2022年4月26日,中国科学技术大学附属第一医院(安徽省立医院)徐健教授团队使用沛嘉新一代可回收瓣膜系统TaurusElite完成首例植入。本次临床植入患者是Type0型二叶瓣,主要诊断为“主动脉瓣重度狭窄”,术前徐健教授联合超声科、医学影像科对患者病情进行全面评估,在麻醉科、CCU团队等科室全体医护人员的协同配合下,瓣膜植入后工作稳定,血流动力学有效改善,手术取得圆满成功。
患者基本情况
女性,69岁,身高146cm,体重37kg。患者于一年前,无明显诱因后出现胸闷,伴喘息,加重伴头晕气短1周,于中国科学技术大学附属第一医院就诊,心脏超声提示:主动脉瓣重度狭窄(提示先天性主动脉瓣二叶式畸形);左房偏大,左室增大,左室收缩功能减低,EF29%;肺动脉高压(轻度)伴三尖瓣轻中度反流;中度二尖瓣反流。
术前评估:
主动脉根部评估:
瓣环上结构测量:
冠脉高度、瓣叶长度及左室内径:
外周血管及主动脉弓形态:
手术策略讨论:
手术过程概览:
主动脉根部造影
20mm球囊充分预扩
输送器顺畅过弓及跨瓣
瓣膜一次稳定释放
瓣膜稳定脱钩
术后造影,瓣架形态良好
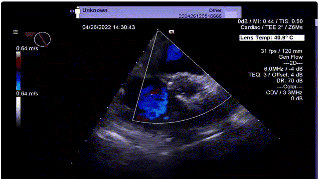
超声下血流动力学良好,无反流
术前V-max从4.1m/s下降至2m/s,PG 68mmHg下降至16.86mmHg。
专家寄语:
该病例入路偏细,近横位心对瓣膜的输送系统的通过性和柔顺性都有较高要求;瓣上限制较多瓣架容易发生向下位移风险,需要瓣架具有良好的径向支撑力及顺应性,位移较多情况下瓣膜系统能够再次调整。
TaurusElite可回收瓣膜系统具备以下的优势:1.瓣膜设计使其具有适当的锚定力和径向支撑力;2.优异的输送性能,不损伤入路血管;3.多次回收设计,尤其是回收后可以重新跨瓣等设计特点,增加手术成功率增强术者信心。
专家简介
徐健
中国科学技术大学附属第一医院
心血管病内科主任医师,中科大博士研究生导师,心内科副主任,心律失常亚专科科主任,房颤中心主任,心源性卒中防治基地主任,中华医学会安徽心电生理与起搏学会现任主任委员,中国心血管联盟安徽省房颤中心联盟主席,中华医学会心电生理与起搏学会委员,中国医师协会心律学专业委员会常委,中华医学会心电生理与起搏学会室性心律失常工作委员会委员,中华医学会心电生理与起搏学会左心耳工作委员会委员,中华医学会心电生理与起搏学会心力衰竭器械治疗委员会副主任委员,中华医学会结构性心脏病学会委员,安徽心血管病学会委员,美国心律学会fellow。
