2022年1月26日,浙江大学医学院附属第二医院王建安教授带领团队顺利完成由沛嘉医疗自主研发的TaurusNXT“非醛交联”经导管主动脉瓣系统(干瓣预装载)临床试验分中心首例植入。患者为Type0二叶式主动脉瓣,重度狭窄伴重度钙化,手术经过球囊多次扩张,瓣膜多次回收释放,在心外科、麻醉科等多学科团队的密切配合下顺利完成,术后患者状态良好,心功能改善明显。
患者信息
患者为80岁女性,术前超声心动图提示二叶式主动脉瓣重度狭窄伴轻度关闭不全、瓣叶明显钙化增厚、峰值流速 6.21m/s、平均跨瓣压差 91mmHg、有效瓣口面积 0.18cm²;左心扩大,左心功能减低;二尖瓣退行性病变伴中等量反流;三尖瓣少量反流,肺动脉收缩压中度升高;微量心包积液,LVEF:41.7%。
主动脉根部评估
CT 数据显示该患者为二叶式主动脉瓣
LVOT 周长74.6mm,周长径23.8mm;
SOV 28.7mm*33.8mm;
STJ 短径29.9mm,长径31.6mm;
瓣叶增厚,重度钙化,1075HU:1762mm³;
瓣环水平夹角48度。
左冠开口高度14.2mm,右冠开口高度18.4mm,左右冠脉高度可。
血管外周入路评估
双侧入路血管走形及内径可,整体入路血管条件良好,术中注意轻柔操作。
病例特点
1.患者为二叶式主动脉瓣,重度狭窄伴轻度关闭不全
2.主动脉瓣叶重度钙化伴严重增厚,钙化积分1762
3.双侧入路血管走形及内径可,整体入路血管条件良好
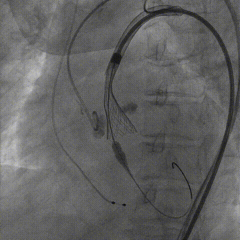
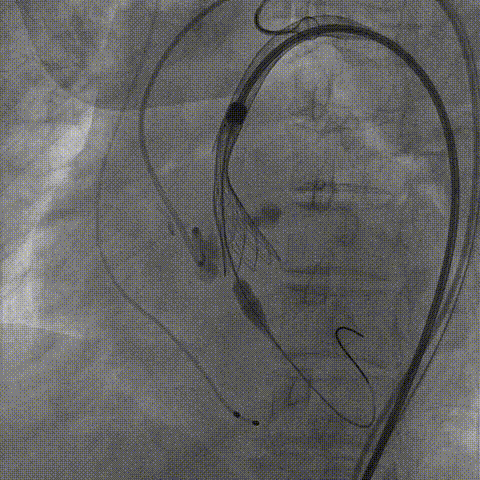
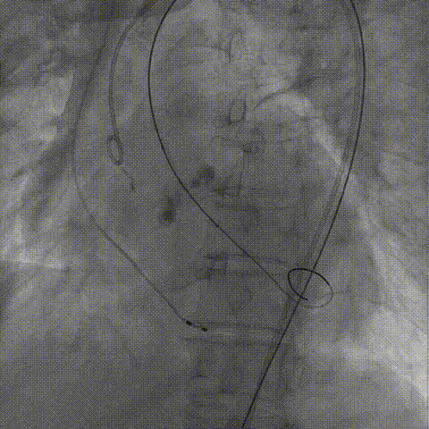
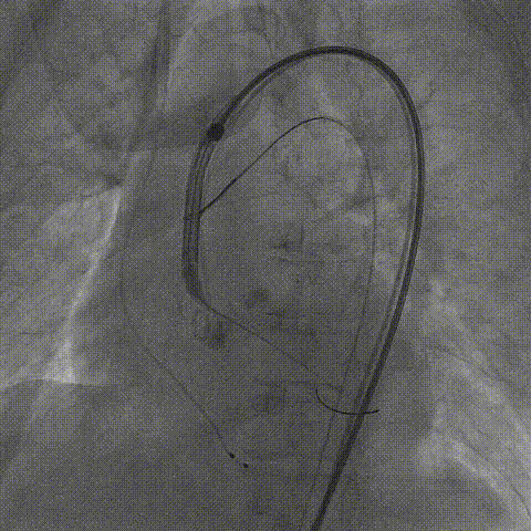
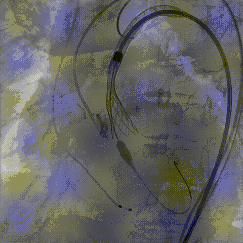
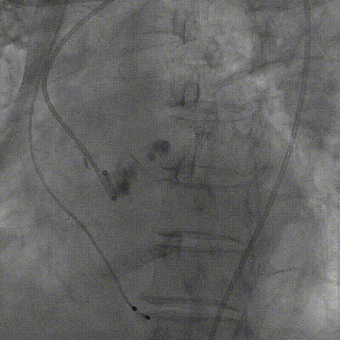
TaurusNXT植入过程
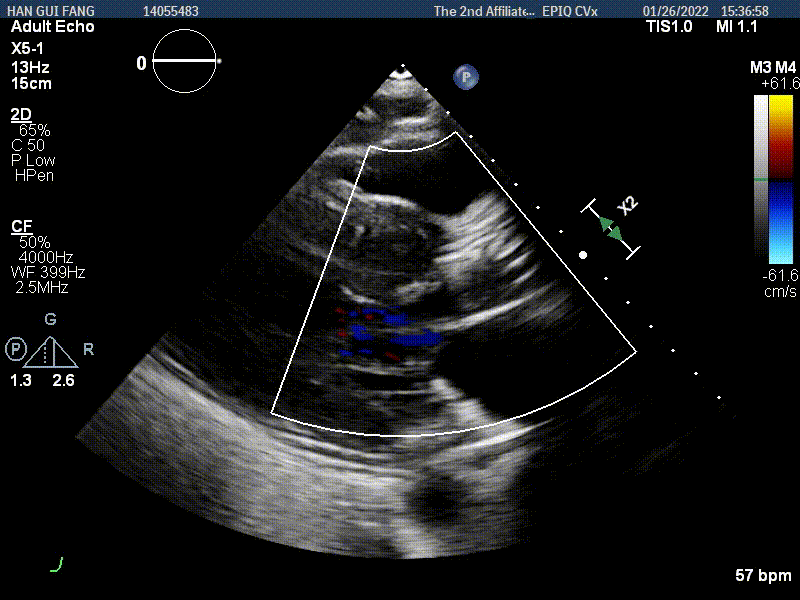
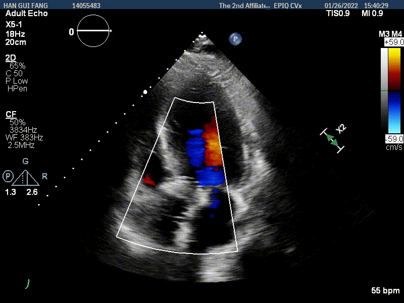
手术使用Z-Med 20mm球囊预扩两次,植入AV23 TaurusNXT主动脉瓣,Snare圈套器协助输送系统过弓、过瓣,120次/分起搏频率下,在左右重合位影像下释放瓣膜达到工作位,造影显示位置偏深,完全回收两次后释放达工作位,造影显示位置仍然不理想,之后第三次使用部分回收,精准释放瓣膜,之后使用Z-Med 20mm球囊后扩张两次。术后即刻超声心动图评估显示瓣膜位置良好,微量瓣周漏,主动脉瓣口峰值流速为1.90m/s,平均跨瓣压差为8mmHg,有效瓣口面积 1.60cm²,血流动力学指标理想。
术中影像
主动脉根部造影
球囊第一次预扩
球囊第二次预扩
Snare协助输送器跨瓣
瓣膜第一次释放至工作位造影
完全回收后瓣膜第二次释放
完全回收后瓣膜第三次释放

部分回收后瓣膜定位释放

球囊后扩张
瓣膜最终造影
超声影像
沛嘉医疗专注于结构心脏病介入治疗解决方案的自主研发与创新,以至善尽心、呵护生命为理念,致力于不断推出适合于中国患者惠及世界的高品质医疗产品,救治上千万心脏瓣膜疾病患者是我们不懈努力的方向。在中国,为中国,惠世界。