏起搏器植入术,左束支区域起搏等技术;以及肾动脉支架植入术,肾上腺静脉采血,肾上腺腺瘤化学消融等继发性高血压的介入诊疗技术。科研情况:以第一作者和通讯作者在国际权威学术期刊 Circulation Research等国内外杂志发表研究论著30余篇,编撰论著1部。获省部级科技进步二等奖1项,三等奖1项。国家级学术任职:中华医学会心电生理与起搏专业委员会全国青年委员。
门诊时间:每周一全天高血压门诊,每周六全天心内科专家门诊。
徐成胜
黄冈市中心医院
副主任医师,心血管内科2科主任,医学硕士,毕业于华中科技大学同济医学院,目前担任长江大学硕士研究生导师,湖北省急性心血管疾病医疗救治中心专家委员会委员,湖北省康复医学会心血管康复专业委员会委员,武汉医师协会心血管医师分会常委,长江大学硕士研究生导师,黄冈市医学会心血管分会常委,黄冈市中心医院胸痛中心医疗总监,已在国内核心期刊发表论文十余篇。于武汉大学人民医院进修心血管介入。擅长复杂冠心病、心律失常、结构性心脏病介入治疗,对心血管内科急危重症诊治有丰富的经验,对多学科疑难重症有较高的水平,能够独立并熟练开展心血管疾病介入治疗。
门诊时间:每周二上午8:00-11:30高血压门诊,每周五上午8:00-11:30心内科专家门诊。
沈正军
黄冈市中心医院
主任医师,心血管内科1科主任,医学硕士,毕业于华中科技大学同济医学院,目前担任湖北省医师协会心血管内科医师会委员,黄冈市心血管专业副主任委员,获市科技进步奖一项,发表SCI及国家重点核心期刊医学论文多篇。先后在武汉协和医院及中国人民解放军总医院进修心血管临和心血管介入。擅长对冠心病、心力衰竭、高血压病、心律失常、心肌病、瓣膜病的诊断、鉴别诊断及治疗工作,长期从事复杂冠脉介入治疗,熟练运用IVUS,FFR等腔内影像和功能学评价,尤其擅长IABP、有创呼吸机支持下高危复杂急性心肌梗死急诊救治,爆发性心肌炎救治、难治性心力衰竭、顽固性高血压等心血管内科急危重症诊治有丰富的经验,对多学科疑难重症有很高的水平。
门诊时间:每周三全天心内科专家门诊。



