2022年2月20日,宁夏医科大学总医院心脑血管病医院仇玉民主任及刘志军主任、胡光欣医师,领衔心脏中心多学科团队,成功完成首例经导管主动脉瓣植入(TAVR)手术,为一位78岁高龄主动脉瓣狭窄患者完成主动脉瓣置换,获得“心生”。仇玉民主任是享负盛名的心脏介入专家,紧随着结构性心脏病介入治疗发展的热点,联合国内TAVR经验丰富的术者,一举在心脑血管病医院开展TAVR技术,揭开了医院心内科团队结构性心脏病领域诊疗的新篇章。此次手术由沛嘉医疗可回收主动脉瓣系统TaurusElite保驾护航,瓣膜植入后血流动力学即刻改善,据悉患者术后恢复良好,生活质量改善巨大,带来了长期生存获益。
患者基本信息:
男,78岁,因“发作性胸痛10余年,加重2月”入院。超声检查主动脉瓣Vmax = 4.1m/s ,PGmain=41 mmHg,EF值60%,诊断为重度主动脉瓣狭窄。
术前CT评估:
主动脉根部评估:
三叶式主动脉瓣,LVOT收口型,横位心。
冠脉评估:
冠脉开口高度可,左冠瓣叶长于开口下缘到附着点距离。
钙化评估:
重度钙化,集中分布于左冠窦、右冠窦内。
入路评估:
外周血管内径可,走形适宜;主动脉弓宽度、夹角可。
CT评估分析
术前病例讨论及专家授课
术前病例讨论:
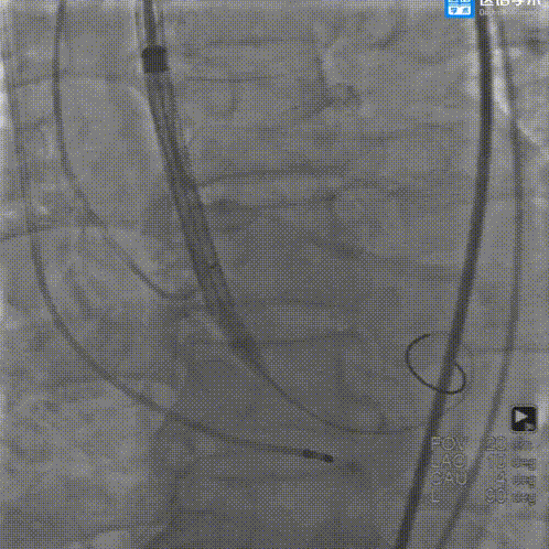
手术影像记录:
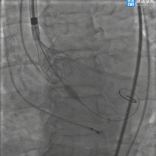
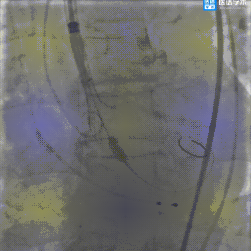
主动脉根部造影
导丝跨瓣
22mm球囊预扩

输送器顺利过弓
瓣环零位定位瓣膜
瓣膜释放到工作位
工作位造影评估
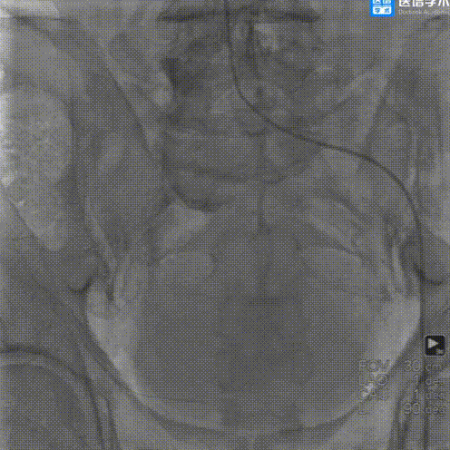
超声下评估植入深度

完全释放瓣膜
完全释放瓣膜后造影评估
外周造影评估
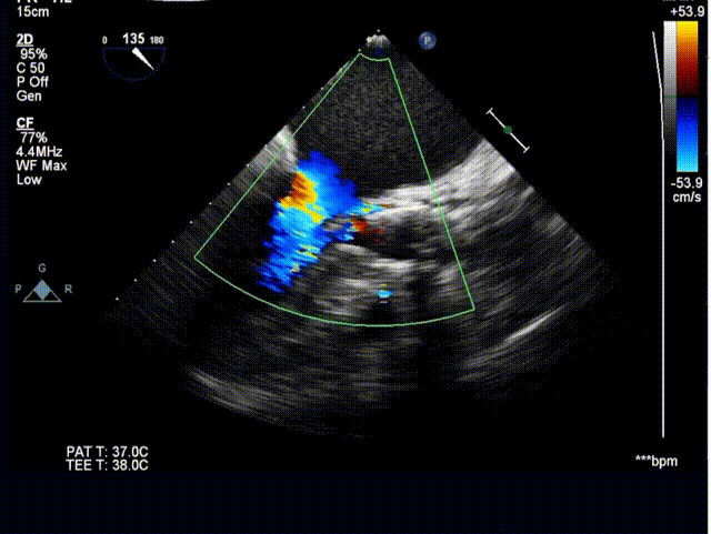
植入后超声评估:
跨瓣压差:
术者寄语:
很高兴有这样一个机会,我们中心也成功开展了TAVR技术。心脏瓣膜病在现今社会越来越常见,其中针对主动脉瓣狭窄的介入治疗,已经有了非常成熟的技术,利于这一项技术普及。此次使用的沛嘉TaurusElite系统,可回收的功能也增强了我们首次开展的信心。相信在今后,凭借着这种成熟的可回收技术,TAVR在我们中心可以快速发展,来挽救更多患者。
专家简介
仇玉民
宁夏医科大学总医院心脑血管病医院
仇玉民,现任宁夏医科大学总医院心脑血管病医院心内科科主任,主任医师,中华医学会宁夏心血管分会专业委员会委员,中国心律失常联盟宁夏专业委员会委员,先后多次在国内外学习本专业的各种高精尖技术。
专业特长:长期从事心血管病领域的临床及科研教学工作,目前开展的介入手术包括:冠状动脉介入治疗(PCI),血流储备分数测定(FFR),血管内超声检查(IVUS),经皮冠脉内旋磨术,经皮周围动脉腔内成型术,三腔(CRT及CRTD)起搏器、率先在区内开展逆向导丝技术治疗冠脉慢性闭塞病变,及植入首例拥有床旁监测功能的埋藏式心脏转复除颤器(ICD)。复杂冠脉疾病的介入术、复杂心律失常的射频消融等,手术成功率达国内先进水平。先后在核心期刊发表论文10余篇,参与并主持宁国家自然科学基金的研究。
刘志军
宁夏医科大学总医院心脑血管病医院
宁夏医科大学总医院心脑血管病医院心内科副主任医师,中华医学会老年医学分会第八届全国委员,宁夏医学会老年医学分会第一届委员会秘书,第二届委员会副主任委员兼秘书,中国医师学会老年医学科分会第一届委员会副主任委员兼秘书,宁夏医学会心血管病分会第一届青年委员会委员,国际心律失常联盟宁夏地区委员,中国医师学会心血管分会心律失常专委会委员,《中华老年心脑血管病》和《宁夏医科大学学报》编委,发表论文10余篇,参编专著5本。
胡光欣
宁夏医科大学总医院心脑血管病医院
宁夏医科大学总院心脑血管病医院心血管内科,重庆医科大学七年制硕士毕业,主要从事冠脉介入,电生理及左心耳封堵治疗。参与省级课题1项,主持校级课题1项。新技术新业务5项,发表学术论文6篇。


