2022年2月23日下午,山东大学齐鲁医院陈玉国教授团队成功完成1例TAVI手术(经导管主动脉瓣置换术)。此次接受手术的患者,长期受主动脉瓣狭窄困扰。其主动脉根部钙化分布不均,使得瓣膜释放过程具有一定挑战性。术后患者血流动力学指标显著改善,为患者带来更多临床获益。
患者基本信息
患者为66岁老年男性,冠心病史5年,糖尿病史7年,2017年行冠状动脉支架植入术,复查时发现主动脉瓣狭窄,心脏超声提示LVEF0.55,主动脉瓣病变,二叶式主动脉瓣(type1型),主动脉狭窄(中重度)、主动脉反流(中度)、二尖瓣反流(轻度),肺动脉高压(轻度),左室舒张压功能减低。自述无明显症状,无胸闷、胸痛,无头痛、头晕,无腹痛、腹泻等不适。以此收治入院。
查体:身高:170cm,体重:70kg,BP:120/59mmHg;
病例特点
该患者为一例重度AS患者。Type1型二叶式主动脉瓣,瓣叶重度钙化并明显纤维增厚,右、无冠瓣融和成团块状钙化嵴,钙化灶分布不均匀,瓣口形状差,呈火山口状。假体瓣膜释放后有位移可能。
主动脉根部测量
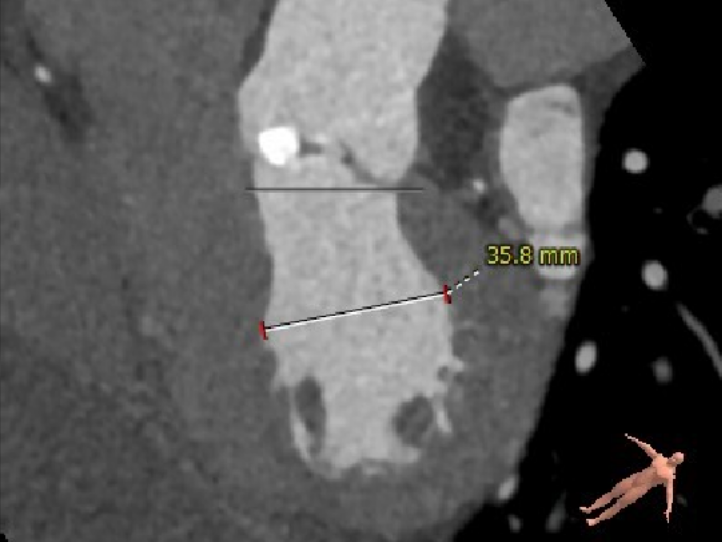
ANNULUS
SOV DIAMETER
LVOT
STJ
ASCENDING AORTA
LEFT VENTRICLE
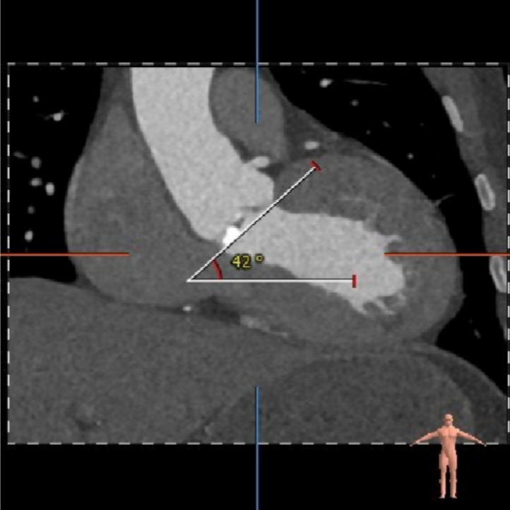
CT数据显示该患者为Type1主动脉瓣。
主动脉瓣瓣环周长80.8mm,平均周长径 25.7mm,SOV:34.8mm*34.3mm*33.4mm,瓣叶增厚,瓣上见右无钙化嵴,瓣环水平夹角42°。
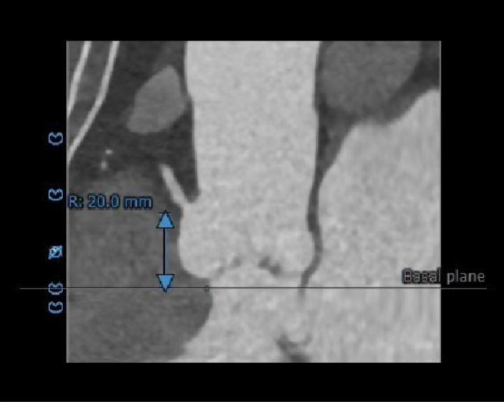
冠脉高度测量
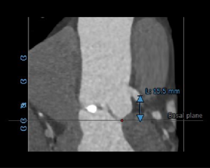
左冠开口高度15.5mm
右冠开口高度20.0mm
钙化分布
HU850钙化积分859mm³
左心室影像
外周血管及主动脉弓解剖
双侧血管内径良好,所见主动脉血管壁见少量钙化形成。
手术策略讨论
患者双侧血管内径良好,术中选择右股动脉为主入路,左侧位辅入路。
计划使用22mm球囊进行有扩张,TaurusElite AV26瓣膜进行释放。
由于瓣叶重度钙化并瓣叶增厚,锚定力尚可,右无融合团块状钙化嵴,钙化嵴坚固,球囊扩张无法打开,预估人工瓣膜向左冠瓣侧位移,瓣膜形态可,瓣周漏风险适中。
手术过程概览
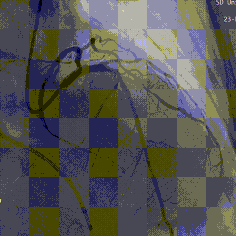
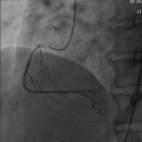
术前先行冠脉造影,回旋支中段狭窄,右冠未见明显异常。
左冠造影
右冠造影
左冠回旋支行PCI治疗,造影显示回旋支充盈良好。
左冠PCI治疗
造影评估
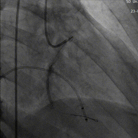
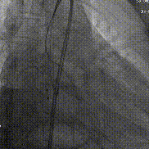
行主动脉根部造影,猪尾确定选择最佳释放体位,观察瓣叶活动,确认是否合并反流,选择合适体位跨瓣。
主动脉根部造影
直头导丝跨瓣
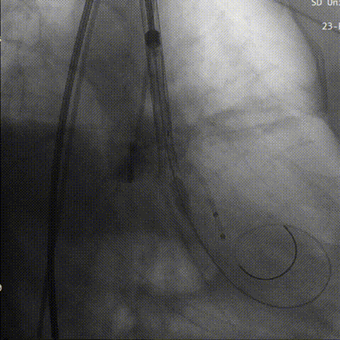
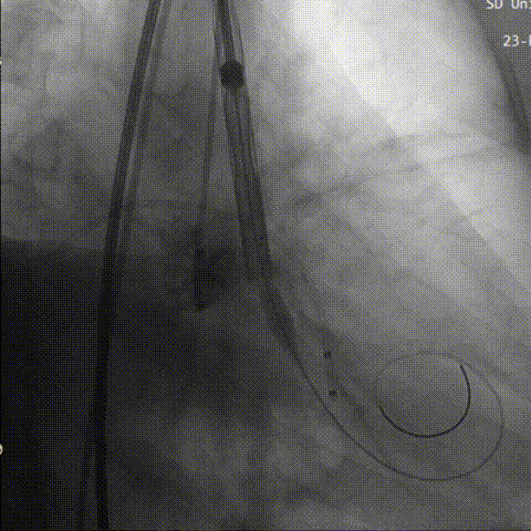
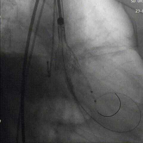
行成功跨瓣后,术者团队用23mm球囊预扩,结合瓣环及球囊预扩情况,植入预装AV26型号瓣膜。
球 囊 预 扩
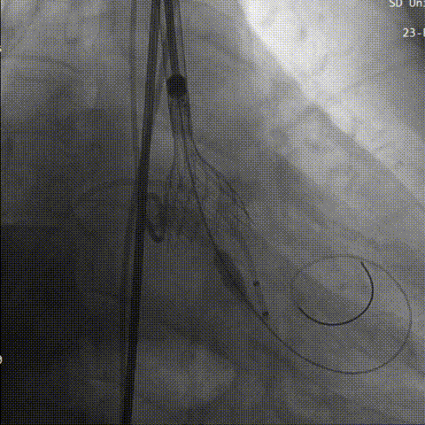
初始定位
术者结合DSA影像,多角度观察瓣膜情况,在瓣膜达到一个稳定位置后,缓慢释放到工作位,造影评估显示反流明显,行第一次回收。
工作位评估
第一次回收
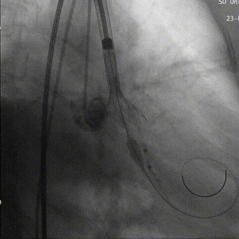
第二次定位
释放到工作
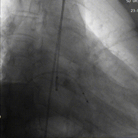
造影评估下瓣环上2mm定位,缓慢释放,瓣膜下滑到瓣环平面水平,瓣膜位置良好,继续释放到工作位进行评估,反流较为显著。决定再次回收。
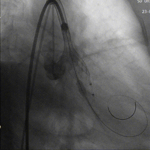
回收后第三次进行瓣上2mm定位,确定释放位置稳定后没缓慢是放到工作位,猪尾导管造影显示无反流。
第三次定位
工作位评估
最后三分之一瓣膜稳定脱钩,造影显示,无明显瓣周漏及反流,瓣膜形态佳,工作稳定。
瓣膜完全释放
猪尾造影评估
术后即刻评估
术后评价
术后,经全科回顾性讨论,认为本例手术难点主要在于术中释放深度的控制。
在术前评估阶段,陈玉国院长带领团队反复分析病例特点,掌握患者的综合情况,据术前评估,患者为Type1型二叶式主动脉瓣,瓣叶重度并明显纤维增厚,右、无冠瓣融和成团块状钙化嵴,钙化灶分布不均匀,瓣口形状差。易对瓣膜产生压缩性形态改变、易使瓣膜产生向下位移趋势,影响最终手术效果。因而术中的释放深度控制,成为了术者必须挑战,也必须要克服的一个难点。
通过术前缜密分析,陈玉国院长带领手术团队制作了周密的手术预案,并初步决定以22mm球囊进行预扩,以26mm沛嘉TaurusElite瓣膜植入,为之后手术的顺利开展打下坚实基础。手术当日,陈玉国院长、李传保主任等专家通力合作,顺利完成手术。依照既定策略选用22mm 球囊预扩后,造影未见明显腰征,瓣环平面未见球囊压缩,冠脉血流良好,可见微量造影剂渗漏,明确了26mm TaurusElite瓣膜的选择。瓣膜过弓过程相当顺利,全程未使用抓捕器辅助,验证TaurusElite输送器良好的通过性能,有效降低了血管并发症的发生风险。在瓣膜释放环节,TaurusElite大手柄具有的良好操作性,帮助术者进行了精确的释放定位。而其特有的多次可回收、回收后可重复跨瓣功能,为术者拓宽了术中操作空间。基于术者在术前充分的预案准备,以及术中对多次可回收功能的灵活运用,瓣膜最终精准于0位释放成功,未对心电传导及二尖瓣功能产负面影响。释放完成后,即时超声评估提示微量瓣周漏,集中于自体瓣膜鱼嘴型开口伴有左室流出道钙化的一端,跨瓣压差稳定在3mmHg,符合术前预期,宣告手术成功完成。
专家简介
陈玉国
山东大学齐鲁医院
教授,博士生导师,山东大学齐鲁医院院长,山东省急危重症临床医学研究中心主任。图片泰山学者攀登计划专家;国家重点研发计划项目首席科学家;国家卫生健康委和山东省突贡专家;欧洲心脏病学会会士(ESC);美国心脏病学会会士(FACC);美国心血管造影和介入学会会士(FSCAI);享受国务院政府特殊津贴;现任山东大学齐鲁医院院长;山东省急危重症临床医学研究中心主任;山东省急危重症防治工程实验室主任;兼任中华医学会急诊医学分会第九届委员会主任委员;中国医师协会胸痛专业委员会候任主任委员等职务。承担国家重点研发计划、国家自然科学基金重点项目等国家级、部省级课题30余项,发表Eur Heart J、JAMA Cardiol、NAT COMMUN等高水平论文100余篇,获中华医学科技奖一等奖1项、省部级一等奖2项,主编、副主编《急诊医学》国家规划中英文教材、著作15部。2017年获评山东大学先进教育工作者。
李传保
山东大学齐鲁医院
医学博士,主任医师,山东大学教授,硕士研究生导师。图片国家公派密歇根大学访问学者;齐鲁卫生与健康杰出青年人才;国家胸痛中心建设全国飞检专家;目前担任山东大学齐鲁医院急诊科副主任(主持工作);兼任中华医学会急诊医学分会信息学组委员;中国医师协会心脏重症专家委员会青年委员;中国医疗保健国际交流促进会胸痛分会常务委员;山东省医学会急诊医学分会委员;山东省医师协会胸痛专业委员会委员;山东省医师协会急诊重症专业委员会委员;山东省医师协会心血管介入医师分会及山东省心血管疾病介入诊疗技术质量控制中心秘书;美国心脏协会“基础生命支持和高级心血管生命支持”培训导师等。主要从事心血管急症的抢救与诊治,尤其是冠心病及心脏瓣膜病的介入诊疗工作。研究方向:急性心肌梗死和心肌重构的基础及临床研究。目前主持国家自然科学基金2项及省部级课题3项,先后在国内外核心期刊发表论文20余篇,SCI收录10余篇。获省部级奖励3项。

