旗开得胜!2022年3月30日,西安市人民医院程康院长团队应用TaurusElite经导管主动脉瓣置换系统成功完成首例TAVR手术。此次接 受手术的患者,因长期重度主动脉瓣狭窄,经常胸闷气短,严重影响正常生活。此患者慕名到西安市人民医院就诊,在手术进行之前,与程康院长团队进行会诊沟通,认为患者横位心,冠脉可能需要介入处理,故需要选择一款过弓顺利、支撑力优良,不影响后期冠脉手术的瓣膜。程康院长团队整体评估后制定详细手术策略,术中精益求精植入最佳深度,瓣膜释放稳定,并取得理想术后效果,术后患者即刻安返病房。
患者基本信息:
患者女性,主诉胸闷、气短3年,再发并加重3月,以“主动脉重度狭窄”入院,超声检查提示动脉瓣Vmax=4.2m/s,PGmax=71mmHg,瓣口面积约0.9cm²,诊断为主动脉瓣二叶畸形并重度狭窄。
术前CT评估:
主动脉根部总览
轻度钙化,钙化分布于两侧对合缘
主动脉根部测量:
Type 0 型二叶式主动脉瓣,横位心
冠脉测量:
冠脉开口高度可,切线角度测量,左窦瓣叶长于左冠开口下缘
主动脉弓测量:
主动脉弓部宽度、角度可
术前3D模型评估:

术前3D打印分析钙化对瓣叶开口影响不大,可以不用球囊预扩
术前讨论:
•Type 0 型二叶式主动脉瓣,瓣叶增厚,轻度钙化,钙化分布于两侧对合缘;LVOT近似直筒型
•冠脉开口高度可,切线角度测量,左窦瓣叶长于左冠开口下缘
•瓦氏窦、窦管交界内径可,升主动脉扩张
•收缩期左室内径偏小,心室壁较厚
•主动脉瓣水平夹角约60°,横位心,主动脉弓宽度角度可,弓顶部散在附壁钙化
手术策略:
•推荐右侧股动脉为主入路,左侧为辅助入路
•预装AV26瓣膜,建议瓣环下零位左右定位释放,横位心,升主有扩张,弓部宽度角度可,预计输送器可顺利过弓,若跨瓣困难,备snare辅助;弓顶 部附壁钙化,注意小心通过
术中操作:

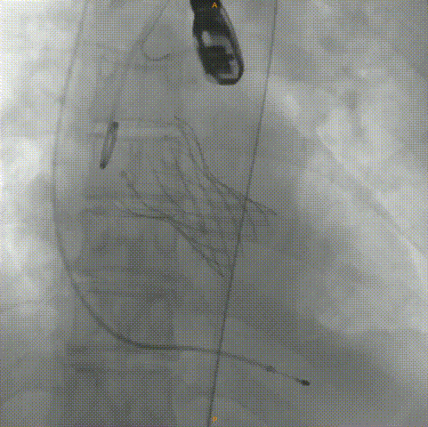
手术影像:
主动脉根部造影
输送器顺利过弓、跨瓣
瓣膜标准位定位
瓣膜释放到工作位
工作位造影
位置理想,瓣膜完全释放
释放后造影
外周造影无狭窄闭塞
超声评估:
植入前超声评估:瓣叶开闭不良
植入后超声评估:瓣膜形态良好,无瓣周漏
跨瓣压差:
术者寄语:
“工欲善其事必先利其器”, 随着国内外经导管主动脉瓣置换技术的蓬勃发展,新的国产瓣膜和器械不断产生。目前,除却传统的外科换瓣策略, TAVR技术已成为重度主动脉瓣狭窄病患的首选介入策略之一。
程康院长术后表示,目前主动脉狭窄发病率逐年增高,但传统外科手术 需要心脏停跳进行体外循环,创伤大,风险高,因此TAVR成为近年来主 动脉重度狭窄治疗的新希望,但是很多病人的主动脉瓣解剖结构复杂, 并非单纯的狭窄,此类病人行TAVR手术难度大,对术者的操作,经验要 求比较高。本次手术患者就属于TYPE0二叶式主动脉瓣,术中应用TaurusElite经导管主动脉瓣置换系统表现稳定,术后极大改善了患者症状。此次程康院长团队挑战高难度病例,标志着西安市人民医院在结构性心 脏病微创介入治疗领域迈更加坚实的一步,为广大瓣膜性心脏病患者 带来更多的选择和希望!
专家简介
程康
西安市人民医院
医学博士,硕士生导师
西安市人民医院心脏泛血管病院院长
2019年度西安市卫生领域“西安之星”;首届“白求恩精神践行者- 心内科优秀医师”称号。中国医促会理事;中国医促会血管疾病高血压分会青委会常务副主任委员;中国医促会难治性高血压与周围动脉病分会副秘书长;国际血管联盟陕西分会常委;国家科技信息资源综合利用与公共服务中心高血压大数据联合实验室专家委员会委员;中华医学会心血管病分会精准医学学组委员;中国医促会血管疾病高血压分会委员;中日医学科技交流协会医药发展与健康促进会委员;陕西省国际医学交流促进会胸痛专业委员会副主任委员;陕西省医师协会心血管内科医师分会常委;陕西省中西医结合学会心血管病专委会常务委员;陕西省康复医学会心肺康复专业委员会常委;陕西省保健协会周围血管专业委员会常委;陕西省国际医学交流促进会血管与腔内血管外科专业委员会常委;陕西省医师协会腔内血管学专业委员会常委;西安医学会心血管病分会常委;西安市中西医结合学会常委;白求恩精神研究会心血管分会理事;北京健康促进会周围血管病与难治性高血压专家委员会副秘书长;陕西省卫生产业监督协会医疗健康服务质量管理分会副会长。
