2022年4月27日和4月29日,北京大学人民医院心内科陈红教授、刘健教授带领团队成功完成TaurusElite经导管主动脉瓣系统上市后的首次植入。在多学科倾力协助配合下,成功为两名重度主动脉瓣狭窄患者实行了局麻加镇静下的经导管主动脉瓣置换术。两个病例极具特点,很好的诠释了临床中遇到“高龄、高危、横位心、重度钙化”主动脉瓣狭窄患者的正确处理方法。人工瓣膜植入后工作正常稳定,均未出现冠脉阻挡和瓣周漏,患者术后恢复快且血流动力学得到有效改善,为患者带来长期生存受益。
病例1:
80岁高龄女性,因活动后喘憋收治入院,既往30年高血压史。经超声心动图检查提示主动脉瓣重度狭窄,二尖瓣中度关闭不全,三尖瓣轻度反流,升主动脉瘤样扩张。主动脉平均压力阶差:101.3mmHg,瓣上峰值流速6.3m/s,左室舒张末径56mm,左室射血分数43%。
术前评估:
主动脉瓣瓣环周长71.4mm,周长径22.7mm,LVOT 25.2mm,STJ 34.6mm。CT数据分析显示该患者为Type1型二叶瓣,瓣叶重度钙化且增厚,钙化集中分布于左无冠瓣交界处,HU850:579mm²。
左冠开口高度14.5mm,右冠开口高度12.1mm,双侧冠脉开口未见明显附壁钙化,结合瓦氏窦宽度和瓣叶长度综合判断冠脉阻挡风险低。
升主动脉扩张,平均周长径48.3mm,主动脉瓣环与水平面夹角71°,主动脉弓角与弓距可。
双侧血管内径可,无明显迂曲,符合血管入路条件。
主动脉根部评估:
瓣上解剖结构及钙化分布:
外周血管及主动脉弓解剖:
手术策略讨论:
该病人高龄高危、心脏横位角度大
①考虑病人年龄,采用局麻加镇静方式进行手术。
②病人心脏横位角度大,防止输送器跨瓣困难,备用Snare圈套器。
③经术前CT评估,钙化集中于左无后交界处,瓣膜初始释放贴靠锚定力较弱,同时LVOT呈敞口状,瓣膜下滑风险较高,计划零位或负位释放,术中充分运用可回收功能确保手术效果。
③预装TaurusElite®AV26瓣膜,使用20mm球囊预扩张。
球囊预扩角度LAO 2°,CRA 1°(左冠切线位),跨瓣和释放角度RAO 16°,CAU 36°(左右重合),释放瓣膜后观察瓣架形态,造影确认瓣周漏和反流情况。
④患者双侧入路血管条件佳,常规选择右侧股动脉为主入路,左侧为辅入路。
手术过程概览:
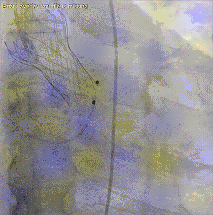
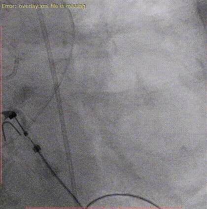
术前冠脉造影
主动脉根部造影
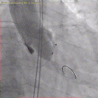
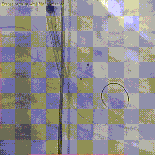
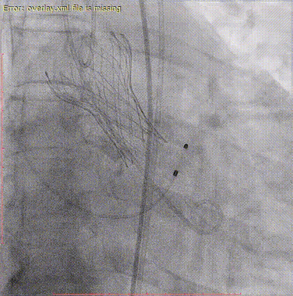
20mm球囊预扩,些许腰征,无瓣周漏,未见冠脉阻挡
输送器轻松过弓
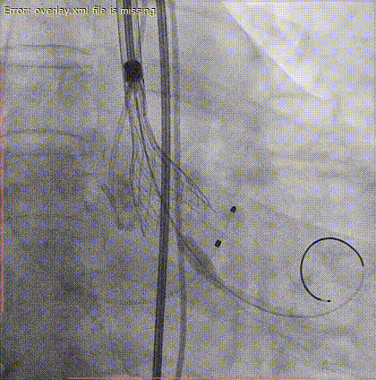
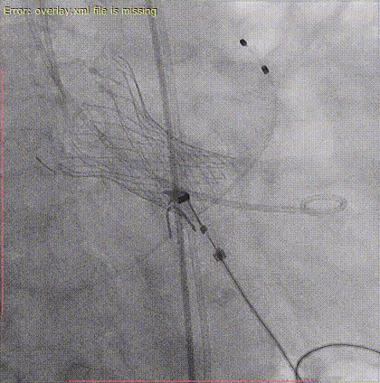
瓣膜定位
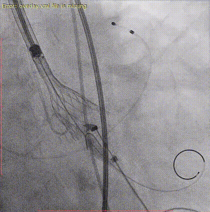
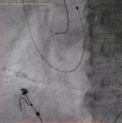
瓣膜第一次释放(瓣膜位移下滑,利用可回收功能)
再次定位释放后瓣膜形态位置良好,造影无瓣周漏、无反流
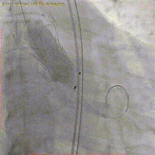
术后即刻评估:
术后平均跨瓣压差降至6mmHg
病例2:
66岁男性,因间断劳累时心悸、气短5年就诊。既往合并高血压、糖尿病、高脂血症5年,癫痫4年。经超声心动图检查提示主动脉瓣重度狭窄,左房扩大,左室肥厚,左室舒张功能减退。主动脉平均压力阶差57.7mmHg,瓣上峰值流速4.7m/s,左室舒张末径47mm,左室射血分数59.5%。
术前评估:
主动脉瓣瓣环周长85.4mm,周长径27.2mm,LVOT 28.1mm,STJ 29.4mm。CT数据分析显示该患者为Type1型二叶瓣,瓣叶重度钙化且增厚,主要分布于无冠瓣叶,左冠窦有团状钙化并延伸至左室流出道,HU850:957mm²。
左冠开口高度13.0mm,右冠开口高度16.5mm,双侧冠脉开口未见明显附壁钙化,结合瓦氏窦宽度和瓣叶长度综合判断冠脉阻挡风险较低。
升主内径36.0mm,主动脉瓣环与水平面夹角39°,主动脉弓角与弓距可。
双侧血管内径可,无明显迂曲和附壁钙化,符合血管入路条件。
主动脉根部评估:
瓣上解剖结构及钙化分布:
外周血管及主动脉弓解剖:
手术策略讨论:
该病人特点:大瓣环、极重度钙化
①采用局麻加镇静方式进行手术。
②经术前CT评估,钙化集中于无冠瓣处,预计瓣膜初期释放可顺利贴合锚定,因左冠瓣存在团状钙化,发生瓣周漏的可能性较大,可通过球囊后扩张进行处理。
③病人瓣膜钙化程度较重,在瓣膜尺寸选择上,需通过术中球囊预扩张进行综合评估。计划使用22mm球囊预扩,观察腰征和瓣周漏情况。选择零位释放,术中充分运用可回收功能确保手术效果。
④备TaurusElite AV26和AV29瓣膜。球囊预扩角度LAO 22°,CRA 7°(左冠切线位),跨瓣和释放角度RAO 12°,CAU 24°(左右重合)。瓣膜释放后观察瓣架形态,造影观察瓣周漏和反流情况,综合评估决定是否进行球囊后扩张。
⑤患者双侧入路血管条件佳,常规选择右侧股动脉为主入路,左侧为辅入路。
手术过程概览:
术前冠脉造影
主动脉根部造影
22mm球囊预扩,些许腰征,无瓣周漏,未见冠脉阻挡。(决定使用Taurus Elite AV26瓣膜)
瓣膜定位
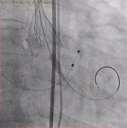
瓣膜第一次释放(位置不理想,出现瓣周漏)
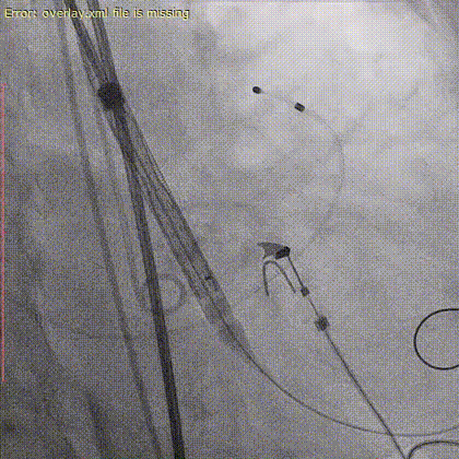
利用可回收功能重新定位释放
瓣膜完全释放(受钙化影响,瓣架形态挤压明显,决定球囊后扩张)
22mm球囊后扩
球囊后扩后,瓣架形态改善明显,造影无瓣周漏、无反流
术后即刻评估:
术后平均跨瓣压差降至15mmHg
刘健教授寄语:
本周我们先后完成了两台复杂高危重度主动脉瓣狭窄病人的治疗,两位患者均为二瓣化畸形合并重度钙化。相较西方,中国主动脉瓣疾病患者的特点还是存在一定差异性,所以我们也更应该遵循国情,深化疾病的判断与认知。
回到这两例病人,第一例病人80岁高龄、心脏横位角度大。我们采用局麻加镇静的方式进行手术,并做好全麻准备预案,确保患者的安全。同时充分做好术前风险评估和手术策略制定,确保手术万无一失。事实也证明病人的钙化形态特点影响到了瓣膜的锚定,我们充分利用了目前第二代可回收经导管主动脉瓣系统的优势,解决了瓣膜下移的风险精准定位,即保证手术安全性,又大大提高了手术质量,改善患者预后。另一例病人主动脉瓣钙化极其严重,坚硬的钙化对人工瓣膜假体产生强大的挤压作用,影响人工瓣膜植入的形态和开口面积。我们利用球囊后扩张技术,帮助人工瓣膜展开贴合,从而有效改善患者的血流动力学。最终两位患者成功顺利完成手术。
对于这两例二叶瓣畸形重度主动脉瓣狭窄患者,TAVR手术属于复杂高危,术前充分考虑手术难度与风险,我们团队在术前一天进行了详尽的讨论,充分准备,保证了手术完美进行。我们的瓣膜团队成立之初,既秉承一切以病人利益为核心,传承与发扬人民医院为人民的宗旨,稳步推广与发展技术。相信在陈红主任带领下,我们团队稳扎稳打、砥砺前行,逐渐追赶并缩小与国内先进瓣膜中心的差距。我们有信心在人民医院综合学科优势下,团队精诚合作,不断突破,为更多的瓣膜病患者带来福祉。
专家简介
陈红
北京大学人民医院
北京大学人民医院教授、主任医师、博士生导师。
现任北京大学人民医院心脏中心主任、心内科主任、北京大学人民医院介入中心主任,兼任北京大学心血管学系副主任。“急性心肌梗死早期预警和干预北京市重点实验室”主任;北京内科分会主委;中国研究型医院学会心血管循证与精准医学专业委员会主委;北京心血管学会副主委;中华医学会心血管病学分会高血压病学组副组长;中国医院协会现代医院管理能力建设专家委员会医院媒体工作分委员会副主任委员等。享受国务院政府特殊津贴。
刘健
北京大学人民医院
医学博士,主任医师,教授,博士研究生导师;美国哥伦比亚大学医学中心/美国心血管研究基金会血管内超声博士后,现任北京大学人民医院心血管内科副主任。
马玉良
北京大学人民医院
博士,北京大学人民医院心内科副主任医师。
主要研究方向为冠心病介入治疗及心脏重症。能够处理复杂冠脉高危病变,如左主干病变、分叉病变、钙化扭曲病变、小血管长病变等;对严重钙化病变,熟悉并掌握冠脉旋磨技术;熟悉并掌握有创冠脉评估手段:包括血管内超声(IVUS)、光学相干断层扫描(OCT)和冠脉血流储备分数(FFR)。长期CCU工作过程,对心血管内科危重症患者的救治积累了大量临床经验,包括急性心肌梗死患者的药物和介入治疗、心原性休克的抢救、急慢性心衰合并多器官损伤及恶性心律失常的处理等等;对心血管危重症患者进行血液动力学监测(包括PICCO、Swan-Ganz导管、床旁超声等),并指导临床治疗,提高了危重症患者的救治效果。
主要社会兼职:卫生部心血管疾病介入诊疗培训基地导师,北京医学会内科学分会第十三届委员会委员,《中国循环杂志》第六届编辑委员会通讯编委,北京医学会心血管病学分会第九届委员会血脂和动脉粥样硬化学组委员、心血管急重症学组委员,中国心脏联盟晕厥学会学会委员等。


