2022年3月29日,株洲市中心医院欧阳繁主任团队联合超声科、麻醉科、护理、重症医学等多学科心脏瓣膜团队成功为一例超大瓣环、横位心合并心室扩大的患者植入TaurusElite瓣膜,TaurusElite经导管主动脉瓣系统柔顺的过弓性能、良好的封堵效果和稳定的释放特性保证了手术安全、顺利的完成。术后患者症状较前明显减轻,血流动力学显著改善,获得了优异的手术效果,保障了患者的远期预后。
患者基本信息
患者60岁男性,入院心脏彩超提示:主动脉瓣叶三叶,瓣缘增厚伴明显钙化,开放受限,估测最大开放面积约1.0cm²,峰值流速4.1m/s,最大跨瓣压差66mmHg,平均跨瓣压差约38 mmHg;LA 55mm,LV 74mm,LVEF 45%。结论:主动脉瓣重度狭窄伴中度反流,二尖瓣中度反流,左心扩大,左室收缩功能减低、舒张功能重度减低。
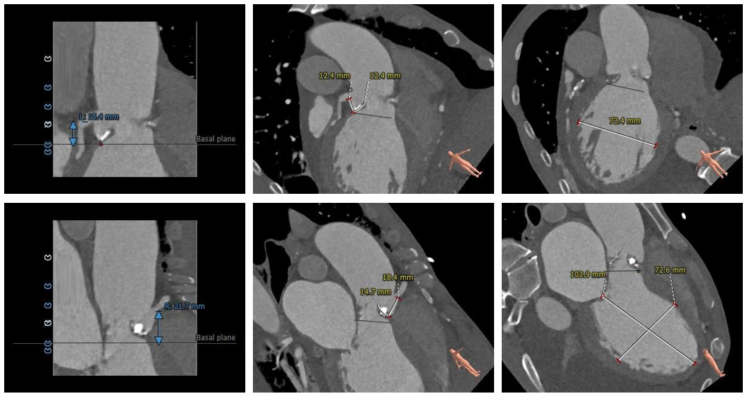
术前CT评估
•三叶式主动脉瓣,瓣环径为33.9mm,瓣环明显增大,瓣叶增厚伴重度钙化,钙化主要分布于瓣叶边缘,以右冠瓣为著;
•冠脉开口高度可,切线角度测量未见冗长瓣叶;
•瓦氏窦、窦管交界内径尚可,升主动脉扩张;
•左室腔内径明显增大,心室壁厚度尚可;
•瓣环水平夹角为62°,主动脉弓宽度、角度尚可;升主动脉轻度扭曲;
•主动脉弓、腹主动脉下段、双侧髂总动脉可见散在钙化斑块,双侧股髂动脉未见明显扭曲,股动脉穿刺处未见钙化斑块,入路血管直径尚可。
CT动态预览
主动脉根部测量
瓣上结构测量
冠脉阻挡风险及左室大小评估
外周血管入路评估
病例特点及手术难点
•三叶式主动脉瓣,瓣环径大,瓣叶增厚伴重度钙化,钙化主要分布于瓣叶边缘,综合预估锚定难度适中,瓣膜植入受增厚瓣叶及钙化挤压等影响存在瓣膜移位风险,瓣周漏风险增高,瓣中瓣风险适中;
•冠脉开口高度可,切线角度测量未见冗长瓣叶,冠脉堵塞风险不高;
•左室腔内径明显增大,心室壁厚度尚可,存在循环崩溃的风险,术中密切关注血流动力学变化;
•横位心,升主动脉轻度扭曲,主动脉弓宽度、角度尚可,预计输送器过弓、跨瓣难度增高,术中可能需要snare辅助;
•主动脉弓、腹主动脉下段、双侧髂总动脉可见散在钙化斑块,入路血管直径尚可,入路需规范操作,小心通过,避免入路血管相关并发症。
手术策略
•采用全麻+TEE的手术方式;
•右侧股动脉为主入路,左侧股动脉为辅助入路;
•使用23mm球囊预扩,预装AV29瓣膜,近左右重合位瓣环下0mm定位释放,释放后多角度观察瓣膜释放形态及植入深度。
手术过程
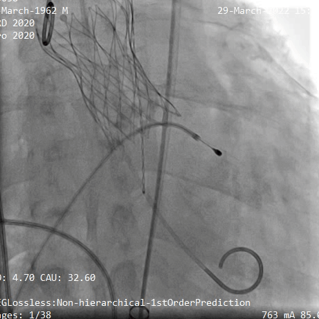
主动脉根部造影,主动脉瓣中度反流,采用23mm球囊预扩,有轻微腰征,无造影剂渗漏。
主动脉根部造影
球囊预扩
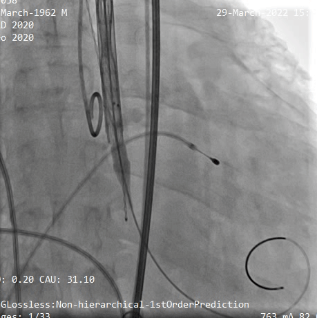
TaurusElite输送系统轻松过弓、跨瓣,AV29瓣膜瓣环下0mm定位释放,到工作位后造影显示瓣膜形态、位置良好
瓣膜定位
释放到工作位观察
释放脱钩后瓣膜形态、位置良好,冠脉血流灌注正常,无瓣周漏,弓部血管造影未见异常
术后根部造影
术后弓部血管造影
总结
本例患者为主动脉瓣重度狭窄伴中度反流,患者因反复心衰控制不佳,无法耐受外科开胸手术,术前评估适宜行TAVR手术,有TAVR手术指征。术前CT分析提示患者为三叶式重度主动脉瓣狭窄,瓣环径明显扩大,达到33.9mm,瓣叶明显增厚伴重度钙化,瓣上限制较重,给瓣膜的锚定增加了一定的难度,瓣膜植入后存在移位和瓣周漏的风险。患者为横位心,升主动脉轻度扭曲,对输送系统过弓、跨瓣性能提出了更高的要求;此外,该患者左室腔内径明显增大,左室前后径约74mm,术中存在循环崩溃的风险,需要术者快速、精准的操作能力及手术团队的密切配合。
手术过程中,TaurusElite输送系统优异的柔顺性,在不需要snare辅助的情况下即顺利地完成过弓、跨瓣操作。针对本例患者瓣环径大,瓣上限制重,瓣叶明显增厚伴重度钙化的特点,TaurusElite瓣膜高密度流入端设计提供了足够的径向支撑力,保证了瓣膜的锚定力,瓣膜内外双裙边设计能提供良好的辅助锚定力,有效减少瓣周漏。另外,TaurusElite瓣膜系统具有多次完全可回收、回收后可重新跨瓣等设计特点,对于瓣膜释放过程中可能出现的瓣膜下滑或上跳的风险,能让术者在释放过程中更有信心,可以降低手术风险,减少并发症的产生,对于新术者也能降低学习难度,提高手术成功率。本例患者术中快速完成跨瓣操作,充分球囊预扩后瓣膜一次性释放到位,释放后瓣膜形态、位置良好,冠脉血流灌注正常,术后压差明显降低,无瓣周漏,手术效果十分优异。此外,术中从跨瓣操作到瓣膜成功释放用时不到半小时,也体现了欧阳繁主任团队精湛的手术技巧和默契的团队配合,标志着株洲市中心医院心脏瓣膜病的诊治上了一个新的台阶。
专家简介
欧阳繁
中南大学湘雅医院附属株洲医院
医学博士,主任医师,中南大学湘雅医院附属株洲医院心内科主任,心导管室主任,中南大学湘雅医学院硕士生导师,主持国家级省市课题多项,发表SCI论文十多篇(第一作者或通讯作者)。
