2022年1月15 日,楚雄彝族自治州人民医院张远飞主任团队使用TaurusElite®成功治疗了一名重度主动脉瓣狭窄患者,该病例瓣叶分型为Type0型二叶瓣,同时瓣叶增厚,轻度钙化,横位心等特点使该手术极具挑战,而在团队专业、默契的配合下手术顺利完成,患者主动脉瓣压差迅速从86mmHg降至10mmHg血流动力学的得到明显改善,为患者带来更长久生存期受益和更高生活质量。
患者基本信息:
患者68岁,女性,因“气促、呼吸困难”入院。超声提示:主动脉瓣重度狭窄并轻度关闭不全,升主动脉增宽,二尖瓣少量反流,跨瓣压差68mmHg,EF:67.61% 。
术前CT评估:
1.Type0型二叶式主动脉瓣,轻度钙化,钙化主要沿左冠窦瓣叶外侧边缘分布,瓣叶增厚,左冠窦瓣叶根部纤维赘生。
2.左右冠开口高度尚可,切线位右窦瓣叶长度>瓣叶附着缘到冠脉开口距离。
3.瓦氏窦内径,窦管交界、升主动脉内径可。
4.流出道呈收口状,收缩期小左室,心肌增厚,主动脉弓距及弓部夹角可。
5.双侧股髂动脉未见明显迂曲,髂外动脉管腔内径偏细,整体血管条件良好。
主动脉根部评估:

根部概览
瓣上评估:
外周血管及主动脉弓解剖:
评估与讨论:
1.Type0型二叶式主动脉瓣,重度钙化,钙化分布相对均匀,综合预估存在人工瓣膜形变、瓣环撕裂及根部损伤风险;并且受瓣口形态限制及瓣叶钙化粘连影像存在人工瓣膜向下移位风险,瓣膜锚定难度适中,存在瓣周漏风险。
2.冠脉开口高度可,结合瓦氏窦、STJ内径及钙化粘连情况综合预估冠脉开口堵塞风险不高,术中关注冠脉血流灌注。
3.横位心,主动脉弓距和弓部夹角尚可,预计输送系统可顺利过弓、跨瓣,备Snare辅助。
4.外周入路走行未见明显扭曲,综合评估血管并发症风险不高,入路穿刺规范操作,小心通过,避免血管损伤及相关并发症。
手术过程概览:
主动脉根部造影
20mm球囊预扩,右冠灌注不理想
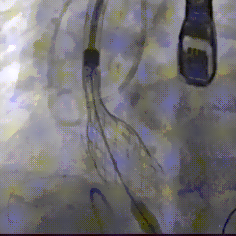
行烟囱支架技术,瓣膜定位
第一次释放瓣膜,工作位评估
第二次瓣膜释放,工作位评估
瓣膜最终位置
术后即刻评估:
术后压差从86mmHg降至10mmHg无瓣周漏,瓣膜正常工作,血流动力学即刻得到改善。
专家简介
张远飞
云南楚雄彝族自治州人民医院
46岁,副主任医师,1999年毕业于大理医学临床医学。现任云南楚雄彝族自治州人民医院心内三科主任。楚雄州中青年学科带头人。曾到北京阜外医院、上海复旦大学附属中山医院、浙大二院、昆明医科大学第一附属医院、云南大学附属医院、昆明医科大学附属延安医院进修学习。
