旗开得胜!四川省人民医院结构性心脏病团队成功完成该院首台SAPIEN 3瓣膜¹植入
2022-01-04 10:39
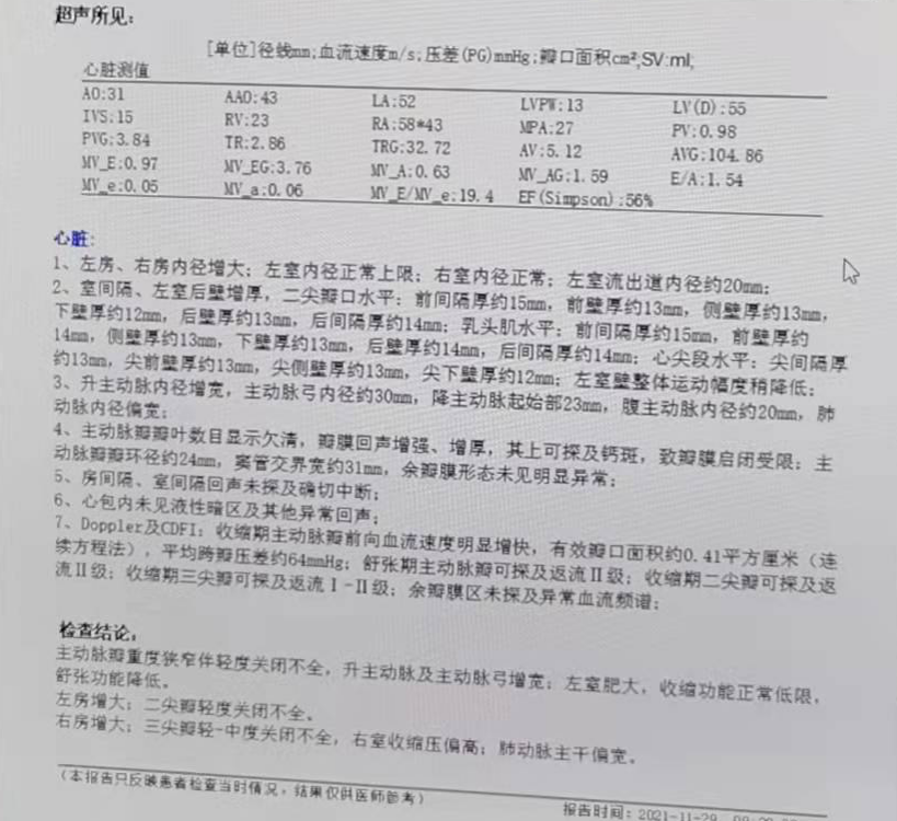
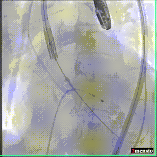
2021年12月17日,四川省人民医院结构性心脏病团队成功挑战高龄主动脉瓣严重狭窄合并弥漫钙化,顺利完成SAPIEN 3瓣膜植入。在团队成员紧密配合下,克服患者入路狭小弥漫钙化病变,充分利用SAPIEN 3瓣膜的优异性能,顺畅完成过弓、跨瓣及释放操作,手术取得圆满成功。这也是四川省人民医院首例应用SAPIEN 3瓣膜完成的TAVR手术。






专家简介
陶剑虹
四川省人民医院
曾杰
四川省人民医院

