2022年3月13日上午,温州医科大学附属第二医院吴连拼教授团队独立应用新一代可回收瓣膜系统TaurusElite成功为一位重度主动脉瓣狭窄患者完成了TAVR手术。这是TaurusElite上市以来在温州医科大学附属第二医院和浙南地区的首次植入,此次接受手术的患者,长期受主动脉瓣狭窄困扰。其主动脉瓣叶明显增厚,收缩期心室腔极小,导丝操控难度大,使得瓣膜释放过程具有一定挑战性。术后患者症状显著改善,状态稳定。
患者基本信息:
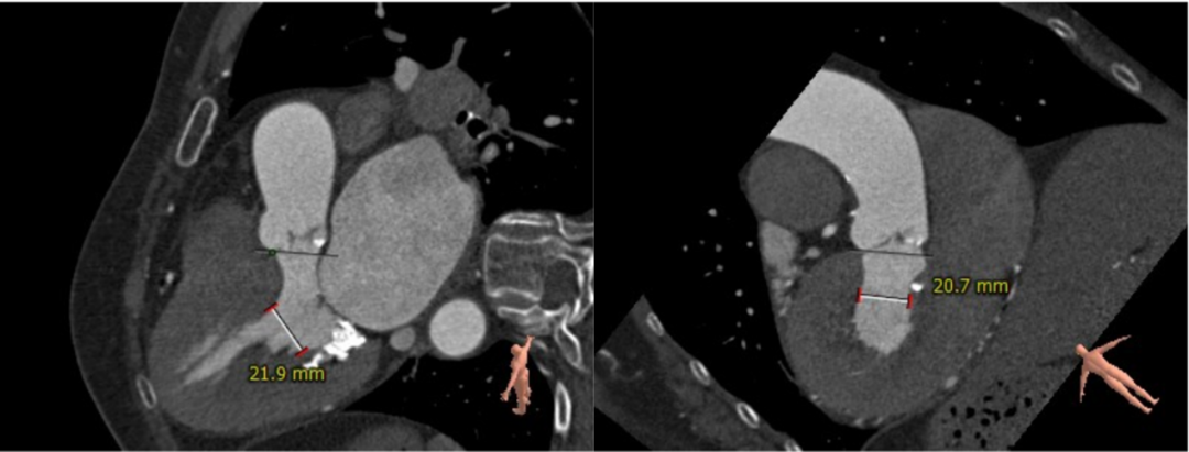
患者为83岁高龄女性,于2月前活动后反复出现胸闷气短,伴间歇性胸痛,遂3月7日慕名自行前来我院就诊。主动脉瓣听诊可闻及粗糙、高音调的喷射性收缩期杂音,余无特殊。术前超声显示左房47mm,左室收缩末内径30mm,左室流出道18mm。瓣环内径19mm,瓣上最大流速4.5m/s,峰值压差79mmHg,平均压差48mmHg。诊断为主动脉瓣重度狭窄伴轻度关闭不全,二尖瓣少量反流。
主动脉根部评估:

三叶式主动脉瓣 瓣环周长67.4mm
平均周长径21.5mm
左冠脉开口高度>瓣叶长度
综合瓦氏窦结构及瓣叶长度考虑
STJ平面周长83.5mm
升主动脉最大直径34.6mm

左冠高度15.0mm 右冠高度14.7mm
右冠脉开口高度>瓣叶长度
SOV瓦式窦:平均周长径 32.0mm
LVOT最短径14.6mm
术中仍球囊预扩须密切注意冠脉灌注


瓣叶轻度钙化增厚,钙化分布较均匀
HU752 积分271mm²
主动脉弓角度与宽度可,心脏水平夹角56°,近横位心。
外周血管内散见钙化灶,双侧入路血管内径良好,整体入路血管条件较好。
左室腔内径偏小,心室壁增厚明显。
手术策略讨论:
温州医科大学附属第二医院吴连拼教授、张新民教授团队以及护理团队、麻醉科、超声科等多学科进行充分术前讨论分析。
①患者为三叶式主动脉瓣,瓣叶钙化较轻,但左室流出道较小,最短径仅为14.6mm,传导阻滞风险高。术中选择18mm小球囊预扩,降低传导阻滞风险,并在预扩时密切注意根部限制性结构打开情况,及双侧冠脉灌注情况,
②患者瓣环、瓦氏窦、STJ均较小,选择TaurusElite AV23型号瓣膜,
③患者整体血管情况一般,外周血管弥散性斑块,术中大鞘及输送器轻柔操作,避免外周血管损伤,必要时备snare辅助,
④患者左室流出道较小,术中须严格控制瓣膜释放深度,选择零位释放。
手术过程回顾:
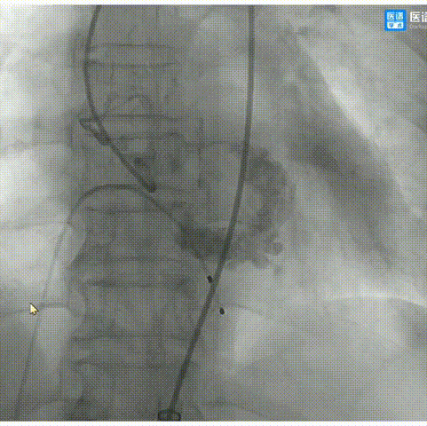
1.以左侧股动脉为辅入路,并在造影指导下穿刺右侧股动脉为主入路;
2.主动脉根部造影,可见瓣口开闭尚可,心室内轻微反流,主动脉及心脏情况整体较为稳定;
3.直头导丝跨瓣,通过交换导丝将猪尾导管引入左室。超声评估示最大流速4.5m/s,最大跨瓣压差约79mmHg;

4.180次/分快速起搏下以18mm TaurusAtlas球囊进行预扩张,扩张时无明显腰征;

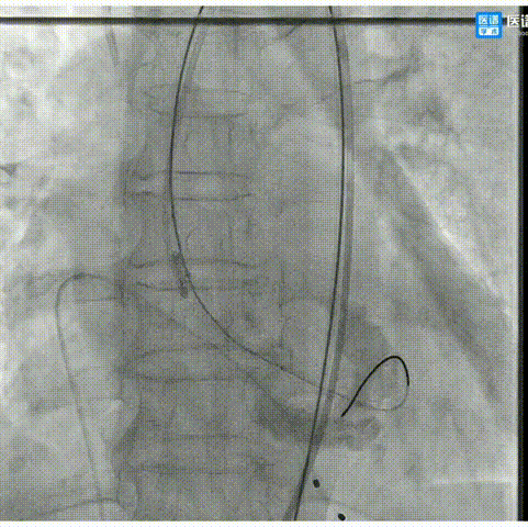
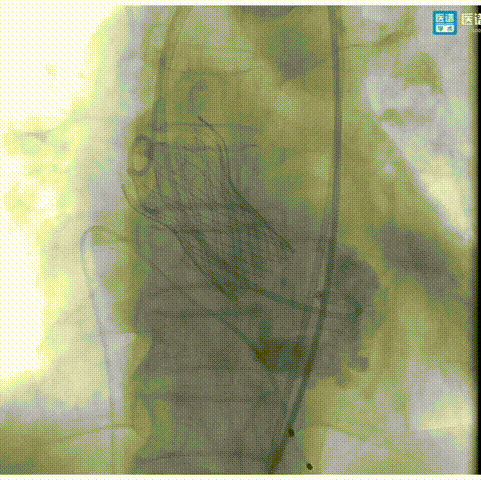
6.造影评估示瓣膜植入深度、工作形态良好、微量瓣周漏,遂予以全部释放;
7.超声显示最大流速降至1.13m/s,平均跨瓣压差约3mmHg;
8.撤出猪尾导管,造影显示无瓣周漏,手术圆满成功。
术后总结:
术后,经吴连拼教授、张新民教授团队的回顾性讨论,认为本例手术难点主要在于患者左室偏小,有循环崩溃的风险,导丝操控要求高,并且需要精准定位。
在术前评估阶段,吴连拼教授带领团队反复分析病例特点,制作了周密的手术预案,并初步决定以18mm球囊进行预扩,以23mm沛嘉TaurusElite瓣膜植入,为之后手术的顺利开展打下坚实基础。术前,吴连拼教授带领手术团队,充分进行术前讨论,反复模拟演练。
手术当日,吴连拼教授秉专业制胜,精益求精,再次对手术方案进行确认,并再次熟悉瓣膜和输送器特性,势必要给患者一个最完美的效果。瓣膜过弓过程相当顺利,全程未使用抓捕器辅助,验证了TaurusElite输送器良好的通过性能,有效降低了血管并发症的发生风险。
最终,在整个团队通力合作,首次使用TaurusElite瓣膜,就可独立开展,并且术中过弓顺利、定位精准,一次性释放成功,术后无瓣周漏,跨瓣压差稳定在3mmHg,完美的完成了一次TAVR手术。
吴连拼教授寄语:
截至现在,对我国人民生命安全威胁最大的疾病,仍是心血管疾病。其中,主动脉瓣狭窄这一病症,又以其发病后2年生存率不足50%,成为了严重威胁患者生命的一类重疾。以往由于手段有限,对于外科手术高危患者,或者高龄、虚弱的患者,医生常常无法对因治疗,重新为患者打开“心扉”。我院我科历来重视新技术、新疗法的创立与推广,从接触到TAVR技术开始,就不断深入了解技术背景,强化自身开展基础,在较短时间内建立了多学科合作的TAVR常规开展平台。同时,鉴于广大患者群体对主动脉瓣狭窄认识不足,我院我科积极开展患者普及教育,与兄弟科室、兄弟单位同仁并肩协作,最大限度让患者了解主狭、认知TAVR,在具有一定知识储备的情况下自主地决定治疗方案。
本例TaurusElite的完美植入,离不开兄弟科室的通力合作,也离不开患者对TAVR、对温州医科大学附属第二医院的信任。我有幸能与大家一起完成这一例具有挑战性,但最终迎来了完美结果的手术,心中激情澎湃。以此为开端,我及我们多学科合作的平台必将以更高的热情,立即马上绝无停滞地投入向患者答疑解惑、为患者解危纾困的工作中去,将先进的医疗手段,更广泛地覆盖到我们苦于疾病的患者朋友!
专家简介
吴连拼
温州医科大学附属第二医院
医学博士,心血管内科主任医师,博士研究生导师。历任温州医科大学附属第二医院医务处处长、纪委书记,现任温州医科大学附属第二医院副院长、心内科学科带头人。
中国医师协会浙江心血管医师分会副会长;
中国心胸血管麻醉学会基础与转化医学分会常委;
中国研究型医院学会心力衰竭专业委员会常委;
中华医学会浙江省医学会心血管病学分会常委;
中华医学会浙江省医学会介入心血管病学分会常委;
中华医学会浙江省医学会心血管病学分会心肌疾病与遗传性心肌病学组组长;
日本宫崎大学、美国范德堡vanderbilt大学访问学者;
从事医、教、研工作24年,获浙江省科技进步奖二等奖一项,中国中医药协会中医药科技奖二等奖一项,浙江省医药科技创新奖两项。获评“《中国医师报》第三届中青年心血管病学菁英(临床技术创新类)”、“浙江省医政工作先进个人”、“新疆维吾尔自治区优秀援疆医生”等荣誉。获“浙江好人”、“温州市道德模范”、“温州名医”等称号。
张新民
温州医科大学附属第二医院
医学博士 ,温州医科大学附属第二医院,心内科副主任医师、硕士生导师。
浙江省医学会心血管分会青年委员,中华医学会温州心血管分会青年委员,温州心身医学分会双心学组成员,国家住院医师规范化培训重点专业基地专科导师。参与多项国家级、省部级课题,主持厅局级课题三项,国内外发表学术论文10余篇,多次在国家级心血管会议做病例报告。

