2022年01月11日,厦门大学附属心血管病医院王焱教授领衔的结构性心脏病团队顺利完成由沛嘉医疗自主研发的TaurusNXT“非醛交联”经导管主动脉瓣系统(干瓣预装载)临床试验分中心首例植入。患者为三叶式主动脉瓣,瓣叶轻度钙化,左右冠开口钙化严重,双侧入路血管严重迂曲。手术在麻醉科、超声科、心外科的大力支持下,由王焱教授、王斌教授、陈翔教授首先实施冠脉介入(PCI)治疗,随后实施经导管主动脉瓣置换(TAVR)手术,一站式手术一气呵成,经过顺利,手术取得圆满成功。手术后患者状态良好,血流动力学均得到显著改善。
患者信息:
患者为79岁男性,术前超声心动图提示三叶式主动脉瓣重度狭窄伴中度关闭不全、瓣叶明显钙化增厚、峰值流速 3.63m/s、平均跨瓣压差 33mmHg、有效瓣口面积 0.9cm²;左心扩大,室间隔增厚;二尖瓣中轻度反流、三尖瓣轻度反流;LVEDd:59mm,LVEF:53%。
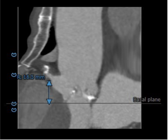
主动脉根部评估:
血管外周入路评估:
病例特点:
PCI植入过程:
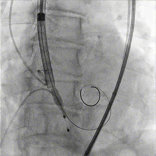
术中影像:



Quantum 球囊扩张

复查冠脉造影血流通畅
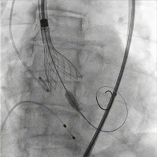
TaurusNXT植入过程:
术中影像:

主动脉根部造影

TaurusAtlas 20mm球囊预扩
瓣膜定位造影
第二次释放到瓣膜工作位造影

瓣膜完全释放

最终造影
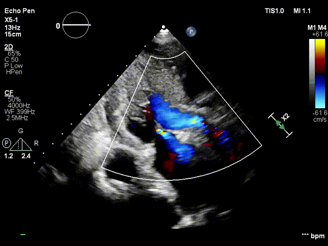
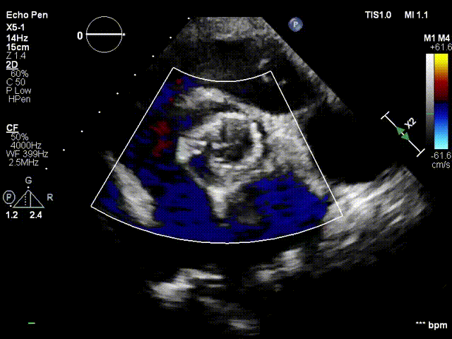
超声影像:
血流动力学改善,瓣膜形态良好,微量瓣周漏。
沛嘉自创立之初即潜心研究瓣叶处理技术,历经多年终实现技术的革命性突破。TaurusNXT经导管主动脉瓣系统,是沛嘉医疗第三代介入牛心包瓣膜,是全球首次将“非醛交联”瓣叶生物处理技术和超低温真空冻干处理技术应用于经导管主动脉瓣系统并顺利进入人体临床试验。和醛基封闭或醛基清洗技术不同,非醛瓣叶生物处理技术避免戊二醛处理瓣叶而残留的醛基所诱发的组织钙化,从机制上消除钙化的主要风险,并且应用全新的复合交联、除原体细胞、抗降解性能、病毒去活等技术,以期带来更优越的耐久性和更好的生物相容性,瓣叶在复水后即刻血液动力学指标良好。超低温真空冻干的瓣叶干式处理,完整保持瓣叶物理性能,同时实现瓣膜系统的预装载,减少植入前准备时间。TaurusNXT优化支架结构和输送系统,在瓣膜锚定、封堵、瓣口面积等血流动力学改善以及术者操控性等方面均有进一步的提升。
沛嘉医疗专注于结构心脏病介入治疗解决方案的自主研发与创新,以至善尽心、呵护生命为理念,致力于不断推出适合于中国患者惠及世界的高品质医疗产品,救治上千万心脏瓣膜疾病患者是我们不懈努力的方向。在中国,为中国,惠世界。
专家简介
王焱
厦门大学附属心血管病医院
厦门大学附属心血管病医院院长;香港大学医学博士、教授、主任医师、博士生导师;美国心脏病学院会员(FACC);欧洲心脏病学会会员(FESC);国际心血管介入学会会员(FSCAI);中华医学会心血管分会委员;中国胸痛中心认证委员会副主任委员;中华医学会心血管病学分会介入心脏病学组副组长、海峡两岸医学卫生交流协会心血管病分会候任主任委员,国家卫生健康突出贡献中青年专家,具有丰富的临床工作经验,从事心血管系统疾病的诊治,在冠状动脉、外周血管疾病及心脏瓣膜疾病诊治方面有很高造诣。
王斌
厦门大学附属心血管病医院
医学博士,主任医师,厦门大学副教授,硕士研究生导师;中国胸痛中心区域认证中心(厦门)分中心办公室主任;厦门大学附属心血管病医院急诊科主任,胸痛中心主任;中华医学会心血管病分会结构组委员;中国人体健康科技促进会结构心脏病专业委员会委员;中国胸痛中心认证专家;中国医师协会心力衰竭分会青年委员;中国医促会血管高血压分会委员;福建省医学会心血管病分会青年委员;中国医促会心血管疾病预防与治疗分会青委;海峡两岸医药卫生交流协会心血管病分会委员;亚洲青年结构俱乐部黄金会员;澳大利亚The Prince Charles Hospital (TPCH)学习 ;厦门市第九批拔尖人才,厦门市第四批青年创新人才;从事心血管内科临床、冠脉、结构性心脏病介入及胸痛中心建设、维护及认证工作。

