首例告捷,惊艳亮相!2022年3月9日,西安交通大学第二附属医院心血管内科邓捷、李永勤主任带领团队应用TaurusElite经导管主动脉瓣置换系统成功独立完成首例TAVR手术。此次接受手术的患者,因长期重度主动脉瓣狭窄导致严重心衰,经常胸闷气短,严重影响正常生活,邓捷主任团队整体评估后制定详细手术策略,术中充分利用TaurusElite可回收功能,精益求精植入最佳深度,瓣膜释放稳定,并取得理想术后效果,患者血流动力学得到有效改善。
患者基本信息:
患者女性,72岁,主诉胸闷、气短,以“心力衰竭”入院,超声检查主动脉瓣Vmax=4.88m/s,PGmean=58mmHg,主动脉瓣返流彩束面积1.0cm³,诊断为重度主动脉瓣狭窄伴少量反流。
术前CT评估:

主动脉根部总览
外周血管总览
主动脉根部测量:
钙化分布:
冠脉测量:
主动脉弓测量:
外周血管入路:

3D打印体外模拟辅助评估术中风险

左冠脉阻塞风险低
术前分析:
手术策略:
推荐右侧股动脉为主入路,左侧为辅助入路。
推荐20mm球囊预扩,球扩时关注冠脉灌注情况,预装AV23瓣膜,建议瓣环下零位左右定位释放。
术中操作:
手术影像:

冠脉造影

主动脉根部造影

球囊预扩

瓣膜第一次释放到工作位置偏高

瓣膜第二次释放
位置偏深

第三次零位定位

第三次释放位置理想

植入后造影
团状钙化造成微量瓣周漏,球扩后明显改善
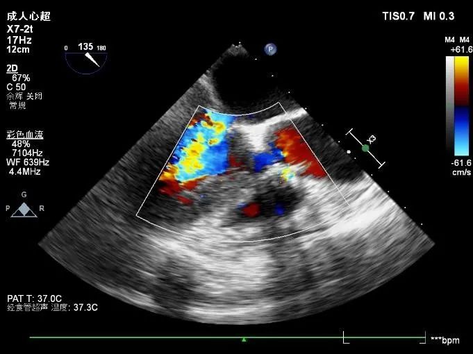
超声评估:
跨瓣压差:
术前跨瓣压差86mmHg
术后跨瓣压差7mmHg
术者寄语:
此例经导管主动脉瓣置换术的成功开展,标志着我们科室在结构性心脏病领域迈开了一大步。随着TAVR技术的快速发展和器械的不断更新,主动脉瓣狭窄和反流患者有了更多更好的选择,也为患者带来了更高质量的获益。本次我们独立完成的首台TAVR手术不仅对我们术者有更高的要求,同时也获益于可回收产品,TaurusElite具备的可回收功能不仅可以缩短学习曲线、增强术者信心而且可以多次对瓣膜重新进行定位,精准最佳植入深度,优化手术方案达到理想术后效果,助力患者获得更好的即刻疗效。
专家简介
邓捷
西安交通大学第二附属医院
现任西安交通大学第二附属医院心血管内科副主任、主任医师, 博士。先后担任中国医师协会腔内血管学专业委员会药物专家委员会委员,青年委员会委员,中国医师协会整合医学分会整合心血管病学专业委员会委员,中华心血管病杂志通讯编委,陕西省医促会胸痛委员会副主任委员、陕西省医学会心血管内科分会冠心病与介入学组委员。
李永勤
西安交通大学第二附属医院
现任西安交通大学第二附属医院心内科主任医师,博士,硕士研究生导师。中国医师协会心血管内科医师分会心血管急危重症学会委员;中国老年医学会临床流行病学与疾病预防分会委员;中华医学会心血管病委员会陕西省分会委员;陕西省保健协会糖尿病专业委员会常委、慢病管理专业委员会常委;陕西省临床医学教育委员会委员;西安市心电学会委员;«西安交通大学学报医学版»编委。

