2022年1月14 日,云南大学附属医院张新金教授团队成功独立完成了TaurusElite®经导管主动脉瓣系统上市后的首次植入,该病例极具挑战,该病例为Type0型二叶瓣,重度钙化,瓣叶增厚,横位心,术中使用的TaurusElite®的可回收功能进行了瓣膜的再次精准定位,为手术成功率提供了保证,患者植入人工瓣膜后主动脉瓣压差迅速从108mmHg降至6.84mmHg,血流动力学的得到明显改善,为患者带来更长久生存期受益和更高生活质量。
患者基本信息:
患者69岁,男性,因“气促、呼吸困难半年”入院。超声提示:主动脉瓣重度狭窄并轻度关闭不全(瓣膜钙化明显),二尖瓣轻度反流,压差:124mmHg,峰值流速5.57m/s,EF:63%。
术前评估:
1.主动脉瓣瓣环周长88.6mm,平均周长径28.2mm。
2. Type0型二叶式主动脉瓣,左右冠脉不同窦,重度钙化,钙化分布均匀。
3.冠脉开口高度可,切线位测量右冠窦瓣叶略长于右冠开口下缘到瓣叶附着缘距离
4. 瓦式窦、窦管交界、升主动脉内径适中
5. 瓣环水平夹角63°,横位心,主动脉弓角度偏锐
6.双侧外周入路行走适宜,未见明显迂曲,右侧髂总动脉存在散在钙化,整体血管条件良好
病例特点:
该病人为一例典型Type0型二叶式主动脉瓣重度狭窄并横位心患者,结合瓣叶及瓣叶钙化情况,人工瓣膜跨瓣及定位难度较大。
1.重度钙化,钙化分布相对均匀,锚定难度适中,存在移位和瓣周漏风险
2.冠脉开口高度可,结合瓦氏窦、STJ内径及钙化分布情况综合预估冠脉开口堵塞风险不高
3.横位心,主动脉弓宽度可,主动脉弓夹角偏锐,预估过弓及跨瓣难度增高,建议轻柔过弓
4.外周入路走行未见明显扭曲,综合评估血管并发症风险不高,入路穿刺规范操作,小心通过,避免血管损伤及相关并发症。
主动脉根部评估:
根部概览
瓣上评估
外周血管及主动脉弓解剖
手术策略讨论:
1.推荐右侧股动脉为主入路,左侧辅助入路,20F血管鞘
2.根据当前影像资料及测量数据,推荐LAO 19° CRA19°(双窦展开)左右跨瓣
3.推荐选择23mm球囊预扩张,预扩角度为RAO7°CRA30°(左冠切线位)左右
4.预装AV29瓣膜,推荐瓣环下0位释放,释放角度LAO19°CRA19°(双窦展开位)左右,建议释放至工作位(瓣膜2/3高度)后,调整RAO7°CAU30°(正交位)左右进一步确定冠脉灌注及人工瓣膜展开形态;建议充分利用瓣膜系统部分及完全可回收功能,确定瓣膜基本稳定及瓣周漏效果后再完全释放。
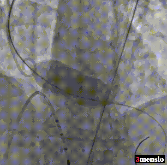
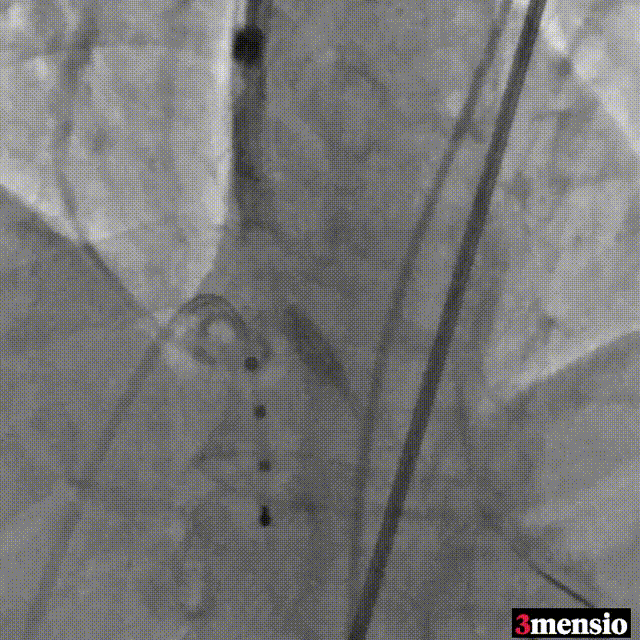
手术过程概览:

主动脉根部造影

23mm球囊预扩

第一次瓣膜释放,瓣膜回跳

回收瓣膜

第二次瓣膜释放,工作位评估

瓣膜稳定脱钩
瓣膜最终位置
术后即刻评估
术后压差从108mmHg降至6.84mmHg,无瓣周漏,瓣膜正常工作,血流动力学即刻得到改善。
专家简介
张新金
云南大学附属医院
医学博士,教授,主任医师,硕士研究生导师,国家卫生健康委冠心病介入诊治技术培训基地负责人及导师,云南省中青年CTO俱乐部主席,云南大学附属医院心血管病中心副主任。
中国医师协会心血管内科医师分会转化医学委员会委员,中国医师协会中西医结合分会心脏介入委员会委员,云南省医师协会胸痛委员会副主任委员,云南省医学会心血管病学分会常委,云南省医师协会心力衰竭分会常委,云南省医师协会心血管内科医师分会委员。
2008年毕业于华中科技大学同济医学院,获心血管内科学博士学位。主要从事冠心病及结构性心脏病的诊治,擅长各种复杂冠心病介入及先心病、瓣膜病的介入治疗。研究方向为冠心病相关的基础和临床,主持国家自然科学基金1项,省自然科学基金1项,作为主要研究者参与省级以上基金4项。已培养毕业硕士研究生20余名。
