2022年4月23日,福建医科大学附属协和医院(福建协和医院)陈良万教授、戴小福教授团队使用沛嘉新一代可回收瓣膜系统TaurusElite完成首例纯反流植入。本次临床植入患者是三叶式主动脉瓣,主动脉瓣中-重度反流,严重缺乏锚定力且有71°的横位心,对一个瓣膜完成手术非常具有挑战性。术前戴小福教授联合超声科、医学影像科对患者病情进行全面评估,在麻醉科、CCU团队等科室全体医护人员的协同配合下,瓣膜植入后工作稳定,血流动力学有效改善,手术取得圆满成功。
患者信息:
男性,86岁。入院7年余无明显诱因出现活动后胸闷伴气促,反复因“心衰”就诊当地医院,1月前上述症状加重。心脏超声提示:左室向心性肥大伴左室整体收缩功能减退,主动脉瓣钙化伴关闭不全(中-重度反流),心包积液(少量),三尖瓣轻度反流,二尖瓣未见明显反流,肺动脉瓣轻度反流。
术前评估:
• 三叶式主动脉瓣,无钙化,瓣叶轻度增厚,结合超声为纯反流。
• 左右冠脉开口高度可,瓣叶长度均小于冠脉开口下缘到瓣叶附着缘位置,左冠脉可见少量散在钙化。
• 左室流出道内径大于于瓣环径,呈敞口型,瓦氏窦大小可,STJ正常,升主动脉内径可
• 左室腔内正常范围大,心室壁厚度正常。
• 主动脉瓣环与水平面夹角71度,横位心,主动脉弓角度较小,弓距长度可。
• 双侧外周血管走行正常,存在散状钙化,迂曲钙化尚可,整体入路条件可。
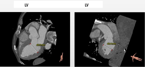
主动脉根部评估:
• 瓣环 周长79.7mm,平均周长径25.4mm
• SOV瓦式窦 34.4mm * 37.4mm * 39.2mm
• LVOT 周长83.1mm,平均周长径 26.5mm
• STJ 周长104.9mm,平均周长径 33.4mm,高度27.7mm
• 升主动脉 直径37.6(40mm高度)
冠脉高度、瓣叶长度及左室内径:
冠脉高度可,未见冗长瓣叶,左室内偏径大,横位心(71°)
外周血管及主动脉弓形态:
主动脉弓角度62°,散在钙化
入路血管走形良好,双侧股髂动脉内径可
手术策略讨论:
• 右侧股动脉为主入路,左侧为辅入路。
• 反流病例,瓣叶无钙化及纤维融合,可不进行球囊预扩张
• 拟置入AV29瓣膜,瓣环下0mm左右释放,跨瓣LAO 11° CAU18°(右窦中心位),释放角度 LAO 3° CAU 35(左右重合)左右,建议释放至工作位(瓣膜2/3高度)后,调整至 LAO 22° CRA11°(左冠切线位), 左右进一步确认瓣膜稳定性及瓣周漏效果后再完全释放。建议充分利用瓣膜系统部分及完全可回收功能,常规备瓣中瓣策略及外科干预策略。
• 瓣膜植入成功后,造影评估入路血管情况,避免遗漏血管并发症情况
手术过程概览:
根部造影,可见明显反流,猪尾在右窦
调整猪尾到无窦,输送器跨瓣,确认位置
起搏状态下释放,造影观察瓣膜位置
第一次释放下滑,重新回收定位
释放初始位提高2mm左右释放,造影观察位置
释放到2/3工作位,观察是否会位移
瓣膜锚定稳固,在起搏状态下缓慢脱钩,同时轻顶输送器卸张力
术后超声评估:
超声结合长轴短轴评估,无明显反流,瓣膜工作状态良好
专家寄语:
该病例是一例纯反流病人,相对锚定偏弱,只能依靠瓣环和STJ,加上横位心,进一步增加手术难度,有很大瓣膜位移和瓣周漏的风险,对于瓣膜稳定性和术者准确的操作有很高的要求。
TaurusElite可回收瓣膜系统具备以下的优势:1.瓣膜优异的稳定性,使瓣膜释放更加容易定位;2.优异的输送性能,不损伤入路血管;3.多次回收设计,尤其是回收后可以重新跨瓣等设计特点,增加手术成功率增强术者信心。
专家简介
陈良万
福建医科大学附属协和医院
福建医科大学教授、博士生导师
中华医学会胸心血管外科分会常委和器官移植分会委员;中国医师协会主动脉夹层专业委员会副主任委员、器官移植医师分会委员、心血管外科医师分会常务委员、腔内血管学专业委员会委员、整合医学分会第一届委员会整合心血管外科委员会副主任委员和省级医院分会委员;福建省医学会副会长、胸心外科学会副主任委员、器官移植分会副主任委员和科学普及分会常务委员;国家心血管病专家委员会微创心血管外科专业委员会委员;福建省科协委员会常务委员会委员;《中华医学杂志》、《中国胸心血管外科临床杂志》、《中国体外循环杂志》、《中国心血管病研究》、《器官移植》等杂志编委;
中山大学附属中山市人民医院客座教授,临沂市人民医院客座教授,广东省中医院大学城医院客座教授。
戴小福
福建医科大学附属协和医院
教授、主任医师、博士生导师,福建医科大学附属协和医院心脏外科行政副主任。
福建省海峡医药卫生交流协会心血管外科分会会长,海医会台海医学会心血管外科专业委员会 主任委员,福建省心血管外科质控中心副主任,福建省医师协会心血管外科分会副会长,福建省胸心外科青年委员会副主任委员,中华医学会胸心外科青年委员会委员,中国医师协会胸心外科青年委员会委员,国家微创心血管外科专家委员会委员,国家心血管病专家委员会青年委员会委员,《器官移植》、《中国心血管病研究》、《中华器官移植》, 等杂志编委。

