译者:杨文涛 蒋杨菁 张紫薇
校正:范怡婷 何奔
无创心血管影像检查在拟行经导管主动脉瓣置入术(transcatheter aortic valve implantation, TAVI)的患者的围术期评估中起着至关重要的作用,为识别可获得最大受益的病人及确保手术安全完成提供了大量的关键信息。
尽管心脏CT等先进影像手段已常规用于TAVI术前进行详细的解剖学评估,超声心动图仍是评估主动脉瓣狭窄严重程度和提供心脏功能关键信息的首选成像方式。
本意见书由意大利心脏病学会(SIC)和意大利医学和介入放射学会(SIRM)合作书写,旨在TAVI术前影像学评估方面达成一份更新的共识声明。
撰写团队由放射科医生、心脏科医生、心脏影像和结构性心脏病领域的专家组成。
该意见书的第一部分,在简要概述TAVI的临床指征和基本技术后,将重点介绍超声心动图在TAVI术前规划中的作用。
关键词:主动脉瓣狭窄,计算机断层扫描,超声心动图,影像,磁共振,经导管主动脉瓣置入术
概述
第一例经导管主动脉瓣置入术于2002年由Alain Cribier为一位不适合外科手术的病人实施,开创了有症状严重主动脉狭窄(aortic stenosis, AS)治疗的新纪元。自此之后,多项里程碑试验比较了TAVI或外科主动脉瓣置换术(surgical aortic valve replacement, SAVR)在外科高风险患者中的结局,显示出经股动脉TAVI的非劣效性。最近,有研究显示在中风险患者中TAVI和SAVR的1年死亡率没有差异,由此欧洲心脏病学会(European Society of Cardiology, ESC)的最新指南将TAVI的适应证相应扩大到了外科中风险患者。
最近的两项随机试验证实了TAVI对比SAVR在低风险患者中的有效性和安全性。基于这一证据,美国心脏病学会(American College of Cardiology, ACC)目前的指南建议,对于65-80岁的有症状重度AS患者,可以选择SAVR或经股动脉TAVI。然而,在进一步将TAVI适应证扩大至年轻患者前,仍有一些问题需要解决,特别是人工生物瓣膜的耐久性。
TAVI也已成为人工生物瓣膜(bioprosthetic valve, PV)衰败患者的治疗选择,以减少二次SAVR相关的并发症。事实上,TAVI瓣中瓣(valve-in-valve, ViV)在外科高风险的主动脉瓣生物瓣衰败患者中已成为一种可行且安全的手术。
无创影像学与TAVI领域同步发展,细化了患者选择、治疗计划、器械选择与定位方面的内容。超声心动图仍是拟行TAVI的患者围术期评估的一线检查。术前超声心动图评估对于确定AS严重程度和TAVI解剖可行性都很重要,也是评估手术效果及发现早、晚期并发症的主要手段。
此意见书旨在为接受TAVI的患者在术前使用多模态成像技术提供一个更新的指南,同时也反映了参与诊断工作流程的心脏科医生和放射科医生的意见。在第1部分,我们将简要回顾TAVI的临床指征、基本技术及心脏团队的作用。之后,我们将详细讨论超声心动图在术前规划中的作用,并根据表1所示的分级进行推荐。
表1 采用的推荐等级分类
经导管主动脉瓣置换术:主要临床指征及基本技术要点
AS的治疗指征是由多学科心脏团队确定的,该团队会综合判断患者行SAVR和TAVI的风险/获益比,包括合并症、围术期死亡风险、临床情况及当前状态、影像检查结果、入路情况和麻醉方式(图1)。
图1.心脏团队决策TAVI/SAVR的临床指征。应该建立一个多学科心脏团队(心内科医生,心外科医生,麻醉医生,放射医生,护士),以便讨论和选择最佳治疗手段,并根据临床检查、无创、有创影像检查及程序优先级来选择适合TAVI的患者。TAVI,经导管主动脉瓣置入术;SAVR,外科主动脉瓣置换术。
基于ESC当前的推荐,对于不适合接受SAVR的有症状重度AS患者,如果TAVI能改善生活质量,且考虑合并症后患者预期寿命仍>1年,则应考虑尽早接受TAVI。对于外科风险增高有症状的重度AS患者,即使适合SAVR,但心脏团队更倾向于TAVI时也应考虑接受TAVI。具体而言,TAVI或SAVR的决策应根据患者的个体化风险制定,有条件进行经股动脉入路TAVI的老年患者更倾向于选择TAVI。
多年来,TAVI手术在使用的器械、入路部位、对比剂及射线量、麻醉方式和手术时间方面经历了翻天覆地的变革。表2列出了目前CE批准的几种TAVI器械。这些尺寸各异的瓣膜可置入到直径为16-30mm的主动脉瓣环中。
若外周血管入路合适,经股动脉途径有诸多优点,包括手术时间短、术后康复快等。值得注意的是,最近的随机临床试验表明目前在局部麻醉下经股动脉入路行TAVI是安全的,仅需意识镇静,而其他入路则需要全身麻醉。
在建立了合适的血管入路后,使用直头软导丝跨主动脉瓣,然后交换为弯头硬导丝以减少心室损伤。在瓣膜成形及置入时,临时起搏器导线也置于右心室,以实现快速起搏,并可作为出现传导异常时的备用选择。而后,推进人工生物瓣膜跨过自体主动脉瓣,在瓣环恰当的位置释放。使用球囊扩张式瓣膜必须进行快速心室起搏,而自膨式瓣膜则没有强制要求。瓣膜释放后,应观察血流动力学情况,并通过超声心动图和血管造影来评估是否存在瓣周漏。瓣膜置入完成后应进行髂—股动脉造影以排除血管并发症,最后封闭血管入路。
经心尖和经主动脉途径是通过外科手段在全身麻醉下进行的。经心尖TAVI可作为股动脉途径存在严重血管疾病情况下的替代选择,其1年死亡率更高。经心尖TAVI的禁忌证为左室射血分数严重下降及心尖血栓。其他入路如经腋动脉、锁骨下动脉、颈动脉、腔静脉也可作为介入途径,其中锁骨下动脉是仅次于股动脉的第二常用入路,并可经皮进行手术。当股动脉入路不可行或风险较高时,应考虑经腋动脉或锁骨下动脉途径,其创伤较经心尖TAVI更小,且中期分析结果与经股动脉途径类似。经腔静脉入路仅作为其他途径都不可行时的最末选项。
表2 目前CE批准可用的TAVI瓣膜
BE,球囊扩张;SE,自膨胀;TA,经心尖;TAo,经主动脉;TC,经颈动脉的;TF,经股动脉;TSc,经锁骨下动脉。
经导管主动脉瓣置入术的特殊适应证
瓣中瓣手术
瓣中瓣(ViV),既往用于治疗急性TAVI瓣膜错位,而现在更常用于治疗主动脉瓣生物瓣膜退化。在这一高危人群中行TAVI手术可以改善预后,因此被一些学会指南推荐。值得注意的是,ViV也可用于治疗人工二尖瓣退化。正如本文件第2部分所述,为降低ViV相关的冠脉堵塞风险,在术前进行CT检查是必要的。
TAVI术后再次TAVI(TAVI-in-TAVI)
TAVI-in-TAVI对特定的人工瓣膜失功患者而言是相对安全且有效的选择。该手术不仅可以用于补救术中失败(贴合不良、尺寸错误导致瓣叶对合不良、折叠或支架扩张不对称),还可用于治疗继发于瓣膜结构退化所致的TAVI失功。然而,TAVI-in-TAVI术后发生冠脉闭塞或冠脉入路受阻的风险仍不容小视。最近Fovino等证实,与瓣环内再次TAVI相比,窦管结合部较小以及在瓣环上再次TAVI的患者发生冠脉闭塞的风险更高。
二叶式主动脉瓣
二叶式主动脉瓣(bicuspid aortic valve , BAV)患者AS的发生率很高,据报道高达75%。通常是年轻、外科低风险或中风险的患者,因此他们会担心人工瓣膜的长期持久性与功能问题。此外,BAV常与升主动脉(ascending aorta, AoA)扩张同时存在,这也是一个严重的问题。因此在考虑这些患者进行TAVI时要谨慎。外科手术仍然是绝大多数二叶瓣患者的一线治疗方法。尽管如此,使用最新人工瓣膜的TAVI可作为外科高风险二叶瓣患者的安全且合理的选择。事实上,尽管缺乏BAV患者行外科手术或TAVI的随机对照研究,但仍有一些观察性研究显示TAVI治疗二叶瓣AS或三叶瓣AS的结果类似。
主动脉瓣反流
一些器械已经用于重度主动脉瓣反流(aortic regurgitation, AR)患者的治疗,但报道的残余反流和高死亡率使得在这一人群中行TAVI仍有待商榷。最近发表的一项荟萃分析显示,与第一代器械相比,在单纯AR患者中按照适应证使用第二代TAVI器械的预后更好。
心脏团队
现代医疗保健的高度专业化使得多学科专家团队成立,以便为每个患者制定最佳的医疗策略。由于财政和基础设施资源有限,这些团队对于更昂贵的手术(例如TAVI)来说更加重要,因为这要求更多高度专业的技能,然而其临床标准的持续变化为选择最适合的患者带来了困难。最近发布的ESC和ACC/AHA心脏瓣膜病管理指南对“心脏团队”的概念的做出了IC级推荐(图1)。
事实上,应该建立多学科心脏团队(心内科医生、心外科医生、麻醉医生、放射医生、护士),以讨论和选择患者的最佳治疗方案,并根据临床检查、无创、有创影像检查及程序优先级来识别适合TAVI的患者。在决定每个患者的治疗方案时,心脏团队必须牢记现有的科学经验及指南推荐,但也需要考虑各种治疗、TAVI或外科手术在各中心的具体结果。在某个中心有效的治疗策略可能不适用于另一个中心。心脏团队进行的协作性、系统性和全面性的评估不仅在临床方面,甚至对从专业人员、其机构和政策制定者那里组织与分配医疗资源也至关重要。此外,心脏团队的一个实践方面的优点是提高对专业人员的培训和教育。总之,心脏团队已经是现代心血管医疗的主要组成部分,其目的是改善患者预后,并对医疗成本产生积极影响。
瓣膜介入应当只在同时设有心脏内科和心脏外科的医疗中心进行。理想情况下,TAVI和其他瓣膜介入手术一样,应该只在心脏瓣膜中心进行。根据ESC指南,瓣膜中心是心内科和心外科进行瓣膜手术的大容量中心,能提供7天*24小时医疗服务,不仅具有瓣膜病的专业团队,而且可以按需提供额外的专家。心脏瓣膜中心的其他要求包括多模态成像、教育和培训项目,以及连续进行工作成果的评估及质量审查、审核。
拟行经导管主动脉瓣置入术患者的术前超声心动图检查
AS是最常见的原发性心脏瓣膜病,并且是心血管病发病率和死亡率的重要组成部分。超声心动图在AS的诊断和评估中起着至关重要的作用,是AS的主要无创影像检查手段。
超声心动图是大多数因AS相关症状(呼吸困难、胸痛和晕厥)就诊患者的首选检查。
超声心动图能够:
(1)评估主动脉瓣复合体的解剖和功能;
(2)定量测定主动脉瓣狭窄程度并分类;
(3)评估心室功能及相关瓣膜病变。
主动脉瓣复合体的解剖和功能评估
经胸超声心动图(TTE)对主动脉瓣的首次检查是解剖层面的,旨在从形态学上描述主动脉瓣重构和功能障碍的性质与程度。结合观察短轴和长轴切面,可明确瓣叶数量、厚度、钙化程度和活动度。在这一环节中,识别二叶瓣畸形以及评估升主动脉和主动脉弓的形态与尺寸是十分重要的。此外,还应识别主动脉瓣复合体【左室流出道(left ventricle outflow tract, LVOT)、主动脉瓣环(aortic annulus, AA)、瓣叶、瓦氏窦、窦管结合部】内部的钙化情况,因其对术后AR、瓣环破裂、根部穿孔、主动脉壁内血肿和夹层有预测价值。
在TAVI中,正确选择人工瓣膜尺寸至关重要,因为瓣膜过大会导致瓣环破裂,而过小会增加瓣周漏发生,或者更严重的瓣膜移位。
虽然CT是通过测量AA选择瓣膜尺寸的主要方法,但对于存在CT禁忌证的患者,可通过3D-TTE或经食管超声心动图(transesophageal echocardiography, TEE)测量的AA作为替代方法,此时AA定义为三个瓣叶附着处最低点形成的虚拟环。最近一项荟萃分析显示3D-TEE测量主动脉环(面积、周长和左室流出道面积)具有较高的观察者内和观察者间的一致性,并与多排CT的测量值高度相关。此外,3D-TEE预测经导管主动脉瓣置换术后瓣周漏的准确性也与多排CT相似。
为了获得高质量的3D图像,2D扇形图必须以主动脉瓣为中心,包含左室流出道和主动脉根部在内的周围2-4cm的区域。使用放大图像采集模式(优选心电触发的多心动周期3D成像模式),避免拼接伪影,最小帧率为12。尽管TTE和TEE都能够提供适合定量分析的3D图像,但声窗不足是TTE的一大局限性,这导致TTE图像质量严重降低。
目前有2种可用的方法通过获取的3D图像数据集来测量主动脉环:
(1)多平面重建(multiplanar reconstruction, MPR),允许直接手动进行平面测量(图2);
(2)半自动软件对主动脉根部进行定量分析,仅适于TEE图像(图3)。
MPR法允许直接测量主动脉环的面积、最小(矢状面)和最大(冠状面)直径以及周长。直径测量建立在假设虚拟环垂直于主动脉长轴的基础之上。所有测量均应在收缩期中期进行。
半自动化软件能够快速提供静态或动态模型及几何测量,以帮助TAVI术前评估和术中指导。使用MPR法和半自动软件分析获得的结果都与CT测量值具有良好的相关性,尽管与CT测量值相比,这两种方法都低估了最大直径、面积和周长。
图2.主动脉瓣环的3D-TEE测量(手动分析)。三维数据集通过三个不同的正交平面进行分析:绿色(a),蓝色(b)平面为升主动脉旁矢状面,红色平面(c)为主动脉根部穿过AA的短轴视图;红色平面从主动脉根部向LV流出道移动,直到瓣叶消失,该方法可测量AA的最小直径(D1)、最大直径(D2)和面积。AA,主动脉瓣环;TEE,经食管超声心动图;LV,左心室。
图3.主动脉瓣环的3D-TEE测量(半自动分析)。通过测量主动脉瓣环最大径、最小径、周长、面积以及主动脉根部在窦管结合部(Root STJ)水平、瓦氏窦(Root SoV)水平的最大径、最小径以及左、右冠脉开口高度来定量分析主动脉根部。TEE,经食管超声心动图。
主动脉瓣狭窄程度评估
准确的AS程度判断是心脏团队评估TAVI手术可行性的第一步。医生应当系统性地进行AS严重程度的测量与记录。AS定量的主要参数包括峰值射流速度、平均跨瓣压差(mean transvalvular pressure gradient, mPG)以及连续方程法测量的主动脉瓣口面积(aortic valve area, AVA)。AVA也可通过TTE、TEE、3D TEE直接测量主动脉瓣口横截面积进行评估。
心脏磁共振与CT能提供关于瓣膜解剖学、主动脉根部与升主动脉形态学以及钙化程度与特征的额外信息。有关CT与磁共振在重度AS的诊治策略中所起到的作用将在本共识文件的第二部分进行深入讨论。
评价主动脉瓣狭窄程度的参数
主动脉瓣射流速度:AS射流速度使用连续多普勒在主动脉瓣水平直接测量获得,并且随狭窄程度呈线性增加。重度AS的诊断值是4.0m/s。调整病人及探头位置使血流方向与超声束平行,这是至关重要的。窦性心律患者测量≥3个心动周期,心律不齐患者测量>5个心动周期,取均值。
平均跨瓣压差:重度AS的mPG诊断值是40mmHg。mPG是通过伯努利方程(ΔP=4V2/N)从流速计算得出的,代表收缩期的跨主动脉瓣压差。mPG是射血期间的瞬时梯度平均后计算出来的,目前临床可用的超声仪器已集成了这个测量功能。由于mPG与流速之间是平方关系,测量的流速偏低会严重低估mPG。此外,二尖瓣反流会干扰AS的测量,因此需注意仔细区分二尖瓣反流束。某些情况下,特别是在先天性AS或二叶式机械瓣置换术后患者中,若AoA直径<30mm则测量的mPG可能会偏高。这类患者存在的压力恢复现象导致mPG升高,这并不代表实际瓣口面积狭窄,而是因为有效瓣口面积与AoA面积之间的比值增加。为了克服这个问题,引入了一些基于多普勒超声心动图参数的新指标。主动脉瓣阻力就是其中之一,基于管状狭窄引起的血流动力学变化原理,该指标代表了AS对血流的阻力。但是该指标的局限性很大,例如血流依赖性和低预后价值。另一个为了纠正AoA压力恢复的更可靠的指标是能量损失指数(ELI),计算公式为:
尽管ELI在流体力学方面改善了AS的测量,但受限于AoA测量的复杂性与多变性,并未常规用于临床实践。
左室流出道直径与流速:连续性方程计算AVA需要LVOT CSA的数值,因此LVOT的正确测量至关重要。依据圆的面积公式:CSALVOT = π*(D/2)2,其中D为LVOT的直径。为了获得LVOT直径的最佳测量值,通常需在放大模式的胸骨旁长轴图像中取≥3个心动周期的平均值。虽然这种方法假设LVOT为圆形,但3D和CT检查显示LVOT更接近椭圆,这点局限性应牢记。此时,3D超声心动图是更好的检查方法,可提供与CT类似的准确度。LVOT流速应在五腔心切面,用脉冲多普勒将取样容积放在主动脉瓣近端进行测量。优化取样容积的位置十分重要,应使采集的频谱曲线具有平滑的轮廓,且不存在分散。突入LVOT的广泛钙化以及S型室间隔都会对获取最优的频谱曲线产生干扰。最佳的信号通常在收缩中期获取,此时LVOT的流速达到峰值,但这需与能产生最佳质量图像的心动周期相匹配,并且受到患者解剖结构的影响。当TTE测量LVOT的质量不佳时,应考虑进行TEE以减少误差。
在随访期间进行系列测量时,推荐使用相同的LVOT直径数值。实际上,在基线血流动力学稳定的情况下,成年人的LVOT的大小极少发生变化,且连续方程法中LVOT直径测量是误差的常见来源。
主动脉瓣口面积:AVA通过连续方程法计算得到:AVA= (CSALVOT*VTILVOT)/VTIAO,VTI即速度时间积分(velocity-time integral),在接近狭窄口的LVOT水平处测得(图4)。连续方程法建立在通过LVOT的每搏输出量(stroke volume, SV)与通过主动脉瓣口的SV相等的概念之上。因此,通过连续方程法计算AVA需要以下参数:连续多普勒测定的AS射流速度、通过LVOT直径计算出的CSA,以及通过脉冲多普勒测定的LVOT流速。由于多普勒测量流速及压差是流量依赖性的,因此应常规计算有效AVA。连续方程法计算的是有效瓣口面积,而非解剖面积,后者通常更小。尽管多项研究已经证实了连续方程法,但仍有一些情况会导致mPG与AVA计算不准确,如重度二尖瓣反流时,SV的减少会导致mPG与AVA的假性降低。在这种情况下,可选择直接通过TTE、TEE或CT测量AVA。重度AS时AVA<1.0cm²。
图4.2D超声心动图中通过连续方程法计算AVA。(a) 测量LVOT直径;(b) 连续多普勒测量VTIAO;(c) 脉冲多普勒测量VTILVOT。AVA:主动脉瓣口面积;CSA,横截面积;VTIAO,跨主动脉瓣速度时间积分;VTILVOT,左室流出道速度时间积分。
人工瓣膜(Prosthetic valves, PV)
超声心动图(TTE或TEE)是无创评估机械或生物人工瓣膜的主要影像学手段,也是确定ViV或TAVI-in-TAVI手术指征的第一步。多普勒超声评估自体瓣膜的一些原则也适用于PV,但测量难度更大,特别是在机械瓣中,因为金属对超声束有屏蔽和反射,另外可能存在多个偏心反流。利用连续方程式评估人工瓣狭窄的参数中,LVOT测量也是最重要的一个。需要注意,PV标签的尺寸不能替代LVOT测量值,LVOT应从缝合环或支架外边界进行测量。
主动脉瓣狭窄程度分级
重度AS的标准为瓣口面积<1.0cm²,峰值流速>4.0m/s,或平均跨瓣压差>40mmHg。若这些参数存在不一致,AS的诊断则更具挑战性,通常需要综合多模态成像进行判断。表3及图5列出了最新的ESC/EACTS指南对于AS严重程度的血流动力学分级。该分级不仅考虑了峰值流速、mPG及AVA的影响,还纳入了SVi,因为这些参数是流量依赖性的。因此,某些低SV患者(SVi<35mL/m²)即使峰值流速或mPG并没有显著升高,也可能诊断为重度AS,特别是在左心室射血分数(left ventricle ejection fraction, LVEF)降低的患者中。测量错误,以及体表面积过大/小患者的AVA指数,都是可能造成瓣口面积与跨瓣压差不一致的原因,然而在排除这些因素后,仍需要考虑一些其他的因素。对于低流量、低压差(low flow and low gradient, LFLG)型AS,根据LVEF数值,可通过多巴酚丁胺负荷超声心动图(dobutamine stress echocardiography, DSE)或CT来确立重度AS的最终诊断。DSE期间,若跨瓣压差显著增加(mPG≥40mmHg)而计算出的功能性AVA不增加或仅轻度增加(±1cm²)提示重度AS。相反地,mPG<40mmHg且AVA>1.0cm²则提示假性重度AS。若在血流储备受限时AVA与mPG仍不一致(负荷峰值AVA<1.0cm²且负荷峰值mPG<40mmHg),则可通过CT评估主动脉瓣钙化来帮助诊断。表4总结了超声心动图在TAVI术前评估中的推荐。
表3 基于SV、LVEF及mPG的AS严重程度分类
AS,主动脉瓣狭窄;AVA,主动脉瓣口面积;CT,计算机断层成像;LVEF,左心室射血分数;LF,低流量;HG,高压差;LG,低压差;mPG,平均压差;NF,正常流量;SVi:每搏输出量指数。
图5.主动脉瓣狭窄分类的流程图。AS,主动脉瓣狭窄;AVA,主动脉瓣口面积;LFLGAS,低流量、低压差型主动脉瓣狭窄。
表4 TAVI术前应用超声心动图的推荐
AS,主动脉瓣狭窄;TAVI,经导管主动脉瓣置入术;TEE,经食管超声心动图。
超声心动图在主动脉瓣狭窄中的应用:主动脉瓣以外的评估
拟行TAVI的患者,在对AS进行评估的同时,也需要通过超声心动图对心脏进行功能学及血流动力学的全面检查。
TTE需常规测量左心室大小、厚度以及功能。多项研究表明TAVI可改善LVEF,且大约1/3的有症状AS患者存在左室收缩功能障碍。AS导致左心室后负荷增加,并可能引起LVEF下降,尽管此时心肌储备功能尚可。然而,LVEF恢复受限比较可能发生在中度以上左室肥厚,与纤维化所致收缩功能受损有关。
在LVEF尚正常的重度AS患者中,已能通过整体纵向应变检测到早期收缩功能损害,且与预后相关。
作者:张义朋 梁敏 王晨宇
校正:王建 何奔
【摘要】无创心血管成像在经导管主动脉瓣置入术(TAVI)患者的术前评估中起着至关重要的作用,为选择获益最大的合适患者和安全完成手术提供了重要信息。本文件由意大利心脏病学协会和意大利医学和介入放射学协会的专家联合编写,旨在就TAVI介入候选患者的术前影像学评估达成一份更新的共识声明。撰写委员会由两个学会的成员和专家组成,他们共同致力于在心脏和血管放射学领域开发一个全面的评估方法。该文件的第二部分将涵盖CT和MR血管造影术、标准医疗报告和未来展望。
伴随着TAVI无创影像学实现了同步发展,针对患者选择、治疗计划、设备选择和定位不断细化。如本文PART 1所述,心超仍然是TAVI患者的一线检查方法。然而CT已成为TAVI术前评估的最关键检查,是评估主动脉根部、冠状动脉开口高度、最佳手术入路和预测瓣膜的合适透视角度的金标准。对于低流量、低压差的AS,CT也能精准识别瓣膜病变严重程度、准确量化主动脉瓣钙化评分以及精确计算主动脉瓣口面积。不适合做CT检查的患者,磁共振(MR)或是一种替代方案。此外,MR是心室容积和心功能测量的金标准,在诊断心肌纤维化方面独树一帜,是TAVI患者术后左心室射血分数恢复不佳和评估临床结局的独立预测因子。本文主要讲述CT-MR成像应用以及TAVI患者未来前景,汇编了参与诊断工作流程的心脏病专家和放射科医生的意见并给出推荐意见(表1)。
表1 采用的推荐等级分类
心血管CTA
CT技术
随着CT技术不断发展,其空间和时间分辨率不断增加,用更少的扫描时间获取更大的解剖体积,更准确的心脏同步,以及更低的辐射剂量,使得CT成为评估TAVI候选患者的标准技术。现有的CT技术对TAVI术前评估优化十分关键,考虑到需要获得较大的解剖体积(从锁骨下动脉到股总动脉),并使用心电门控对主动脉根进行评估,以便进行解剖测量(最好是在心动周期的收缩期)。TAVI候选患者通常具有挑战性,多为老年人,呼吸配合度差,常伴有快速性心律失常,主动脉瓣明显钙化。扫描方案必须包括1毫米层厚的图像重建厚度,以获得精确的2D/3D重建。因此,CT仪至少为64排CT。此外,TAVI患者通常十分脆弱,肾功能不全高发,因此必须考虑放射和碘造影剂损害,故而需要优化技术和图像质量,避免重复CT扫描。
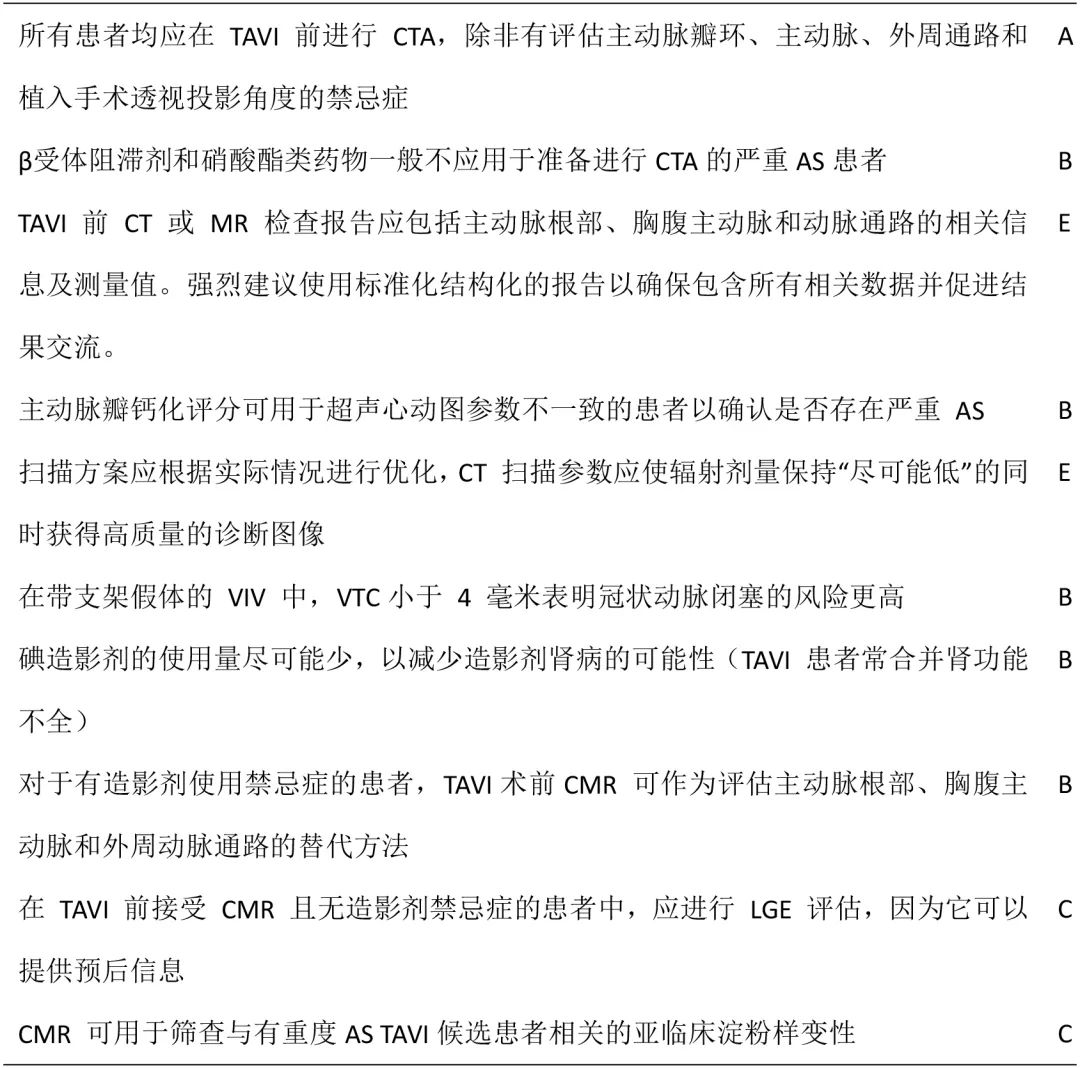
患者准备
呼吸运动伪影会降低图像质量,因此需要在扫描前充分指导患者学会适时暂停呼吸。虽然β受体阻滞剂被推荐用于治疗重度急性主动脉狭窄,以改善代谢和血流动力学;但在检查前应停用以减少负性肌力所带来的高危不良反应。严重的主动脉狭窄患者考虑其急性血流动力学崩溃和低血压风险,通常应禁用硝酸甘油。
CT扫描采集
CT扫描步骤
CT扫描需要获得从锁骨下动脉延伸到股动脉的高质量血管造影图像,通过在心脏和主动脉根部使用心电门控,可有效减少或避免心脏运动伪影,且可以对主动脉根部和冠状动脉进行多期或至少双期(最佳舒张期和最佳收缩期)评估。然而,应根据现有技术对扫描和造影剂注射方案进行优化。三种主要的扫描策略,均涵盖从锁骨下动脉到股总动脉的全主动脉:(a)胸部心电图门控(螺旋或顺序)扫描+全腹部无门控螺旋扫描;(b)胸部和腹部宽探测器心电图扫描,最后(c)心脏心电图门控(螺旋或顺序)扫描+通过DSCT扫描仪对胸部和腹部进行高音调非门控螺旋扫描。准确评估主动脉根(左心室流出道,主动脉瓣环,Valsalva窦,窦管交界部,冠状动脉开口)十分重要,从而避免选择的假体瓣膜尺寸过小或过大,以及围手术期并发症(瓣环破裂,瓣膜栓塞,冠状动脉闭塞)和术后并发症(瓣周漏)。一般选择心脏收缩期来评估主动脉瓣环的最大尺寸,因为在收缩期主动脉瓣环比舒张期略大,但应除外室间隔肥厚的情况。心电门控CTA可以以主动脉根部为中心进行图像重建,来提高空间分辨率,而更大的视图可用于评估锁骨下动脉。一般情况下,强烈建议使用快速扫描速度和低kVp技术以降低含碘对比剂(CM)的用量。此外,还应对主动脉根部进行心电门控CT平扫用于计算主动脉瓣钙化积分,扫描参数与冠状动脉钙化评分相同(3毫米层厚;球管电压峰值:120 kVp)。
辐射暴露
CT扫描应确保辐射剂量降到最低,同时根据ALARA原则保证检查质量。为此也需要采取一些策略,例如在单个心动周期内调节剂量与峰电流;同时减少心动周期扫描时相,仅收缩期扫描,限制心电图门控CT扫描于主动脉根和冠状动脉。
造影剂应用
通常静脉注射造影剂建议通过18 – 20号套管,优先选择肘前静脉,每次弹丸注射至少50毫升,流速控制在4-6毫升/秒。通常情况下该剂量足以应对扫描需求,但也应考虑碘浓度、患者身体状况和临床条件。碘造影剂用量应谨慎选择,因为TAVI候选患者经常合并肾功能受损。最近证据表明,使用低剂量(40毫升)或超低剂量(20 - 30毫升)造影剂注射方案进行TAVI的CT扫描是可行的;特别是在特定的临床场景中,如慢性肾脏病患者。TAVI术后急性肾损伤(AKI)已被确定为死亡的主要预测因素。在冠状动脉介入领域,很多研究已证实大剂量造影剂使用与造影剂肾病密切相关,但目前仅有少数研究报道了造影剂用量与TAVI患者AKI发生的关系。此前的研究显示,既往慢性肾衰竭、围术期出血和输血、经心尖入路、周围血管疾病、高血压等因素与TAVI后发生AKI密切相关。
表2 CT 扫描步骤
表3 TAVI术前进行CT和CMR的建议
CT图像后处理
主动脉瓣解剖和瓣叶特征
主动脉瓣作为主动脉根部的一部分,结构复杂,,由纤维骨架支撑,从心室-动脉交界处延伸至窦管交界处。主动脉瓣通常由三个瓣叶组成,瓣叶以各自的 Valsalva 窦(右、左和无冠状)命名,并通过向外的半圆形边缘锚定在主动脉壁上。瓣叶附着缘和瓣环之间的连接点称为接合部(Commissures)。主动脉根部形态的评估应包括主动脉瓣形态的描述(瓣叶数量、厚度、钙化和对合),以及不同水平面(主动脉瓣环、Valsalva窦和窦管交界处)主动脉管腔尺寸的测量(图1)。由于主动脉根部的解剖构造存在个体差异,并且其方向不符合标准解剖平面,因此必须使用特定的倾斜二维 (2D)平面进行评估(图2)。商用图像分析软件中提供的 2D/3D 重建工具能获取特定的主动脉平面(长轴和正交平面)。这些主动脉平面可以由具有特定 TAVI 模块的专用软件自动生成,能够提取主动脉中心线并创建与主动脉根部完全正交的图像(横截面成像),或者在双斜可视化引导下使用横截面法手动重建。在瓣膜严重退行性变的患者中,例如在主动脉瓣严重钙化的TAVI 候选患者中,,通过超声心动图评估瓣叶数量可能很困难;多期或至少双期(收缩期和舒张期)重建的 ECG 门控 CT 血管造影可能有助于确定瓣膜的形态,特别是区分先天性解剖变异,例如二叶式主动脉瓣 (bicuspid aortic valve, BAV)。与三叶式主动脉瓣相比,BAV的退行性变发展更快,出现狭窄的时间更早且发生率更高,并且存在于越来越多的 TAVI 候选患者中。虽然 BAV 不是 TAVI 手术的禁忌症,但它常因大块的瓣膜钙化、较大的瓣环尺寸、增加的瓣环椭圆度、不对称的瓣叶和升主动脉扩张,可能会增加手术的复杂性。因此,BAV 患者发生手术并发症的风险增加,如装置贴壁不良、高残余压差或显著残余主动脉瓣关闭不全(AR)、瓣环破裂或主动脉夹层以及更高的 TAVI 术后永久性起搏器植入的发生率 。
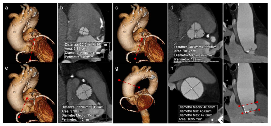
图1: 通过正交的三维重建图像(如3D VR图像(a, c, e, g)所示)测量不同解剖水平的主动脉管腔尺寸,分别为主脉瓣环(a, b), Valsalva窦(c, d),窦管交界处(e, f),升主动脉中点处(g, h)以及测量窦管交界处的高度(i, l)。
图2:使用普通显示器(通常同时看到三重投影)对主动脉环平面进行多平面重建的说明。加载 CTA 数据集后,将冠状图像滚动到穿过主动脉中心的图像平面(a)。在冠状图像中,将轴向观察平面(水平紫色线)移动到通过主动脉瓣中心的平面的水平。通过将旋转中心(红点,旋转轴之间的交汇点)放置在瓣膜区域的中心,旋转轴向平面(步骤 1)直到它完全平行于通过瓣环的平面(白线),然后将轴向平面的参考线向后移动(步骤 2),直到它通过主动脉瓣的铰接点(倾斜的紫色线)。与轴向观察平面成 90° 的矢状面(橙色参考线)将相应倾斜。在新生成的斜矢状面 (b) 上,将轴向参考线(水平紫色线)旋转(步骤 3),直到它通过主动脉瓣的前方和后方的最低插入点。滚动刚刚定向的新斜轴平面 (c) 可使穿过瓣环的平面(紫色框)、穿过尖瓣插入物(白框)和 Valsalva 窦的平面(红色框)可视化 。
主动脉根部尺寸评估
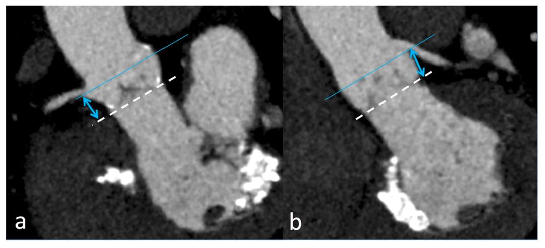
主动脉根部连接心脏和体循环,是一个复杂而精密的结构,由瓣环、主动脉瓣、Valsalva 窦和窦管交界处组成。在 CT 图像上,主动脉瓣环是对应于主动脉瓣基底部的解剖部位,三个瓣叶的最低插入点(铰链点)形成的环平面,位于心室-动脉交界处的正下方。准确测量主动脉瓣环和主动脉根部是评估TAVI可行性、正确的术前计划和装置选择(瓣膜尺寸和设计)的基础。沿常规解剖平面(冠状面和矢状面)重建或单斜重建粗略测量瓣环尺寸是不可行的。为得到可靠的测量结果,必须提供最佳质量的图像以及对重建斜面的正确定位,这是装置选择的基础。图2显示了如何从传统平面开始采用双斜入路获得主动脉瓣环的正确横截面图像。瓣环尺寸测量需要标准化和可重复的方法。瓣环尺寸的测量应包括长轴和短轴直径、截面积和周长(图3),所有测量值都可通过(半)自动衰减/基于Hounsfield 单元的轮廓检测得到。面积和周长得出的有效直径是在植入装置后瓣环为正圆形的几何假设下计算的。然而,这些方法存在固有误差,并且当瓣环形状特别偏心时,可能导致所选假体尺寸过小或过大,从而导致瓣周漏或植入的瓣膜展开不完全的风险。瓣环在心动周期中也会发生构象和尺寸变化:其形状在收缩期更偏圆形,在舒张期主要呈卵圆到椭圆形。由于与左心室射血相关的径向力的增加,与舒张期相比,收缩期瓣环的短轴直径、截面积和周长更大。因此,如果可获得多相数据,应首选在收缩期重建的图像来测量瓣环尺寸,因为在不同时相变化很大的患者中,使用舒张期测量可能会导致 TAVI 假体尺寸过小,导致瓣周漏的风险增加(图 4)。然而,在心率较快或心律失常的患者中,收缩期图像更容易受到心脏跳动伪影的影响,如果在扫描采集期间进行剂量调制,则通常会表现为图像噪声增加。在这些情况下,舒张期图像会提供更好的图像质量。主动脉瓣狭窄通常以瓣叶上不同程度的钙沉积为特征,钙沉积量随狭窄程度而增加,提示预后较差。特别是钙化性主动脉瓣狭窄的患病率随着年龄的增长而增加,在年龄 > 65岁的患者中达到峰值,这是最常接受TAVI的人群。主动脉瓣钙化程度可以通过 CTA 图像进行主观定性评估(无、轻度、中度和重度,图5),但是基于ECG门控的非增强CT 图像的Agatston 评分系统已被提议用于定量评估和术前风险分层,最常用的鉴定严重主动脉狭窄的阈值是男性 2000 、女性 1200。瓣膜钙沉积的分布应根据分布模式(对称/不对称、弥漫/局灶)、相对于瓣叶(瓣叶边缘、连合处和附着点)和 LVOT 的位置进行常规描述。当输送系统打开时,钙化的天然瓣叶被挤压到主动脉壁上。许多研究表明,无论是使用自膨瓣或球扩瓣,装置落脚区(landing zone)的钙化程度及分布模式对TAVI 后的手术结果有显着影响。主动脉瓣的大块或偏心钙化可能会妨碍假体的完全打开或正确锚定。事实上,附着在瓣叶边缘或连合处的钙化结节会造成机械障碍,从而导致人工瓣膜与主动脉根部之间存在残余间隙,这可能会影响植入的人工瓣膜的稳定性、对锚定部位的粘附性并使装置部分变形。严重的瓣膜钙化,特别容易增加术后反流或瓣周漏的风险,导致患者难以耐受的压力超负荷。主动脉瓣的严重钙化也已知与其他并发症有关,例如球囊扩张时引起瓣环破裂,因为主动脉环钙化使瓣环刚性增加、形变能力降低、传导障碍或钙化栓塞。与严重瓣膜钙化相关的另一个潜在风险是冗长而钙化的主动脉瓣易引起的冠状动脉开口阻塞。在 TAVI 中,自身瓣叶(包括任何粘附的钙化灶或赘生物)不会像外科瓣膜置换术那样被移除,而是在假体瓣膜释放过程中移位并被压在天然主动脉壁上。自身瓣叶重叠而阻塞冠状动脉开口是 TAVI 手术的一种罕见却危及生命的并发症,发生在 0.35-0.8%之间,最常见于接受球扩瓣的患者,并且通常影响左冠状动脉。此种情况下通常需要经皮冠状动脉介入治疗。尽管文献报道的冠脉介入可行性和成功率很高,但短期和长期死亡率仍然很高。较低的冠状动脉开口、浅Valsalva窦、严重钙化和较长的原生主动脉瓣叶是易引起冠脉开口阻塞的解剖情况,因此详细的术前解剖评估对于最大限度地降低这种并发症的风险至关重要。所以需要在CT 图像上测量从主动脉瓣环平面到每个冠状动脉开口下缘的纵向距离,具体方法为收缩期在斜冠状位上应用合适定向的多平面重建(图 6)。通常认为冠状动脉口和瓣环之间的距离大于10-14毫米时发生冠状动脉阻塞的风险较低,但是更短的距离也并未被严格认定为 TAVI 的排除标准,这些测量值应与主动脉瓣长度结合考虑。就算冠状动脉口和瓣膜平面之间有足够距离,若存在瓣膜尖的重度和弥漫性钙化也要特别注意。评估还应包括在双斜投影上测量 Valsalva 窦水平的主动脉根部的横向直径和高度,因为要正确摆放特定的 TAVI 装置需要测量最小窦宽度和高度值,这因型号而异。应探查 LVOT 以验证落脚区可行并排除瓣膜下阻塞,特别是在经心尖入路的情况下,并验证是否存在钙化;在这种情况下,最好使用自膨瓣。进一步的常规测量应包括评估窦管交界处和升主动脉最大和最小直径(通常为主动脉环上方 50 毫米)。
图3: 使用 CTA 数据集重建了通过主动脉瓣环平面的图像(a),可以使用三种方法测量环直径:直接测量最大和最小直径(双箭头,b)或通过周长(c, 虚线)和面积(d,蓝色椭圆)来间接测量。
图4: 心动周期的不同阶段测量主动脉瓣环。请注意主动脉瓣环在收缩期时更偏圆形而在舒张期时更偏椭圆形。相比舒张期,收缩期的短轴以及面积都更大。
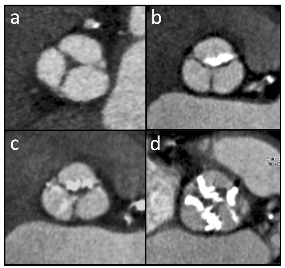
图5: 主动脉瓣钙化可以通过主观视觉分层为四级:1级:无钙化(a);2级:轻度钙化(b, 小的和/或散在钙化点);3级:中度钙化(c, 大或是多个钙化点);4级:重度钙化:(d, 所有瓣叶/连合处的广泛钙化)。
图6: 在多平面重建图像上评估瓣环平面与右冠状动脉 (a) 和左主干 (b) 开口之间的距离,即开口的下缘与相应小叶附件之间的最小距离。
冠状动脉影像学检查
退行性主动脉瓣狭窄和冠状动脉疾病(CAD)有许多共同的危险因素,52-65%的TAVI候选者中存在梗阻性冠脉疾病。在常规的TAVI 术前评估中,建议进行 CAD 评估,侵入性冠脉造影(ICA)也经常进行。尽管在CAD评估的预后价值和TAVI前后的首选治疗策略上存在有争议的证据,但通常支持在TAVI之前行经皮冠脉血运重建,这也是因为冠脉的血流动力学会受到主动脉瓣狭窄解除的影响。考虑到术前的主动脉根部CTA通常可以看到冠脉,至少是冠脉近端和中段。对于大量TAVI候选患者来说,冠状动脉CT评估可以取代ICA以排除显著的阻塞性CAD,以避免额外的造影剂或辐射剂量。然而,TAVI患者的影像质量通常欠佳,以至于无法充分评估冠状动脉,这是因为存在广泛的钙化、心律失常、屏气顺应性降低以及存在服用β受体阻滞剂和硝酸甘油的禁忌证。然而,鉴于不同临床环境的广泛异质性,用于排除阻塞性CAD进行的CTA应根据中心特异性因素(技术可得性、工作人员经验)和个案情况调整。然而,对于既往冠状动脉旁路移植术(CABG)的病例,由于CT扫描在评估移植物通畅性方面具有很高的准确性,因此建议进行CTA评估中。
主动脉和外周血管通路
在术前 TAVI 评估中,非侵入性影像学检查在准确评估血管通路方面起着重要作用。为了最大限度地降低围术期和术后并发症的风险,准确的入路选择是手术能否进行和成功的最重要组分之一。CT比传统的单平面血管造影更准确,其能允许2D和3D重建,以最佳评估血管最小内径,血管曲折度,严重程度,动脉粥样硬化的延伸程度和形式,并识别高风险特征,包括夹层和复杂动脉粥样硬化斑块(图7)。此外,CT很容易排除先天性解剖变异(如,主动脉弓离断,牛型弓,双主动脉弓,主动脉缩窄,右或左锁骨下动脉畸变,镜像右弓)和其他主动脉异常(如动脉瘤,动脉粥样硬化/血栓形成),这可以确定最佳的血管通路。经股动脉入路仍然是所有器械的首选方法。经锁骨下动脉、颈总动脉和头臂干是TAVI的两种替代入路,而经左心室心尖入路仅适用于SAPIEN装置。经微型胸骨切开术的微创经主动脉通路是最近适用于两种装置的替代入路,其入口点在环平面上方约6厘米处。可用的设备输送系统有不同的套管尺寸,具体取决于制造商和设备的生产版本。理想情况下,原生血管的最小内径应大于所选输送套管的外径。环状的动脉粥样硬化壁钙化(或马蹄形样)、原生血管直径小和血管显著扭曲是手术并发症的危险因素,如果存在两种或两种以上特征,则必须考虑其他入路(即经心尖、经主动脉)。血管并发症是经股动脉TAVI最常见的并发症(包括瓣周反流和卒中)。外周通路的CT分析必须通过标准化方法进行,包括3D成像,曲线多平面重建和用于钙化的最大密度投影,所有测量均在血管的正交平面(横截面)中进行,以获得更准确的评估。CT对于确定假体瓣膜植入的最佳透视角度也很有价值,如图8所示。
图7:评估锁骨下动脉(a-d) 和股动脉(e-h) 通路。三维体积渲染 CT 图像 (a, e) 提供了对动脉树曲折度的直观视觉评估,能检测任何急转角。曲线多平面重建(CPR,b,f)和拉直的 CPR(c,g)能识别任何狭窄或动脉瘤扩张,并识别最小口径的血管束。一些应用程序在整个过程中(d,h)的每个点提供血管平均直径的自动外推,因此实施并加快了最小直径点的识别。
图8:CT 确定 TAVI 手术的最佳透视角度:a 获得主动脉环的横截面(如图2中已经解释的)。b 平面向颅侧移位至主动脉瓣水平。c 所需平面 d 与主动脉瓣环(红线)和左侧和非冠状动脉瓣之间的连合线(绿线)正交。(d)所需平面的坐标(在本例中为 35 LAO 9 CRA)在 TAVI 过程中用于透视(e)
瓣中瓣植入
TAVI可用于治疗植入的生物瓣衰败的患者,称为瓣中瓣植入术(VIV)。进行VIV的患者发生冠状动脉闭塞的风险高于进行 TAVI的原生AS患者,尤其是植入带支架的生物瓣。需要测量VTC(导管瓣到冠状动脉的距离),因为它预测了从扩张的经导管主动脉瓣框架到冠状动脉口的距离。后处理软件可以模拟经导管主动脉瓣作为有确定高度和宽度的圆柱体的形态。VTC小于4mm提示冠状动脉闭塞风险较高。此外,由于新植入的假体瓣膜可以导致主动脉窦在窦管交界平面被隔绝,因此还应测量瓣膜至窦管交界的距离(VTSTJ)(图9)。
图9:TAVI 瓣中瓣植入模拟:圆形感兴趣区域 (a, b) 与新假体的尺寸已标记(蓝色圆圈)用于测量与左冠脉(a)和右冠脉(b)间的VTC(黄线)。请注意,在本案例中,右冠脉VTC < 4 mm,TAVI 展开后冠状动脉阻塞的风险增加。瓣膜至窦管交界的距离(VTSTJ)也应测量(c,黄线),以评估主动脉窦在窦管交界平面被隔绝的风险。LCA:左冠状动脉;RCA:右冠状动脉
心血管MR造影
在TAVI术前评估中,磁共振(MR)具有将主动脉瓣的功能和定量评估与主动脉根部、胸腹主动脉和外周动脉通路的解剖学评估相关联的优势,其类似于CT,但无辐射、无需使用碘造影剂,同时能准确评估瓣膜疾病对心室功能的影响。MR的另一个优点是可以通过延迟增强来显示心脏纤维化,为评估与主动脉瓣疾病相关的心肌损伤 提供了可能性,其使用的钆对比剂特点在于与CT中使用的碘造影剂相比,其肾毒性显著降低,并且不良反应发生率较低。
最近,定量 MR 组织表征技术,如 T1 mapping和细胞外容积(ECV),可以在不存在晚期钆增强(LGE)的情况下,从病理学角度提供弥漫性心肌纤维化的证据,这可能可以避免使用钆对比剂,降低了已有严重肾功能不全的患者肾源性系统性纤维化的风险。与对照组相比,重度主动脉瓣狭窄患者造影前 T1 值通常升高;与无症状患者相比,有症状患者的T1 值甚至更高。尽管TAVI的候选患者大都为老年人,但CMR在大多数患者中还是可行的,但带有不安全设备、幽闭恐惧症、临床状况不佳和严重心律失常的患者除外。在这种情况下,MR的使用有限可能是因其技术复杂性更高,研究时间更长,患者合作程度要求更高以及对瓣膜钙化的评估不足造成的。然而,在肾功能严重低下的患者中,MR 是 CT 的有效诊断替代方案。
TAVI术前的MRI方案要求在用于研究心脏的经典平衡式稳态自由进动(SSFP)电影序列中添加至少两张主动脉根长轴的电影图像,第一张在斜冠状面上获得,第二张从前一张沿着平面通过主动脉根和升主动脉的平面获得。此外,必须获取覆盖整个主动脉根的,与前两个平面正交的电影图像。在这些平面之后,胸主动脉和腹主动脉以及髂股动脉可以通过两种不同的方法进行评估:(1)在严重肾功能损害和/或对钆对比剂过敏的患者中,3D-SSFP导航回波序列和ECG门控序列可用于胸主动脉,而非造影剂增强的MRA可以用于主髂动脉评估;(2)对于没有造影剂禁忌证的患者,可以从主动脉弓到近端股动脉进行造影剂增强型MR血管造影(CE-MRA)。最后,使用评估原生T1和细胞外容积的T1 mapping序列以及LGE序列也被用于心肌组织表征。虽然MR对于测量主动脉环直径是准确的,但由于与钙相关的信号较低,大量钙化的存在可能会限制测量的准确性。同时它能准确且可重复的估计冠状动脉口高度和主动脉瓣瓣叶的大小。此外,必须考虑MR是心室容积和功能的金标准,其特别推荐用于接受TAVI治疗的患者。在基线行CMR时,高达50%的重度AS患者发现有局灶性纤维化或隐匿性心梗的证据。研究表明,心肌纤维化是TAVI患者术后左心室射血分数恢复不良和临床结局的独立预测因素,因此,如果可能,应在术前评估中建议进行CMR LGE评估。
TAVI中的标准化医学报告
TAVI前期CT或MR检查的报告应包括主动脉根部、胸腹主动脉和动脉入路的所有信息和测量结果。因此,为了确保所有数据都被有效地报告和便于结果的沟通,我们强烈建议使用结构化报告。通常应提供标准化的TAVI前报告,表4总结了应包括的主要细节/调查结果。
表4:标准TAVI前报告中应包含的主要细节/发现
*心电门控的螺旋/顺序胸部扫描+非门控的螺旋全腹扫描
#宽探测器的心电图门控胸腹连扫
°心电门控的螺旋/顺序心脏扫描+非门控大螺距螺旋胸腹连扫(DSCT)
未来展望
3D打印
三维(3D)打印是一种能够将数字模型转换为3D实物的新兴技术。其在心血管医学中的应用相对较新。3D心血管模型的效用在介入心脏病学中尤其明显,其中对患者特异性解剖结构的深入了解是指导导管手术的基础。如上文所述,TAVI的安全性和有效性与主动脉瓣环的准确测量密切相关。以此为目标,3D打印能制造具有患者特异性的主动脉瓣和主动脉根复合体的3D打印模型,这些模型已被提议作为TAVI术前规划的新工具,甚至可用于预测哪些患者更容易发生瓣周漏。此外,它可以如同在手术室中一般模拟植入物,以评估最佳手术方法。此外,它可以在心脏团队讨论期间用于决策,还可以提供手术的触觉反馈。制造商间的可重复性是3D模型生成的基本要求,其还有助于血管内手术规划技术的广泛扩散。即使该过程可以部分自动化,但在设置阈值和调整分割轮廓时仍需要非常小心。在该过程的任何步骤中都可能会产生错误,包括分割,后处理和3D打印。迄今为止,3D打印已被用于少数病例的主动脉根部的预处理评估,证明了CT有能力创建主动脉环和周围结构的3D模型,以实现潜在的更安全的瓣膜释放。
CMR在用于TAVI患者中发现亚临床期转甲状腺素蛋白心脏淀粉样变(ATTR-CA)的作用
转甲状腺素蛋白心脏淀粉样变性(ATTR-CA)是老年人限制性心肌病的最常见原因。它既往被称为老年淀粉样蛋白变性,通常是野生型 (wtATTR) 和获得性,以男性多发和迟发为特征。据报道,在80岁以上成人手术切除心脏瓣膜的组织学标本中, ATTR-CA的淀粉样蛋白沉积比例高达25%,这一数据在接受 TAVI 的钙化性重度主动脉瓣狭窄患者中高达16%,这些患者常表现为低流速低压差、严重的舒张功能障碍和射血分数轻度降低。筛查亚临床 ATTR-CA 的重要性源于其对预后的影响:患有AS的患者与不患AS的患者相比的2年死亡率相似,这提示两种患者的死亡率可能是由 ATTR-CA 导致的。CMR 提供了评估主动脉瓣狭窄和心脏淀粉样变性双重病理特征的可能性。在舒张性心力衰竭、低 QRS电压、无创成像检测到左室壁厚度不成比例增加的情况下,应特别考虑ATTR-CA。由于淀粉样蛋白沉积导致细胞外容积的弥漫性增加,延迟钆增强 (LGE) 的CMR会出现对比剂无法清楚而出现全心透壁性延迟增强的特征。这些传统特征也得到了新引入的mapping技术的支持,该技术允许定量测量心肌中发生的微结构改变,从而可以更深入地表征心肌细胞和细胞外基质的改变,并有望弥补传统成像技术的不足。原生T1是来自间质和细胞的复合信号,即便它不是特异性的,其对细胞外体积的扩张也很敏感,这可能与淀粉样蛋白、纤维化和水肿的存在有关。在患有主动脉瓣狭窄的患者中,原生T1显著升高(比正常值高5 SD)和细胞外容体积分数的明显增加(ECV>50%)的结果,常与ATTR-CA相关联,反映了淀粉样纤维间质空间的极度扩张。此外,由于存在代偿性肌细胞肥大,ATTR-CA患者的细胞内体积分数 (ICV) 高于健康对照组和轻链淀粉样蛋白组。因此,CMR 无需活检便能可靠地检测出心脏淀粉样变性的存在。CMR的发现还能通过核素显像得到证实:在严重AS患者和 TAVI 候选者中,使用骨示踪剂,如锝[99Tcm]焦磷酸盐(99mTc-PYP)的心脏单光子显像出色地展现出了对ATTR-CA的诊断准确性。最近还提出了通过CT得到细胞外体积分数(ECV),作为严重AS患者的ATTR-CA检测方法。
何奔教授解读
此次新版指南中所关注的重点内容是什么?
何奔教授:非侵入性心血管成像在经导管主动脉瓣植入术(TAVI)患者的术前评估中发挥着关键作用,其能够提供广泛的患者关键信息,帮助临床制定手术方案并安全地完成手术。
CT仍是TAVI术前评估的金标准,对于不能够进行CT检查的患者,术前也可选用核磁(MR)进行评估。另外超声心动图仍然是评估主动脉瓣狭窄严重程度、提供基本功能信息的重要成像方式,在术前评估中起着举足轻重的作用。
由意大利心脏病学会(SIC)和意大利医学与介入放射学会(SIRM)合作撰写的指南,旨在就TAVI患者的术前成像评估做出更新的共识声明,重点介绍超声、CT、MR非侵入性心血管成像在TAVI术前评估中的作用,为多模态影像的术前使用提供新的指南。
此次I.F.C新版TAVI指南,在回顾AS的临床指标、心脏团队建设以及TAVI术式的基础开展方案外,着重介绍了利用影像学手段,对AS病例进行分期、术前分析及预后评估的新方法。完善了以增强CT为核心的多模态影像评估手段,通过超声、MR动态评估与CT评估结合等方法,细化了评估模块,为临床术前预案制定及手术风险规避提供了更准确的数据支持。而在TAVI预后的评估方面,指南拓展了预后效果的评估视野,利用多模态影像手段,以一种循环系统为基础的全面视角来检视患者的最终获益。
您认为该版指南对我国TAVR的开展具有怎样的借鉴意义?
何奔教授:近些年来,以TAVI为代表的瓣膜介入治疗在国内取得了快速的发展,非侵入性心血管成像对手术的评估扮演者着重要的角色。
该指南细化了评估模块,TAVI术前CT或MR检查的报告除了包括主动脉根部、胸腹主动脉和动脉通路的所有信息和测量值以外,强烈建议临床采用标准医疗报告,以确保报告的有效性,提高团队之间的沟通效果。相信通过TAVI术前标准医疗报告,可以规范每一个患者的评估内容,术前把握风险点,也利于临床中心对于后期数据的归纳、病例分析等。
另外,超声目前仍是筛查主动脉瓣狭窄患者的重要手段,该版指南强调了术前超声评估解剖外,确定 AS 的严重程度可以更好的指导临床评制定手术方案避并发症。指南通过总结以往经验,对超声在AS初筛领域的应用进行了拓展,利用超声3D重构等新技术,完善了既往指南中对AS分期的检查方法,并提前了患者施术可能性评估、治疗计划、器械选择和器械定位等多种要素的初步确定。通过此类建议可以帮助我们,更全面的进行患者评估,制定有效的手术策略,保障患者疗效。
专家简介
何奔
上海市胸科医院
上海市胸科医院心脏中心主任,心内科主任,主任医师,博士生导师,二级教授。
上海市优秀学科带头人,上海市领军人才、国家卫生计生委有突出贡献中青年专家,享国务院特殊津贴。
在冠心病、高血压、心律失常、结构性心脏病、心力衰竭等均有丰富的诊治经验,尤其擅长各种高难度冠心病的介入治疗,在经皮左心耳封堵手术预防房颤脑卒中,经导管主动脉瓣置换术和经导管二尖瓣修复手术等方面均有高深造诣。主持多项国家级重点项目,以第一或通讯作者发表SCI收录论文80多篇,总影响因子400多分,论文H指数35。先后荣获上海市医学科技一等奖,教育部科技进步一等奖等多个奖项。他是美国心脏学院专家会员(FACC),欧洲心脏学院专家会员(FESC),美国心脏造影与介入学会专家会员(FSCAI),中华医学会心血管病学分会全国常委,中国研究型医院学会心血管循证与精准医学专业委员会副主任委员,海峡两岸医药卫生协会心血管专业委员会副主任委员,中国心律协会左心耳封堵学组组长。曾获“上海市十佳医生”、“中国十大口碑医生”;上海市五一劳动奖章,上海交通大学校长奖,宝钢全国优秀教师奖等荣誉。
