2022年1月21日上午,同济大学附属上海第十人民医院徐亚伟教授团队成功应用新一代可回收瓣膜系统TaurusElite®为一位重度主动脉瓣狭窄患者完成了TAVR手术。这是TaurusElite®上市以来在同济大学附属上海第十人民医院的首次植入,此次接受手术的患者,长期受主动脉瓣狭窄困扰。其主动脉根部钙化分布不均,外周血管明显扩张,使得瓣膜释放过程具有一定挑战性。术后患者症状改善明显,状态稳定。
患者基本信息:
患者为62岁老年男性,因“活动后胸闷气促2月”入院。患者于2月前活动后出现胸闷气短,伴间歇性胸痛,休息后好转,于当地医院就诊无效后,遂慕名自行前来我院就诊。查体:Height:165 cm、Weight: 65kg、BP:102/63mmHg;双肺呼吸音稍粗,未闻及干湿罗音;主动脉瓣听诊可闻及粗糙、高音调的喷射性收缩期杂音,余无特殊。行心电图示:窦性心律、无电轴偏移。心脏超声提示主动脉重度狭窄伴微量反流,二尖瓣少量反流;胸部CT提示左肺慢性炎症改变。遂以“心瓣膜病,心功能不全,冠心病?肺部炎症”收治入院。患者自述既往无慢性病及遗传病史,戒烟多年。
主动脉根部评估:



主动脉弓角度与宽度可,心脏水平夹角54°,近横位心
病例特点:
手术策略讨论:
同济大学附属上海第十人民医院徐亚伟教授团队以及护理团队、心外科、麻醉科、超声科、影像科、呼吸科等多学科进行充分术前讨论分析:
①患者为Type0型二叶式主动脉瓣,瓣叶重度钙化合并增厚,且合并有一定冠脉灌注不良风险,术中球囊预扩应选择小球囊,并在预扩时密切注意根部限制性结构打开情况,及双侧冠脉灌注情况;
②患者瓣上限制性结构集中,须结合术中球扩谨慎选择瓣膜型号,降低因瓣膜压缩导致的位移风险;
③患者弓部血管情况较差,术中必要时应加以Snare辅助输送器过弓;
④患者左室流出道腔内钙化位置敏感,术中须严格控制植入深度。
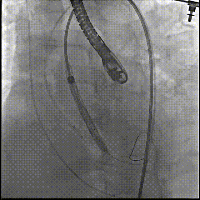
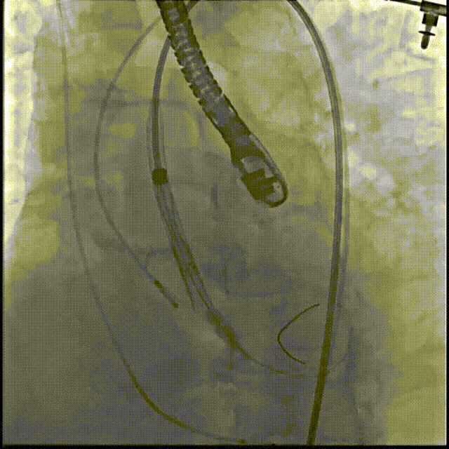
手术过程回顾:
1.以左侧股动脉为辅入路,并在造影指导下穿刺右侧股动脉为主入路;
2.主动脉根部造影,可见瓣口开闭尚可,心室内无反流影,主动脉及心脏受高速血流冲击,位移幅度较大;

3.直头导丝跨瓣,通过交换导丝将猪尾导管引入左室,测得平均跨瓣压差约60mmHg;
4.超声评估示最大流速563cm/s,最大跨瓣压差约127mmHg;
5.180次/分快速起搏下以18mm TaurusAtlas球囊进行预扩张,扩张同时造影无明显腰征,无造影剂渗漏,双侧冠脉显影较清晰;
6.根据术前评估及球囊预扩情况,选择23mm沛嘉TaurusElite瓣膜进行植入,在150次/分保护起搏下0位释放瓣膜;


7.造影评估示瓣膜植入深度、工作形态良好、微量瓣周漏,遂予以全部释放;
8.超声平均跨瓣压差约0mmHg,存在少量瓣周漏,集中于自体瓣膜鱼嘴型开口伴有左室流出道钙化的一端;
9.为求更佳预后,遂选用20mm TaurusAtlas球囊进行后扩;
10.后扩完毕,撤出猪尾导管,造影示瓣周漏改善,手术圆满成功;

术后讨论:
徐亚伟主任寄语:
截至现在,对我国人民生命安全威胁最大的疾病,仍是心血管疾病。其中,主动脉瓣狭窄这一病症,又以其发病后2年生存率不足50%,成为了严重威胁患者生命的一类重疾。以往由于手段有限,对于外科手术高危患者,或者高龄、虚弱的患者,医生常常无法对因治疗,重新为患者打开“心扉”。而自葛均波院士于2011年在国内首度开展TAVR技术后,这项微创、对因、患者接受度高的技术,已成为广大主动脉狭窄患者翘首以盼的救命手段。我院我科历来重视新技术、新疗法的创立与推广,从接触到TAVR技术开始,就不断深入了解技术背景,强化自身开展基础,在较短时间内建立了多学科合作的TAVR常规开展平台。同时,鉴于广大患者群体对主动脉瓣狭窄认识不足,我院我科积极开展患者普及教育,与兄弟科室、兄弟单位同仁并肩协作,最大限度让患者了解主狭、认知TAVR,在具有一定知识储备的情况下自主地决定治疗方案。
本例TaurusElite的完美植入,离不开兄弟科室的通力合作,也离不开患者对TAVR、对上海市第十人民医院的信任。我有幸能与大家一起完成这一例具有挑战性,但最终迎来了完美结果的手术,心中激情澎湃。以此为开端,我及我们多学科合作的平台必将以更高的热情,立即马上绝无停滞地投入向患者答疑解惑、为患者解危纾困的工作中去,将先进的医疗手段,更广泛地覆盖到我们苦于疾病的患者朋友!
专家简介
徐亚伟
同济大学附属上海第十人民医院
主任医师、二级教授、博士生导师、同济大学终身教授、第二届“国之名医”;上海市第十人民医院心脏中心主任、同济大学医学院泛血管病研究所所长;国家重点研发计划项目首席科学家;中华医学会内科学分会副一一主任委员;中国医师协会心血管内科医师分会副会长;上海市医师协会心血管内科医师分会会长;世界华人心血管医师协会常务副会长兼秘书长(WACC);中国医院协会心脏康复管理委员会常务副会长兼秘书长;中国胸痛中心联盟副主席;中国房颤中心联盟副主席;中国房颤中心联盟左心耳封堵工作委员会主任委员;中国房颤中心房颤学院副院长;中国心脏康复联盟执行主席。
陈维
同济大学附属上海第十人民医院
职称:主任医师、教授、硕士生导师
学历:硕士研究生(华西医科大学)
工作单位:上海市第十人民医院、同济大学附属第十医院心内科
职务:心内科副主任
兼职:中国房颤中心联盟第一届左心耳封堵工作委员会常务委员、中国房颤中心房颤学院左心耳封堵技术培训部副部长、中华医学会心电生理和起搏分会第六届委员会左心耳封堵工作委员会委员、中华医学会心血管病学分会第十届委员会结构性心脏病学组委员、中国医师协会重症医学医师分会心脏重症专家委员会常务委员、中国医师协会重症医学医师分会心脏重症专家委员会上海市分会副主任委员、中国医师协会心力衰竭专家委员会常务委员、中国医师协会心血管内科医师分会科普工作委员会、卫生部海峡两岸医药卫生交流协会心血管专业委员会委员、中国老年保健协会心血管专业委员会委员、中国生物工程学会高级会员、上海市生物医学工程学会第六届起搏与电生理专业委员会委员、卫生部十年百项计划血管病变早期检测分中心主任、《中国循证心血管医学杂志》编委、《中华心血管病杂志》审稿人
科研成果:获省部级科技成果一等奖1项,参与国家自然科学基金2项;在国内核心期刊及国外专业杂志上发表论著25篇、主编译专著1部。
专业特长:从事心血管内科专业逾30年,擅长心血管疾病诊治、危重病人抢救、冠心病介入、心脏起搏器安置术、先天性心脏病(如动脉导管未闭、房间隔缺损、室间隔缺损等)经导管介入治疗等。新近在开展的对房颤患者经皮左心耳封堵术、对心肌梗死后室壁瘤形成患者经皮左室重建术等处于国际领先水平。
专利:一种经皮左心耳封堵器械 获中华人民共和国国家知识产权局授予的实用新型专利证书(证书号第4826203号)

