2021年12月6日,中国医科大学附属第一医院孙英贤教授、郭亮教授瓣膜介入团队顺利完成辽宁省首例VitaFlow Liberty™电动可回收瓣膜输送系统TAVR手术。此次手术的成功实施,标志着中国医科大学附属第一医院的瓣膜治疗迈向更高水平,也为辽宁地区广大患者提供更多治疗选择。
病史资料:
患者为71岁男性。
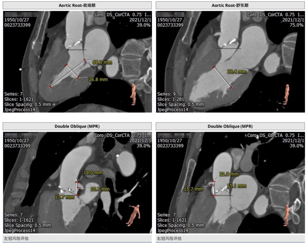
三叶式主动脉瓣R-N钙化粘连,瓣叶中度钙化,钙化分布不均匀。
影像学检查结果:
手术策略:
手术步骤:
专家简介
孙英贤
中国医科大学附属第一医院
主任医师,教授,医学博士,博士生导师。中国医科大学附属第一医院心内科主任。中国医师协会高血压专业委员会副主任委员、中华医学会心血管病分会常委、中华高血压杂志副主编、中华心电生理和起搏学分会常委、中国心律学会常委、中华心血管病杂志编委、中华心律失常杂志编委、中国实用内科杂志常务编委、中华医学会辽宁省心血管病分会副主任委员等职务。获得2010年国家科学技术进步奖二等奖、2008年中华医学科技奖二等奖、辽宁省科技进步奖一等奖、三等奖等多项奖励。承担国家重点基础研究发展计划(973)前期专项项目、国家十一五科技支撑项目、国家自然科学基金等多项课题。专长:主要为介入心脏病学及高血压的防治工作。共完成心脏介入手术5000余例。是预激综合征心外膜旁路的发现者,并提出相应的介入手术方法。组织完成我国农村地区最大规模的心血管流行病学及干预研究。
郭亮
中国医科大学附属第一医院
副教授、副主任医师、硕士生导师。美国印第安纳大学附属医院心脏中心访问学者;中华医学会结构性心脏病学组委员;辽宁省医学会心血管病分会青年委员;医促会精准心血管病分会青年委员;辽宁省生命科学学会心血管病委员会委员;亚太结构性心脏病俱乐部会员;国家卫计委介入培训导师。擅长冠心病介入治疗及经皮主动脉瓣介入治疗术。

