经典病例
近日,山东大学齐鲁医院陈玉国教授团队为一例急性心力衰竭的患者更换了“心门”,古稀老人重获“心”生!
“大夫,我父亲躺不下,憋得快不行了!”
患者纪某某的子女向科室大夫求助,李传保主任第一时间到病人身边进行仔细问询,当即决定提前手术,李主任表示:“病人已经出现明显心衰症状,手术必须尽快!”
齐鲁医院院长陈玉国教授亲自带队全程指导,急诊科副主任李传保主任医师带领团队成员,联合心外科谷兴华主任医师、心脏彩超室曹媛医师共同圆满完成了此例TAVR手术,病人转危为安,这也是陈玉国院长团队近日顺利完成的第二例高难度TAVR手术。
“在陈院长领导下,我们胸痛中心积极开展结构性心脏病领域诊疗的探索,已经收治了很多例基础状况很差的主动脉瓣膜狭窄的病人,都取得了满意的效果,像这个病人,术后心功能提升显著,两三天已经能够正常活动了,我们医护人员看到这样的结果是最开心的!”李传保主任说道。
病例1
病史简介
性别:男
年龄:72岁
主诉:阵发胸闷2月余
现病史:患者2月前无明显诱因出现发作性胸闷,伴憋喘,多为夜间发作,平卧位加重。
既往史:无糖尿病病史,无肺功能异常病史,无卒中史。
术前检查
心脏彩超
Type1型二叶式主动脉瓣
主动脉瓣硬化并狭窄(重度)
左心增大
升主动脉瘤样扩张
左室射血分数EF值: 38%
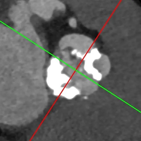
主动脉CT
瓣环85.7mm,平均径26.7mm,LOT周长88.5mm,平均径27.5mm,瓣叶L-R融合,瓣叶重度钙化,钙化主要分布于右瓣叶、无冠瓣和左右瓣叶融合脊,瓣上4/6mm,预计推开空间周长84.5mm。
冠脉风险高:左冠高度6.8mm,瓣叶10mm,左冠高风险,右冠风险可控。
升主动脉瘤样扩张,平均径57mm,且横位心71°,存在升主动脉破裂风险。
入路情况:胸主腹主动脉无明显迂曲,双侧股动脉入路较好,右股可作为主入路。
术前讨论
陈玉国教授总结了该病例特点:
手术策略
全麻下,以右侧股动脉为主入路,使用24球囊预扩张,植入TAV27/TAV30型号瓣膜,目标植入深度:3mm-5mm。
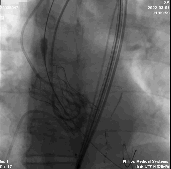
手术过程
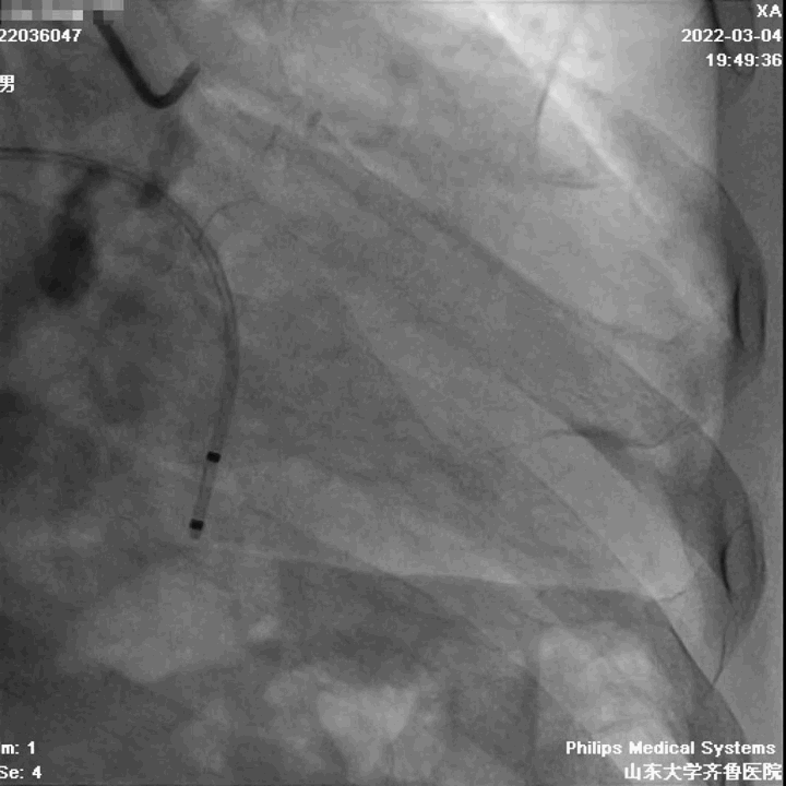
左冠造影
右冠造影
主动脉根部造影
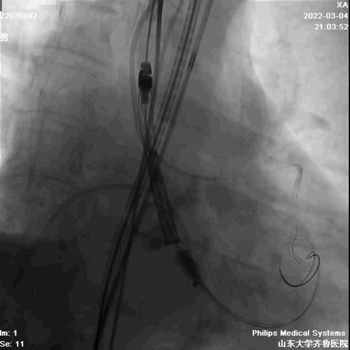
球囊扩张

左冠球囊保护
定位

起始缓慢释放
造影观察
瓣膜工作,造影观察

完全释放
造影
球囊后扩
最终结果
术中评估球囊扩张效果,放弃已经预装载TAV30瓣膜,植入TAV27型号瓣膜,压差由81mmHg降至5mmHg,EF由38%升至61%。
在陈玉国院长带领下,TAVR团队的通力合作下,经过紧张有序的操作,山东大学齐鲁医院急诊科取得了该例手术的圆满成功。术后,患者心功能得到即刻改善!
病例2
手术过程
第二例病人同样为高难度病例,Type1型L-R融合二叶瓣,钙化积分1300,瓣叶增厚、轻度钙化,钙化分布于瓣叶及左右瓣叶融合脊。
瓣环周长87.4mm,平均径27.1mm。LVOT周长90.5mm,平均径28.5mm。
瓣上4mm/6mm,预估可推开空间周长81.8mm/75.8mm。
在陈院长指导下,李传保主任团队顺利迅速完成了手术,目前病人恢复良好,均已出院。
术后总结
随着人类寿命提高,老年性疾病已成为制约人类寿命延长的最主要因素。在众多老年性疾病中,心脏瓣膜病发病率高,对健康影响大,将成为制约人类寿命进一步延长的主要疾病之一。心脏瓣膜指心房与心室之间或心室与动脉间的膜片组织,它相当于一个单向阀门在开放时允许血流向前流动,在关闭时阻止血液回流。心脏瓣膜在每次关闭时,均受到血液的撞击应力,而且这个撞击力并非很小(压强在8-18Kpa)。人类心脏一天大约收缩10万次,心脏瓣膜就受到10万次的撞击。冠心病和高血压这两种疾病被列为第一和第二重要心血管的疾病,这两种疾病可以通过药物治疗得以预防、控制和缓解。随着药物治疗进步,美国的冠心病发病率及死亡率早已开始在下降,迎来了心血管死亡率的拐点。而心脏瓣膜疾病是一种物理结构性改变,药物难以起到纠正作用,需要采用物理方式(如手术治疗)才能进行根本性救治。此外,目前也尚无明确有效的药物可以预防瓣膜病。随着人口老龄化,整个人群中瓣膜病发病率正在逐渐增加。然而,传统外科手术需要在开胸、心脏停跳下手术,具有创伤大、风险高、恢复慢等缺点,并不太适合老年人。经导管瓣膜修复或者置换技术的出现,使得高龄老年心脏瓣膜的微创介入治疗成为了现实。近10余年来,这方面技术突飞猛进,已成为最热门的医学技术之一。
陈玉国院长表示:齐鲁医院作为全国知名的综合性三甲医院,多学科全方位发展,科研,医疗水平均处于全国前列,结构性心脏病诊疗团队也已经成熟完善,能够很好的服务于齐鲁乃至全国各地患者!
心脏瓣膜疾病诊疗咨询:0531-82169329
地址:山东省济南市历下区文化西路107号山东大学齐鲁医院华美楼二楼胸痛门诊
术者介绍
陈玉国
山东大学齐鲁医院
教授/博导,泰山学者攀登计划专家,国家重点研发计划项目首席科学家,国家卫生健康委和山东省突贡专家,欧洲心脏病学会会士(ESC)、美国心脏病学会会士(FACC)、美国心血管造影和介入学会会士(FSCAI),享受国务院政府特殊津贴。现任山东大学齐鲁医院院长,山东省急危重症临床医学研究中心主任、山东省急危重症防治工程实验室主任,兼任中华医学会急诊医学分会第九届委员会主任委员、中国医师协会胸痛专业委员会候任主任委员等职务。承担国家重点研发计划、国家自然科学基金重点项目等国家级、部省级课题30余项,发表Eur Heart J、JAMA Cardiol、NAT COMMUN等高水平论文100余篇,获中华医学科技奖一等奖1项、省部级一等奖2项,主编、副主编《急诊医学》国家规划中英文教材、著作15部。
李传保
山东大学齐鲁医院
医学博士,主任医师,山东大学教授,硕士研究生导师,山东省优秀医师,齐鲁卫生与健康杰出青年人才,国家公派密歇根大学访问学者,国家胸痛中心建设全国飞检专家。主要从事急危重症心血管病的抢救与诊治,尤其是冠心病及心脏瓣膜病的介入诊疗工作,年完成手术300余例。