经典病例
2022年2月19日,襄阳市中心医院成功完成一例极高难度介入主动脉瓣置换术 (TAVR)。患者主动脉瓣重度钙化狭窄合并Type0型二叶瓣以及70度横位心。手术过程中患者一度出现循环崩溃,然而在医院多学科的共同协助配合下,心脏团队迅速调整预案,与时间赛跑,从死神手中抢人,最终转危为安,成功完成手术治疗,目前患者恢复良好,无传导阻滞等相关并发症,该手术也是襄阳地区虎年首台使用VitaFlow®系列瓣膜完成的TAVR手术。
病史简介
患者:男,70岁。
主诉:间断胸闷、气短6年,加重1月余,反复活动量大后感胸闷气短不适,位于心前区及胸骨后,持续半分钟至1分钟左右,休息后可缓解,伴心慌、乏力不适,曾多次在心内科住院治疗,给予抗血小板聚集、调脂、拮抗心室重构、扩管、改善循环等对症治疗后好转出院。近1月余感上述症状加重,伴夜间阵发性呼吸困难、纳差,偶有反酸、恶心不适,活动耐力明显下降,平地走路数十米即感不适,休息数分钟后可缓解,现为进一步诊治,门诊完善新型冠状病毒核酸检查后以“心脏瓣膜病、冠心病,不稳定型心绞痛”收入襄阳市中心医院心内科。
术前检查
心脏彩超
2022年1月25日超声图像
主动脉瓣峰值流速:4.14M/S;平均跨瓣压差:69mmHg;左室射血分数EF值:29%。
2022年2月13日超声图像
主动脉瓣峰值流速:4.59M/s;
升主动脉内径:55mm;
平均跨瓣压差:84mmHg;
左室射血分数EF值:46%;
主动脉瓣增厚,回声增强,瓣叶形态显示不清,瓣膜开放明显受限;
升主动脉瘤形成;心包积液;
主动脉瓣口左室流出道侧见舒张期轻度反流信号。
诊断:主动脉瓣重度狭窄。经团队讨论和患者家属商议后决定,行TAVR手术治疗。
主动脉CT
主动脉瓣环周长79.6mm(平均直径25.4mm),流出道周长87mm(平均直径27.7mm),左冠高度:15.2mm,右冠高度:14mm,主动脉窦宽26.7mm/40.1mm、STJ周长:133.8mm(平均直径42.6mm)高度24.1mm,升主动脉周长:165.5mm(平均直径53mm)。
主动脉根部
入路情况
横位心角度:70度
钙化情况:3D重建
钙化积分:510
手术治疗策略
手术风险评估和手术策略
术前心血管内科、心胸外科、超声科、麻醉科、体外循环、介入室等科室进行了术前讨论和术前策略分析:该患者为二叶式主动脉瓣,Type 0型。瓣叶重度钙化,钙化主要分布瓣叶、瓣叶交界。考虑患者主动脉瓣膜二叶式畸形,钙化严重,而且横位心角度较大(70度)。
综合评估选择22mm球囊,TAV27瓣膜。如22mm球囊预扩张无明显腰征,且有明显瓣周反流,选用TAV27瓣膜。入路两侧股动脉轻度迂曲,左侧髂总均有钙化斑块。入路直径大于7mm,入路以右路为主,用22F大鞘。该患者年前超声报告提示EF值只有29,术前超声提示EF恢复到46,且升主和STJ增宽明显,考虑可能出现循环崩溃情况,提前做好相关预案。
循环崩溃高危预案
1.低流速低压差患者,预装ECMO辅助循环下,开展TAVR。
2.术前预装瓣膜,在球囊扩张完后,瓣膜尽快到位并释放,然后快速CPR,并升压药辅助。
3.术中超硬导丝跨瓣后或球囊跨瓣后即可能出现低血压,球扩后左室空虚也容易出现低血压。采取策略包括:
(1)充分补液使CVP达到15mmHg左右,保持足够的前负荷;(2)在超硬及球囊跨瓣后给与左室足够长的时间适应急性主瓣反流;(3)出现低血压时,逐渐上调正性肌力药至血压稳定后再行球囊扩张。
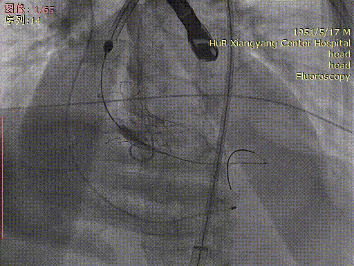
术中操作

主动脉根部造影

房间隔穿刺跨瓣
按压下完成球囊预扩
按压下完成瓣膜释放
释放后恢复心跳

最后造影
术中精彩瞬间
术后患者情况
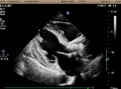
心脏彩超
2022年2月24日术后超声图像
术后改善明显:
主动脉瓣峰值流速从4.59M/s降至2.12M/s;
平均跨瓣压差从84mmHg降至18mmHg;
升主动脉内径从55mm降至52mm
左室射血分数EF值从46%升至52%
患者术后状态
术后即刻效果良好
术后第5天患者顺利出院
术后总结
高难度高风险的病例充分体现了TAVR团队过硬的心理素质、良好的操作技术和强大的团队配合能力。
术后心内科朱锐主任介绍,重度主动脉瓣狭窄患者后期易反复出现活动时胸闷、胸痛、呼吸困难及晕厥,有些患者伴有严重心衰,生活质量极差。传统的外科开胸手术创伤较大,恢复时间长,而TAVR即经导管主动脉瓣置换术创伤小,无需体外循环及输血,术后恢复快。主要适用于重度主动脉瓣狭窄或关闭不全患者,但开展TAVR手术,需要多科室相互协作及术后优秀监护团队帮助患者度过术后康复期。
心内科吴校林副主任表示,这例高难度的TAVR手术是在医院多科室支持及协助下完成,特别是得到心外科、麻醉科及超声科的大力帮助。同时,也感谢患者及家属对我们的信任。该患者为主动脉瓣重度狭窄,症状明显头晕、黑矇症状明显,TYPE 0型二叶瓣,瓣叶重度钙化,有瓣膜移位风险;及升主明显扩张,根部钙化重,叠加70度横位心,会导致导丝跨瓣、瓣膜释放困难,患者心功能EF值29%,心脏功能储备极差,极易发生循环崩溃,球囊预扩张、释放瓣膜均可导致低血压及循环崩溃风险。
CT检查结果显示病例高难度、高风险的解剖特点,因此决定完成这台TAVR手术,无疑对术者和团队的手术经验、技术及合作默契都提出了极高的要求。术前-需要充分评估和制定手术策略。术中-需要尽可能降低球扩时、以及放瓣时循环崩溃的风险,以妥善从容处理术中各种潜在问题,是这一台手术成败的重中之重。
术者介绍
朱锐
襄阳市中心医院
主任医师、教授 、医学硕士,襄阳市中心医院心内科主任。
襄阳市医学会心血管病学分会主任委员,襄阳市心血管疾病介入诊疗技术质量控制中心主任,中华医学会心血管病学分会大血管学组委员(第11届),湖北省医师协会心血管内科医师分会委员(第1届),湖北省预防医学会心血管疾病预防与控制专业委员会委员,湖北省中西医结合学会心血管病专业委员会委员,襄阳市中心医院名医。
擅长心血管内科疾病的诊断和治疗,有较高的心血管疾病介入诊断与治疗技术水平,擅长急危重症心血管疾病的诊断和抢救,尤其擅长复杂冠心病经皮球囊扩张+支架置入术、主动脉夹层腔内隔绝术、快速心律失常的射频消融、起博器植入介入治疗。
吴校林
襄阳市中心医院
医学博士,副主任医师,襄阳市中心医院心内科副主任。
襄阳市心血管内科专业委员会秘书,襄阳市心血管病专科分会青年委员会组长,湖北省微循环学会委员,湖北省急性心血管疾病医疗救治中心委员,襄阳市心电生理与起搏专业委员会委员。
擅长心血管急危重症诊治,复杂冠脉介入治疗、起搏器置入、TAVR等,曾在复旦大学附属中山医院进修心脏介入、意大利米兰尼瓜尔达医疗中心研修,主要从事冠心病的介入治疗和机制方面的研究,目前申请国家自然科学基金和湖北省自然科学基金各一项,湖北省卫健委项目一项,参与国家自然科学基金一项,截止目前共发表学术论文30余篇,其中SCI论文7篇,还获得襄阳市科技进步奖二等奖一项。