2022年2月20日,延安大学咸阳医院吴栋梁院长、李新国主任带领团队成功完成医院第一台经导管主动脉瓣置换(TAVR)手术,救治一位81岁高龄主动脉瓣狭窄患者,手术圆满结束,瓣膜植入后即刻血流动力学改善,为患者带来生存获益。经导管主动脉瓣置换术是当前结构性心脏病领域介入治疗的热点,在吴院长的带领下,积极组建了涵盖心内科、心外科、麻醉及超声等多学科的心脏团队,迎接介入治疗的全新时代。此次手术由沛嘉医疗的第二代可回收主动脉瓣系统TaurusElite保驾护航,为最终手术效果带来了理想的结局。
患者基本信息:
男性,81岁,主诉“反复晕厥1年,加重半月”入院。超声检查Vmax = 4.69m/s ,Pgmain = 54 mmHg,EF 60%,诊断为重度主动脉瓣狭窄。
术前CT评估:
主动脉根部评估:
冠脉评估:
钙化评估:
重度钙化,左冠窦钙化延伸至LVOT水平
血管入路评估:
术前分析讨论:
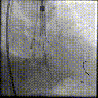
手术影像记录:
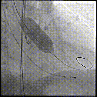
主动脉根部造影
22mm球囊预扩
输送器顺利过弓跨瓣
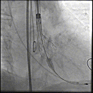
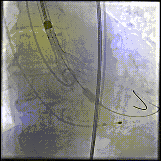
瓣环零位定位释放
第一次释放到工作位
工作位造影位置偏深
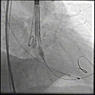
完全回收再次定位
第二次释放到工作位,位置理想
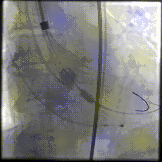
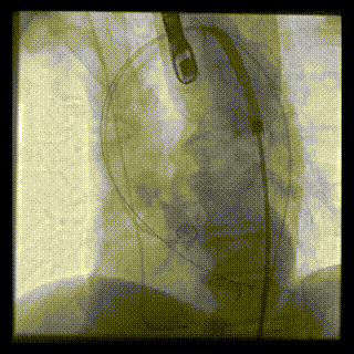
瓣膜完全释放
瓣膜完全释放后造影
外周造影
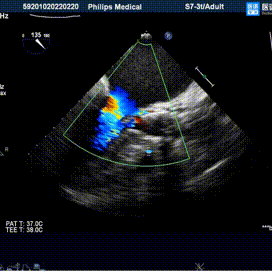
植入后评估:
植入后血流动力学改善明显
专家寄语:
TAVR手术在全世界已经有二十年的发展历史了,在国内也有了近十二年的发展,随着医生观念和手术器械进步,最开始只有国内知名医院才能开展TAVR,到现在地区级医院也能开展,这样的发展趋势符合潮流,也为广大患者带来了最大的获益,无需长途跋涉,在家门口就可以得到救治。得益于可回收产品可以缩短学习曲线的优势,今后我们的TAVR可以快速发展成熟,给患者多一个选择,免受传统开刀换瓣的痛苦。当前心脏瓣膜病的介入治疗除了主动脉瓣产品较为成熟,其他二尖瓣、三尖瓣的治疗产品普及开来还有一些难度,我们期望国内的医疗科技企业,能够坚持创新,带来利于技术普及的治疗产品,惠及千千万万的心脏瓣膜病患者。
专家简介
吴栋梁
延安大学咸阳医院
教授 ,延安大学咸阳医院心血管病院院长、胸痛中心总监、心源性脑卒中防治基地主任委员、中国老年保健医学研究会心脏学会常务委员、中国心胸血管与麻醉学会基层心血管分会常务委员、中国人体健康科技促进会结构性心脏病专业委员会常务委员、中国医师协会整合医学分会第一届委员会整合心血管病专业委员会委员、中国老年医学学会心血管分会第二届委员会委员、陕西省医师协会心血管内科医师分会副主任委员、继续教育学组组长、陕西省心血管专科联盟常务理事、陕西省房颤联盟副理事长、西安市医学会结构性心脏病分会副主任委员兼秘书、陕西省冠脉介入诊疗质量控制专家组常务专家组成员、中国医师协会陕西心健康公益大使、咸阳市医学会心血管分会副主任会员、延安大学咸阳医院心血管学科奠基人、陕西省心血管重点学科带头人、咸阳市心血管介入治疗开创者。
李新国
延安大学咸阳医院
副主任医师,延安大学咸阳医院CCU副主任。中国心电学会会员,咸阳市心血管疾病质量控制中心专家成员,延安大学咸阳医院胸痛中心委员。2007年-2008年进修于唐都医院心脏内科,2013-2014年进修于西京医院心脏内科,参加全国第11-12期心血管介入诊疗培训班,获冠心病及心律失常介入诊疗资质。擅长心血管急危重症患者救治及介入治疗,获咸阳市科技进步二等奖,在核心期刊发表论文数篇。

