2022年3月30日,梅州市人民医院钟志雄教授团队勇攀技术高峰,再次成功完成另一类型的全球首例“一站三式”手术:经颈动脉TAVR+TEVAR+PYRAS。术后患者病情恢复好,于4月7日顺利出院!梅州市人民医院连续成功完成2例“一站三式”手术,验证了一站式介入治疗技术治疗心脏主动脉瓣合并主动脉疾病的可行性,填补了这类复杂高危高难度心血管病治疗领域的空白。
患者基本信息
“一站三式”手术解主动脉瓣合并主动脉顽疾
患者76岁男性,今年3月份以来因心衰气促反复发作,合并上消化道出血等疾病多次入院,临床诊断:巨大主动脉窦瘤合并主动脉瓣重度反流,主动脉弓部溃疡,肾动脉重度狭窄,冠心病,冠脉支架植入术后心功能IV级。考虑患者年龄大合并上消化道出血,病情危重,传统的外科手术基本不可能实施。经导管主动脉瓣置换术(TAVR)是一个比较好的选择,但对于这种巨大主动脉窦瘤合并主动脉瓣重度纯反流,同时合并主动脉弓部溃疡及肾动脉重度狭窄患者,目前并无较好的临床经验借鉴,经查阅文献,国内外未见相同病例经介入手术成功处理的报道。
梅州市人民医院钟志雄教授团队在2020年7月成功完成1例主动脉瓣狭窄合并严重主动脉疾病患者的“一站三式”手术,在这方面积累了一定的经验。这次手术前,钟志雄教授与中国科学院院士、梅州市医学科学院名誉院长葛均波教授及其团队进行深入交流,之后带领钟炜主任、李存仁主任和心外科、CT室、超声科等专家一起对患者病情和手术进行了详细的讨论。在团队讨论时:
钟炜主任指出:患者为三叶式主动脉瓣纯反流病例,瓣环周长84.1mm,平均径26.4mm。LVOT周长83.2mm,平均径26.5mm。瓦氏窦瘤样扩张,窦宽大于50mm,窦管结合部几近消失,锚定能力严重不足,该患者选择TAVR手术,瓣膜支架能否在这么大的窦瘤和瓣环内固定是非常有挑战的,通过详细分析CT结果,如果能将瓣膜支架放在主动脉瓣下4-5mm,应该能够充分利用径向支撑力起到固定作用,为了精准释放瓣膜支架,建议经颈动脉入路。
李存仁主任提出:患者合并主动脉弓部溃疡和肾动脉重度狭窄,TAVR术后可以同时处理主动脉和肾动脉疾病,以降低患者TAVR术后血压升高对主动脉溃疡的影响,建议同时行TEVAR+PYRAS术。
最终,在钟志雄教授的亲自指导下,梅州市人民医院结构性心脏病钟炜主任团队和外周血管病李存仁主任团队凭借精湛的手术技巧和默契的团队精神再次顺利完成全球首例经颈动脉TAVR(纯反流+瓦式窦瘤+大瓣环+横位心)+TEVAR+PYRAS“一站三式”手术,术后获得良好的效果,手术历时3小时。
术前心脏彩超
CT分析
主动脉根部解剖:
主动脉弓部溃疡及肾动脉狭窄示意图
手术过程
1.主动脉瓣根部造影影像
右窦居中,无窦最低
由于经颈动脉入路,造影角度无法按常规经股动脉入路来选择
瓣膜释放影像

瓣膜定位,缓慢释放前三分之一

持续释放,在回收极限时停下造影,考虑横位心不同轴,完全释放瓣膜“躺下”后位置不是很理想,当即选择回收重新释放

瓣膜回收后重新释放

瓣膜释放完即刻造影
多角度造影结果:无瓣周漏,与术前预想位置一致
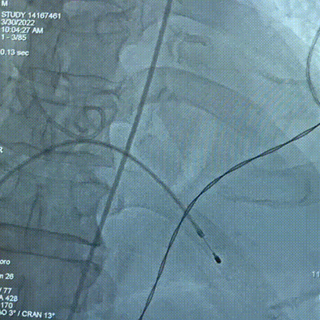
2.肾动脉释放支架前后影像

肾动脉狭窄造影,小球囊预扩

肾动脉支架植入
3.主动脉释放支架影像
建立胸主动脉支架入路

胸主动脉支架后造影,无漏结果完美
“一站三式”合影,完美收台
术后超声结果
结言
手术难点及经验分享:
1.“纯反流、瓦式窦瘤、大瓣环、横位心”意味着一旦TAVR术中定位不准、瓣膜支撑性不足,瓣膜就有掉进左心室的风险。该病例选择经颈动脉入路,有利于增强术者的精准操控,也能避免手术器械对主动脉弓溃疡段的影响;
2.使用带有双层裙边、软硬适中、通过性较好的可回收的瓣膜释放系统(心通医疗 VitaFlow Liberty™)对纯反流病例较为合适,在保证精准释放到瓣膜下4-5mm位置的前提下,可充分贴靠主动脉瓣环获得理想的手术效果,这也验证了国产自膨式瓣膜支架在高难度纯反流病例的适用性。
本次一站式微创治疗手术,展现了梅州市人民医院钟志雄教授团队精湛的技术和勇于担当、永不言弃的医者仁心,同时,该团队创新的、多学科联合定制式的“一站三式”手术方案,为心脏主动脉瓣合并主动脉疾病介入治疗提供了非常好的可供借鉴参考的经验。
专家简介
钟志雄
梅州市人民医院
梅州市人民医院院长、心血管病中心主任、心血管病研究所所长、主任医师、博士生导师、硕士生导师、享受国务院特殊津贴专家、广东省医学领军人才、梅州市专业技术拔尖人才。梅州市心血管病介入诊断和治疗创始人,国家临床重点专科建设项目--梅州市人民医院心血管内科的奠基人、领路人,在医疗、教学、科研方面取得突出成就,获得全国先进工作者、全国卫生计生系统先进工作者、广东医师奖、广东医院优秀院长等荣誉。
技术专长:擅长冠心病、大血管、结构性心脏病、心脏起搏的介入诊疗以及心脏重症的抢救治疗。
出诊时间:
周一至周六(特需门诊)
钟炜
梅州市人民医院
科教科科长、技能培训中心主任、心脏瓣膜病中心主任、硕士研究生导师、国家冠心病介入培训导师
技术专长:擅长冠心病、结构性心脏病(先心病和瓣膜病)的介入诊疗以及心脏重症的抢救治疗。
出诊时间:
周一上午(普通门诊)
周六上午(特需门诊)
李存仁
梅州市人民医院
心血管内一科主任
技术专长:擅长心血管危重症诊治,擅长冠心病、主动脉疾病及外周血管介入治疗。
出诊时间:
周二全天、周三、周五上午(普通门诊)
周四上午(特需门诊)




