2022年1月28日,四川大学华西医院心脏内科陈茂教授、冯沅教授联合心脏外科、麻醉科组成的多学科团队使用Peijia HighLife TSMVR系统完成第二例经股静脉房间隔二尖瓣置换术, 这也是TSMVR技术在亚洲的第二例临床应用。手术过程顺利,至关重要的导丝成环步骤一次成功,仅耗时30多分钟,整个手术耗时约2小时20分钟,较第一例手术时长显著缩短。人工瓣膜植入后位置理想,形态良好,术后即刻二尖瓣返流完全消失,无左室流出道梗阻。本次手术进一步验证了该产品的易操作性,术者能较快缩短学习曲线,并随着手术流程的不断优化和标准化,手术时间可显著缩短。
患者基线
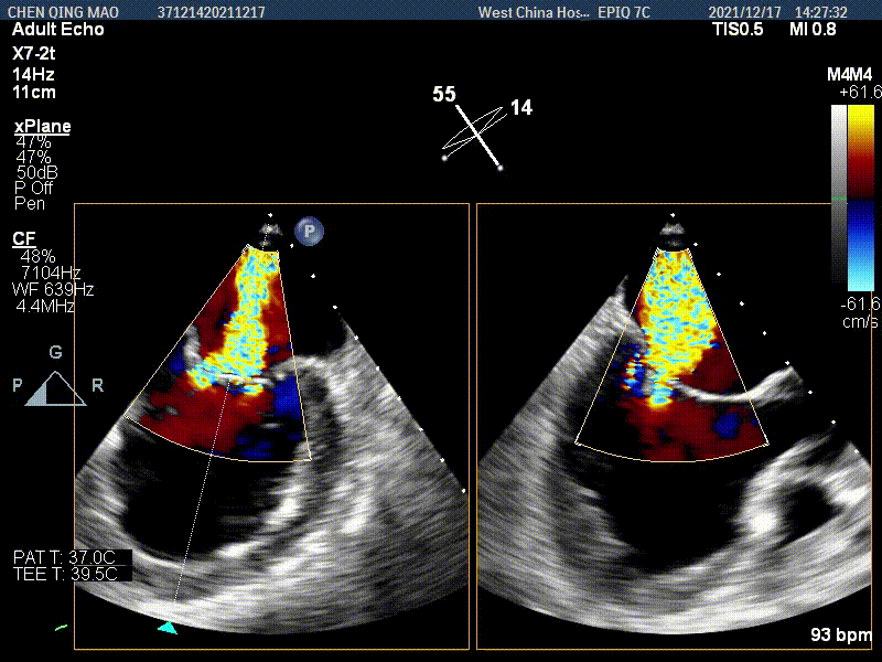
该例患者为66岁老年女性,体格瘦小、虚弱,因劳力性呼吸困难等心力衰竭症状就诊,既往有持续性房颤病史,经充分优化药物治疗后仍有相关症状。超声心动图提示重度二尖瓣返流(MR 4+),有效返流口面积为0.51cm²,返流量67mL,瓣口面积为4.8cm²;轻度三尖瓣返流;LVEDD 60mm,LVESD 52mm,LVEF 37%。诊断考虑为扩张型心肌病、功能性重度二尖瓣返流(Carpentier IIIb型)、心房颤动、心力衰竭(HFrEF)。多学科团队讨论后认为其有二尖瓣干预指征,外科手术风险高危,决定使用Peijia HighLife TSMVR系统行经股静脉房间隔二尖瓣置换术。
术前经食道超声评估
手术策略
术前,陈茂教授带领团队通过详细的CT测量分析,判断评估患者术中风险并规划手术策略。通过CT影像分割三维二尖瓣瓣环、测量其径线、计算二维投影径线并模拟植入Peijia HighLife TSMVR瓣膜,预判人工瓣膜与毗邻组织贴靠位置良好且无左室流出道梗阻风险。该例患者心室内肌小梁结构复杂,导丝可能易缠绕,因此术中输送器需要准确保持在合适深度,导丝成环过程中需始终维持高位(靠近二尖瓣环底部位置)环绕二尖瓣瓣叶形成通路,以避免植入固定环时位置靠下导致瓣膜释放时移位。
手术过程
该例手术过程得到加拿大麦吉尔大学医学中心的Nicolo Piazza教授、Jean Buithieu教授的在线远程支持,与陈茂教授团队共同为手术保驾护航。
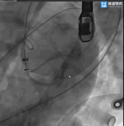
手术采用左侧股动脉入路与右侧股静脉入路,由股动脉入路将环形放置导管输送至瓣下预估并推送出合适角度,在高位开始多角度指引下导丝成环步骤。多学科团队紧密协作,在术前规划的DSA投射体位和梁玉佳教授、魏薪教授的超声引导配合下,术者精细操控,导丝顺利按预期路径环绕二尖瓣瓣叶,导丝成环一次成型,仅耗时30多分钟,建立起固定环植入的重要轨道。

导丝围绕二尖瓣瓣叶成环
固定环植入
固定环位置评估

瓣膜释放

瓣膜最终形态

术后即刻超声评估
术后评价
陈茂教授
这是我们团队应用Peijia HighLife TSMVR系统完成的第二例经房间隔二尖瓣置换术,切实感受到该系统的易操作性、巧思设计和标准化术式步骤对于手术结果与患者获益的保障。本例的Looping时长较第一例缩短了一半时间。“Valve-in-Ring” 非径向支撑力锚定、瓣膜释放时自同轴自适应,使得人工瓣膜与二尖瓣环有良好的贴靠, 术毕二尖瓣返流消失。相信经外周血管入路的二尖瓣置换前景可期,可以为更多二尖瓣返流患者带来治疗的获益。
Nicolo Piazza 教授
未来的展望
经导管二尖瓣置换面临诸多技术难题,例如二尖瓣解剖复杂性与异质性所带来的入路挑战、人工瓣膜锚定和密封困境、左室流出道梗阻风险等。现有经导管二尖瓣置换系统大多数是基于经心尖入路设计和/或主要依靠径向支撑力锚定或密封人工瓣膜,但经心尖入路因其创伤程度相对较大可能减少患者获益,径向支撑力锚定或密封机制影响心肌逆重构,并在工程角度必须使得人工瓣膜尺寸设计较大,导致器械输送困难。
HighLife 经房间隔二尖瓣膜置换系统运用“Valve-in-Ring ”理念,非径向支撑力锚定,尊重原生解剖结构,防止瓣周漏,仅需一个型号适应广泛解剖结构。释放时无需旋转定位或考虑同轴性,释放过程中即可实现自同轴。经股动静脉双入路设计,入路并发症少。可更好地应对经导管二尖瓣置换所面临的技术挑战。该系统在TCT2021和PCR London Valves 2021公开的可行性临床试验初期结果十分鼓舞人心,在中国大陆即将开展NMPA上市前临床试验,预期可为更多二尖瓣返流患者带来治疗希望。
专家简介
陈茂
四川大学华西医院
四川大学华西医院心内科主任,教授、博士研究生导师,国家“万人计划”科技创新领军人才、四川省卫生健康首席专家、四川省卫生计生领军人才、四川省卫生厅学术技术带头人、四川省卫生厅“有突出贡献中青年专家”以及首届“国之名医”荣誉称号获得者。FCSC,FACC,FESC,中华医学会心血管病分会常委,中国医师协会心血管内科医师分会常委,中华医学会心血管病分会结构心脏病学组组长,中国医疗保健国际交流促进会心血管健康医学分会副主任委员,四川省国际医学促进会副会长,四川省医学会心血管病专委会前任及候任主任委员,长城国际心脏病学组委员会县域心血管医师联盟副理事长。PCR—CIT China Chengdu Valves会议、中国中西部心血管病会议执行主席,London Valves会议、Tokyo Valves会议联合国际主席,ESC、PCR、TCT、CSI等会议的专家会员。
研究方向:经导管心脏瓣膜病介入治疗相关基础、应用基础及临床研究。
研究成果发表在European Heart Journal、Nature Review of Cardiology、Radiology、JACC: Cardiovascular Interventions等国际高水平学术期刊上,现以第一作者或通讯作者发表SCI论文148篇。主持国家十三五、十二五、国家自然科学基金等国家级、省部级科研项目多项。获四川省科技进步一等奖、中华医学科技二等奖、四川省医学科技一等奖、四川省科学技术进步二等奖等奖项。主刀完成我国西部地区第一例经导管主动脉瓣置换术(TAVR),TAVR完成例数居全国领先水平。在全国率先开展经导管二尖瓣、三尖瓣及肺动脉瓣介入治疗,完成例数居全国前列。
冯沅
四川大学华西医院
主任医师,研究生导师,华西医院先心病亚专业组长,一级专家,中华医学会心血管病分会结构性心脏病学组委员,中国医师协会结构性心脏病学组委员,中华医学会儿科学心血管学组新生儿心脏协作组副组长,中华医学会心血管病分会第10届委员会肺血管病学组委员,四川省心脏瓣膜联盟副主任委员,亚洲心脏瓣膜病学会中国分会心脏瓣膜病介入治疗技术学术委员会常委。临床经验丰富,诊疗技术水平突出,擅长结构性心脏病(先心病、瓣膜病、肺血管病、肺动脉高压)介入诊疗。领先开展多项新技术和挑战、危重症介入手术,高质量完成从新生儿到超高龄患者的各种心脏、肺血管介入手术6000台。发表SCI文章38篇(IF180+),受邀在国内外数十家著名心脏中心指导开展结构性心脏病介入手术。获得2019年四川省科技进步一等奖。
2020年12月,沛嘉医疗与法国HighLife SAS公司签署关于HighLife TSMVR技术的技术转让许可协议,授权沛嘉医疗在大中华区生产、开发和销售该产品。在协议签署后的一年内, 沛嘉医疗即实现Highlife产品的技术转移、生产并交付Highlife产品支持临床试验的开展,体现出沛嘉医疗的技术与运营实力。至善尽心, 敬畏生命。

