2022年1月16日,青海省人民医院心外科王强主任团队成功完成TaurusElite®可回收主动脉瓣系统在青海省的首例植入,为一位患有重度主动脉瓣狭窄疾病的患者带来“心”生。此次手术患者伴有高度双冠脉闭塞风险,术前心外科团队联合心内科、超声科、麻醉科对患者病情进行全面评估,术中多学科密切的配合以及医院心内科团队的特别支持,手术进展一帆风顺,为患者带来极大裨益,沛嘉医疗可回收TAVR系统的使用,也为手术提供了强力的保障。
患者基本信息:
患者女性,因“间断心慌、胸闷、气短,伴头晕、头痛3个月”入院。心脏超声检查主动脉瓣血流 Vmax=4m/s,跨瓣压差64mmHg,EF 64%,诊断为重度主动脉瓣狭窄。
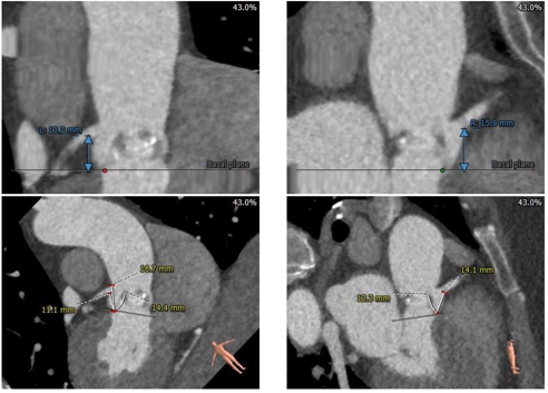
术前CT评估:
主动脉根部:
三叶式主动脉瓣,瓣环直径约22.5mm,LVOT呈收口型STJ、升主动脉内径可,非横位心,瓦氏窦较小。
冠脉测量:
左、右冠脉开口高度尚可,瓣叶长于冠脉开口下缘
钙化测量:
轻度钙化,左、无窦瓣叶纤维融合
入路测量:
股动脉入路可
风险评估:
• 三叶式主动脉瓣,瓣叶增厚,轻度钙化,收口型LVOT,锚定难度适中,存在瓣膜移位风险
引经据典辅决策:
术前CT评估作为TAVR手术重要的一环,不仅指导手术策略的选择,也可提示可能遇到的风险。本例患者结合冠脉开口、原生瓣叶长度及瓦氏窦较小等因素,术者团队认为冠脉闭塞风险可能是本次手术最大的挑战。对于此种情形的冠脉风险,已有报道给出了其发生机制。
冠脉闭塞发生机制(引自Mercanti,F.etal.JAmCollCardiolIntv.2020;13(6):751–610)
为了预防TAVR术中冠脉闭塞的发生,烟囱支架技术被广泛应用,并被证实是安全可行的。
(引自Mercanti, F. et al. J Am Coll Cardiol Intv. 2020;13(6):751–610)
在人工瓣膜植入前,先将未展开的冠状动脉支架放入存在冠脉闭塞风险的冠脉中段。当人工瓣膜植入后,评估冠脉血供情况。若发现冠状动脉开口闭塞,则将未展开的冠状动脉支架撤出冠状动脉口,保证近端处于自体瓣膜上方,然后展开支架。支架释放后,再次评估冠脉血供,这便是烟囱支架技术。通过国际注册研究数据显示,烟囱支架技术安全可行。
TAVR患者1年生存曲线
(引自Mercanti, F. et al. J Am Coll Cardiol Intv. 2020;13(6):751–610)
基于术者经验及循证证据的支持,最大程度的避免冠脉阻塞发生,手术团队将在冠脉支架保护下开展TAVR。
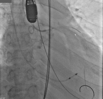
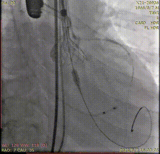
手术影像记录:
植入前冠脉造影
主动脉根部造影
直头导丝跨瓣
20mm球囊预扩
冠脉保护支架植入
AV23瓣膜释放到工作位
瓣膜完全释放
冠脉支架释放
植入后造影
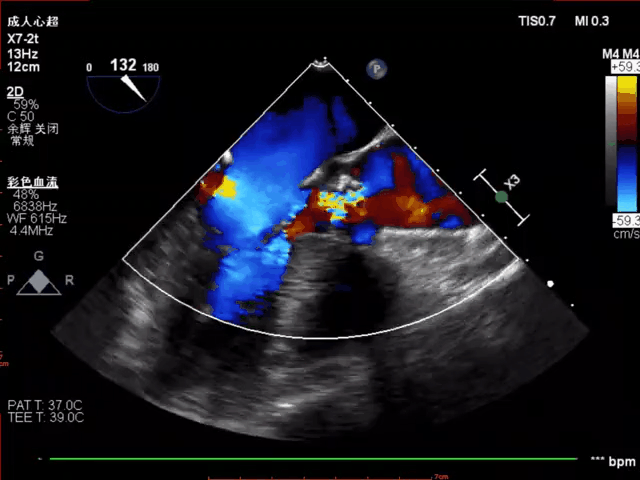
植入后超声评估:

超声评估血流动力学改善明显
专家简介
王强
青海省人民医院
主任医师,毕业于青海大学医学院,青海医学会胸心外科分会委员,从事心脏外科工作二十余年,擅长小儿心脏外科手术,心脏瓣膜病、心脏大血管及复杂先天性心脏病手术治疗。在国内核心期刊发表各类学术文章二十余篇。
刘刚
青海省人民医院
青海省人民医院心脏大血管外科,副主任医师,毕业于武汉大学,从事心胸外科临床工作17年。擅长心脏瓣膜病、冠心病、先天性心脏病、心力衰竭、胸部肿瘤等疾病的外科治疗,尤其擅长心胸外科微创手术及急危重症的救治。

