2022年4月27日,武汉大学人民医院江洪、陈静主任团队成功应用TaurusElite挑战了如61°横位心、大瓣环、重度狭窄合并重度反流、低流速低压差等高难度的TAVR杭州瓣膜会手术直播,再次展示了武汉大学人民医院江洪主任、陈静主任团队精湛的技艺和团队配合,以及TaurusElite优异的产品性能。术前联合超声科周青主任团队、麻醉科夏中元主任团队、ECMO&CCU团队等多学科心脏瓣膜团队的大力支持,实现ECMO支持下瓣膜精准释放,显著改善了患者的血流动力学,获得了显著的即刻手术效果,保障了患者良好的远期预后。
手术直播
术后合影
Case One:
患者68岁男性,入院心脏彩超提示:钙化性主动脉瓣重度狭窄(低流速、低压差型)并重度关闭不全、升主动脉扩张,LVEF 26%,全心增大,左心显著。
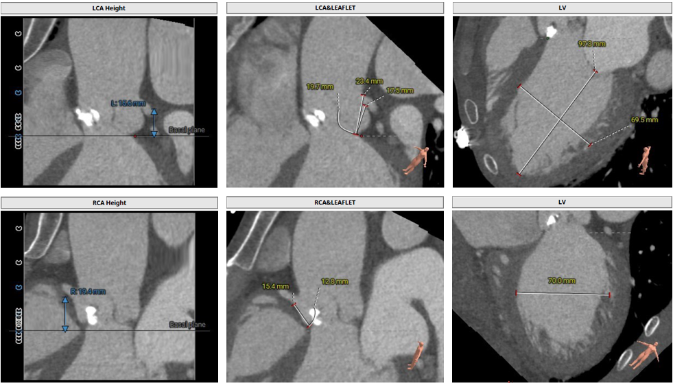
术前CT评估:
• Type1型二叶式主动脉瓣,R-N窦钙化融合嵴,瓣叶重度钙化伴增厚,L-N窦局部粘连。
• 冠脉开口高度可,左冠瓣叶稍冗长,左冠切线位瓣叶长度>冠脉开口到瓣叶附着缘距离,右冠切线位瓣叶长度<冠脉开口到瓣叶附着缘距离。
• 瓦氏窦、窦管交界内径可,升主动脉扩张,左室腔内径增大。
• 瓣环水平夹角46° ,主动脉弓宽度、角度尚可。
主动脉根部测量
冠脉阻挡风险评估
手术难点及策略:
根据术前CT报告分析,本例手术存在以下难点:
• Type1型二叶式主动脉瓣,R-N窦钙化融合嵴,瓣叶重度钙化伴增厚,L-N窦局部粘连,综合预估锚定难度适中,瓣膜植入受瓣叶钙化嵴挤压存在移位及瓣周漏风险。
• 冠脉开口高度可,左冠切线位瓣叶长度>冠脉开口到瓣叶附着缘距离,结合瓦氏窦、STJ内径综合预估,冠脉风险适中,术中关注左冠血流灌注。
相应的手术策略:
• 右侧股动脉为主入路,右侧桡动脉辅助入路,使用20F血管鞘。
• LAO 23° CAU 4°(右窦中心) 左右跨瓣。
• 使用25mm球囊预扩,预扩角度 LAO 35° CRA 9°(左冠切线位)左右。
• 预装AV31瓣膜,瓣环下2mm定位释放,释放角度LAO 0° CAU 25°(左右重合)左右,释放后调整至左冠切线位LAO 35° CRA 9°左右进一步评估冠脉灌注、瓣膜稳定性及展开形态后释放。
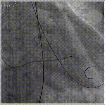
手术过程:
主动脉根部造影
球囊预扩
释放工作位评估
术后造影评估
跨瓣压差由术前38mmHg降低到5mmHg。
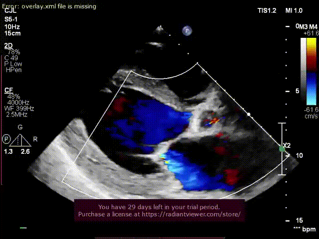
超声术后评估:
超声显示假体瓣膜形态良好,工作正常,少量瓣周漏。
Case two:
患者83岁男性,入院心脏彩超提示:主动脉瓣中度关闭不全、升主动脉增宽,LVEF 45%,二尖瓣、三尖瓣反流、左室收缩功能减低。
术前CT评估:
• 三叶式主动脉瓣,瓣叶轻微增厚,流出道呈敞口形态。
• 冠脉开口高度可,左右冠切线位瓣叶长度<冠脉开口到瓣叶附着缘距离。
• 瓦氏窦内径偏大、窦管交界,升主动脉内径可,左室腔内径正常。
• 瓣环水平夹角61° ,主动脉弓宽度、角度尚可。
主动脉根部测量
冠脉阻挡风险评估
外周入路评估
手术难点及策略:
根据术前CT报告分析,本例手术存在以下难点:
• 三叶式主动脉瓣,瓣叶轻微增厚,流出道呈敞口形态,综合预估锚定难度较高,升主能提供辅助锚定,瓣膜定位要求精度较高,人工瓣膜存在位移风险。
• 横位心,主动脉弓距和弓部夹角尚可,输送系统过弓、跨瓣难度增高,必要时备Snare辅助。
相应的手术策略:
• 右侧股动脉为主入路,左侧辅助入路,使用20F血管鞘。
• RAO 1° CAU 19°(右窦中心) 左右跨瓣。
• 预装AV31瓣膜,瓣环下2mm定位释放,释放角度RAO27° CAU 37°(左右重合)左右,释放后调整至左冠切线位LAO 15° CRA 8°左右进一步评估冠脉灌注、瓣膜稳定性及展开形态后释放。
手术过程:
主动脉根部造影
人工瓣膜精准定位
释放工作位评估
术后造影评估
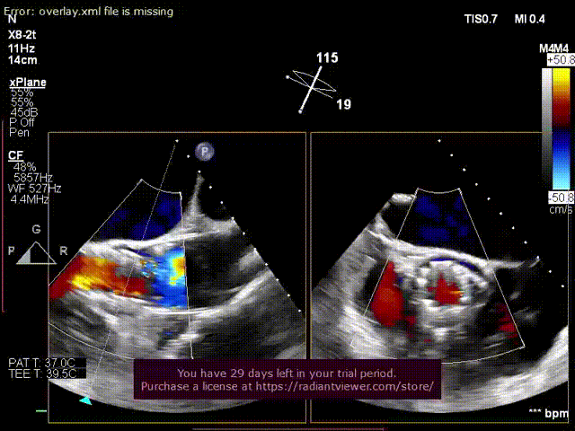
超声术后评估:
超声显示假体瓣膜形态良好,工作正常,微量瓣周漏。
两例患者分别为type1型二叶式主动脉重度狭窄伴重度反流,钙化融合嵴以及三叶式主动脉瓣中度反流患者,瓣叶轻微增厚,流出道呈敞口形态,瓣环较大,横位心,给瓣膜的锚定增加了一定的难度,存在瓣膜植入后移位和瓣周漏的风险。TaurusElite瓣膜高密度流入端设计给予其足够的径向支撑力,保证了瓣膜的锚定力;低密度流出端的设计也能帮助术者更好的完成过弓与跨瓣操作,其输送系统较柔软,头端胶囊可弯折,在两例中都能很好的柔顺过弓。其次TaurusElite瓣膜内外双裙边设计能有效减少瓣周漏,适度的收腰既能保证足够的有效瓣口面积,又降低了冠脉阻挡风险。TaurusElite经导管主动脉瓣系统在输送系统的设计上采用了人体工程学大手柄设计,同步性良好,旋转操作简单方便,保证释放过程的顺利进行,其可回收功能,也给术中操作留有余地,有效降低了手术风险,使手术操作更加简洁。本次手术的成功充分体现了武汉大学人民医院江洪主任团队默契的配合、精湛的手术技巧。
专家简介
江洪
武汉大学人民医院
心血管内科科主任,基地主任,二级教授,一级主任医师,博士生导师。
国务院政府特殊津贴专家,跨世纪学科带头人,湖北省首届医学领军人才,珞珈杰出学者,赛克勒优秀医师奖获得者。兼任中华医学会心血管病学分会常委兼急重症学组组长、中华医学会心电生理和起搏分会常委兼室性心律失常工作组副组长、中国医师协会心血管内科医师分会心律学专业委员会副主任委员、湖北省医学会心血管病学分会主任委员、中国生物医学工程学会心律分会副主任委员、中国医学装备协会心血管装备技术专业委员会副主任委员。主要从事心血管疾病的基础、临床研究和创新转化。主持国家重点研发计划、国家自然科学基金重点项目及面上项目、湖北省自然科学基金重点项目等科研项目20余项,在Circulation、JACC、Adv Funct Mater、JACC Cardiovasc Interv、Circ Heart Fail、EBioMedicine、Cardiovasc Res、Heart Rhythm等国际权威期刊上,发表专业领域高质量研究论文200余篇。获国家科技进步二等奖3项,湖北省科技进步一等奖5项,以及华夏医学科技奖一等奖、中国医疗保健国际交流促进会一等奖、湖北省科技成果推广奖一等奖等多项科技奖项。主编、参编专著17部,申请专利4项,授权2项。
陈静
武汉大学人民医院
主任医师,副教授,硕士生导师,武汉大学人民医院心内V科(急性心血管病救治中心)主任,美国乔治亚理工大学访问学者。
美国心脏病学会委员(FACC),国家卫健委冠脉介入培训导师,中华医学会心血管分会急重症学组全国委员兼秘书,中国医师协会心血管内科医师分会心血管危重症学组全国委员,中国医师协会心脏重症专业委员会重症心肌病学组委员,中国研究型医院心力衰竭专委会委员,中国心衰中心联盟委员,中国中部复杂冠脉介入青年委员会组长,中国心胸血管麻醉学会基层心血管病分会全国委员,亚太结构性心脏病青年委员会委员,中国胸痛中心现场核查专家,“十四五”重点专项指南编撰专家,湖北省微循环学会心血管专业委员会副主任委员,湖北省医学会心血管内科第八届委员会委员,湖北省医师协会心血管内科医师分会第一届委员会委员,湖北省急性心血管疾病医疗救治中心秘书长兼委员,湖北省闭塞病变俱乐部委员兼常务秘书,武汉市中青年骨干人才。
科研成果:湖北省科技进步奖1项;湖北省自然科学奖1项;主持国家自然科学基金2项;主持教育部博士点和中央高校青年教师基金各1项;发表SCI论文50余篇;参编参译论著4部。

