经典病例
近日,华润武钢总医院在心血管教授金志刚院长带领下,心血管内科联合多学科团队成功为一位横位心患者开展青山区首例经导管主动脉瓣置换术(TAVR),开启了微创介入治疗心脏瓣膜疾病的新篇章。该手术的成功实施,标志华润武钢总医院心血管内科在微创手术领域有了新的进展,填补了华润武钢总医院此项技术的空白。
病史简介
患者:王某(化名),女性
主诉:反复胸闷、气促加重,严重影响日常生活,遂就诊于华润武钢总医院心血管内科
术前检查
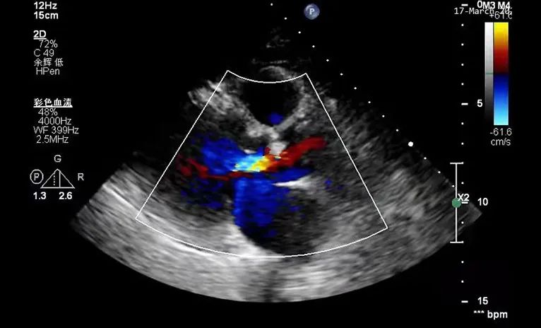
超声检查
彩超证实王女士的确存在重度主动脉狭窄合并轻-中度主动脉瓣关闭不全,且主动脉瓣跨瓣压差高达74mmHg。高度狭窄的主动脉瓣,导致王女士心脏左心室射血到主动脉的过程受阻,久而久之造成心力衰竭。
CT检查
患者三叶瓣,钙化集中在右无冠窦交接及瓣叶上,瓣环平均直径22.2mm;左室流出道(LVOT)平均直径21.8mm(瓣下4mm);左冠开口高度12.5mm;右冠开口高度13.6mm;窦宽28.7-29.8mm;STJ平均直径28mm;升主直径36.3mm(瓣上40mm)
患者入路情况
球扩及瓣膜释放体位
手术治疗策略
手术风险评估和手术策略
手术团队及相关科室共同讨论制定手术方案
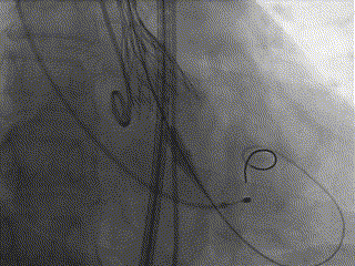
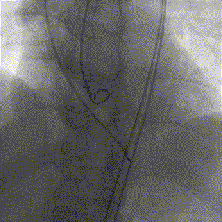
手术状态
左冠造影
右冠造影
主动脉根部造影
球囊预扩
瓣膜释放
瓣膜释放
瓣膜植入后形态良好,无瓣周漏
手术紧张进行中
在相关学科的配合支持下,何望安主任团队攻坚克难,术中细致操作,反复斟酌,确保术中每个步骤及细节的完美。
术后患者情况
术后超声
术后超声科叶华容主任在手术室为患者进行术后评估,实时超声显示该患者主动脉跨瓣压差由术前的74mmHg显著下降到术后的16mmHg,手术效果立竿见影,患者胸闷、气促症状明显缓解,且无传导阻滞、穿孔等并发症发生,宣告手术圆满结束。

术后总结
TAVI/TAVR手术作为新兴微创的顶尖技术,为重度主动脉瓣狭窄或重度关闭不全且无法行外科手术的患者带来了福音。未来,华润武钢总医院心血管内科将以此次手术为契机,紧跟新时代步伐,不断向高难度、高技术含量的医疗创新技术发起挑战,造福更多患者!!
术者介绍
何望安
华润武钢总医院
武汉科技大学医学院副教授,副主任医师,华润武钢总医院心血管内科副主任兼二病区主任,湖北省医学会电生理学会委员,湖北省医师协会心律学委员会委员,中华心血管学会武汉市分会电生理组组员,湖北省医学会结构性心脏病分会委员,湖北省微循环学会心血管专业委员会委员,中国非公立医疗机构协会结构性心脏病学组委员,武汉医学会第四届医疗事故技术鉴定专家,武汉市医师协会心血管医师分会委员。目前承担武汉市卫计委资助科研项目,在核心期刊发表多篇文章。
从医20余年,临床经验丰富,擅长冠心病、高血压、心力衰竭的诊治以及冠心病介入术,心脏永久起搏器安装术。
叶华容
华润武钢总医院
教授,主任医师,硕士生导师,华润武钢总医院超声医学科主任。
武汉市中青年医学骨干人才、亚太基层卫生协会超声医学分会运动浅表小器官专业委员会副主任委员、湖北省超声专业质量与安全控制中心专家委员、湖北省医师学会超声医师分会委员、湖北省医学会结构性心脏病外科分会委员、武汉医学会超声专业分会常务委员。
主持省部级、市级科研项目十项,负责项目获湖北省科技进步奖二等奖一项、中国金属学会冶金医学奖二等奖二项,华润大健康创新发展奖五项,武钢科技进步奖多项,参与项目获湖北省科技进步奖三等奖一项,武钢科技进步奖二等奖二项。