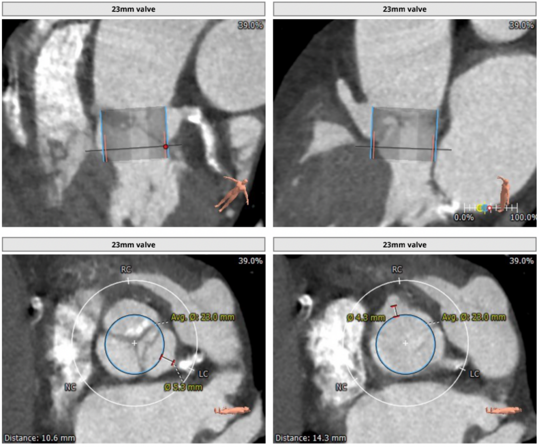
近日,武汉大学人民医院江洪教授团队成功挑战主动脉瓣严重狭窄合并钙化病变,顺利完成SAPIEN 3球囊扩张式瓣膜植入。在团队成员紧密配合下,克服患者弥漫钙化病变,顺畅完成过弓、跨瓣及释放操作,实现了手术的圆满成功。这是武汉大学人民医院首例应用SAPIEN 3瓣膜完成的TAVR。 患者基本情况 患者女性,78岁,既往有劳累性心绞痛,三支血管病变,右冠、前降支均存在大量钙化及狭窄,主动脉瓣严重狭窄伴中度钙化。 影像学检查结果 术前CT结果显示,主动脉瓣口面积373.6mm²,瓣环平均直径22.3mm,瓣环周长70.5mm;LVOT面积287.2 mm²,LVOT平均直径19.9mm;心夹角55°;左冠开口高度14.8mm、右冠开口高度16.2mm。 术前CT检查结果 手术策略讨论:
瓣膜选择软件分析报告
手术过程:
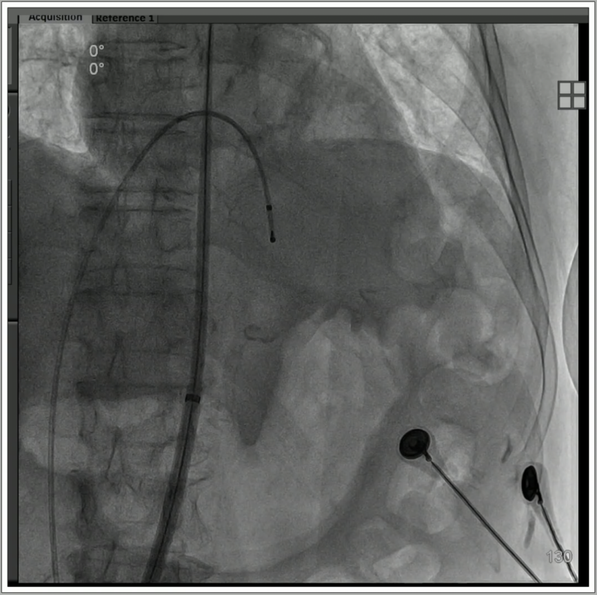
1、全麻下建立双侧股动脉入路,以右股动脉为主;血管穿刺后置入14F eSheath血管鞘。
2、导丝跨瓣后置换猪尾导管,测量主动脉瓣压差40mmHg;
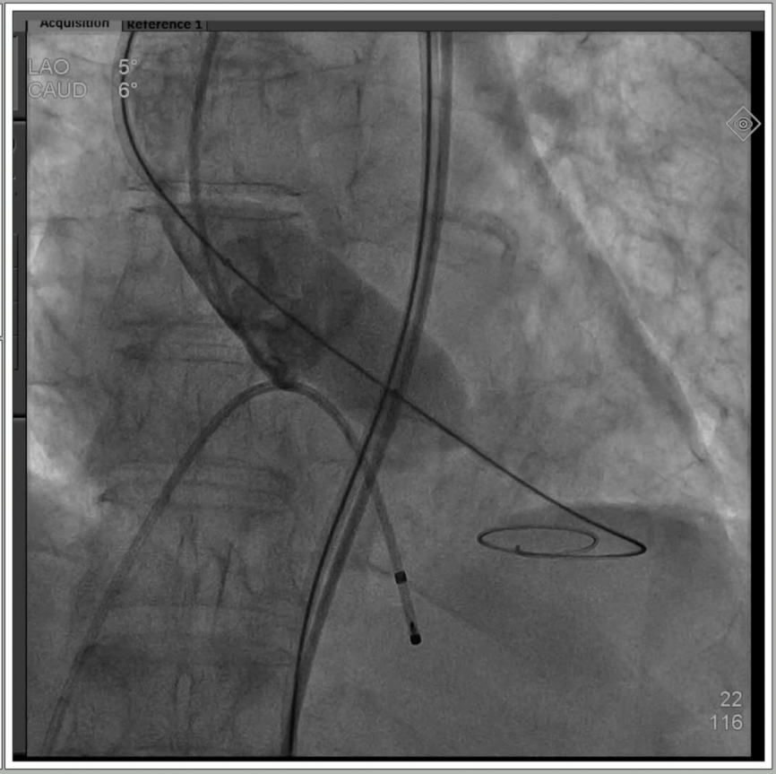
3、使用20mm球囊进行预扩,无腰征无反流,两侧钙化被球囊推开。
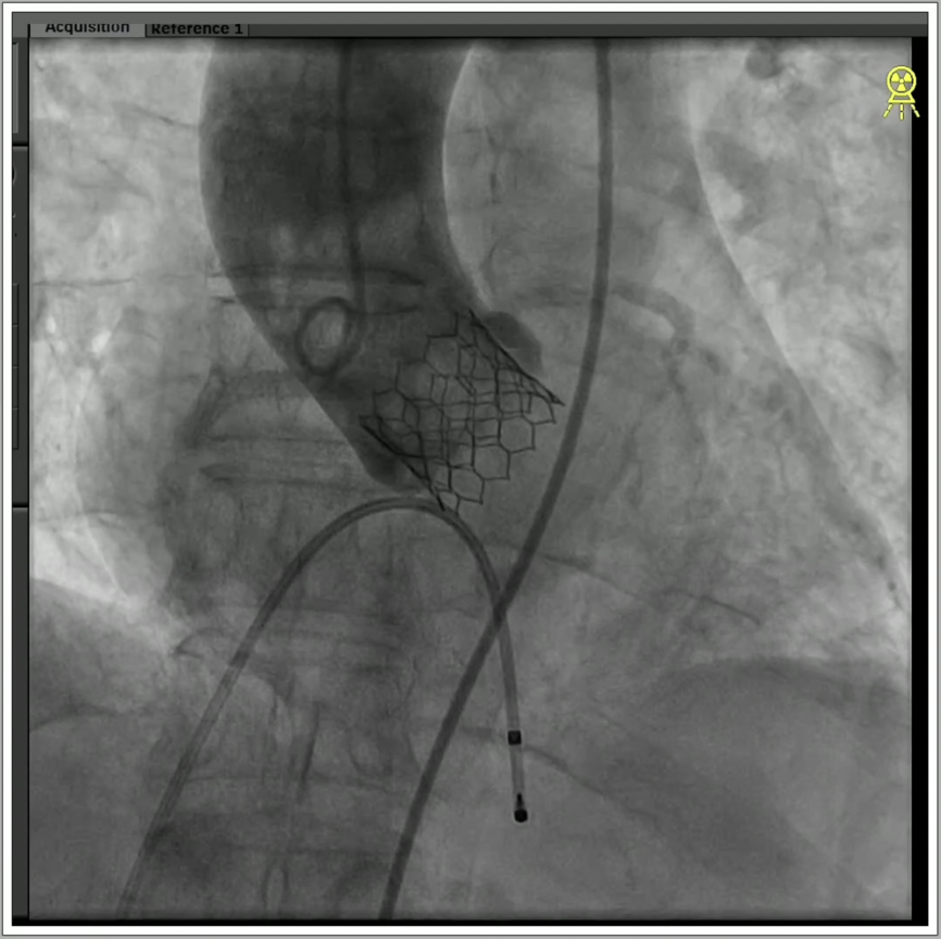
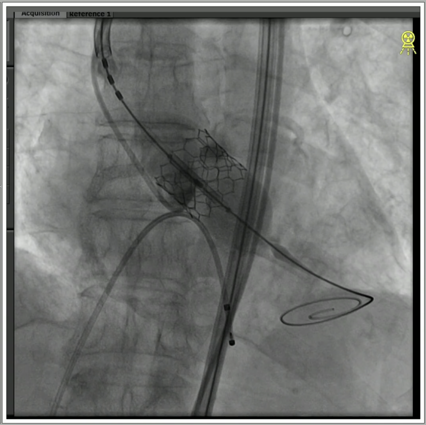
4、通过支撑导丝,送入23mm SAPIEN 3瓣膜,使用独特调弯功能,保证安全过弓并成功跨瓣;
5、调整至共平面角度,瓣膜到位,快速起搏下精准释放瓣膜。
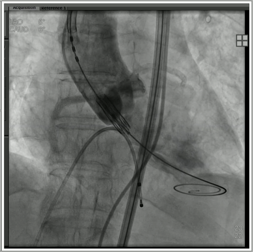
6、瓣膜植入且撤出导丝后,造影超声结果均显示瓣膜工作良好,术后导管测量压差8mmHg,经胸超声检测微量瓣周漏,手术成功。
术后超声
7、边退鞘边“冒烟’排除主入路并发症,进行血管缝合,手术顺利结束。
患者在瓣膜植入后BNP呈双倍下降,并且肾脏功能的肌酐水平也得到快速下降,恢复至正常水平,术后恢复良好。
SAPIEN 3瓣膜在本例手术中发挥出了优势,为手术团队提供了有力支持。其流出道大网孔设计,为再次冠脉介入创造条件;外径较小,适合外周入路条件较差的患者;可调弯功能可以保证同轴性,使术者在过弓操作时更顺畅;设计合理,学习曲线较短,当瓣膜释放时,在标准化流程操作前提下,瓣膜移位风险较小;植入深度较低,有效降低了房室传导阻滞发生率;因此对于有冠脉高风险的患者而言不失为一项优良选择。
一切为了患者,尽显医者温度
团队精湛的操作技巧,成员间的紧密配合以及合适的器械是手术圆满成功的“硬”保障,然而如何在充分尊重患者本人及家属意愿的前提下制定出一套完整方案,全力守护患者健康,这一份“软”关怀更为重要。手术团队成员武汉大学人民医院陈静教授将这一过程娓娓道来,“患者首次接诊是在2019年,以劳累性心绞痛入院,由于本人非常抗拒任何介入手术治疗加之疫情影响,后续也并未继续来院就诊,直到今年春节后整体状况相比之前更严重,多次进行药物调整症状也并未改善。情况危急,我们即刻向患者及家属详细地解释开展TAVR手术的必要性,为了消除顾虑,我们根据实际情况制定了全面的手术方案,经过多次耐心深入的沟通,最终取得了患者本人及家属的理解,他们也对我们表示了极大信任。”这一切努力最终都在手术的实际治疗效果中得以展现。
“通过最新的技术和反复精心的准备,从术前制定策略到围手术期的全程精细化管理,患者现在完全像换了一个人一样,我内心的成就感是非常大的!对于TAVR患者而言,不论是一级预防还是二级预防的随访管理都很重要,需要综合性进行全方位术后随访和管理;只有终身管理,终身随访才能全方位降低这类患者的远期死亡风险,减少再入院率,从而整体提高他们的生活质量。”陈静教授的话语间尽显来自医者的一份责任和温度。
逆境中实现突破,团队发展势如破竹
成长为一个实力强,经验丰富的团队必定是经历了诸多打磨。2019年底新冠疫情在武汉爆发,打乱了原本正常的生活工作节奏,陈静教授介绍到在此逆境之下武汉大学人民医院TAVR团队在江洪教授带领下迎难而上,于2020年开展首例TAVR手术,2021年完成50余例,发展至今年日均TAVR手术量在5台左右;在主动脉瓣狭窄、主动脉瓣关闭不全诊疗中积累了丰富经验,形成了自有的诊疗特色;同时团队参加了全球首个主动脉瓣关闭不全TAVR手术的CT研究。积极开展TAVR+PCI一站式手术,同时解决瓣膜和冠脉的问题;在经导管二尖瓣钳夹手术中积累了诸多成功经验;针对中末期心衰的心感分流器手术项目也取得了相应成果。
此外,TAVR独立术者结合ECMO的急诊经验,形成了武汉大学人民医院冠心病监护病房(CCU)团队的独特优势,CCU团队主攻复杂疑难心血管疾病的介入诊断治疗和心血管急危重症的救治,自主拥有独立的ECMO团队,从ECMO植入,TAVR植入及术后管理一系列过程均由团队全面独立进行。
江洪教授担任中华医学会心血管病学分会心血管急重症学组组长,他带领组织了大量心源性休克和辅助装置应用的工作,以及高危复杂疑难重症的PCI治疗,许多危重患者在高危辅助装置支持之下的治疗工作都得以顺利开展。
此次首例成功植入SAPIEN 3瓣膜,对院内TAVR团队来说是一次振奋士气的极大胜利。江洪教授作为学科带头人,从事心血管疾病诊治和研究工作30余年,全面熟练开展几乎所有介入技术,开创性引领多项疑难复杂心脏介入新技术,并且非常重视结构性心脏病诊疗在整体介入领域中的发展,全力支持团队在此方面开展的新业务、新技术的尝试与探索工作。未来,团队将重点围绕创新发力,以解决临床中的实际需求及存在问题,持续精进,通过积极参与或主持更多大型临床研究,积累更多成功经验。
注释:1. SAPIEN 3瓣膜为经导管主动脉瓣膜系统,注册证编号:国械注进20203130291。 code:THV-2022-15
专家简介
江洪 武汉大学人民医院 武汉大学人民医院心血管内科科主任,基地主任,二级教授,一级主任医师,博士生导师。 国务院政府特殊津贴专家,跨世纪学科带头人,湖北省首届医学领军人才,珞珈杰出学者,赛克勒优秀医师奖获得者。兼任中华医学会心血管病学分会常委兼急重症学组组长、中华医学会心电生理和起搏分会常委兼室性心律失常工作组副组长、中国医师协会心血管内科医师分会心律学专业委员会副主任委员、湖北省医学会心血管病学分会主任委员、中国生物医学工程学会心律分会副主任委员、中国医学装备协会心血管装备技术专业委员会副主任委员。主要从事心血管疾病的基础、临床研究和创新转化。主持国家重点研发计划、国家自然科学基金重点项目及面上项目、湖北省自然科学基金重点项目等科研项目20余项,在Circulation、JACC、Adv Funct Mater、JACC Cardiovasc Interv、Circ Heart Fail、EBioMedicine、Cardiovasc Res、Heart Rhythm等国际权威期刊上,发表专业领域高质量研究论文200余篇。获国家科技进步二等奖3项,湖北省科技进步一等奖5项,以及华夏医学科技奖一等奖、中国医疗保健国际交流促进会一等奖、湖北省科技成果推广奖一等奖等多项科技奖项。主编、参编专著17部,申请专利4项,授权2项。 陈静 武汉大学人民医院 主任医师,副教授,硕士生导师,武汉大学人民医院心内V科(急性心血管病救治中心)主任,美国乔治亚理工大学访问学者。 美国心脏病学会委员(FACC),国家卫健委冠脉介入培训导师,中华医学会心血管分会急重症学组全国委员兼秘书,中国医师协会心血管内科医师分会心血管危重症学组全国委员,中国医师协会心脏重症专业委员会重症心肌病学组委员,中国研究型医院心力衰竭专委会委员,中国心衰中心联盟委员,中国中部复杂冠脉介入青年委员会组长,中国心胸血管麻醉学会基层心血管病分会全国委员,亚太结构性心脏病青年委员会委员,中国胸痛中心现场核查专家,“十四五”重点专项指南编撰专家,湖北省微循环学会心血管专业委员会 副主任委员,湖北省医学会心血管内科第八届委员会委员,湖北省医师协会心血管内科医师分会第一届委员会委员,湖北省急性心血管疾病医疗救治中心秘书长兼委员,湖北省闭塞病变俱乐部委员兼常务秘书,武汉市中青年骨干人才。 科研成果:湖北省科技进步奖 一项;湖北省自然科学奖1项;主持国家自然科学基金2项;主持教育部博士点和中央高校青年教师基金各一项;发表SCI论文50余篇;参编参译论著4部。

